Conduit parotidien

| Système |
|---|
| Nom latin |
Ductus parotideus |
|---|---|
| MeSH |
D018987 |
| TA98 |
A05.1.02.007 |
| TA2 |
2805 |
| FMA |
10420 |
| Nom |
conduit parotidien |
|---|
Le canal de Sténon, ou conduit parotidien de Sténon, ou encore canal parotidien[1] selon la terminologie anatomique est le canal excréteur de la salive produite par la glande parotide.
Histoire
Il est décrit depuis le XVIIe siècle. C'est la première découverte anatomique de Nicolas Sténon, alors étudiant à l'université de Leyde en , en disséquant une tête de mouton[2].
Anatomie humaine

Chez l'homme, le conduit parotidien est un conduit à parois épaisses, légèrement aplati, mesurant 4 à 7 cm de long, et 3 mm de diamètre. Il naît de la glande, dans l'épaisseur de la parotide, par l’union de deux racines le plus souvent, avant d'émerger de son bord antérieur. Il passe sur le bord externe du muscle masticateur ou masséter, dans un dédoublement du fascia masséterique, puis par la région génienne en passant devant le corps adipeux de la joue (boule de Bichat) avant de traverser enfin le muscle buccinateur.
Sa direction correspond à celle d'une ligne horizontale passant par le tragus et le bord inférieur de l'aile du nez. L'artère transversale de la face passe au dessus de ce canal [3].
A ce niveau, des microfibres musculaires provenant du muscle buccinateur vont s'étendre sur le conduit parotidien et agir sur l'ouverture de la lumière ductale [4]. Il se termine en s'ouvrant obliquement dans la cavité buccale en regard du collet de la première ou deuxième molaire supérieure.
Le canal s'abouche dans la cavité buccale par un orifice au sommet d'un petit relief de la muqueuse de la joue : la "papille du conduit parotidien". Il se situe donc médialement à la branche descendante de la mandibule.
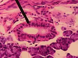
Histologie
Comme d'autres canaux excréteurs, le canal parotidien est formé de trois couches : muqueuse, musculeuse et adventicielle. La couche muqueuse est initialement formée d'un épithélium à double couche, dans lequel s'insère des cellules caliciformes. Peu avant son ouverture dans la cavité buccale, l'épithélium se transforme en un épithélium stratifié. La couche musculeuse est formée de fibres musculaires lisses, disposées longitudinalement. Ces fibres musculaires vont permettre le péristaltisme du canal mais disparaissent progressivement en se rapprochant du muscle buccinateur, mais on retrouve des fibres musculaires issues de ce muscle qui vont s'étendre sur le canal [5]. La couche adventicielle est composée d'un tissu lipofibreux richement vascularisé [6].
Physiologie
Le canal parotidien va permettre le transport de la salive, depuis la glande parotidienne, jusqu'à la cavité buccale. Son épithélium est composé de cellules sécrétrices qui vont permettre la production de mucines, de peptides TFF, de carbohydrates, et d'immunoglobulines, qui vont avoir un rôle facilitateur envers l'écoulement salivaire, et anti microbien, pour prévenir les infections ascendantes [7]. Lors de sa traversée du muscle buccinateur, des microfibres musculaires vont s'étendre sur le canal [4], et permettre une action sphinctérienne, empêchant ainsi tout flux rétrograde, qu'il soit aérien (ce qui occasionne une paotidoaérie) ou bactérien (ce qui occasionne une infection ductale, appelée sialadochite, puis parotidienne, appelée parotidite).
Embryologie
Le canal parotidien se développe progressivement chez l'humain, parallèlement aux développement de la parotide. À partir de 8,5 semaines de gestation (26-27mm), une lumière commence à apparaitre dans la partie médiale du conduit proximal. Elle se développe progressivement pour s'étendre sur toute la longueur du canal à partir de 37 mm (environ 10 semaines de gestation) [8]. La fonction de sphincter exercée par le muscle buccinateur sur le canal de Sténon se développe par l'envahissement de fibre musculaire dans la couche musculeuse du canal parotidien, dès le 6ème mois de gestation chez l'humain [9], et la formation de la région distale du canal parotidien est totalement mature à partir du 7ème mois de gestation [5].
Exploration
Le conduit parotidien s'explore par des moyens d'imagerie : échographie, sialo-IRM et sialographie, ou par des moyens instrumentaux : sialendoscopie.
Pathologie
La présence de granulations blanchâtres au pourtour de la papille du conduit parotidien est pathognomonique de la rougeole : c'est le signe de Koplik.
Bien que plus rare que dans les autres canaux excréteurs salivaires, le canal parotidien peut être le siège d'une lithiase, concrétion calcique salivaire, obstruant son canal et pouvant causer une parotidomégalie, des douleurs et une parotidite.
