Gingivite
| Médicament | Peroxyde de carbamide, métronidazole, minocycline et chlorhexidine |
|---|---|
| Spécialité | Stomatologie |
| CISP-2 | D82 |
|---|---|
| CIM-10 | K05.0-K05.1 |
| CIM-9 | 523.0-523.1 |
| DiseasesDB | 34517 |
| MedlinePlus | 001056 |
| MeSH | D005891 |
Mise en garde médicale
La gingivite est une inflammation de la gencive, associée ou non à des phénomènes dégénératifs, nécrotiques ou prolifératifs et causée par la plaque bactérienne. La gingivite est une maladie parodontale, c'est-à-dire une maladie touchant le parodonte, les tissus entourant la dent.
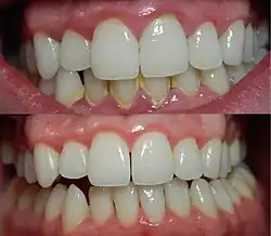
Une gencive saine présente un aspect « en peau d'orange », rose pâle, et ne saigne pas au contact. Lors de la gingivite, la gencive devient rouge (toute variation de couleur signe une situation pathologique), lisse et gonflée. Elle saigne facilement, soit lors du brossage, soit parfois même spontanément. On peut observer des poches parodontales, c'est-à-dire un espace qui se forme entre le haut de la gencive et le niveau où elle s'attache à l'os.
Classification

La gingivite peut être localisée ou généralisée, marginale, papillaire, diffuse.
Gingivite chronique
C'est la gingivite habituelle, inflammation de la gencive due à la plaque dentaire.
Ses signes sont : rougeur ; œdème (papilles boursouflées) ; gencive brillante, vernissée (la piqueté disparaît) ; saignements fréquents. Il peut y avoir formation de poches parodontales.
Elle n'est pas douloureuse.
Gingivite hypertrophique ou hyperplasique
On observe une augmentation de volume importante (parfois on ne voit même plus les dents). La gencive est très fibreuse ; la texture et la teinte restent normales (car on ne voit pas la partie enflammée).
L'étiologie est la prolifération des fibroblastes. Elle est parfois d'origine idiopathique, mais le plus souvent elle est favorisée par certains médicaments : certains antiépileptiques, la ciclosporine, la nifédipine et certains bêta-bloquants).
Gingivite hypertrophique localisée : épulis
Il s'agit d'une tumeur framboisée. La teinte est prononcée, la texture vernissée ; la profondeur du sillon augmente beaucoup (jusqu'à 7-8 mm au lieu des 2 à 3 habituels) ; saigne très facilement.
Aussi appelée gingivite gravidique, elle est favorisée notamment par certaines hormones féminines (fréquent chez la femme enceinte).
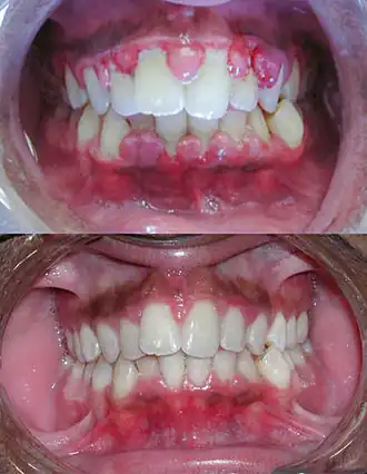
Gingivite ulcéronécrotique
Dans ce cas très particulier, on a affaire à une destruction tissulaire par nécrose, sans formation de poche.
La gingivite ulcéronécrotique (GUN est aussi caractérisée par une haleine métallique, un cycle de douleur aigüe, une gencive luisante, rouge vif avec saignement abondant automatiquement lorsqu'une légère pression est exercée sur celle-ci. Une personne atteinte de la gingivite ulcéronécrotique) doit consulter un spécialiste le plus tôt possible, car les bactéries de cette maladie étant très agressives peuvent détruire les papilles interdentaires et l'os créant ainsi des cratères.
Cette maladie est généralement déclenchée par un stress quelconque très important, ou une maladie grave. Il faut une immunodépression pour déclencher une GUN.
Causes
Facteur étiologique
Le facteur étiologique (le facteur causal, responsable de la maladie) de la gingivite est parfois la plaque dentaire, constituée essentiellement de bactéries. Une carence de vitamine C peut aussi entraîner une gingivite[1][source insuffisante].
