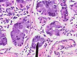
Cellule principale

Chief cells.

Les cellules principales de l'estomac sont impliquées dans la sécrétion de pepsinogène[1],[2].

Il s'agit du précurseur de la pepsine, une enzyme protéolytique permettant la biodégradation et la digestion des peptides.

Leur cytoplasme est fortement basophile[3].

Voir aussi

Bibliographie

Références

  1. « ESTOMAC », sur universalis.fr (consulté le ).
  2. « Ulcère gastro-duodenal : Les fonctions de l estomac », sur hepatoweb.com (consulté le ).
  3. « Faculté de Médecine, de Pharmacie et de Médecine Dentaire de Fès », sur fmp-usmba.ac.ma (consulté le ).
  • icône décorative Portail de la biochimie
  • icône décorative Portail de la physiologie