Décoloration dentaire
| Spécialité | Chirurgie maxillo-faciale |
|---|
| MeSH | D014075 |
|---|
Mise en garde médicale
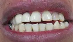
Une décoloration des dents ou décoloration dentaire est une couleur, une teinte ou une translucidité anormale des dents[1]. La décoloration externe est une accumulation de taches sur la surface de la dent. La décoloration interne est due à l'absorption des particules de pigment dans la structure dentaire[2],[3]. Parfois, il existe plusieurs facteurs coexistants différents responsables de la décoloration[4].
Teinte normale des dents



L'apparence et la perception d'une dent sont le résultat d'une interaction complexe de facteurs tels que les conditions d'éclairage, la translucidité, l'opacité, la diffusion de la lumière, la brillance et l'œil et le cerveau humains[5]. Parmi ceux-ci, la pigmentation intrinsèque d'une dent est la plus influente[4] elle-même est déterminée par des facteurs génétiques et environnementaux[6]. La lumière frappant une dent subit une réflexion, une absorption et une transmission à des degrés divers dans chaque couche tissulaire de la substance dentaire. La lumière réfléchie détectée par l'œil humain détermine l'apparence perçue d'une dent.
Les dents ont une fine couche d'émail sur la surface extérieure. La couche d'émail est plus blanche et semi-transparente et apporte des teintes bleues et roses à la couleur des dents[6]. La couche de dentine sous-jacente est plus foncée que l'émail, de couleur jaune-brune et moins transparente. La dentine constitue l'essentiel de la substance dentaire[7], et contribue le plus à la couleur générale des dents. Au cœur de la dent se trouve un tissu conjonctif mou appelé pulpe dentaire[8]. La pulpe est rose / rouge en raison de sa vascularisation, mais est rarement visible à travers l'émail et la dentine sus-jacents à moins que l'épaisseur de ces couches ne soit réduite par l'usure des dents ou, plus rarement par une résorption interne.
L'opinion publique sur ce qui est une teinte dentaire normale a tendance à être déformée. Les représentations de dents esthétiquement améliorées sont courantes dans les médias. Dans un rapport, la teinte dentaire la plus courante dans la population générale allait de A1 à A3 sur le teintier VITA classical A1-D4[9].
La couleur des dents varie selon la race, le sexe et la région géographique[4]. Les femmes ont généralement les dents légèrement plus blanches que les hommes, en partie parce que les dents des femmes sont plus petites et qu'il y a donc moins de volume de dentine, partiellement visible à travers la couche d'émail. Pour la même raison, les dents plus grosses telles que les molaires et les dents canines (canines) ont tendance à être plus foncées. Les dents de lait sont généralement plus blanches que les dents adultes, et ce pour la même raison à savoir en raison des différences dans le rapport émail / dentine.
Causes
Décoloration extrinsèque

Les décolorations extrinsèques sont courantes et ont de nombreuses causes différentes[10]. Les décoloration extrinsèques peuvent également affecter la surface de restaurations (par exemple, obturations composites, couronnes en porcelaine). Certaines décolorations extrinsèques qui peuvent persister pendant une longue période peuvent devenir intrinsèques[11].
- Plaque dentaire : Bien que généralement pratiquement invisible à la surface de la dent, la plaque dentaire peut être tachée par des bactéries chromogènes telles que les espèces Actinomyces.
- Tartre : La plaque négligée finit par se calcifier et conduit à la formation d'un dépôt dur sur les dents, en particulier autour de la gencive. La couleur du tartre varie et peut être grise, jaune, noire ou brune[12].
- Tabac : Le goudron contenu dans la fumée des produits du tabac (et aussi des produits du tabac sans fumée) a tendance à former une tache jaune-brun-noir autour du cou des dents au-dessus de la gencive.
- Consommation de bétel[13].
- Certains aliments et boissons. Les aliments, comme les légumes, riches en caroténoïdes ou en xanthonoïdes peuvent tacher les dents[réf. nécessaire]. L'ingestion de liquides colorés comme les boissons pour sportifs, le cola, le café, le thé et le vin rouge peut décolorer les dents[réf. nécessaire].
- Certains médicaments topiques.
- La chlorhexidine (rince-bouche antiseptique) se lie aux tanins, ce qui signifie qu'une utilisation prolongée chez les personnes qui consomment du café, du thé ou du vin rouge est associée à une coloration extrinsèque (c'est-à-dire une coloration amovible) des dents[14].
- Le chlorure de cétylpyridinium, qui se trouve dans de nombreux rince-bouche antimicrobiens, peut entraîner des taches dues à des résidus bactériens morts[15],[16]
- Composés métalliques. L'exposition à de tels composés métalliques peut être sous la forme de médicaments ou d'une autre exposition environnementale. Les exemples incluent le fer (tache noire), l'iode (noir), le cuivre (vert), le nickel (vert) et le cadmium (jaune-brun)[3].
