Fracture de Segond
La fracture de Segond est une fracture par avulsion. Elle affecte le condyle du tibia, à proximité immédiate du plateau tibial, au point d’insertion du ligament antéro-latéral (formation antéro-externe FAE).
Description
Décrite pour la première fois par le docteur Paul Segond en 1879[1], après une série d’observations autopsiques, la fracture de Segond est associée, dans 75 à 100 % des cas, à l’arrachement du ligament croisé antérieur (LCA) et, dans 60 à 70 % d’entre eux, à une lésion du ménisque interne. Elle peut également s’accompagner d’une lésion des structures postérieures du genou.
À l'occasion de sa découverte, Segond signale l'existence d'une « bande nacrée », oubliée depuis lors, redécouverte en 2012 en France[2], en 2013 à l'hôpital universitaire de Louvain (nl)[3], et renommée par ses nouveaux auteurs « ligament antéro-latéral (en)[4] ».
Un rare traumatisme en miroir de la fracture de Segond a également été décrit : la fracture de Segond inversée, qui se produit par avulsion de l’extrémité tibiale du ligament collatéral tibial (LCT) ou ligament latéral interne (LLI) dans l'ancienne nomenclature, accompagnée de l’arrachement du ligament croisé postérieur (LCP) et d’une lésion du ménisque interne[5].
Mécanisme
La fracture de Segond est le résultat caractéristique d’une rotation forcée interne du tibia sur un genou en varus. La fracture de Segond inversée est également causée par une rotation en force, mais, comme son nom l’indique, par une rotation externe et sur un valgus.
D’abord considérée comme résultat exclusif d’une avulsion du tiers médian du ligament latéral externe (LLE), des recherches plus récentes ont montré que la fracture de Segond est aussi en relation avec l’insertion de la bandelette ilio-tibiale (BIT) et du ligament semi-lunaire externe.
Diagnostic
À cause de la fréquence des lésions du ligament et du ménisque qui lui sont associées, on ne peut établir le diagnostic de la fracture de Segond qu’après avoir écarté ces pathologies en tant qu’elles sont spécifiques.
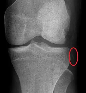
À la radiographie de face[6], la fracture de Segond présente une pastille d’os d’une taille caractéristique (voir l'image). Mais ce fragment peut être très difficile à discerner aux rayons X, et il s'observe mieux par tomographie numérique. Quant à l’imagerie par résonance magnétique (IRM), elle permet de mettre en évidence l’œdème associé du plateau tibial, ainsi que les lésions ligamenteuses ou méniscales également associées.
Bibliographie
- Philippe Segal, Émile Dehoux et Christophe Mensa, « La Fracture de Segond », dans Jacques Rodineau (dir.) et Gérard Saillant (dir.), Les Lésions isolées récentes du ligament croisé antérieur : Données actuelles, Paris, Masson, , 381 p. (ISBN 2-225-83668-X et 978-2-225-83668-8), p. 52-55.
- (en) Juliana C. Campos et al., « Pathogenesis of the Segond Fracture : Anatomic and MR Imaging Evidence of an Iliotibial Tract or Anterior Oblique Band Avulsion », Radiology, vol. 219, no 2, , p. 381-386 (lire en ligne, consulté le ).
- Toufik Batch, « Fractures avulsions : Fracture de Segond (Paul Segond 1879) », dans La Radiographie standard dans les traumatismes du genou, CHU de Nancy, Service d’imagerie Guilloz, DIU d’imagerie en pathologie du sport, (lire en ligne), p. 14.
- (en) Steven Claes, Evie Vereecke, Michael Maes, Jan Victor, Peter Verdonk et Johan Bellemans, « Anatomy of the Anterolateral Ligament of the Knee », Journal of Anatomy, vol. 223, no 4, , p. 321-328 (DOI 10.1111/joa.12087, résumé)
Notes et références
- ↑ Recherches cliniques et expérimentales sur les épanchements sanguins du genou par entorse, Bureaux du Progrès médical, , 85 p. (lire en ligne)
- ↑ (en) J. P. Vincent, R. A. Magnussen, F. Gezmez, A. Uguen, M. Jacobi, F. Weppe, M. F. Al-Saati, S. Lustig, G. Demey, E. Servien et P. Neyret, « The Anterolateral Ligament of the Human Knee: An Anatomic and Histologic Study », Knee Surg. Sports Traumatol. Arthrosc., vol. 20, no 1, , p. 147-152 (DOI 10.1007/s00167-011-1580-3).
- ↑ ((en) Steven Claes, Evie Vereecke, Michael Maes, Jan Victor, Peter Verdonk et Johan Bellemans, « Anatomy of the Anterolateral Ligament of the Knee », Journal of Anatomy, vol. 223, no 4, , p. 321-328 (DOI 10.1111/joa.12087, lire en ligne, consulté le ).
- ↑ Norédine Benazdia, « Des chirurgiens découvrent une nouvelle partie du corps humain », Sciences-mag.fr, (lire en ligne, consulté le ).
- ↑ (en) Eva M. Escobedo, William J. Mills et John C. Hunter, « The « Reverse Segond » Fracture : Association with a Tear of the Posterior Cruciate Ligament and Medial Meniscus », American Journal of Roentgenology, vol. 178, no 4, , p. 979-83 (PMID 11906886).
- ↑ Campos et al., 2001.
- Portail de la médecine