Avulsion (chirurgie)

Dans le domaine médical et de la chirurgie, avulsion est un terme ayant le sens général d'arrachement, à préciser selon l'élément particulier qui la subit.
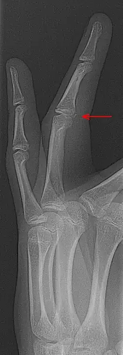
Fracture-avulsion
La « fracture-avulsion »[1] est une fracture avec déplacement de fragment osseux ou cartilagineux [2], l'os pouvant être arraché par une tension trop importante d'un ligament, par exemple au niveau du coude ou du genou (patella...)[3].
Phanères
« Avulsion » désigne aussi l'arrachage ou l'extraction chirurgicale de phanère (ongle[4], ou griffe ou corne chez l'animal) ou, plus souvent, d'une partie osseuse ou l'arrachage d'une dent[5],[6].
Organes mous
Le mot avulsion est aussi parfois utilisé pour désigner l'arrachage d'organes mous, dont par l'exemple le scrotum[7] ou l'urètre (on parle d'avulsion urétérale pour décrire certains cas d'arrachement de l'uretère, qui peut se produire spontanément ou lors d'une endoscopie (à rechercher en cas de douleur au flanc, lithiase lombaire, colique néphrétique)[8].
Notes et références
- ↑ Kanso, I., & Bricout, J. M. (1998). Fracture-Avulsion isolée du tubercule mineur de l'humérus: A propos d'un cas. Revue de chirurgie orthopédique et réparatrice de l'appareil moteur, 84(6), 554-557.
- ↑ Legaye, J., & Lokietek, W. (1991). Fracture-avulsion de la tubérosité tibiale antérieure chez l’adolescent. Acta Orthop Belg, 57(2), 199-203.
- ↑ Jacquemier, M., Chrestian, P., Guys, J. M., Mailaender, C., Billet, P., & Bouyala, J. M. (1983). Les fractures avulsions de la rotule de l'enfant: à propos de 3 cas. Chirurgie pédiatrique, 24(3), 201-204 (http://cat.inist.fr/?aModele=afficheN&cpsidt=9331792 résumé]).
- ↑ Chiheb, S., Richert, B., Belyamani, S., & Benchikhi, H. (2010, October). Une nouvelle cause de périonyxis chronique: la rétronychie. In Annales de Dermatologie et de Vénéréologie (Vol. 137, No. 10, pp. 645-647). Elsevier Masson.
- ↑ « Encyclopédie Larousse en ligne - avulsion dentaire », sur larousse.fr (consulté le ).
- ↑ Louis, J. P., & Dabadie, M. (1990). Fibrous carbon implants for the maintenance of bone volume after tooth avulsion: first clinical results. Biomaterials, 11(7), 525-528 (résumé).
- ↑ Reid, C. F., & Wright Jr, J. H. (1985). Scrotal reconstruction following an avulsion injury. The Journal of urology, 133(4), 681-682. (Notice Inist-CNRS)
- ↑ Martin, X., Ndoye, A., Konan, P. G., Feitosa Tajra, L. C., Gelet, A., Dawahra, M., & Dubernard, J. M. (1998). Des dangers de l’urétéroscopie à l’étage lombaire: à propos de 4 cas d’avulsion de l’uretère. Progrès en Urologie, 8, 358-62.
Voir aussi
Articles connexes
Liens externes
Bibliographie
- Carpentier, E., & Tourne, Y. (1992). Avulsion traumatique du tendon tricipital brachial: A propos d'un cas. In Annales de chirurgie de la main et du membre supérieur (Dec 1992? Vol. 11, No. 2, pp. 163-165). Elsevier Masson (résumé).
- Chen, N., & PERON, J. M. (2000). Non cicatrisation de la muqueuse buccale après avulsion dentaire: A propos d'un cas d'histiocytose X. Revue de stomatologie et de chirurgie maxillo-faciale, 101(1), 33-35 (http://cat.inist.fr/?aModele=afficheN&cpsidt=1273919 résumé]).
- Doi, K. (1997). New reconstructive procedure for brachial plexus injury. Clinics in plastic surgery, 24(1).
- Narakas, A., & Herzberg, G. (1985, December). Les transferts neuro-nerveux intra-plexuels dans les avulsions radiculaires traumatiques du plexus brachial: À propos de quinze observations. In Annales de Chirurgie de la Main (Vol. 4, No. 3, pp. 211-218). Elsevier Masson (http://www.sciencedirect.com/science/article/pii/S075390538580003X résumé]).
- Torres, J. H. (1997). Bénéfices et risques des avulsions de dents de sagesse. Rev Stomatol Chir Maxillofac, 98, 173-178.
- Portail de la médecine