Cysticercose
| Causes | Infection |
|---|
| Médicament | Praziquantel et albendazole |
|---|---|
| Spécialité | Infectiologie |
| CIM-10 | B69 |
|---|---|
| CIM-9 | 123.1 |
| DiseasesDB | 3341 |
| MedlinePlus | 000627 |
| eMedicine |
781845 med/494 ped/537 |
| MeSH | D003551 |
Mise en garde médicale
La cysticercose est l'infestation parasitaire de tissus par les larves de ténia. Elles peuvent infester les muscles, la peau, les yeux et le système nerveux central.
Elle peut atteindre plusieurs animaux dont l'humain, le porc et le bœuf. La consommation de la viande d'un animal atteint de cysticercose peut provoquer la téniase.
Chez l'humain, la cysticercose est presque toujours due à la consommation de nourriture ou d'eau contaminée par des œufs du ténia du porc Tænia solium. Une fois que les œufs éclosent, les larves peuvent se loger dans les muscles et les tissus sous-cutanés (maladie bénigne). Des complications graves peuvent survenir lorsque les larves se localisent dans l'œil ou le système nerveux central.
La neurocysticercose ou cysticercose cérébrale est la plus répandue des causes d'épilepsie dans les pays en développement, là où la cysticercose porcine ou ladrerie reste endémique dans les élevages de porcs (élevage traditionnel ou familial, non contrôlé).
Histoire
Données traditionnelles
La forme larvaire du Tænia solium est connue depuis l'antiquité, sans que l'on fasse de rapport avec le ténia adulte, sous des termes désignant la ladrerie, une maladie du porc.
Le fait de savoir si la ladrerie serait à l'origine de l'interdit biblique de la viande de porc (Lévitique, 11:7)[1] est discuté, en concurrence avec la thèse selon laquelle le sanglier aurait été un animal-totem des anciens juifs de la haute-antiquité[2],[3].
La ladrerie est une maladie apparente chez le porc, elle est mentionnée par Aristote dans son Histoire des animaux (livre VIII, chapitre 21 Les maladies du porc). Il distingue ainsi ce qu'il appelle des « grêlons », en fait des kystes larvaires :
« Les porcs à chair molle ont comme des grêlons aux jambes, au cou, aux épaules, parties dans lesquelles les grêlons se produisent le plus souvent. S'il en a peu la chair est douce, s'il en a beaucoup, elle devient excessivement molle et imprégnée de liquide. Les ladreries sont apparentes ; car les porcs ont beaucoup de grêlons sous la langue » [4].
Aristote note plus loin que la ladrerie ne touche pas les jeunes porcs nourris exclusivement au lait. Il ne fait pas de rapport avec les vers ténias, et il pense que les porcs sont les seuls animaux à être atteints. Cette ladrerie du porc est aussi mentionnée comme prétexte comique dans le théâtre d'Aristophane (notamment Les cavaliers). Androsthène, cité par Athénée dans Les Deipnosophistes, compare l'huître et le porc :
« La perle se forme dans l'huître, comme la vésicule dans la chair du porc »[5].
Cette maladie est à l'origine de la pratique traditionnelle du langueyage pratiquée autrefois sur les marchés à bestiaux par des professionnels appelés langueyeurs.
Données biomédicales
Le savoir d'Aristote reste la référence durant le Moyen Âge. La présence des larves enkystées est découverte chez l'homme au cours du XVIe siècle. Des chirurgiens en découvrent dans les muscles, et des anatomistes dans le cerveau, notamment lors de l'autopsie de sujets épileptiques.
Le lien entre ces formes larvaires et les vers adultes intestinaux est suspecté et progressivement établi à partir du XVIIe siècle notamment par Malpighi, et surtout par Redi[6].
En 1809, Rudolphi donne le nom de Cysticercus cellulosæ aux larves de Taenia solium, d'où les termes de cysticerque et cysticercose, du grec kustis (vessie, cavité) et kerkos (queue).
