Améloblastome

Améloblastome
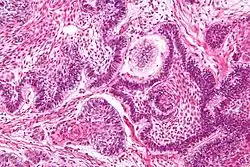
Description de cette image, également commentée ci-après
Coupe histologique d'un améloblastome montrant l'aspect caractéristique en palissades nucléées et en réticulum étoilé, coloration H & É.
Traitement
Spécialité Oncologie et chirurgie maxillo-faciale
Classification et ressources externes
CISP-2 L97
CIM-10 D16.4-D16.5
CIM-9 213.0-213.1
ICD-O 9310/0
DiseasesDB 31676
MeSH D000564

Wikipédia ne donne pas de conseils médicaux Mise en garde médicale

L'améloblastome, dénommé adamantinome (du mot grec adamantinos, signifiant « très dur[1] ») jusqu'aux années 1930[2], est une tumeur bénigne rare[3] des maxillaires qui se place dans la région des molaires et vers le maxillaire inférieur. Cette maladie détruit le tissu osseux et la gencive[4]. L'affection est pour la première décrit par Fischer en 1913[5],[6].

Les patients présentent typiquement un gonflement avec ou sans douleur[4]. Les patients sont âgés de la vingtaine ou de la trentaine, mais l'adamantinome peut survenir à tout âge. En guise de traitement, une ablation chirurgicale protège des récidives.

Historique

Épidémiologie

Physiopathologie

Diagnostic

Signes fonctionnels

Examen clinique

Examens complémentaires

Prise en charge

Évolution et complications

Prévention

Notes et références

  1. (en) Miller NR Brazis PW, « Neuro-ophthalmologic Aspects of Ameloblastoma », Skull Base Surg, vol. 5, no 4, , p. 233–44 (DOI 10.1055/s-2008-1058921)
  2. El Mazghi A, Bouhafa T, El Kacemi H, Loukili K, Chbani L, Kebdani T, Hassouni K, « Rôle de la radiothérapie dans le traitement de l’améloblastome: à propos de deux cas [Role of radiotherapy in the treatment of ameloblastoma: report of two cases] », Pan Afr Med J, no 19, , p. 89. (PMID 25722762, PMCID PMC4335278, DOI 10.11604/pamj.2014.19.89.4491, lire en ligne [html])
  3. (en) Ernest U. Conrad, Orthopaedic Oncology: Diagnosis and Treatment, Thieme, (lire en ligne), p. 143–145
  4. 1 2 (en) Jain VK Jain D, « Adamantinoma: A clinicopathological review and update », Diagn Pathol, vol. 3, (DOI 10.1186/1746-1596-3-8, lire en ligne)
  5. (en) « Adamantinoma: Overview - eMedicine » (consulté le )
  6. (de) Fischer B. « Uber ein primares Adamantinom der Tibia ». 12. Frankfurt: Zeitschr. f. Path.; 1913:422-441.
  • icône décorative Portail de la médecine