Hernie discale

Hernie discale
Description de cette image, également commentée ci-après
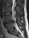
Hernie discale L4-L5 sur une IRM en coupe sagittale.
Traitement
Spécialité Neurochirurgie
Classification et ressources externes
CIM-10 M51.2
CIM-9 722.0-722.2
OMIM 603932
DiseasesDB 6861
MedlinePlus 000442
eMedicine 1263961
radio/219
MeSH D007405

Wikipédia ne donne pas de conseils médicaux Mise en garde médicale

Une hernie discale est une lésion atteignant le rachis et caractérisée par le déplacement d'une partie d'un disque intervertébral hors des limites de sa situation normale. En principe, cette hernie est la conséquence d'une ouverture dans l'anneau fibreux laissant passer une partie du noyau pulpeux, plus mou, à l'extérieur de cet anneau. La hernie discale est habituellement en rapport avec une lésion dégénérative du disque liée à l'âge, pouvant être favorisée par un traumatisme ou des efforts répétés. Le plus souvent la hernie est localisée au niveau postérolatéral, ce qui est favorisé par la présence du ligament longitudinal postérieur dans le canal vertébral[1].

En principe, la douleur résulte de la compression d'une racine d'un nerf spinal, l'exemple le plus fréquent étant la lombosciatique résultant d'une hernie discale de niveau lombaire. Par ailleurs, la fissure du disque préalable à la hernie pourrait être à l'origine de la libération de médiateurs inflammatoires, ce qui pourrait expliquer des douleurs en l'absence de compression tissulaire.[réf. nécessaire] Les symptômes en rapport avec la hernie discale sont le plus souvent d'évolution favorable en quelques semaines avec un traitement médical symptomatique. Rarement, un traitement chirurgical est requis.

Localisation

Schéma d'une coupe transversale du rachis cervical passant au niveau d'un disque ; à gauche : aspect normal ; à droite : hernie discale postérolatérale gauche.

Les disques intervertébraux sont situés, comme leur nom l'indique, entre deux vertèbres sus - et sous-jacentes, au niveau du rachis cervical, thoracique et lombaire. Il n'y a cependant pas de disque entre les vertèbres C1 et C2 qui s'articulent différemment. Il existe également un disque entre la cinquième vertèbre lombaire et le sacrum. On distingue au total 23 disques intervertébraux, nommés d'après les vertèbres adjacentes.

On décrit une hernie selon sa direction. Ainsi, dans le plan axial, on décrit les hernies médianes, postérolatérales ou paramédianes, foraminales et extraforaminales. Dans le plan sagittal, on décrit les hernies ascendantes et descendantes. On distingue les hernies exclues (vis-à-vis du ligament longitudinal postérieur), saillantes (par définition) ou non (forme incomplète de hernie discale).

La majorité des hernies discales surviennent au niveau du rachis lombaire, l'immense majorité concernant les disques L4-L5 ou L5-S1[2]. Le deuxième site en termes de fréquence est le rachis cervical, le plus souvent au niveau C5-C6 ou C6-C7. Le rachis thoracique est rarement atteint.

La hernie est habituellement en position postérolatérale, endroit où l'anneau fibreux est relativement plus fin et non soutenu par le ligament longitudinal antérieur[2]. Les différences anatomiques entre les portions du rachis expliquent qu'une hernie de position postérolatérale comprime un nerf passant dans un trou de conjugaison de même niveau (pour le rachis cervical) ou de niveau directement inférieur (pour le rachis thoracique et lombaire)[2]. Ainsi, par exemple, une telle hernie de niveau C5-C6 comprime le nerf C6 (trou de conjugaison C5-C6[3]) et une même hernie de niveau S1-S2 comprime le nerf S1 (trou de conjugaison S1-S2)[2].

Dans le cas d'une hernie discale lombaire, les nerfs entrant dans la constitution du nerf sciatique et du nerf fémoral peuvent être atteints[4]. Dans le cas d'une hernie discale cervicale, les nerfs qui participent au plexus cervical ou au plexus brachial peuvent être concernés[5].

Physiopathologie

Schéma d'une vue latérale gauche du rachis montrant une hernie discale lombaire postérolatérale gauche avec compression d'une racine nerveuse.