La démonstration expérimentale du cycle évolutif des cestodes est faite par Küchenmeister, de 1850 à 1860. Entre autres, il montre que des cysticerques de lapin avalés par le chien, donnent chez lui des Tænia pisiformis, et que des cysticerques de porc avalés par l'homme donnent des Tænia solium[7].
Cycle parasitaire
Les œufs de Tænia solium (comme ceux des autres Ténias) sont des embryophores : ils sont constitués d'une coque enfermant un embryon déjà formé en larve complète.

La cysticercose porcine se produit lorsque des porcs ingèrent ces œufs. La larve est alors libérée par l'acidité gastrique. Cette larve perfore ensuite la paroi intestinale pour gagner les muscles par voie circulatoire, où elle devient larve cysticerque. Les cysticerques du porc se localisent dans les muscles, plus particulièrement dans la langue et le cœur. Le cycle parasitaire se poursuit par la consommation de viande de porc mal cuite.
Chez l'humain, la cysticercose est une impasse parasitaire, le cycle du parasite ne pourrait se poursuivre que par anthropophagie[8].
Dans le cas de contamination accidentelle par ingestion d'œufs de ténia lors de pratique sexuelle oro-anale, l'humain peut alors servir d'hôte intermédiaire de substitution, conduisant alors à développer une cysticercose.
Comme chez le porc, l'ingestion d'aliment ou de boisson contaminés par des œufs de Tænia solium peut provoquer la cysticercose humaine. Les œufs de Tænia solium se trouvent dans les selles d'animaux ou d'humains atteints de téniase. Ces selles peuvent ensuite contaminer l'eau destinée à la boisson, notamment chez les communautés pratiquant la défécation en plein air ou n'ayant pas accès à de l'eau potable. Elles peuvent aussi contaminer les aliments lorsqu'elles sont utilisées comme engrais, ou lors de la manipulation de la nourriture sans se laver les mains[9].
Chez un individu déjà atteint de téniase, c'est-à-dire un individu déjà porteur de Taenia solium adultes dans l'intestin : des anneaux remplis d'œufs se détachent du ténia et remontent dans l'estomac[10],[11] (par exemple, lors d'efforts de vomissements). En milieu gastrique, ces œufs éclosent et répètent le cycle comme chez le porc. Cette contamination est moins fréquente, mais quand elle existe, elle est massive et répétée[12].
Selon la localisation, on distingue des cysticercoses cutanées et sous-cutanées (relativement bénignes) et des cysticercoses oculaires et cérébrales (formes graves).
Épidémiologie
La cysticercose humaine est directement liée à la cysticercose porcine. La cysticercose bovine n'est pratiquement jamais en cause (cas exceptionnels ou douteux), celle-ci ne provoquant qu'une parasitose bénigne, à Tænia saginata ou « ver solitaire ».
Cette différence est attribuée, entre autres, à la coprophagie du porc. Les porcs s'infestent plus massivement, si bien que Tænia solium du porc est beaucoup moins « solitaire » que Tænia saginata du bœuf[13].
Modalités
Elle existe à partir des élevages porcins familiaux ou traditionnels de zones rurales pauvres, mal équipées en hygiène sanitaire et traitement des eaux usées.

Les œufs présents dans les déjections humaines, se retrouvent dans les eaux usées ou les boues d'épuration[14]. Ces œufs, très résistants, se dispersent dans l'environnement, le plus souvent par épandage agricole ou forestier. Ils peuvent éventuellement être diffusés vers le bas du bassin versant via le ruissellement (pluies, inondations).
Une partie de ces œufs sont ingérés par des herbivores sauvages ou par des porcins en train de pâturer. La cysticercose humaine se voit alors chez les sujets vivant ou travaillant à proximité du porc ou de matières fécales : éleveurs, agriculteurs, maraichers, bouchers-charcutiers, vidangeurs, chiffonniers, etc.[12] en l'absence de contrôle des élevages et des abattoirs.
À la fin du XXe siècle, l'élevage familial ou clandestin de porcs en condition semi-sauvage est très répandu au Pérou, en Afrique tropicale, en Asie, à La Réunion ou à Madagascar. En Europe méridionale, il peut encore exister en Espagne ou en Corse, ainsi qu'en Europe de l'Est[1].
