Hydrocéphalie à pression normale

L'hydrocéphalie à pression normale ou hydrocéphalie chronique (HPN) est une anomalie de la circulation du liquide cérébrospinal (LCS) responsable d'un excès au sein du système ventriculaire cérébral. Le tableau clinique est typiquement une triade regroupant anomalie de la statique et de la marche, troubles sphinctériens, et syndrome démentiel. Elle est caractérisée par une dilatation ventriculaire à l'imagerie sans augmentation importante de la pression intracrânienne (PIC). Il est important d'en faire le diagnostic car les symptômes, dont la démence, s'améliorent sous traitement.
Types
Il y a deux types d'hydrocéphalie à pression normale : idiopathique et secondaire. Cette dernière peut être due à : hémorragie sous-arachnoïdienne, traumatisme crânien, infection du système nerveux central, complication d'une intervention intracrânienne ou néoplasie[1][source insuffisante].
Épidémiologie
La prévalence de l'HPN est d'environ 0,5 %, touchant les sujets âgés de plus de 65 ans, avec une incidence annuelle d’environ 5,5 patients /100,000 personnes[2],[3] touchant aussi bien les hommes que les femmes , avec pic entre la 6e et 7e décennie.
Physiopathologie
La physiopathologie de l'HPN n'est pas très bien comprise : plusieurs théories ont été proposées, la plus probable étant une anomalie de la réabsorption du liquide cérébrospinal au niveau des granulations arachnoïdiennes. Elle se traduit par une accumulation anormale de celui-ci, responsable d'une dilatation du système ventriculaire sans élévation importante de la pression intracrânienne. De ce fait les patients ne développent pas les signes classiques d'hypertension intracrânienne — céphalées, nausées, vomissements et troubles visuels —, cependant cette dilatation est responsable d'un étirement du tissu cortical adjacent qui va se traduire par la triade classique (trouble moteurs, sphinctériens et démence)[4].
Tableau clinique
Les signes ne sont pas spécifiques et sont inconstants, ce qui fait que le diagnostic peut être tardif[5].
La triade classique de l'HPN a été décrite la première fois par Hakim et Adams en 1965[6], consistant en troubles de la marche, troubles sphinctériens, syndrome démentiel (pour les anglophones « wet, wobbly and wacky » ou « weird walking water »). Cette triade est complète dans 60 % des cas[5]. Elle ne constitue plus une condition sine qua non pour poser le diagnostic :
- symptômes moteurs : sont typiquement les signes inaugurants de la triade, ils sont retrouvés jusqu’à 92 % selon les études et ce symptôme est obligatoire selon certains auteurs, ils sont d'installation progressive, secondaire à l'expansion du système ventriculaire surtout au niveau des ventricules latéraux et donc à l'étirement des faisceaux moteurs corticospinaux. ces troubles peuvent aller d'un ralentissement de la marche avec élargissement de la base de sustentation dans les formes précoces, jusqu'à acquisition d'une marche à petits pas (mimant celle de la maladie de Parkinson, sans qu'il y ait d'hypertonie ou de tremblement ) avec une tendance marquée à traîner les pieds (marche « magnétique ») qui est considérée comme caractéristique de la NPH. Dans la plupart des cas il s'agit d'un trouble de l'équilibre avec faiblesse et fatigabilité des membres inférieurs sans ataxie ou parésie associé à l'examen clinique. Plus tardivement, le patient va passer de l'incapacité de marcher à l'incapacité de se mettre debout, s’asseoir, voire se tourner dans son lit. Ce stage avancé est dénommé « astasie-abasie hydrocéphalique » ;
- démence : peut manquer au début, elle peut être à type d'apathie, de perte d’intérêt et d'initiative, trouble de concentration, un retard psychomoteur avec perturbations des fonctions exécutives témoignant du degré de l'atteinte du lobe frontal ;
- des troubles sphinctériens apparaissent en dernier à type d'incontinence urinaire, impériosité mictionnelle (urgenturie) et instabilité du detrusor. Dans les cas sévères, cette incontinence est associée à une indifférence à la miction (le patient est indifférent au contexte) due à l'atteinte du fonctionnement du lobe frontal ainsi qu'une encoprésie.