La hernie discale résulte habituellement de la progression d'une protrusion discale, c'est-à-dire une lésion incomplète de l'anneau fibreux permettant une saillie intermittente, selon les contraintes exercées sur le disque. Cette saillie est permanente lorsque survient la hernie.

Il ne s'agit pas d'un simple glissement de disque, ce dernier ayant de nombreux moyens de fixation aux vertèbres adjacentes. Il peut être comprimé, étiré ou tordu, le tout à faibles degrés. Les lésions du disque peuvent être des déchirures ou des arrachements pouvant aboutir à une hernie[6]. Il faut cependant noter qu'un glissement est possible au cours de l'enfance, ce que l'on appelle spondylolisthésis[7].

La hernie discale peut résulter d'une usure d'origine dégénérative, souvent favorisée par des efforts répétés de soulèvement, pouvant être en rapport avec le travail. En position debout, la pression est également répartie sur l'ensemble de la surface du disque, et lors d'un mouvement de flexion antérieure au cours d'un effort de soulèvement la pression locale peut être considérablement augmentée.

La hernie postérieure est favorisée par la compression de la portion antérieure du disque lors de la flexion antérieure du tronc, ce qui entraîne la poussée du noyau pulpeux contre la portion postérieure de l'anneau fibreux. Ceci peut aboutir à la rupture de l'anneau fibreux et au déplacement progressif du contenu du noyau pulpeux à travers cette lésion vers le canal vertébral. La compression d'un nerf spinal du fait d'une hernie entraîne des symptômes décrits plus bas.

Certains facteurs génétiques ont pu être identifiés, comme des mutations de gènes codant des protéines de régulation de la matrice extracellulaire tels que MMP2 ou THBS2[8].

Certains éléments laissent à penser que la névralgie peut être en rapport avec une inflammation[9],[10],[11],[12]. Des éléments plaident en faveur d'un des médiateurs inflammatoires en particulier, le tumor necrosis factor alpha (TNF alpha)[13],[14]. Cette molécule est présente lors d'un syndrome de la queue de cheval[15]. Elle est cependant également retrouvée en cas d'arthrose articulaire postérieure[9],[16],[17]. Cette molécule pourrait aussi contribuer aux lésions dégénératives du disque[18]

Les douleurs de dos peuvent être des signes d'une usure débutante, pouvant s'aggraver en véritable hernie[réf. nécessaire].

Épidémiologie

Dans la grande majorité des cas, le siège de la hernie est lombaire. Le disque en cause est moins souvent de niveau cervical ou thoracique, représentant respectivement 8 % et 2 %[19]. La plupart des cas de hernies discales surviennent entre les âges de 30 et 50 ans. Chez les sujets plus âgés, le noyau pulpeux a une structure plus dense, ce qui diminue le risque de survenue d'une hernie. Selon certains résultats, environ 5 % des hommes et 3 % des femmes de plus de 35 ans ont déjà eu un épisode de lombosciatique.

Symptômes

Les symptômes d'une hernie discale dépendent du disque atteint et de la localisation précise de la hernie. Ainsi la hernie peut être asymptomatique, responsable de douleur du dos (lombalgie, cervicalgie ou dorsalgie)[20] d'intensité variable, de douleur neurogène dans le territoire cutané innervé par un nerf comprimé par le disque. La douleur est alors le plus souvent localisée à un membre inférieur. Dans le même territoire peuvent exister des troubles sensitifs comme un engourdissement, des picotements, (paresthésie, dysesthésie). Il peut exister une faiblesse musculaire touchant les muscles innervés par ce même nerf.

Une étude sur le rachis cervical menée sur un petit échantillon de personnes asymptomatiques a montré une protrusion discale chez la moitié des sujets, ce qui suggère qu'une part non négligeable de la population générale est porteuse d'une hernie discale asymptomatique[21],[22].

Le plus souvent un seul nerf est atteint. Cependant lorsque la hernie est de taille importante, plusieurs nerfs peuvent être touchés, constituant le syndrome de la queue de cheval lorsque la hernie est de niveau lombaire. Les signes assoient l'atteinte de plusieurs nerfs, ce qui peut se traduire notamment par des troubles sphinctériens (pollakiurie, dysurie, incontinence fécale, constipation) ou une dysfonction sexuelle.