Le conduit parotidien peut être le siège de sténoses, mimant la clinique lithiasique en donnant des coliques et des hernies salivaires parotidiennes.
Des tumeurs peuvent se développer aux dépens du conduit parotidien, le plus souvent de type carcinome canalaire.
Un traumatisme touchant le conduit parotidien peut conduire à une sialocèle ou à une fistule salivaire s'il n'est pas traité correctement. Ces traumatismes peuvent être traités par microchirurgie réparatrice (réalisée sur un tuteur, le plus souvent en plastique), par suppression de la production salivaire d'amont (par injection de toxine botulique ou par parotidectomie), ou par dérivation de l'écoulement salivaire directement dans la cavité buccale [10]. Ces différentes stratégies chirurgicales dépendent de l'ancienneté du traumatisme, de l'importance des délabrements, et des moyens techniques à disposition.
Galerie
Schéma anatomique représentant le trajet du canal parotidien- Position des papilles parotidiennes, en regard du collet des deuxièmes molaires supérieures.
- Dissection anatomique représentant le conduit parotidien par rapport au muscle masséter, et à la veine faciale
- Dissection anatomique représentant le trajet du conduit parotidien de la glande parotidienne à son coude
Notes et références
- ↑ Vitorio Delage, « Dictionnaire médical de l'Académie de Médecine », sur dictionnaire.academie-medecine.fr (consulté le )
- ↑ Peter Beck, Gustav Scherz, Le bienheureux Niels Steensen, Paris, Cerf, 1988.
- ↑ Henri Rouvière et André Delmas, Anatomie humaine : Descriptive, topographique et fonctionnelle, t. I, Paris, Masson, (ISBN 2-294-00391-8), p. 482
- 1 2 (en) Hyo-Chang Kang, Hyun-Ho Kwak, Kyung-Seok Hu et Kwan-Hyun Youn, « An anatomical study of the buccinator muscle fibres that extend to the terminal portion of the parotid duct, and their functional roles in salivary secretion », Journal of Anatomy, vol. 208, no 5, , p. 601–607 (ISSN 0021-8782 et 1469-7580, PMID 16637883, PMCID PMC2100218, DOI 10.1111/j.1469-7580.2006.00574.x, lire en ligne, consulté le )
- 1 2 (en) Kaori Amano, Hiroshi Moriyama, Kazuyuki Shimada et George Matsumura, « Morphological study of the fetal parotid duct and buccinator muscle and the relationship to salivary secretion », Clinical Anatomy, vol. 23, no 6, , p. 642–648 (DOI 10.1002/ca.20986, lire en ligne, consulté le )
- ↑ (en) Yasunori Takeda, « Histoarchitecture of the Human Parotid Duct », Cells Tissues Organs, vol. 128, no 4, , p. 291–294 (ISSN 1422-6421 et 1422-6405, DOI 10.1159/000146356, lire en ligne, consulté le )
- ↑ (en) H. Kutta, J. May, M. Jaehne et A. Munscher, « Antimicrobial defence mechanisms of the human parotid duct », Journal of Anatomy, vol. 208, no 5, , p. 609–619 (ISSN 0021-8782 et 1469-7580, PMID 16637884, PMCID PMC2100215, DOI 10.1111/j.1469-7580.2006.00567.x, lire en ligne, consulté le )
- ↑ (en) Raymond F. Gasser, « The early development of the parotid gland around the facial nerve and its branches in man », The Anatomical Record, vol. 167, no 1, , p. 63–77 (ISSN 1097-0185, DOI 10.1002/ar.1091670107, lire en ligne, consulté le )
- ↑ (en) Kaori Amano, Hiroshi Moriyama, Kazuyuki Shimada et George Matsumura, « Morphological study of the parotid duct in human fetuses with special emphasis on the relationship between the buccinator muscle and the parotid duct », The Journal of Medical Investigation, vol. 56, no Supplement, , p. 255–257 (ISSN 1343-1420 et 1349-6867, DOI 10.2152/jmi.56.255, lire en ligne, consulté le )
- ↑ (en) Mark J. Steinberg et Andres F. Herréra, « Management of parotid duct injuries », Oral Surgery, Oral Medicine, Oral Pathology, Oral Radiology and Endodontics, vol. 99, no 2, , p. 136–141 (ISSN 1079-2104 et 1528-395X, DOI 10.1016/j.tripleo.2004.05.001, lire en ligne, consulté le )
Voir aussi
Articles connexes
Liens externes
- Conduit parotidien dans le Dictionnaire médical de l'Académie de Médecine – version 2016-1 en ligne.
- Pathologie des glandes salivaires dans le site du Collège Français des Enseignants d’ORL.
- Portail de la médecine
- Portail de l’anatomie