Diagnostic
Le diagnostic de l'HPN est généralement orienté par une imagerie cérébrale pour éliminer tout processus lésionnel . une ponction lombaire sera demandé par la suite, avec possible drainage externe quotidien du liquide cérébrospinal pour trois à quatre jours avec évaluation de la réponse clinique.
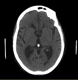
- Le scanner cérébral peut montrer une dilatation ventriculaire disproportionnée par rapport à l’atrophie corticale avec élargissement des cornes frontales et arrondissement des cornes temporales sans atrophie de l'hippocampe.
- L'IRM cérébrale, en plus de la dilatation, permet de mettre en évidence d'autres affections du système nerveux central, soit des diagnostics différentiels ou bien des facteurs affectant le pronostic du patient.
- La ponction lombaire (dite ponction de décharge ou test de Fisher-Miller), demandée à la suite de l'imagerie, permet de simuler l'effet shunt de la dérivation par le retrait de 30 à 50 centimètres cubes seulement de liquide cérébrospinal. Une amélioration des signes cliniques après la ponction augmente les chances d’une réponse positive à l’intervention avec une valeur prédictive positive de 73-100 %. cependant un test dit « négatif » n'exclut pas l’amélioration après dérivation.
- Le drainage lombaire diagnostique par cathéter spinal à raison de 100-200 mL par jour a montré une meilleure sensibilité et spécificité en ce qui concerne l'amélioration en post-opératoire[7].
Diagnostic différentiel
Puisque l'HPN est une maladie du sujet âgé et du fait que ses symptômes — troubles de la marche, l’incontinence urinaire et la démence — sont généralement attribués à cette tranche d'âge, il est très important d'exclure un nombre important de diagnostics différentiels, car seuls les patients qui représentent une HPN bénéficieront du traitement spécifique de cette affection.
L'HPN peut ainsi se confondre avec[4] :
- sténose rachidienne lombaire ou cervicale ;
- alcoolisme chronique ;
- infections intracrâniennes (abcès cérébral, empyème sousdural, méningite) ;
- méningite carcinomateuse ;
- maladie d’Alzheimer ;
- maladie de Parkinson ;
- artériosclérose sous-corticale ;
- hématome sous-dural ;
- pathologies systémiques (par exemple hypothyroïdie, maladie d’Addison) ;
- tumeurs (bénigne ou maligne) ;
- etc.
À noter qu'une atteinte concomitante n'est pas à exclure.
Traitement
La dérivation liquidienne par mise en place d'un shunt reste le traitement de choix : il s'agit d'une dérivation ventriculo-péritonéale permettant de drainer l'excès du liquide cérébrospinal qui sera absorbé au niveau du péritoine. Ce shunt est muni d'une valve dont la résistance peut-être programmée[8]. Une fois que le shunt est en place, une diminution de la taille des ventricules est observée dans les 3-4 jours quelle que soit la durée de l'hydrocéphalie, chose qui ne peut être dite des signes cliniques.
La bonne évolution du patient après traitement est conditionnée par plusieurs éléments :
- âge du patient ;
- durée de l'évolution de la maladie ;
- étiologie connue de l'hydrocéphalie ;
- importance des troubles moteurs au moment du diagnostic ;
- taille des sillons corticaux ;
- dilatation ventriculaire ;
- exclusion des diagnostics différentiels ;
- amélioration clinique après la ponction lombaire[9].
L'amélioration des symptômes se voit dans plus de 80 % des cas mais l'intervention comporte un peu moins de 10 % de complications[10]. Elles surviennent le plus souvent avant la première année et sont, principalement, à type de dysfonction du shunt ou d'infections du dispositif[11]. Les résultats à long terme restent bons[12], avec une amélioration de la qualité de vie[13].