IRM sagittale montrant une hernie discale de niveau L5-S1.

Diagnostic

Le diagnostic est établi par un médecin sur la base de l'interrogatoire et de l'examen clinique. Des examens complémentaires peuvent être demandés en fonction de la présentation, dans le but de confirmer le diagnostic en vue d'un traitement envisagé, ou de rechercher d'autres pathologies comme un spondylolisthésis, une pathologie dégénérative, une tumeur.

Le médecin peut ainsi diagnostiquer :

Examen clinique

L'examen clinique peut retrouver un signe de Lasègue, signe très sensible mais peu spécifique. Ainsi, son absence permet de rendre moins probable le diagnostic de hernie discale lombaire basse. Une manœuvre similaire peut être réalisée lorsque le patient est assis, cependant la sensibilité de cette méthode est moindre[23]. Les signes cliniques peuvent également inclure signe de Léri, déficit sensitif, parésie, abolition de réflexe ostéotendineux, parfois trouble sphinctérien.

Il existe d'autres tests cliniques comme :

  • le test de Spurling, qui permet de repérer les pathologies foraminales de la douleur ;
  • le test d'Erb (décrit par le neurologue allemand Wilhelm Erb), qui permet de repérer les douleurs d'étirement du paquet vasculonerveux constituant le plexus brachial lié à une hernie discale (vrai Erb), d'un syndrome canalaire du membre supérieur ;
  • le test de compression axiale qui permet de rechercher un conflit discal et peut aiguiller le diagnostic médical.
  • le test des dermatomes avec une roulette de Wartenberg qui permet de déterminer si une région est hyper-sensible ou dans les cas les plus avancés, hyposensible. Grâce aux cartographies des dermatomes, le test des dermatomes permet alors de déterminer quelle racine nerveuse est atteinte.

La clinique est suffisante pour poser le diagnostic de radiculalgie, et permet de présumer son origine en rapport avec une hernie discale, sans l'affirmer. En dehors de l'urgence (atteinte paralysante ou syndrome de la queue de cheval), le diagnostic formel de hernie discale est d'ailleurs inutile les premières semaines, puisqu'il n'y a pas d'incidence thérapeutique tant qu'une intervention chirurgicale n'est pas envisagée.

Examens complémentaires

Radiographie lombosacrée de profil montrant un affaissement de l'espace entre les vertèbres L5 et S1 en faveur d'une hernie discale.

Les examens complémentaires ne sont nécessaires que si une intervention chirurgicale est probable, soit devant l'échec d'un traitement médical bien conduit et suffisamment prolongé, soit en urgence dans le cas d'une atteinte paralysante ou du syndrome de la queue de cheval. Ils peuvent aussi être réalisés lorsqu'un autre diagnostic est évoqué.

La radiographie est limitée pour l'analyse des tissus mous (disque, muscle, nerf) et ne permet donc pas de montrer une hernie. Cependant, elle est utilisée dans le cadre du diagnostic différentiel avec une tumeur, une infection ou une fracture par exemple. Elle a par ailleurs un coût faible par rapport aux autres techniques.

La tomodensitométrie permet d'établir une image montrant la hernie discale, bien qu'elle soit parfois difficile à mettre en évidence. Elle peut montrer également le canal vertébral, son contenu et les structures adjacentes.

L'imagerie par résonance magnétique peut montrer la hernie, le canal vertébral, les nerfs, les tissus environnants. Les tissus mous sont les mieux analysés par cet examen qui est le plus performant pour le diagnostic de hernie discale. Les images pondérées en T2 montrent clairement la hernie.

La myélographie est une radiographie effectuée avec injection de produit de contraste dans l'espace méningé. Elle permet de visualiser des lésions qui empiètent sur l'espace du canal rachidien, telles que les hernies ou les tumeurs. Le myéloscanner utilise la même technique, associée à la tomodensitométrie ; il permet de visualiser encore mieux les lésions.

L'électromyogramme permet d'étudier la conduction au niveau des nerfs. Il peut orienter vers un dysfonctionnement d'un nerf et déterminer la localisation de cette anomalie. Son utilité est limitée.

