Corps calleux

Corps calleux
Vue 3D du corps calleux (en rouge).
Détails
Système
Identifiants
Nom latin
Corpus callosum
MeSH
D003337
TA98
A14.1.09.241
TA2
5604
FMA
86464
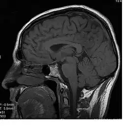
Image du corps calleux en coupe sagittale.

Le corps calleux (ou corpus callosum) est une commissure (moyen d'union entre deux parties) transversale du cerveau présente chez les mammifères placentaires[1]. C’est un faisceau d'axones (fibre nerveuse qui correspond au prolongement long, mince et cylindrique du corps cellulaire d'un neurone) interconnectant les deux hémisphères cérébraux. C'est la plus importante commissure du cerveau, car elle relie les huit lobes du cerveau entre eux (lobes frontaux, temporaux, pariétaux et occipitaux gauche et droit). Le corps calleux assure donc le transfert d'informations entre les deux hémisphères et ainsi leur coordination. Les autres commissures sont le fornix, le cingulum et la commissure blanche antérieure.

Structure

Localisation du corps calleux, faisceau de fibres nerveuses reliant les deux hémisphères cérébraux. À gauche : coupe coronale d’un cerveau humain. À droite : coupe sagittale sur la ligne médiane.

D’avant en arrière, on peut délimiter trois structures :

  • le « genou » et le tiers antérieur du corps calleux (bec ou rostrum) sont ainsi formés par les fibres qui unissent les deux cortex (lobes) frontaux ;
  • le tiers moyen (ou tronc) est formé par les fibres qui unissent les cortex pariétaux et temporaux ;
  • la partie la plus postérieure, (bourrelet ou splenium), est formé par les fibres qui unissent les deux cortex occipitaux.

Ainsi, grâce au corps calleux, les messages en provenance d’une voie afférente, unilatérale, auront une terminaison bilatérale sur les deux aires symétriques.

Différences sexuelles

Chez l'homme et la femme, les microstructures et l'organisation du corps calleux diffèrent légèrement[2]. Des observations similaires ont été faites chez certains autres animaux (rat de laboratoire par exemple, chez lequel on constate des ratios différents d'axones myélinisés ; plus nombreux proportionnellement chez le mâle que chez la femelle (qui possède plus d'axones amyéliniques et occupant plus de place dans cette partie du cerveau), sans différences de taille pour chaque type axonal, ni différence d'épaisseur de myéline quand elle est présente[3].

Pathologie

L'exposition prénatale à l'alcool affecte la construction du corps calleux[4]. Les lésions du corps calleux au cours de différents processus pathologiques (agénésie calleuse, patients split-brain, syndrome de Marchiafava-Bignami… ou plus exceptionnellement l'herpès néonatal congénital, c'est-à-dire acquis in utero[5]) auront pour conséquence une déconnexion cérébrale à l’origine d’une asynergie entre les deux hémisphères, connue sous le nom de syndrome de déconnexion calleuse. Les signes cliniques de ce syndrome vont donc largement dépendre de la localisation de la lésion sur le corps calleux. Par exemple, une lésion au niveau du splénium entraînera une anomie visuelle et une alexie unilatérale gauche (incapacité à dénommer des objets ou des lettres projetés dans le champ visuel gauche). Alors qu'une lésion au niveau du genou provoquera une apraxie idéomotrice gauche (incapacité à exécuter un geste symbolique tel qu'un salut militaire sur commande ou intentionnellement avec la main gauche). Ces exemples mettent bien en évidence toute l'importance du corps calleux et du transfert inter-hémisphérique. Le corps calleux ne joue pas un rôle important dans les pathologies neurodégénératives[6].

La callosotomie était souvent pratiquée pour traiter l'épilepsie dans les années 1970.[réf. nécessaire]

Autres corrélations

Des études récentes ont montré l’impact de l’apprentissage de la musique sur le développement du cerveau humain[7].

La région frontale du corps calleux (rostrum) est beaucoup plus grande chez les musiciens[8][source insuffisante], et plus grande d'environ 0,75 cm2 (11 %) chez les personnes gauchères ou ambidextres[9],[10]. La différence est évidente dans les régions antérieures et postérieures du corps calleux, mais pas dans le splenium[11].

Des recherches ont montré que les enfants atteints de dyslexie ont tendance à avoir des corps calleux plus petits et moins développés que la moyenne[12],[13].

Ces remarques anatomiques confirment les résultats des expériences plus que satisfaisantes montrant l’efficacité de l’apprentissage musical comme thérapie pour les enfants dyslexiques[14].

Bibliographie

  • Maurice Boucher: « Histoire de la Physiologie et de la Physiopathologie du corps calleux », in: Histoire des sciences médicales, 1975-76, 9 (3-4), pp. 245-260, Texte intégral.
  • Alain Bouchet, Maurice Boucher: «Histoire anatomique du corps calleux», in:Histoire des sciences médicales, 1975-76, 9 (3-4), pp. 231-244, Texte intégral en ligne.

Notes et références

  1. « "The functional and anatomical organization of marsupial neocortex: Evidence for parallel evolution across mammals" »(en)
  2. (en) Fang Liu, Logi Vidarsson, Jeff D. Winter, Hien Tran, Andrea Kassner « Sex differences in the human corpus callosum microstructure: A combined T2 myelin-water and diffusion tensor magnetic resonance imaging study » Brain Research 2010;1343:37-45 (Résumé, en anglais)
  3. (en) Jan H.Y. Kim, Allison Ellman, Janice M. Juraska « A re-examination of sex differences in axon density and number in the splenium of the rat corpus callosum » Brain Research 1996;740(1-2):47-56 (Résumé, en anglais)
  4. Urbanik A., Nardzewska-Szczepanik M., Kozub J., Karcz P. et Jadczak-Szumio T., « "Fetal Alcohol Exposure Affects Brain Structure in Children" », Radiological Society of North America, (lire en ligne)
  5. Jayaram, PM, Wake, CR. (2010) A rare case of absent corpus callosum with severe ventriculomegaly due to congenital herpes simplex infection. J Obstet Gynaecol ;30:316
  6. (en) Emad A Albadawi, « Microstructural Changes in the Corpus Callosum in Neurodegenerative Diseases », Cureus, (ISSN 2168-8184, PMID 39310519, PMCID PMC11413839, DOI 10.7759/cureus.67378, lire en ligne, consulté le )
  7. .
  8. (en) Daniel J. Levitin This is your brain on music : the science of a human obsession, Ed Dutton, New-York, 2006 (OCLC 65197831)
  9. (en) Witelson SF, « The brain connection: the corpus callosum is larger in left-handers », Science, vol. 229, no 4714, , p. 665–68 (PMID 4023705, DOI 10.1126/science.4023705)
  10. (en) Naomi R. Driesen et Naftali Raz, « The influence of sex, age, and handedness on corpus callosum morphology: A meta-analysis », Psychobiology, vol. 23, no 3, , p. 240–247. (lire en ligne)
  11. (en) S.F. Witelson « The Brain Connection: the Corpus Callosum Is Larger in Left-handers » Science 1985;229;4714:665–8.
  12. (en) Hynd, G.W., Hall, J., Novey, E.S. et al. « Dyslexia and Corpus Callosum Morphology » Archives of Neurobiology 1995;52(1): 32–38.
  13. (en) von Plessen K, Lundervold A et al. « Less developed corpus callosum in dyslexic subjects – a structural MRI study » Neuropsychologia 2002;40(7): 1035–44.

Articles connexes

  • icône décorative Portail des neurosciences
  • icône décorative Portail de la médecine
  • icône décorative Portail de l’anatomie