La cysticercose par auto-infestation (voir la section cycle parasitaire) se produit chez les sujets déjà porteurs d'un ténia adulte dans l'intestin, après avoir consommé de la viande de porc crue non contrôlée (charcuterie, viande fumée...) ou mal cuite (saucisses).
Données
Elles sont mal connues dans le cheptel animal domestique et chez l'animal sauvage (consommé comme gibier).
Les données chiffrées concernant la cysticercose humaine mondiale sont rares et éparses. En 2000, la cysticercose (toutes formes confondues) touchait 50 millions de personnes dans le monde, avec une mortalité de 1 %[1]. Elle est considérée comme émergente en Amérique latine[15], c'est un problème de santé publique à Madagascar (séroprévalence d'environ 10 %)[16].
Selon l'OMS, le nombre total de cas de neurocysticercose est estimé entre 2,5 et 8,3 millions de personnes. La cysticercose à T. solium serait responsable de 30 % des épilepsies des régions d'endémie (population en contact avec des porcs errants)[9]. En 2000, c'est la première cause d'épilepsie à La Réunion, Madagascar et au Pérou[1].
La maladie est absente ou exceptionnelle dans les pays ou chez les populations de religion juive ou musulmane, en raison de l'interdit sur le porc.
Dans les pays développés (Amérique du Nord, Europe occidentale et du Nord, Australie, Japon...), le ténia du porc est très rare ou éradiqué grâce aux efforts de contrôle des élevages et des abattoirs, de congélation industrielle des viandes et de traitement des eaux usées. Toutefois des cas importés peuvent survenir, en 2015 quatre pays ont signalés plus de 5 cas importés par an : Argentine, Canada, Espagne, États-Unis[17].
Physiopathologie
Chez l'homme, les larves cysticerques ont un tropisme particulier pour les muscles, l'œil et le système nerveux central, qui serait lié à leur densité en vaisseaux sanguins et à leur richesse en glucose[1]

La larve cysticerque enkystée dans le muscle (ou tout autre partie du corps) atteint en quelques mois un diamètre de 0,5 à 1 cm, et peut vivre plusieurs années jusqu'à atteindre 2 ou 3 cm en général. Souvent, il y a peu de symptômes jusqu'à ce que le parasite meure[18]. Près de 80 % des patients atteints de cysticercose sont asymptomatiques (sans aucun symptôme), la maladie étant découverte fortuitement[19].
Chez l'homme (qui n'a pas de prédateur), le cysticerque est en situation d'impasse parasitaire et finit par mourir en provoquant une réaction inflammatoire locale suivie d'une calcification. A cela s'ajoute un effet de masse lié à la présence de grands kystes ou d'amas de kystes. C'est ce qui provoque la plupart des symptômes observés qui apparaissent au bout de 4 à 8 ans[1].
Clinique
Les signes cliniques dépendent de la localisation des larves cysticerques, de leur nombre et de leur taille. La localisation est le facteur le plus important pour le pronostic et la gravité.
Atteintes musculaires et sous-cutanées
Les formes musculaires sont probablement fréquentes, mais le plus souvent bien tolérées, pouvant passer inaperçues (aucun symptôme), notamment lorsque les larves sont peu nombreuses. Si l'infestation est plus massive, il peut y avoir des petits troubles localisés et répétitifs : fourmillements, démangeaisons, œdèmes, voire douleurs (si tronc nerveux est comprimé par un ou des cysticerques)[12].
Dans les localisations sous-cutanées, les larves sont palpables, voire visibles, sous forme de petits nodules kystiques, indolores et mobiles sous la peau.
Atteintes oculaires
Si le kyste se trouve dans l'orbite, il entraine une exophtalmie, un strabisme avec des douleurs oculaires. Selon la localisation dans l'œil, il peut y avoir gêne aux mouvements, troubles visuels, douleurs, inflammations (conjonctivite, iritis – inflammation de l'iris –..).
La localisation dans la rétine est la plus dangereuse, avec un risque de cécité par décollement de rétine.
