Anthony Epstein

Michael Anthony Epstein
une illustration sous licence libre serait bienvenue
Fonction
Vice-président (d)
Royal Society
-
Titre de noblesse
Knight Bachelor
Biographie
Naissance
Décès
(à 102 ans)
Londres
Nationalité
Formation
St Paul's School
Trinity College
Middlesex Hospital Medical School (d)
Activités
Père
Mortimer Epstein (d)
Autres informations
A travaillé pour
Membre de
Partenaires
Distinctions
Liste détaillée
Prix Paul-Ehrlich-et-Ludwig-Darmstaedter ()
Bristol-Myers Squibb Award for Distinguished Achievement in Cancer Research (d) ()
Leeuwenhoek Lecture ()
Commandeur de l'ordre de l'Empire britannique ()
Prix Leopold-Griffuel ()
Prix Gairdner ()
Knight Bachelor ()
Médaille royale ()
Membre de l'Academy of Medical Sciences (en)
Titre honorifique
Sir

Sir Michael Anthony Epstein, né le à Londres et mort le [1],[2], également connu sous le nom d'Anthony Epstein[3], est un pathologiste et universitaire britannique. Il est l'un des découvreurs du virus d'Epstein-Barr, avec Yvonne Barr et Bert Achong[4],[5],[6],[7],[8],[9],[10],[11].

Vie privée

Anthony Epstein est né le 18 mai 1921[12],[13] et fait ses études à la St Paul's School de Londres[14], au Trinity College de Cambridge et au Middlesex Hospital Medical School.

Il a eu 100 ans en mai 2021[15],[16]. Il est mécène d'Humanists UK[12].

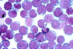
Virus Epstein-Barr teinté à l’hématoxyline et à l'éosine (HE)

Carrière

Anthony Epstein est professeur de pathologie de 1968 à 1985 (aujourd'hui professeur émérite), chef de département de 1968 à 1982[17] à l'université de Bristol[18].

Études sur le lymphome de Burkitt

Anthony Epstein est la première personne à proposer que le lymphome de Burkitt est un cancer causé par un virus[19]. Après avoir entendu une conférence donnée par Denis Parsons Burkitt en 1961 sur ce cancer nouvellement décrit, il change son objectif de recherche, passant des virus cancérigènes chez les poulets à la recherche d'une origine virale du lymphome de Burkitt[20]. Après plus de deux ans de travail avec des cellules tumorales des patients de Burkitt et ensuite de travail pour en isoler un virus, le virus Epstein-Barr est finalement découvert en février 1964[21].

Distinctions

Titre honorifique

En 2006, il obtient un doctorat honoris causa en sciences de l'université de Bristol.

Références

  1. (en) The Times, « Professor Sir Anthony Epstein », The Times, (lire en ligne Accès payant, consulté le ).
  2. Henri Gruffat et Evelyne Manet, « Sir Anthony Epstein (1921–2024) : le découvreur du virus d’Epstein-Barr », médecine/sciences, vol. 40, nos 8-9, , p. 665–668 (ISSN 0767-0974 et 1958-5381, DOI 10.1051/medsci/2024090, lire en ligne, consulté le )
  3. 1 2 3 (en-GB) « Anthony Epstein », Royal Society (consulté le )
  4. Bornkamm, Delius, Zimber et Hudewentz, « Comparison of Epstein–Barr virus strains of different origin by analysis of the viral DNAs », Journal of Virology, vol. 35, no 3, , p. 603–618 (PMID 6252328, PMCID 288854, DOI 10.1128/JVI.35.3.603-618.1980)
  5. North, Morgan, Thompson et Epstein, « Purified Epstein-Barr virus Mr 340,000 glycoprotein induces potent virus-neutralizing antibodies when incorporated in liposomes », Proceedings of the National Academy of Sciences of the United States of America, vol. 79, no 23, , p. 7504–7508 (PMID 6296836, PMCID 347368, DOI 10.1073/pnas.79.23.7504, Bibcode 1982PNAS...79.7504N)
  6. Gaston, Rickinson, Yao et Epstein, « The abnormal cytotoxic T cell response to Epstein–Barr virus in rheumatoid arthritis is correlated with disease activity and occurs in other arthropathies », Annals of the Rheumatic Diseases, vol. 45, no 11, , p. 932–936 (PMID 2878645, PMCID 1002022, DOI 10.1136/ard.45.11.932)
  7. Epstein et Morgan, « Clinical consequences of Epstein–Barr virus infection and possible control by an anti-viral vaccine », Clinical and Experimental Immunology, vol. 53, no 2, , p. 257–271 (PMID 6309441, PMCID 1535689)
  8. Rickinson, Finerty et Epstein, « Interaction of Epstein–Barr virus with leukaemic B cells in vitro. I. Abortive infection and rare cell line establishment from chronic lymphocytic leukaemic cells », Clinical and Experimental Immunology, vol. 50, no 2, , p. 347–354 (PMID 6295671, PMCID 1536694)
  9. Rickinson, Crawford et Epstein, « Inhibition of the in vitro outgrowth of Epstein–Barr virus-transformed lymphocytes by thymus-dependent lymphocytes from infectious mononucleosis patients », Clinical and Experimental Immunology, vol. 28, no 1, , p. 72–79 (PMID 193663, PMCID 1540876)
  10. Yao, Rickinson, Gaston et Epstein, « Disturbance of the Epstein-Barr virus-host balance in rheumatoid arthritis patients: A quantitative study », Clinical and Experimental Immunology, vol. 64, no 2, , p. 302–310 (PMID 3017620, PMCID 1542331)
  11. Epstein, Randle, Finerty et Kirkwood, « Not all potently neutralizing, vaccine-induced antibodies to Epstein-Barr virus ensure protection of susceptible experimental animals », Clinical and Experimental Immunology, vol. 63, no 3, , p. 485–490 (PMID 3011324, PMCID 1577551)
  12. 1 2 (en-US) « Professor Sir Anthony Epstein CBE FRS », Humanists UK, (consulté le )
  13. « Sir Anthony Epstein », Wolfson College, Oxford (consulté le )
  14. Transactions of the Medical Society of London, Vol. 117 (2000), pg. 66
  15. EBV Association: Sir Antony Epstein
  16. (en-GB) « The 100th birthday of Prof. Sir Anthony Epstein », EAHP, (consulté le )
  17. Who's Who: Epstein, Sir (Michael) Anthony
  18. (en) « Sir Michael Anthony Epstein », Oxford Reference (consulté le )
  19. Henri Gruffat et Evelyne Manet, « Sir Anthony Epstein (1921–2024) : le découvreur du virus d’Epstein-Barr », Médecine/Sciences, vol. 40, nos 8-9, , p. 665 (DOI 10.1051/medsci/2024090, lire en ligne, consulté le )
  20. Paula McGrath, « Cancer virus discovery helped by delayed flight », BBC News, Health, (consulté le )
  21. Epstein, « Burkitt Lymphoma and the discovery of Epstein–Barr virus », British Journal of Haematology, vol. 156, no 6, , p. 777–779 (PMID 22233499, DOI 10.1111/j.1365-2141.2011.09008.x)
  22. « Royal Medal - Award winners », Royal Society, sur Google Drive (consulté le )
  23. The Palgrave Dictionary of Anglo-Jewish History (2011), p. 258
  24. « Epstein, Anthony », Academy of Europe (consulté le )

Liens externes

  • icône décorative Portail du Royaume-Uni
  • icône décorative Portail de la médecine
  • icône décorative Portail de la virologie