Invasion périneurale
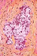
L'invasion périneurale est un mode d'extension loco-régionale des cellules cancéreuses le long d'un nerf au cours de l'extension tumorale. Elle s'observe en particulier fréquemment dans les cancers de la prostate (adénocarcinome prostatique) et les différents types de cancers ORL.
Microscopie
- Invasion périneurale par un adénocarcinome prostatique. HE, x200
Invasion périneurale par un adénocarcinome prostatique. HE, x200
Voir aussi
Références
- Portail de la médecine