Atteintes cérébrales
L'enkystement dans le cerveau réalise la forme la plus grave appelée neurocysticercose. L'atteinte peut être longtemps silencieuse, passant inaperçue. Quand des troubles se manifestent, les symptômes les plus fréquents sont les crises d’épilepsie survenant dans plus de 52 % des cas reconnus, et les céphalées dans près de 43 % des cas reconnus[1]. La neurocysticercose est l'une des causes les plus fréquentes d´épilepsie acquise. Différents types de crises convulsives ont été décrites : crises généralisées et crises focales, plus rarement myoclonies et aphasie épileptique acquise[20].
Selon sa localisation, le kyste larvaire entraîne les mêmes troubles cliniques qu'une tumeur cérébrale de même localisation[19]. La confusion, les troubles de l'attention aux gens et à leur entourage, les troubles de l'équilibre, peuvent également se manifester. Une localisation dans les ventricules du cerveau entraine leur dilatation (hydrocéphalie) par blocage mécanique.
Le décès peut survenir par œdème cérébral, compression du cerveau, convulsions et coma[21].
Autres
Les autres localisations sont rares ou très rares comme celles au niveau de la moelle épinière, ou encore les lésions cardiaques (troubles du rythme, défaillance cardiaque).
Diagnostic
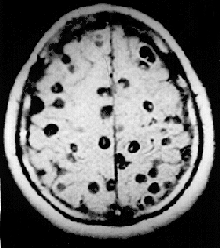
La cysticercose est difficile à diagnostiquer à sa phase initiale. La neurocysticercose est souvent de découverte fortuite, lorsqu'un scanner, ou une IRM du cerveau, est pratiqué pour une raison quelconque. Il peut s'agir aussi d'une découverte à l'autopsie.
Le diagnostic est basé sur l'immunologie et l'imagerie. La recherche d’anticorps (dans le sérum, le liquide cérébrospinal, l'humeur aqueuse...) n'est positive que si le parasite est encore vivant ou mort récemment. La radiologie standard ne détecte pas les cysticerques jeunes, transparents aux rayons X. Ils peuvent être visibles en vieillissant, notamment lorsqu'ils se calcifient. Il s'agit alors le plus souvent de lésions très anciennes[10],[19].
Dans le bilan d'une neurocysticercose, le scanner ou l'IRM sont les examens principaux qui permettent de visualiser les kystes, y compris ceux de petite taille et les cysticerques vivants, en précisant leur nombre, leur taille, leur stade évolutif et les réactions inflammatoires éventuelles[19].
La biopsie de la zone atteinte, quand elle est possible (lésions facilement accessibles) peut être nécessaire pour affirmer le diagnostic.
La cysticercose oculaire est le plus souvent découverte à l'ophtalmoscope.
Traitement
Le choix du traitement dépend des troubles cliniques, des localisations, du nombre, de la taille et du stade des cysticerques. La chimiothérapie contre les cysticerques n'est presque jamais une urgence médicale.
Dans le cas d'une neurocysticercose, le but du traitement initial est d'abord de contrôler les crises convulsives, réduire l'œdème cérébral et l'hypertension intracranienne éventuellement présents[22].
Moyens
Les médicaments anthelminthiques dirigés contre les cysticerques sont le praziquantel ou l’albendazole.
Les corticostéroïdes (comme la dexaméthasone qui franchit la barrière hémato-méningée) sont souvent associés en complément afin d'éviter les problèmes provoqués par l’œdème et les phénomènes inflammatoires liés à la mort du parasite (localisations oculaires ou cérébrales). Un œdème cérébral peut avoir des conséquences mortelles, ainsi l'anthelminthique est-il donné à faible dose pendant plusieurs jours.
D'autres médicaments sont utilisés pour traiter les crises épileptiques ou les troubles du rythme cardiaque.
La chirurgie peut être nécessaire pour enlever les kystes, lorsqu'ils sont situés dans une zone accessible. Plus rarement, dans des cas particuliers, diverses procédures neurochirurgicales sont utilisées pour réduire une hypertension intracrânienne.