La stimulation magnétique transcrânienne permet de mesurer la conduction nerveuse au sein de la moelle épinière. Elle permet de mettre en évidence une anomalie de la moelle ainsi que de la localiser, ce qui peut être utile lorsqu'il existe plusieurs hernies cervicales potentiellement responsables[24]. Elle permet également de suivre l'évolution de la lésion et a un intérêt pour le diagnostic différentiel[25].

Traitement

Dans la plupart des cas, le traitement de la hernie discale est symptomatique et repose sur un traitement médical. Dans le cas d'une lombosciatique, ce traitement est le plus souvent suffisant[26].

Traitement médicamenteux

Voie orale

Le traitement médical comporte habituellement un antalgique ou un anti-inflammatoire non stéroïdien (AINS). Un traitement par corticoïde oral (par exemple prednisone ou méthylprednisolone) est parfois proposé.

Infiltration

Cliché d'une infiltration articulaire et épidurale par voie articulaire C5-C6 droite.

Une infiltration de corticoïde est parfois réalisée, à proximité du nerf touché ; un tel traitement semble avoir une efficacité sur quelques mois[27],[28]. La réponse au traitement semble dépendre de l'extension de la compression du nerf en cause, définie à l'aide de critères radiologiques : présence de graisse épidurale et de liquide cérébrospinal, et aspect du nerf. Ainsi, un aspect de compression importante est associée à un taux d'échec plus important[29]. Les complications résultant de techniques d'infiltration inadaptées sont rares[30].

Traitement fonctionnel

Plusieurs techniques de kinésithérapie sont disponibles. Dans le cas de la hernie discale lombaire, des moyens thérapeutiques tels que l'éducation du patient sur la mécanique du corps, la physiothérapie (avec des techniques telles que les ultrasons, le massage, le conditionnement, un programme d'exercice), la perte de poids ou le port de ceinture de soutien lombosacré peuvent être utilisés[31].

La kinésithérapie a une efficacité variable selon les caractéristiques du patient. Les facteurs à prendre en compte sont le seuil de douleur et le retentissement de la symptomatologie, pouvant aller d'un simple inconfort à une impotence majeure[32]. L'exercice physique est une des modalités possibles de traitement, pouvant faire appel à certains appareils de musculation[32].

La manipulation vertébrale pourrait avoir une efficacité à court terme dans le traitement de la hernie discale lombaire[33],[34]. Il n'y a pas vraiment de preuve concernant un traitement à long terme pour la hernie de siège lombaire. C'est également le cas pour la hernie cervicale. La manipulation vertébrale semble sûre lorsqu'elle est pratiquée par un professionnel qualifié[35],[36]. Cependant, selon l'OMS, la manipulation vertébrale est contre-indiquée en cas de déficit neurologique progressif (cas du syndrome de la queue de cheval par exemple)[37]

La décompression non chirurgicale n'est pas une technique étayée[38]. Cette méthode est très controversée[39].

Traitement chirurgical

Le traitement chirurgical est en principe utilisé en dernier recours, sauf en cas de déficit neurologique significatif[40] ou d'un syndrome de la queue de cheval qui sont des urgences chirurgicales.

Concernant le recours à la chirurgie hors contexte d'urgence, une méta-analyse de la Cochrane Collaboration a conclu en l'existence de preuves limitées en faveur de la chirurgie. D'autres études semblent aller dans le même sens[41],[42],[43].

Les techniques chirurgicales sont nombreuses ; on peut citer la chimionucléolyse (dissolution du matériel hernié)[44], la nucléoplastie[45], l'annuloplastie électrothermique intradiscale, la discectomie, la méthode Tessys, la laminectomie, l'hémilaminectomie, la fusion lombaire (en cas de hernie lombaire répétée), la discectomie cervicale antérieure avec fusion, l'arthroplastie discale (technique expérimentale pour la hernie cervicale), la stabilisation dynamique, le remplacement artificiel de disque.

Les buts de la chirurgie sont la levée de compression du nerf, la guérison du nerf, le soulagement de la douleur et la restauration du fonctionnement.

Recherche

Des recherches sur l'utilisation de cellules souches sont en cours en vue de la régénération d'un disque intervertébral. Des modèles animaux sont en faveur de l'arrêt de la dégénérescence discale et de la favorisation de sa régénération partielle[46].

