Démence vasculaire

Démence vasculaire
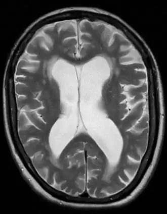
Description de cette image, également commentée ci-après
Atrophie cérébrale due à une démence vasculaire
Causes Hypertension artérielle, accident vasculaire cérébral ou diabète sucré
Symptômes Démence
Traitement
Traitement Antiagrégant et statine
Médicament Donépézil, mémantine et vinpocétine
Spécialité Psychiatrie et neurologie
Classification et ressources externes
CIM-10 F01
CIM-9 290.4
DiseasesDB 8393
MedlinePlus 000746
eMedicine 292105
MeSH D015140

Wikipédia ne donne pas de conseils médicaux Mise en garde médicale

La démence vasculaire est un trouble qui peut être causé par une occlusion des artères cérébrales, par la perte de tissu cérébral consécutive à de multiples petits accidents vasculaires cérébraux (AVC) parsemés dans le cerveau ou à un accident ischémique constitué, par une angiopathie amyloïde ou encore par la maladie de Binswanger qui consiste en apparition des lésions de la substance blanche sous-corticale induites par une hypertension artérielle. Cet état engendre toutes sortes de symptômes cognitifs y compris des troubles de mémoire[1],[2].

Notes et références

  1. Académie nationale de médecine, « Les démences vasculaires. », sur academie-medecine.fr, (consulté le )
  2. Jean-Pierre Bacchetta, « Critères diagnostiques de la démence vasculaire : Etude de validité dans une population de nonagénaires et centenaires. », sur rero.ch, (consulté le )

Annexes

Article connexe

Liens externes

  • icône décorative Portail de la médecine
  • icône décorative Portail de la psychologie