- Antibiotiques. La tétracycline et ses dérivés sont capables de décoloration intrinsèque (discutée ci-dessous). Cependant, d'autres antibiotiques peuvent former des complexes insolubles avec le calcium, le fer et d'autres éléments qui provoquent une coloration extrinsèque[11].
Décoloration intrinsèque
Les causes des décolorations intrinsèques surviennent soit au cours du développement dentaire soit sont acquises plus tard dans la vie. Les causes connues de la coloration intrinsèque sont énumérées ci-dessous, mais certaines causes restent inconnues[17].
Caries dentaires
Les caries dentaires commence par une tache blanche opaque à la surface de l'émail. Au fur et à mesure que la déminéralisation progresse, les diverses lésions finissent par créer une cavité et la couleur brune sous-jacente devient visible[13]
Fluorose


La fluorose peut survenir en cas d'exposition chronique et excessive au fluor pendant les années du développement dentaire[3],[10]. Le fluorure est un minéral naturellement présent dans l'eau, bien que certaines régions aient des niveaux plus élevés que d'autres, et dans certaines régions, le fluorure est ajouté intentionnellement aux réserves d'eau à de faibles niveaux pour aider à prévenir la carie dentaire. L'exposition peut également se produire via de l'eau en bouteille, du dentifrice au fluor ou des compléments par exemple sous la forme de tablettes ingérables données pour la prévention des caries. Dans sa forme la plus légère, la fluorose apparaît sous forme de petites taches blanches opaques sur la surface de l'émail. Les cas plus graves sont associés à des plaques d'émail gravement hypoplasiques, qui sont également sujettes à une accumulation de taches de surface. On peut voir de fines bandes blanches chronologiques de fluorose correspondant aux périodes de forte exposition au fluorure[18].
Traumatisme
Un traumatisme dentaire peut entraîner des décolorations[13]. Après des lésions de luxation, une décoloration rouge peut apparaître presque instantanément. Cela est dû à la rupture de la micro-circulation veineuse vers une dent, tandis que les artères continuent de fournir du sang à la pulpe. Le sang se décompose ensuite progressivement et une décoloration bleu-brun se développe[2].
Les dents peuvent devenir grises à la suite d'une nécrose pulpaire induite par un traumatisme (mort de la pulpe)[2]. Cette décoloration se développe généralement des semaines ou des mois après la blessure et est causée par l'incorporation de pigments libérés lors de la dégradation du tissu pulpaire et du sang dans la dentine.
Une décoloration jaune peut survenir après l'oblitération du canal pulpaire, c'est-à-dire le scellement de la pulpe[2]. Un traumatisme à une dent adulte en développement (par exemple enfoncement d'une dent de lait dans l'os à la suite d'un choc important) peut affecter la couche d'émail de la dent adulte. Cela devient apparent lorsque la dent adulte sort.
Nécrose pulpaire
Les dents meurent principalement à la suite de caries dentaires importantes, mais cela peut également se produire à la suite d'un traumatisme dentaire ou d'un forage trop important de la dent pendant la préparation dentaire avant la restauration.
Résorption interne

La résorption interne peut parfois faire suite à un traumatisme dentaire (bien que dans d'autres cas, cela semble sans rapport). La dentine est résorbée et remplacée à la place par un tissu pulpaire vasculaire hyperplasique. Lorsque ce processus commence à s'approcher de la surface externe de la dent, une teinte rose de ce tissu pulpaire de remplacement peut devenir visible à travers la substance dentaire sus-jacente restante. Cette apparence est parfois appelée « dent rose de Mummery »[19].
Traitement canalaire
La coloration interne est courante après un traitement de canal, mais les causes exactes ne sont pas complètement comprises. Le fait de ne pas nettoyer complètement les tissus mous nécrotiques du système pulpaire peut causer des taches, et certains matériaux de canal radiculaire (par exemple, la gutta percha et les ciments de scellement de canal radiculaire) peuvent également en être à l'origine. Un autre facteur possible est le manque de pression pulpaire dans les tubules dentinaires une fois la pulpe retirée, conduisant à l'incorporation de colorants alimentaires dans la dentine[1]
Obturations en amalgame

Les obturations à l'aide d'amalgames tachent souvent la dent traitée[11]. Ceci est particulièrement visible dans les obturations très anciennes, car le pigment s'échappe lentement du matériau de remplissage d'amalgame et de ses surfaces corrodées associées. De plus, les obturations métalliques projettent une ombre qui peut être visible à travers la dent et la faire paraître plus sombre.