Notes et références

  1. (en) Gerald L. Burke, « Backache: From Occiput to Coccyx : Chapter 3: The Anatomy of Pain in Backache », MacDonald Publishing (consulté le )
  2. 1 2 3 4 (en) Keith L. Moore, Anne M.R. Agur ; in collaboration with and with content provided by Arthur F. Dalley II ; with the expertise of medical illustrator Valerie Oxorn and the developmental assistance of Marion E. Moore, Essential clinical anatomy, Baltimore, MD, Lippincott Williams & Wilkins, , 3ème éd., 286 p. (ISBN 978-0-7817-6274-8 et 0-7817-6274-X)
  3. Il faut rappeler que la nomenclature des nerfs spinaux est particulière pour le rachis cervical : un nerf dénommé C(n) émerge du canal vertébral entre les vertèbres C(n-1) et C(n) ; pour le reste du rachis, un nerf X(n) émerge au niveau X(n)-X(n+1).
  4. (en) Lumbar herniation, eMedicine
  5. (en) Cervical herniation, eMedicine
  6. (en) « Slipped discs : "they do not actually 'slip'..." », Emedicinehealth.com, (consulté le )
  7. (en) Gerald L. Burke, « Backache : From Occiput to Coccyx - Chapter 6: Miscellany Related to Nuclear Lesions », MacDonald Publishing (consulté le )
  8. (en) Yuichiro Hirose et al., « A Functional Polymorphism in THBS2 that Affects Alternative Splicing and MMP Binding Is Associated with Lumbar-Disc Herniation », American Journal of Human Genetics, vol. 82, no 5, , p. 1122–1129 (PMID 18455130, PMCID 2427305, DOI 10.1016/j.ajhg.2008.03.013, lire en ligne)
  9. 1 2 (en) Peng B, Wu W, Li Z, Guo J, Wang X, « Chemical radiculitis », Pain, vol. 127, nos 1–2, , p. 11–6 (PMID 16963186, DOI 10.1016/j.pain.2006.06.034)
  10. (en) Marshall LL, Trethewie ER, « Chemical irritation of nerve-root in disc prolapse », Lancet, vol. 2, no 7824, , p. 320 (PMID 4124797, DOI 10.1016/S0140-6736(73)90818-0)
  11. (en) McCarron RF, Wimpee MW, Hudkins PG, Laros GS, « The inflammatory effect of nucleus pulposus. A possible element in the pathogenesis of low-back pain », Spine, vol. 12, no 8, , p. 760–4 (PMID 2961088, DOI 10.1097/00007632-198710000-00009)
  12. (en) Takahashi H, Suguro T, Okazima Y, Motegi M, Okada Y, Kakiuchi T, « Inflammatory cytokines in the herniated disc of the lumbar spine », Spine, vol. 21, no 2, , p. 218–24 (PMID 8720407, DOI 10.1097/00007632-199601150-00011, lire en ligne)
  13. (en) Igarashi T, Kikuchi S, Shubayev V, Myers RR, « 2000 Volvo Award winner in basic science studies: Exogenous tumor necrosis factor-alpha mimics nucleus pulposus-induced neuropathology. Molecular, histologic, and behavioral comparisons in rats », Spine, vol. 25, no 23, , p. 2975–80 (PMID 11145807, DOI 10.1097/00007632-200012010-00003, lire en ligne)
  14. (en) Sommer C, Schäfers M, « Mechanisms of neuropathic pain: the role of cytokines », Drug Discovery Today: Disease Mechanisms, vol. 1, no 4, , p. 441–8 (DOI 10.1016/j.ddmec.2004.11.018)
  15. Sekiguchi M, Kikuchi S, Myers RR, « Experimental spinal stenosis: relationship between degree of cauda equina compression, neuropathology, and pain », Spine, vol. 29, no 10, , p. 1105–11 (PMID 15131438, DOI 10.1097/00007632-200405150-00011, lire en ligne)
  16. (en) Igarashi A, Kikuchi S, Konno S, Olmarker K, « Inflammatory cytokines released from the facet joint tissue in degenerative lumbar spinal disorders », Spine, vol. 29, no 19, , p. 2091–5 (PMID 15454697, DOI 10.1097/01.brs.0000141265.55411.30, lire en ligne)
