François Chopart

François Chopart
Biographie
Naissance
Paris
Décès
Paris
Nationalité Française
Thématique
Profession Chirurgien
Employeur Université de Paris

François Chopart, né le à Paris et mort le dans la même ville, est un chirurgien français.

Famille

Il est le fils de François Turlure et de Marie-Anne Chopart, merciers à Paris[1].

Biographie

Sous le nom de sa mère, il étudie la chirurgie avec Antoine Petit, devint maître ès arts en 1761, fut interne à la Pitié, puis à Bicêtre. Chirurgien en chef de l'Hôpital de la Charité en 1782, professeur de pathologie interne en 1789, chirurgien en chef à l'École de médecine en 1790. Il succède en 1782 à Toussaint Bordenave à la chaire de Physiologie. Lors d'un voyage à Londres, il fit la connaissance de John Hunter avec lequel il entretint une abondante correspondance. François Chopart meurt du choléra en 1795.

Éponymie

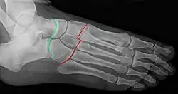
Radiographie du pied : articulation de Chopart (talo-navicualire et calcanéo-cuboïdienne) en vert, et articulations de Lisfranc (tarso-métatarsiennes) en rouge.
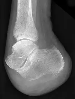
Radiographie du pied après amputation selon Chopart.

François Chopart est notamment connu pour avoir mis au point une technique d'amputation, longtemps appliquée sur les champs de bataille, consistant à sectionner le pied non pas à travers l'os, mais en suivant les articulations talo-naviculaire et calcanéo-cuboïdienne (qui ont d'ailleurs été regroupées sous la dénomination d'articulation de Chopart en hommage au chirurgien).

Œuvres et publications

  • Essai sur les loupes, 1767
  • Mémoire sur les contrecoups dans les lésions de la tête, 1768
  • Traité des maladies chirurgicales et des opérations qui leur conviennent, avec Pierre Joseph Desault, 1780
  • Traité des maladies des voies urinaires, 2 volumes, Paris, J. B. Baillière, 1791-1792

Bibliographie

  • Journal de médecine, chirurgie, pharmacie, etc., tome XXV, Migneret, 1812, p. 349-363
  • Pierre Sue: Notice historique sur François Chopart,[Paris, Impr. de Migneret], 1812, Texte intégral.
  • (de) Jörn Wolf, « François Chopart (1743-1795) - Erfinder der partiellen Fußamputation in der Articulatio tarsi transversa », in: Operative Orthopädie und Traumatologie, Munich, , 12 (4), p. 341-344.
  • (en) M. DeGere, J. Grady, « A Modification of Chopart’s Amputation With Ankle and Subtalar Arthrodesis by Using an Intramedullary Nail », in: The Journal of Foot and Ankle Surgery, vol. 44, no 4, p. 281-286.
  • (en) Kaj Klaue: « Chopart fractures », in: Injury, 2004 Sep;35 Suppl 2:SB64-70.

Références

  1. M. Prevost et Roman d'Amat, Dictionnaire de Biographie française : 1. CHOPART (François), p. 1249

Voir aussi

Articles connexes

Liens externes

  • icône décorative Portail de la médecine
  • icône décorative Portail de Paris