Notes et références
- ↑ National Institute of Neurological Disorders and Stroke. (2011, April 29).
- ↑ (en) A. Brean et Eide, P. K., « Prevalence of probable idiopathic normal pressure hydrocephalus in a Norwegian population », Acta Neurologica Scandinavica, vol. 118, no 1, , p. 48–53. (PMID 18205881, DOI 10.1111/j.1600-0404.2007.00982.x)
- ↑ (en) Naofumi Tanaka, Yamaguchi, Satoshi, Ishikawa, Hiroyasu, Ishii, Hiroshi et Meguro, Kenichi, « Prevalence of Possible Idiopathic Normal-Pressure Hydrocephalus in Japan: The Osaki-Tajiri Project », Neuroepidemiology, vol. 32, no 3, , p. 171–175. (PMID 19096225, DOI 10.1159/000186501)
- 1 2 Jean-Yves Fournier, Gerhard Hildebrandt, Oliver Gautschi, « Hydrocéphalie à pression normale » Rev Med Suisse 2010;6(245):836-839.
- 1 2 (en) Baheerathan A, Chauhan D, Koizia L, O’Neal H, « Idiopathic normal pressure hydrocephalus », BMJ, no 354, , i3974. (DOI 10.1136/bmj.i3974, lire en ligne)
- ↑ Adams RD, Fisher CM, Hakim S, Ojemann RG, Sweet WH, Symptomatic occult hydrocephalus with “normal” cerebrospinal-fluid pressure: a treatable syndrome, N Engl J Med, 1965;273:117-126
- ↑ (en) A Marmarou, Bergsneider, M, Klinge, P, Relkin, N et Black, PM, « The value of supplemental prognostic tests for the preoperative assessment of idiopathic normal-pressure hydrocephalus », Neurosurgery, vol. 57, no 3 Suppl, , S17-28; discussion ii-v (PMID 16160426, DOI 10.1227/01.neu.0000168184.01002.60)
- ↑ Rinaldo L, Bhargav AG, Nesvick CL, Lanzino G, Elder BD, Effect of fixed-setting versus programmable valve on incidence of shunt revision after ventricular shunting for idiopathic normal pressure hydrocephalus, J Neurosurg, 2020;133:
- ↑ (en) Maria A. Poca, Mataró, Maria, Matarín, Maria Del Mar, Arikan, Fuat, Junqué, Carmen et Sahuquillo, Juan, « Is the placement of shunts in patients with idiopathic normal pressure hydrocephalus worth the risk? Results of a study based on continuous monitoring of intracranial pressure », Journal of Neurosurgery, vol. 100, no 5, , p. 855–866 (PMID 15137605, DOI 10.3171/jns.2004.100.5.0855)
- ↑ (en) Toma AK, Papadopoulos MC, Stapleton S, Kitchen ND, Watkins LD, « Systematic review of the outcome of shunt surgery in idiopathic normal-pressure hydrocephalus », Acta Neurochir (Wien), vol. 155, no 10, , p. 1977-80. (PMID 23975646, DOI 10.1007/s00701-013-1835-5, lire en ligne)
- ↑ Larsson A, Wikkelsö C, Bilting M, Stephensen H, Clinical parameters in 74 consecutive patients shunt operated for normal pressure hydrocephalus, Acta Neurol Scand, 1991;84:475-482
- ↑ Grasso G, Torregrossa F, Leone L, Frisella A, Landi A, Long-term efficacy of shunt therapy in idiopathic normal pressure hydrocephalus, World Neurosurg, 2019;129:e458-e463
- ↑ Israelsson H, Eklund A, Malm J, Cerebrospinal fluid shunting improves long-term quality of life in idiopathic normal pressure hydrocephalus, Neurosurgery, 2020;86:574-582
- Portail de la médecine
- Portail des neurosciences