Indications
Les médicaments anthelminthiques sont généralement indiqués chez les patients symptomatiques présentant des localisations multiples avec des cysticerques vivants (non calcifiés). Ils sont inutiles chez les patients sans aucun symptôme, ou ceux porteurs de kystes calcifiés (cysticerques déjà morts).
Les antiépileptiques sont les médicaments principaux dans la prise en charge d'une neurocysticercose avec crises convulsives.
Les kystes localisés dans les ventricules cérébraux sont enlevés chirurgicalement quand c'est possible. Dans cette situation, les anthelminthiques sont relativement contre-indiqués à cause de la réaction inflammatoire qui pourrait s'ensuivre.
Les stratégies thérapeutiques sont susceptibles d'évoluer selon les études en cours, mais l'association anthelminthiques et corticostéroïdes reste le traitement le plus couramment utilisé dans la plupart des cas. Même après un traitement anthelminthique réussi, un traitement antiépileptique (ou autre traitement symptomatique) peut être maintenu en cas de troubles persistants ou arrêté selon l'évolution clinique individuelle[22].
Cysticercose bovine
La présence de cysticerques vivants (de Tænia saginata) dans la viande de bœuf consommée crue ou peu cuite provoque chez l'homme un Tæniasis où la forme adulte du « ver solitaire » parasite le tube digestif. Le Tænia saginata ne provoque pratiquement jamais de cysticercose humaine, et les infestations par ver solitaire sont le plus souvent inapparentes ou bénignes et ne sont pas considérées comme un problème majeur de santé publique.
La cysticercose bovine est asymptomatique chez le bœuf, et parfois difficile à détecter. Elle peut avoir des conséquences économiques pour les éleveurs et la filière bovine (saisie de la carcasse ou de la partie infestée, assainissement par congélation à -10 °C à cœur pendant 10 jours au moins).
Facteurs de risques
En France, d'après 25 enquêtes épidémiologiques faites avant 2011 et ayant porté sur des cas groupés chez les bovins (résultat à prendre avec précaution en raison d'une faible puissance statistique), les facteurs de risque susceptibles d'expliquer ces cas étaient :
- la proximité d'axes de déplacement ou de tourisme (chemin de randonnée, aire d'autoroute… (32 % des explications plausibles citées) ;
- problèmes de gestion d'eaux usées (accès des bovins à un cours d'eau contaminé par des rejets d'excréments) ... (20 % des cas) ;
- épandage de contenus de fosse septique directement sur les pâtures (20 % des cas) ;
- aucune explication trouvée (40 % des cas).
Prévalence
En France en 2015, les cysticerques seraient présents chez près d'1 % des bovins envoyés en abattoir, et chez 0,08 % pour les cysticerques vivants, en faible diminution par rapport à 2010[23].
En 2010, la prévalence de la « cysticercose généralisée » (à toute la carcasse) était d'un cas pour 10 000 bovins abattus, et parmi les carcasses touchées, 9,4 % étaient susceptible d'infecter les mangeurs de viande car contenant des cysticerques (Cysticercus bovis) vivants. Chacune de ces carcasses contaminerait alors en moyenne 9,6 consommateurs de viande bovine. La prévalence apparente de carcasses fortement touchées (cysticercose généralisée) était de 0,010 %[24].
En 2010, 1,6 % des exploitations touchées ont eu des cas multiples (2 à 18 cas groupés). Cette zoonose touche surtout les femelles (qui sont plus nombreuses et mises en pâture plus souvent que les taureaux ou bœufs), mais la différence corrigée reste significative[25].
Les vaches de races laitières et/ou les vaches allaitantes sont plus touchées que les animaux « croisés » souvent élevés pour la viande, abattus jeunes juste après leur élevage en bâtiment. Les organes les plus touchés sont la tête (67 % des cas) et le cœur (29 %), puis langue (1 %), diaphragme (1 %), œsophage (1 %) et autres organes (1 %)[25].
Selon la Direction Générale de l'Alimentation (DGAL) s'appuyant sur une bibliographie de référence, l'inspection visuelle classique n'est pas suffisante ni toujours très efficace contre la cysticercose « seules 17 % des carcasses infestées sont détectées lors de l'inspection post mortem. Ceci permet d’estimer la prévalence probable à 0,88 % en France en 2010 »[24].