Tétracycline et dérivés de la tétracycline
La tétracycline est un antibiotique à large spectre, et son dérivé minocycline est courant dans le traitement de l' acné[20]. Le médicament est capable de chélater les ions calcium et est incorporé dans les dents, le cartilage et les os[21]. L'ingestion durant les années du développement dentaire provoque une décoloration jaune-vert de la dentine, visible à travers l'émail et fluorescente sous la lumière ultraviolette. Plus tard, la tétracycline s'oxyde et la coloration devient plus brune et ne devient plus fluorescente sous la lumière UV[12],[22]. D'autres médicaments dérivés de la tétracycline tels que la glycylcycline partagent cet effet secondaire. Parce que les tétracyclines traversent le placenta, un enfant peut avoir des taches sur les dents si les médicaments sont administrés pendant la grossesse de la mère[23].
Troubles génétiques
Plusieurs troubles génétiques affectent le développement dentaire (odontogenèse) et conduisent à une apparence et une structure anormales des dents. L'hypoplasie de l'émail et l'hypocalcification de l'émail sont des exemples d'émail défectueux qui donnent potentiellement une apparence décolorée à la dent. Les dents touchées de cette manière sont également généralement plus sensibles à d'autres taches acquises tout au long de la vie.
L'amélogenèse imparfaite est une maladie rare qui affecte la formation de l'émail, c'est-à-dire l'amélogenèse. L'émail est fragile, les dents apparaissent jaunes ou brunes et les taches de surface s'accumulent plus facilement[1].
La dentinogenèse imparfaite est un défaut de formation de la dentine. Les dents peuvent être décolorées jaune-brun, ambre foncé ou bleu-gris avec une translucidité accrue[1]. La dysplasie dentinaire est un autre trouble de la dentine.
La porphyrie érythropoïétique congénitale (maladie de Gunther) est une forme congénitale rare de porphyrie et peut être associée à des dents décolorées rouges ou brunes[1],[12].
L'hyperbilirubinémie au cours des années de formation des dents peut entraîner l'incorporation de la bilirubine dans les tissus dentaires durs, provoquant une décoloration jaune-vert ou bleu-vert[1]. Une de ces conditions est la maladie hémolytique du nouveau-né (érythroblastose fœtale)[12].
La thalassémie et la drépanocytose peuvent être associées à une décoloration bleue, verte ou brune des dents[1].
Une forte proportion d'enfants atteints de fibrose kystique ont des dents décolorées[23]. Ceci est peut-être le résultat d'une exposition à la tétracycline pendant l'odontogenèse mais il a également été démontré que le régulateur transmembranaire de la fibrose kystique était également impliqué dans la formation de l'émail, ce qui suggère que la maladie a une certaine influence sur la décoloration des dents indépendamment de l'exposition aux tétracyclines.
Vieillissement
Une décoloration intrinsèque est souvent observée durant le vieillissement. Tout au long de la vie, un dépôt de dentine secondaire se créé le long des parois internes de la chambre pulpaire. La dentine secondaire est plus foncée et plus opaque que la dentine primaire. Cela donne à la dentine un aspect globalement plus foncé[11]. Dans le même temps, la couche d'émail est progressivement amincie par des processus d'usure dentaire tels que l'attrition et l'érosion acide. L'émail devient également moins poreux et pauvre en phosphate.
Traitements
La décoloration des dents de devant est l'une des raisons les plus courantes pour lesquelles les gens recherchent des soins dentaires[10]. Cependant, de nombreuses personnes ayant des dents de teinte normale demandent qu'elles soient blanchies. Le traitement de la décoloration des dents dépend de la cause. La plupart des décolorations sont inoffensives et peuvent ou non être perçues comme un problème esthétique pour l'individu. Dans d'autres cas, cela peut indiquer une pathologie sous-jacente telle qu'une nécrose pulpaire ou plus rarement un trouble systémique.
La plupart des décolorations extrinsèques sont facilement éliminées en nettoyant les dents, que ce soit avec un dentifrice « blanchissant » (c'est-à-dire abrasif) à la maison, ou comme traitement effectué par un professionnel (par exemple, détartrage et / ou polissage). Pour éviter l'accumulation future de taches extrinsèques, l'identification et l'élimination de la cause (par exemple, le tabagisme) est nécessaire.
La décoloration intrinsèque nécessite généralement l'un des nombreux types de blanchiment des dents. Alternativement, l'apparence de la dent peut être masquée avec des restaurations dentaires (par exemple, obturations composites, facettes, couronnes).
Références
- 1 2 3 4 5 6 7 Hargreaves KM et Berman LH, Cohen's Pathways of the Pulp Expert Consult, Elsevier Health Sciences, (ISBN 978-0-323-18586-8, lire en ligne), p. 2212.