  17. (en) Sakuma Y, Ohtori S, Miyagi M, et al., « Up-regulation of p55 TNF alpha-receptor in dorsal root ganglia neurons following lumbar facet joint injury in rats », Eur Spine J, vol. 16, no 8, , p. 1273–8 (PMID 17468886, PMCID 2200776, DOI 10.1007/s00586-007-0365-3)
  18. (en) Séguin CA, Pilliar RM, Roughley PJ, Kandel RA, « Tumor necrosis factor-alpha modulates matrix production and catabolism in nucleus pulposus tissue », Spine, vol. 30, no 17, , p. 1940–8 (PMID 16135983, DOI 10.1097/01.brs.0000176188.40263.f9, lire en ligne)
  19. (en) MedlinePlus Encyclopedia, Herniated nucleus pulposus
  20. Corniola M., Tessitore E., Gautschi O. et Schaller K., « Hernie discale lombaire : Diagnostic et prise en charge », Revue Médicale Suisse, vol. 10, , p. 2376-2382 (lire en ligne), (Consultation le 30 octobre 2019)
  21. (en) Robert E Windsor, « Frequency of asymptomatic cervical disc protrusions », Cervical Disc Injuries., eMedicine, (consulté le )
  22. (en) Ernst CW, Stadnik TW, Peeters E, Breucq C, Osteaux MJ, « Prevalence of annular tears and disc herniations on MR images of the cervical spine in symptom free volunteers », Eur J Radiol, vol. 55, no 3, , p. 409–14 (PMID 16129249, DOI 10.1016/j.ejrad.2004.11.003)
  23. (en) Rabin A, Gerszten PC, Karausky P, Bunker CH, Potter DM, Welch WC, « The sensitivity of the seated straight-leg raise test compared with the supine straight-leg raise test in patients presenting with magnetic resonance imaging evidence of lumbar nerve root compression », Archives of physical medicine and rehabilitation, vol. 88, no 7, , p. 840–3. (PMID 17601462, DOI 10.1016/j.apmr.2007.04.016)
  24. (en) Deftereos SN. et al., « Localisation of cervical spinal cord compression by TMS and MRI », Funct Neurol, vol. 24, no 2, , p. 99–105 (PMID 19775538)
  25. (en) Chen R, Cros D, Curra A. et al., « The clinical diagnostic utility of transcranial magnetic stimulation: report of an IFCN committee », Clin Neurophysiol, vol. 119, no 3, , p. 504–32 (PMID 18063409, DOI 10.1016/j.clinph.2007.10.014)
  26. (en) Vroomen PC, de Krom MC, Knottnerus JA, « Predicting the outcome of sciatica at short-term follow-up », Br J Gen Pract, vol. 52, no 475, , p. 119–23 (PMID 11887877, PMCID 1314232, lire en ligne)
  27. (en) Landau WM, Nelson DA, Armon C, Argoff CE, Samuels J, Backonja MM, « Assessment: use of epidural steroid injections to treat radicular lumbosacral pain: report of the Therapeutics and Technology Assessment Subcommittee of the American Academy of Neurology », Neurology, vol. 69, no 6, , p. 614; author reply 614–5 (PMID 17679685, DOI 10.1212/01.wnl.0000278878.51713.c8)
  28. (en) Ghahreman et al. « The efficacy of transforaminal injection of steroids for the treatment of lumbar radicular pain », Pain Medicine 2010;11:1149-68. PMID 20704666
  29. (en) Ghahreman et al. « Predictors of a favorable response to transforaminal injection of steroids in patients with lumbar radicular pain due to disc herniation », Pain Medicine, 2011, vol. 12, p. 871-9 PMID 21539702
  30. (en) Abbasi A, Malhotra G, Malanga G, Elovic EP, Kahn S, « Complications of interlaminar cervical epidural steroid injections: a review of the literature », Spine, vol. 32, no 19, , p. 2144–51 (PMID 17762818, DOI 10.1097/BRS.0b013e318145a360)
  31. (en) « Rush University Medical Center » (consulté le )