En 2010, la DGAL admettait que l'application de la réglementation était en France incomplète ou impossible en raison d'une part d'un nombre insuffisant d'équipements des abattoirs en congélateurs, et d'autre part d'un coût économique jugé insupportable en raison du coût de congélation longue et de la dépréciation des carcasses congelées. Il aurait fallu selon la DGAL multiplier par 10 ou plus le nombre de carcasses à congeler, pour respecter la réglementation française et européenne.
La congélation est donc réservée aux cas où des cestodes vivants sont repérés par le contrôle vétérinaire, et la saisie est réservée aux cas d’infestation généralisée. Si le nombre de lésions est faible (calcifiées ou non), la DGAL a préconisé en 2010 la saisie des seuls organes ou parties porteurs de lésions en autorisant la commercialisation du reste de la carcasse[26].
Prévention
La prévention passe d'abord par la détection et le traitement des téniases humaines, la vaccination et la vermifugation des porcs et des bœufs, l'éducation à l'hygiène comme le lavage des mains, l'amélioration de la gestion des eaux usées, l'amélioration de l'hygiène des élevages et l'inspection de la viande[9].
La congélation de viande douteuse ou infestée détruit les cysticerques, à condition d'être équivalente à au moins une congélation à cœur de −10 °C durant 10 jours, ou de −15 °C durant 6 jours[27].
Il est possible de prévenir l'infestation par le T. saginata du bœuf et le T. solium du porc en évitant la consommation de leur viande crue ou peu cuite, ou d’eau contaminée par les déjections humaines ou animales.
En ce qui concerne la cysticercose bovine en France, plusieurs pistes sont proposées dont : mieux retourner l'information de l'abattoir vers l'éleveur, développer et utiliser des tests sérologiques, vacciner les troupeaux ou le vermifuger systématiquement avant l'abattage[25] .
Réglementation
Réglementation européenne
- Règlement (CE) No 854/2004 du Parlement Européen et du Conseil du 29 avril 2004 fixant les règles spécifiques d'organisation des contrôles officiels concernant les produits d'origine animale destinés à la consommation humaine.
Réglementation française
- Arrêté du 18 décembre 2009 relatif aux règles sanitaires applicables aux produits d'origine animale et aux denrées alimentaires en contenant. Il impose (en traduisant dans le droit français le règlement communautaire de 2004) la congélation, en vue d’un assainissement, de toutes les carcasses de bovins sur lesquelles ont été observés un ou plusieurs cysticerques vivants ou calcifiés.
- Note de service DGAL/SDSSA/N2010-8032 du 2 février 2010[28] relative aux mesures de lutte contre la cysticercose bovine en abattoir d’animaux de boucherie (clôturant également l'enquête 2010).
- Note de service DGAL/SDSSA/N2012-8220 du 20 novembre 2012 relative aux modalités de mise en œuvre des dispositions relatives à l'information sur la chaîne alimentaire dans les filières bovines, ovines, caprines et porcines. Elle indique comment gérer les carcasses de viande bovine issues d'un lot ayant fait l'objet d'une ICA relative à la cysticercose dans les 9 mois précédents.
Notes et références
- 1 2 3 4 5 6 7 Patrice Bourée, « Un ver dans le cerveau : la cysticercose », La Revue du Praticien - médecine générale, vol. 14, no 495, , p. 695-696.
- ↑ Jean Théodoridès, Histoire de la parasitologie, t. VIII, Albin Michel / Laffont / Tchou, , p. 154.dans Histoire de la Médecine, de la pharmacie, de l'art dentaire et de l'art vétérinaire, J. Poulet et J-C. Sournia (dir.).
- ↑ Voir à ce propos, l'état actuel de la discussion, au chapitre III Les interdits bibliques dans Michel Pastoureau, « Symbolique médiévale et moderne », Annuaire de l'École pratique des hautes études (EPHE), Section des sciences historiques et philologiques. Résumés des conférences et travaux, no 142, , p. 164–171 (ISSN 0766-0677, lire en ligne, consulté le )
- ↑ Aristote (trad. du grec ancien par Janine Bertier), Histoire des animaux, Paris, Gallimard, coll. « folio essais », , 586 p. (ISBN 2-07-038779-8), p. 456-457.
