Colectasie
Colectasie
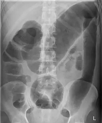
Colectasie ou mégacôlon visible sur un ASP dans le cadre d'une rectocolite hémorragique.
| Spécialité | Gastro-entérologie |
|---|
| CIM-9 | 564.7 |
|---|---|
| DiseasesDB | 32198 |
| eMedicine | 180955 |
| MeSH | D008531 |
Mise en garde médicale
La colectasie (aussi appelée mégacôlon) est une dilatation massive du côlon gauche ou transverse, de plus de 6 cm, ou du cæcum de plus de 10 cm sans obstruction mécanique.
Elle se recherche à l'ASP (Abdomen Sans Préparation). Les facteurs prédisposants sont nombreux et peuvent être d'ordre traumatique (rachis, hématome abdominal, etc.), systémique (troubles électrolytiques, sepsis, iatrogénie, etc.), neurologique (affections médullaires), post-opératoires (vagotomie, césarienne, etc.), etc. Cet effet entraîne une altération de la mobilité colique entraînant les symptômes suivants :
- distension abdominale ;
- douleurs abdominales (80 % des cas) ;
- nausées et/ou vomissements (60 % des cas) ;
- et fièvre, surtout dans le cas de complications.
Liens externes
- Ressources relatives à la santé :
- Ressource relative à la recherche :
- Portail de la médecine