- 1 2 3 4 « The Dental Trauma Guide », http://dentaltraumaguide.org, Copenhagen University Hospital and the International Association of Dental Traumatology (consulté le ).
- 1 2 3 Chi AC, Damm DD, Neville BW, Allen CA et Bouquot J, Oral and Maxillofacial Pathology, Elsevier Health Sciences, , 70–74 p. (ISBN 978-1-4377-2197-3, lire en ligne).
- 1 2 3 Shen J, Advanced Ceramics for Dentistry, Butterworth-Heinemann, , 14–18 p. (ISBN 978-0-12-394836-6, lire en ligne).
- ↑ Joiner A, « Tooth colour: a review of the literature. », Journal of Dentistry, vol. 32 Suppl 1, , p. 3–12 (PMID 14738829, DOI 10.1016/j.jdent.2003.10.013).
- 1 2 Walmsley AD, Restorative Dentistry, Elsevier Churchill Livingstone, , 70, 71 (ISBN 978-0-443-10246-2, lire en ligne).
- ↑ Berkovitz BKB, Holland GR et Moxham BJ, Oral Anatomy, Histology and Embryology, Mosby/Elsevier, (ISBN 978-0-7234-3551-8, lire en ligne), p. 105.
- ↑ Nanci A, Ten Cate's Oral Histology: Development, Structure, and Function, Elsevier Health Sciences, , 2–3, 122, 161 (ISBN 978-0-323-24207-3, lire en ligne).
- ↑ Herekar M, Mangalvedhekar M et Fernandes A, « The Most Prevalent Tooth Shade in a Particular Population: A survey », Journal of the Indian Dental Association, vol. 4, no 12, .
- 1 2 3 Heymann HO, Swift, Jr. EJ et Ritter AV, Sturdevant's Art & Science of Operative Dentistry, Elsevier Health Sciences, , 307–310 p. (ISBN 978-0-323-17060-4, lire en ligne).
- 1 2 3 4 Summitt JB, Fundamentals of Operative Dentistry: A Contemporary Approach, Quintessence Pub., , 438–439 p. (ISBN 978-0-86715-452-8, lire en ligne).
- 1 2 3 4 Rajendran A et Sundaram S, Shafer's Textbook of Oral Pathology, Elsevier Health Sciences APAC, , 386, 387 (ISBN 978-81-312-3800-4, lire en ligne).
- 1 2 3 Crispian Scully, Scully's Medical Problems in Dentistry, Elsevier Health Sciences UK, (ISBN 978-0-7020-5963-6, lire en ligne).
- ↑ Scully C, Oral and maxillofacial medicine : the basis of diagnosis and treatment, Edinburgh, 3rd, , 39, 41 (ISBN 978-0-7020-4948-4).
- ↑ « Does Crest Pro-Health Rinse stain teeth brown? » [archive du ], Crest (consulté le ) : « Tooth discoloration could actually be one indication, in some people, that the product is working: after the rinse kills germs in your mouth, the dead germs can collect on the tooth surface and create the appearance of a brown stain. ».
- ↑ (en) « The ingredients to a healthy mouth », Gallipolis Daily Tribune, .
- ↑ Heasman P, Master Dentistry: Volume 2: Restorative Dentistry, Paediatric Dentistry and Orthodontics, Elsevier Health Sciences UK, (ISBN 978-0-7020-5558-4, lire en ligne), p. 205.
- ↑ Odell EW, Clinical Problem Solving in Dentistry, Elsevier Health Sciences, , 125–129 p. (ISBN 978-0-7020-4407-6, lire en ligne).
- ↑ Ghom AG et Ghom SA, Textbook of Oral Medicine, JP Medical Ltd, (ISBN 978-93-5152-303-1, lire en ligne), p. 117.
- ↑ Good et Hussey, « Minocycline: stain devil? », The British Journal of Dermatology, vol. 149, no 2, , p. 237–9 (PMID 12932226, DOI 10.1046/j.1365-2133.2003.05497.x).
- ↑ Sánchez, Rogers RS et Sheridan, « Tetracycline and other tetracycline-derivative staining of the teeth and oral cavity. », International Journal of Dermatology, vol. 43, no 10, , p. 709–15 (PMID 15485524, DOI 10.1111/j.1365-4632.2004.02108.x).
- ↑ Ibsen OAC et Phelan JA, Oral Pathology for the Dental Hygienist, Elsevier Health Sciences, (ISBN 978-0-323-29130-9, lire en ligne), p. 173.
- 1 2 Rao A, Principles and Practice Of Pedodontics, JP Medical Ltd, (ISBN 978-93-5025-891-0, lire en ligne), p. 436.
- Portail de la médecine