Les bactéries étant des corps étrangers, leur présence constitue une agression et provoque une réaction de défense de la part de la gencive. Cette réaction se traduit par l'inflammation visible : afflux de sang pour amener les cellules de défense immunitaire.
La plaque dentaire se forme en permanence, et doit être éliminée par le brossage, deux fois par jour, si possible après chaque repas, et par un détartrage lors d'une visite annuelle chez le dentiste.
Facteurs favorisants
- La présence de tartre.
Le tartre est de la plaque minéralisée. Il est donc en grande partie constitué de bactéries. Il provoque une double irritation de la gencive : d'une part une irritation biologique à cause des bactéries ; d'autre part une irritation physique parce qu'il est rugueux. Une fois le tartre formé, on ne peut plus l'éliminer par un simple brossage. Il faut aller chez le dentiste pour faire un détartrage. - Des couronnes mal positionnées et/ou mal adaptées ; des restaurations débordantes.
Si les couronnes posées par le dentiste ne reconstituent pas exactement la forme physiologique de la dent, elles retiennent plus facilement la plaque bactérienne et favorisent son accumulation. La forme et l'aspect des restaurations sont surtout importantes au niveau du collet (la zone de la dent au niveau de la gencive) et du point de contact (la zone entre deux dents). - Des dents mal alignées.
Elles peuvent rendre le brossage plus difficile. - Déséquilibre hormonal.
La gingivite est favorisée par la circulation dans le sang de certaines hormones, notamment chez la femme, au cours de la grossesse[2],[3]. On pourra dans ce cas voir se former des épulis, hyperplasie très localisée de la gencive. Ce phénomène n'est pas grave. - Certains médicaments.
Certains médicaments favorisent une hypertrophie de la gencive (des anti-épileptiques, des immuno-suppresseurs). - Maladies systémiques : c'est le cas par exemple du diabète, des leucémies, et de diverses maladies immunitaires (ex. : SIDA).
Évolution
Si la gingivite n'est pas correctement traitée ou ne guérit pas spontanément, il y a un risque d'infection aux micro-organismes parasites tels que des amibes Entamoeba gingivalis, des Trichomonas tenax, responsables d'une parodontite (inflammation du parodonte, c'est-à-dire des tissus de soutien de l'organe dentaire ; gencive, cément, ligament alvéolo-dentaire et os alvéolaire) ; causant une diminution du niveau osseux, pouvant être associée à une mobilité des dents concernées. La parodontite peut causer une mauvaise haleine, des dégâts osseux visibles, une rétractation de la gencive, un abcès parodontal, des douleurs gingivales, une chute des dents concernées.
Traitements
Traitement étiologique
Le traitement étiologique ou traitement préventif est, de loin, la meilleure des choses. Il s'agit :
- d'un brossage régulier et efficace des dents : la plaque doit être éliminée, le plus parfaitement possible, à chaque brossage (deux fois par jour, mais en tout cas après chaque repas) ;
- d'un détartrage également régulier : la fréquence est variable selon les individus, en fonction de la vitesse de formation de la plaque dentaire ; une fréquence d'une fois par an est la moyenne habituelle (à l'occasion de la visite de contrôle).
Traitement curatif
Un traitement curatif n'est entrepris que dans les cas où le traitement étiologique se révèle insuffisant, ce qui est rarement le cas quand on est encore au stade de gingivite. Un traitement chirurgical est généralement nécessaire quand on est au stade de parodontite.
- Profondeur de poche trop importante. Dans ce cas, la chirurgie peut devenir nécessaire.
- Gingivite hypertrophique, généralisée ou localisée (épulis). Dans ce cas, on pratique une gingivectomie, chirurgie simple, avec de bons résultats.
- On peut utiliser comme adjuvants des bains de bouche antiseptiques à la chlorhexidine.
Notes et références
- ↑ Cours de Nutrition, Prof. Abdul Dulloo, département de physiologie, UniFR, CH, 2011
- ↑ Répercussions de la grossesse sur les tissus paradontaux (1re partie) Le courrier du dentiste janvier 2001
- ↑ Répercussions de la grossesse sur les tissus paradontaux (2e partie) Le courrier du dentiste janvier 2001
Articles connexes
Liens externes
- Ressources relatives à la santé :
- Ressource relative à la recherche :
- Notices dans des dictionnaires ou encyclopédies généralistes :
- Portail de la médecine