Angiome
| Spécialité | Oncologie et dermatologie |
|---|
| CIM-10 | D18 (ILDS D18.010), L98 |
|---|---|
| CIM-9 | 228, 709.1, 759.6 |
| DiseasesDB | 30033 |
| MeSH | D006391 |
Mise en garde médicale
Angiome (du grec angio- vaisseau et -ome, une tumeur à différenciation vasculaire a priori bénigne[1]) est un terme médical peu précis[2] désignant toute malformation résultant de vaisseaux sanguins ou lymphatiques anormalement dilatés. Leur origine est souvent mal connue et leur évolution mal comprise.
Causes
Elles restent inconnues dans la plupart des cas :
- certains angiomes peuvent être d’origine congénitale ;
- d'autres apparaissent spontanément et forment par exemple des taches couleur lie de vin, de tailles et d’aspects différents ;
- d'autres encore (parmi les angiomes tubéreux cutanés des enfants qui sont une des malformations congénitales associées à 10 à 30 % des cas de syndrome d'alcoolisme fœtal) seraient induites par l'alcool[3],[4].
Prévalence
On considère dans les années 2000 qu’un enfant sur dix environ a un angiome[réf. nécessaire].
L’angiome témoigne de l’immaturité du système vasculaire du nouveau-né et, dans la plupart des cas, disparaît spontanément sans laisser de traces[réf. nécessaire].
Classification


On distingue plusieurs types d’angiomes :
- l'angiome en relief ou hémangiome, tumeur bénigne (non cancéreuse) des cellules endothéliales (tapissant les vaisseaux sanguins) qui se multiplient à un rythme anormalement rapide ;
- l'angiome plan (en), naevus flammeus ou nævus en tache de vin multiples familiaux[5], se présente comme une tache, généralement présente dès la naissance et touchant habituellement la région de la tête et du cou. Il est communément appelé « tache de vin » ou « tache lie de vin »). Ces malformations vasculaires qui atteignent les capillaires de la peau sont dues à un trouble génétique rare. Les lésions croissent avec l'individu, changent de couleur et s'épaississent parfois avec l'âge. Pour diminuer le retentissement esthétique lorsqu’elles sont localisées sur les zones visibles, un traitement au laser à colorant pulsé permet d’obtenir un éclaircissement notable[6].
- Mikhaïl Gorbatchev est né avec un angiome sur le haut du front et Jean-Luc Reichmann est porteur de cette tache.
- le syndrome de Sturge-Weber (ou SSW) est un angiome plan, qui n'est pas une tumeur, qui n'est pas héréditaire et dont l'étiologie reste inconnue. Il peut parfois être accompagné de troubles oculaires et neurologiques. Dans plus de 50 % des cas, la personne touchée par un tel syndrome développera un glaucome du même côté que l'angiome plan facial de la région frontale et palpébrale supérieure, surtout si l'AP occupe les paupières supérieure et inférieure. On trouve parfois des anomalies vasculaires du fond d'œil ou une anomalie vasculaire leptoméningée pouvant causer, souvent avant 2 ans, une comitialité (chez 75 % des patients ayant des anomalies vasculaires intracrâniennes) et, un déficit moteur plus ou moins important de l'hémicorps opposé, avec retard des acquisitions (incidence : 1 cas pour 50 000). L'origine pourrait être une mutation somatique intra-utérine affectant le primordium neural antérieur, avant la migration des crêtes neurales céphaliques[7] ;
- angiome en touffes (symbole : AT), également dénommé « angioblastome de Nakagawa » ;
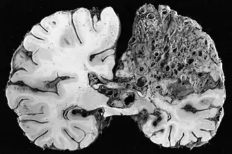
- angiome caverneux (ou « cavernome cérébral ») ; malformation vasculaire située en grande partie dans le cerveau, généralement non détectée, sauf lorsqu'elle cause des crises convulsives ou des hémorragies cérébrales (fréquence : 1 sujet sur 1 000, avec forme familiale dans 20 % des cas). Trois gènes situés sur les chromosomes 7 et 3 semblent impliqués ;
- angiome stellaire, angiome apparaissant chez les sujets atteints de cirrhose hépatique, en cours de grossesse au cours de certains traitements contre le cancer par exemple ;
- angiokératome (simple ou diffus[8]) ;
- angiome serpigineux, qui apparaît chez l'enfant ou l'adolescent, avec un « semi de telangiectasies punctiforme, hyperkératosiques sur un fond érythémateux plus souvent localisée aux membres inférieurs »[9] ;
- angiome cerise.
Traitement
Il est aujourd'hui possible de traiter les angiomes, par exemple en utilisant un laser ou, dans certains cas, l'électrocoagulation. Les résultats dépendent de l'âge du patient, de la localisation de l'angiome et de ses caractéristiques. Le traitement peut permettre une disparition complète de l'angiome, mais pas systématiquement.
Le propranolol permet de traiter chez les enfants ce type d'angiome plan[10].
Notes et références
- ↑ Sharon W. Weiss et F. M. Enzinger, « Epithelioid hemangioendothelioma a vascular tumor often mistaken for a carcinoma », Cancer, vol. 50, no 5, , p. 970–981 (ISSN 0008-543X et 1097-0142, DOI 10.1002/1097-0142(19820901)50:5<970::aid-cncr2820500527>3.0.co;2-z, <970::aid-cncr2820500527>3.0.co;2-z lire en ligne, consulté le )
- ↑ « Terme imprécis », sur John Libbey
- ↑ Cours d'alcoologie
- ↑ Ferraro F., Dehaene P.: Angiomes tubéreux cutanés chez les enfants porteurs d’un syndrome d’alcoolisme fœtal, Arch Pédiatr, 1996; 3: 511-512.
- ↑ Naevus en tache de vin multiples familiaux, ORPHA:624, CIM-10 : Q82.5.
- ↑ Dr Sandra LY, Les angiomes, Angiome plan, Dermato-Info, Société Française de Dermatologie, 5 décembre 2019.
- ↑ Fiche Orphanet sur le syndrome de Sturge-Weber
- ↑ Exemple commenté, avec diagnostic différentiel, et diagnose
- ↑ Angiome serpigineux sur la base de données DERMIS, consulté le 9 août 2011
- ↑ (en) « Propranolol for severe hemangiomas of infancy » NEJM du 12 juin 2008
Voir aussi
Articles connexes
Bibliographie
- Pierre Docher, Un cas d'angiome vertébral traité par les rayons X (thèse de doctorat de la faculté de médecine de Strasbourg), Clermont-Ferrand, Imprimerie moderne,
Lien externe
- Portail de la médecine