- ↑ Françoise Skoda, Médecine ancienne et métaphore, Paris, Peeters / Selaf, coll. « Ethnosciences », , 341 p. (ISBN 2-87723-001-5, lire en ligne), p. 201.L'auteur donne la référence Athénée 3, 93.
- ↑ J. Théodoridès 1980, op. cit., p.158.
- ↑ J. Théodoridès 1980, op. cit., p. 166.
- ↑ Vitorio Delage, « Dictionnaire médical de l'Académie de Médecine », sur dictionnaire.academie-medecine.fr (consulté le )
- 1 2 3 (en) « Taeniasis/Cysticercosis », sur www.who.int (consulté le )
- 1 2 Marc Gentilini, Médecine tropicale, Paris, Flammarion, médecine sciences, , 928 p. (ISBN 2-257-14394-9), p. 253-254.
- ↑ Patrice Bourée, « Solitaires mais encombrants », La Revue du Praticien - médecine générale, vol. 27, no 909, , p. 778-779.
- 1 2 3 Y. - J. Golvan, Eléments de parasitologie médicale, Flammarion, médecine-sciences., , p. 138-140.
- ↑ Y.-J. Golvan 1983, op. cit., p.107.
- ↑ Y El Guamri, D Belghyti (2010) « Charge parasitaire des eaux usées brutes de la ville de Kénitra (Maroc) [Parasitic load of rough wastewater in the Kenitra city, (Morocco)] » Afrique Science: Revue Internationale des Sciences et Technologie (ISSN 1813-548X) (résumé)
- ↑ (en) Philip S. Craig, Zbigniew Pawlowski (2002) Cestode zoonoses: echinococcosis and cysticercosis: an emergent and global problem, Proceedings of the NATO Advanced Research Workshop on 10-13 September 2000, Poznan, Pologne (via google books)
- ↑ Luc Paris, « Epidémiologie mondiale des maladies parasitaires », La Revue du Praticien, vol. 57, no 2, , p. 136.
- ↑ « Carte d'endémie OMS 2015 »
- ↑ (en) Centers for Disease Control and Prevention Division of Parasitic Diseases fact sheet
- 1 2 3 4 Patrice Bourée 2000, op. cit., p.697-698.
- ↑ Marcellin Bugeme et Olivier Mukuku, « Neurocysticercose révélée par une épilepsie réfractaire: à propos d’une observation », Pan African Medical Journal, vol. 20, 2015 /02/04 (ISSN 1937-8688, DOI 10.11604/pamj.2015.20.104.5958, lire en ligne, consulté le )
- ↑ (en) Sorvillo FJ, DeGiorgio C, Waterman SH, « Deaths from cysticercosis, United States », Emerg Infect Dis, vol. 13, no 2, , p. 230–5 (lire en ligne)
- 1 2 (en-US) CDC - Centers for Disease Control and Prevention, « CDC - Cysticercosis - Resources for Health Professionals », sur www.cdc.gov (consulté le )
- ↑ « cysticercose bovine, France 2015. »
- 1 2 Romain Loury. « Ver solitaire: près de 1 % des bovins atteints de cysticercose » Journal de l'Environnement, 12 décembre 2012
- 1 2 3 Claire Morlot, Données actuelles sur la cysticercose bovine en France - Propositions de mesures de contrôle ; 24 novembre 2011 ; PPT/PDF, 36 pages
- ↑ Michel Jeanney, La DGAL veut renforcer la lutte contre la cysticercose bovine en abattoir, No 1066 du 13 au 19 février 2010
- ↑ « Cysticercus bovis, Fiche ANSES. »
- ↑ Mesures de lutte contre la cysticercose bovine en abattoir d'animaux de boucherie. Note de service DGAL/SDSSA/N2010-8032 du 02 février 2010
- Portail de la médecine
- Portail de la parasitologie