Encéphalite focale de Rasmussen

Encéphalite focale de Rasmussen
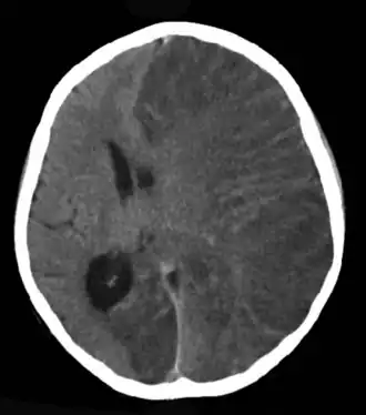
Description de cette image, également commentée ci-après
Scanner cérébral d'une personne présentant une encéphalite focale de Rasmussen.
Traitement
Spécialité Neurologie
Épidémiologie
Incidence 1 / 500.000
Classification et ressources externes
CIM-10 G04.8
CIM-9 323.81
DiseasesDB 33757
MeSH C535291

Wikipédia ne donne pas de conseils médicaux Mise en garde médicale

L'encéphalite focale de Rasmussen, ou syndrome de Rasmussen, est une maladie rare et d'évolution chronique, d'origine probablement auto-immune dégénérative et entrainant une atteinte neurologique évoluant de façon péjorative avec des crises d'épilepsie sévères et fréquentes, une hémiparésie puis une hémiplégie et une perte de la parole.

Physiopathologie

Il s'agit d'une maladie inflammatoire du système nerveux central avec une infiltration lymphocytaire périvasculaire avec des anomalies évocatrices d'une dysplasie corticale[1].

Description

On peut observer au cours de la maladie une forme particulière d'épilepsie appelée épilepsie partielle continue[2].

Elle peut être associée avec d'autres maladies neurologiques comme un hémangiome caverneux ou une sclérose tubéreuse de Bourneville[3].

Diagnostic

L'électroencéphalogramme n'est pas spécifique au début de la maladie mais des anomalies tendent ensuite à apparaître dans les aires non concernées par l'épilepsie[4].

Traitement

Le traitement est multiple, il comprend une prise en charge médicale avec des traitements médicamenteux antiépileptiques, une corticothérapie, une prise en charge paramédicale et sociale, et parfois même un traitement chirurgical, une hémisphérectomie ou une déconnexion hémisphérique[5].

Le traitement médical a pour but d'arrêter et de prévenir les poussées. Les principaux médicaments utilisés sont :

  • les antiépileptiques ;
  • les corticoïdes.

Pronostic

Non traitée, cette affection peut mener à des déficits neurologiques sévères, un retard mental, une paralysie. Chez certains patients, la chirurgie peut améliorer l'évolution. Mais la plupart des patients gardent des séquelles.

Notes et références

  1. (en) Takei H, Wilfong A, Malphrus A. et al. « Dual pathology in Rasmussen's encephalitis: a study of seven cases and review of the literature » Neuropathology 2010;30:381-91. PMID 20051019
  2. (en) Kravljanac R, Djuric M, Jovic N, Djordjevic M, Zamurovic D, Pekmezovic T, « Etiology, clinical features and outcome of epilepsia partialis continua in cohort of 51 children » Epilepsy Res. 2013;104:112-7. PMID 23036655
  3. (en) Hart YM, Andermann F, Robitaille Y, Laxer KD, Rasmussen T, Davis R, « Double pathology in Rasmussen's syndrome: a window on the etiology? » Neurology 1998;50:731-5. PMID 9521265
  4. (en) Longaretti F, Dunkley C, Varadkar S, Vargha-Khadem F, Boyd SG, Cross JH, « Evolution of the EEG in children with Rasmussen's syndrome » Epilepsia 2012;53:1539-45. PMID 22738156
  5. (en) Schramm J, Behrens E, Entzian W, « Hemispherical deafferentation: an alternative to functional hemispherectomy » Neurosurgery 1995;36:509-15. PMID 7753351

Liens externes


  • icône décorative Portail de la médecine