Angioléiomyome

Angioléiomyome
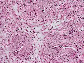
Description de cette image, également commentée ci-après
Angéiomyome : léiomyocytes autour de lumières vasculaires
Traitement
Spécialité Oncologie et rhumatologie
Classification et ressources externes
CIM-10 D21 (ILDS D21.M60)
ICD-O M8894/0
eMedicine 1057733
MeSH D018229

Wikipédia ne donne pas de conseils médicaux Mise en garde médicale

L'angioléiomyome, appelé aussi "léiomyome vasculaire", est une petite tumeur de nature bénigne qui se développe au niveau d'une partie profonde de la peau, appelée hypoderme. Elle prend naissance à l'intérieur des parois musculaires d'une veine sous-cutanée[1].

L'angioléiomyome est constitué d'une multitude de vaisseaux capillaires qui sont entourés par des faisceaux de fibres musculaires lisses.

L'identification de ce type de tuméfaction nécessite son ablation, au moyen d'un examen microscopique et à la suite d'une biopsie d'un échantillon de léiomyome.

Notes et références

  1. (en) Veeresh M, Sudhakara M, Girish G et Naik Charudatta, « Leiomyoma: A rare tumor in the head and neck and oral cavity: Report of 3 cases with review. », Journal of oral and maxillofacial pathology : JOMFP, vol. 17, no 2, , p. 281-7 (PMID 24250094)
  • icône décorative Portail de la médecine