  32. 1 2 (en) A. Gasiorowski, « The role of weight training in treating farmers with lumbar discopathy », Ann Agric Environ Med, vol. 19, no 4, , p. 817–20 (PMID 23311814)
  33. (en) Leininger B, Bronfort G, Evans R, Reiter T, « Spinal manipulation or mobilization for radiculopathy: a systematic review », Phys Med Rehabil Clin N Am, vol. 22, no 1, , p. 105–25 (PMID 21292148, DOI 10.1016/j.pmr.2010.11.002)
  34. (en) Hahne AJ, Ford JJ, McMeeken JM, « Conservative management of lumbar disc herniation with associated radiculopathy: a systematic review », Spine, vol. 35, no 11, , E488–504 (PMID 20421859, DOI 10.1097/BRS.0b013e3181cc3f56)
  35. (en) N Snelling, « Spinal manipulation in patients with disc herniation: A critical review of risk and benefit », International Journal of Osteopathic Medicine, vol. 9, no 3, , p. 77–84 (DOI 10.1016/j.ijosm.2006.08.001, lire en ligne)
  36. (en) D Oliphant, « Safety of Spinal Manipulation in the Treatment of Lumbar Disk Herniations: A Systematic Review and Risk Assessment », Journal of manipulative and physiological therapeutics, vol. 27, no 3, , p. 197–210 (DOI 10.1016/j.jmpt.2003.12.023)
  37. (en) WHO guidelines on basic training and safety in chiropractic. "2.1 Absolute contraindications to spinal manipulative therapy", p. 21.
  38. (en) Dwain M Daniel, « Non-surgical spinal decompression therapy: does the scientific literature support efficacy claims made in the advertising media? », Chiropractic and Osteopathy, vol. 15, no 1, , p. 7 (PMID 17511872, PMCID 1887522, DOI 10.1186/1746-1340-15-7, lire en ligne)
  39. (en) Be Wary of Spinal Decompression Therapy with VAX-D or Similar Devices, Stephen Barrett
  40. (en) Scott D. Stern, Adam S. Cifu, Diane Altkorn, Symptom to Diagnosis: An Evidence-Based Guide, New York, Lange Medical Books/McGraw-Hill, , 67–81 p. (ISBN 0-07-146389-5), « Back Pain »
  41. (en) Weinstein JN, Tosteson TD, Lurie JD, et al., « Surgical vs Nonoperative Treatment for Lumbar Disk Herniation: The Spine Patient Outcomes Research Trial (SPORT): A Randomized Trial », JAMA, vol. 296, no 20, , p. 2441–50 (PMID 17119140, PMCID 2553805, DOI 10.1001/jama.296.20.2441)
  42. (en) Weinstein JN, Lurie JD, Tosteson TD, et al., « Surgical vs Nonoperative Treatment for Lumbar Disk Herniation: The Spine Patient Outcomes Research Trial (SPORT) Observational Cohort », JAMA, vol. 296, no 20, , p. 2451–9 (PMID 17119141, PMCID 2562254, DOI 10.1001/jama.296.20.2451)
  43. (en) Peul WC, van Houwelingen HC, van den Hout WB, et al., « Surgery versus prolonged conservative treatment for sciatica », N Engl J Med., vol. 356, no 22, , p. 2245–56 (PMID 17538084, DOI 10.1056/NEJMoa064039, lire en ligne)
  44. (en) « Minimally invasive procedures to treat herniated disk », Mayoclinic.com, (consulté le )
  45. (en) Li J, Yan DL, Zhang ZH, « Percutaneous cervical nucleoplasty in the treatment of cervical disc herniation », Eur Spine J., vol. 17, no 12, , p. 1664–96 (PMID 18830638, PMCID 2587670, DOI 10.1007/s00586-008-0786-7)
  46. (en) Leung VY, Chan D, Cheung KM, « Regeneration of intervertebral disc by mesenchymal stem cells: potentials, limitations, and future direction », Eur Spine J, vol. 15 Suppl 3, no Suppl 3, , S406–13 (PMID 16845553, PMCID 2335386, DOI 10.1007/s00586-006-0183-z)

Voir aussi

Bibliographie

Articles connexes

Liens externes

  • icône décorative Portail de la médecine