Mésothéliome
| Symptômes | Sibilance, dyspnée, douleur thoracique, épanchement pleural, amaigrissement et toux sèche (d) |
|---|
| Spécialité | Oncologie et pneumologie |
|---|
| CISP-2 | R84 |
|---|---|
| CIM-10 | C45 |
| CIM-9 | 163 |
| ICD-O | M9050/3-9055 |
| OMIM | 156240 |
| DiseasesDB | 8074 |
| MedlinePlus | 000115 |
| eMedicine | 280367 |
| MeSH | D008654 |
Mise en garde médicale
Le mésothéliome est une forme rare et virulente de cancer des surfaces mésothéliales qui affecte le revêtement des poumons (la plèvre), de la cavité abdominale (le péritoine), l'enveloppe du cœur (le péricarde) ou plus rarement l'enveloppe du testicule (vaginale). Le mésothéliome pulmonaire est causé par l'exposition à des fibres minérales (comme l’amiante, ou l'érionite[1]).
Les études actuelles permettent d'affirmer (odds ratio de 6,6 et risque relatif de 5,02) sans ambigüité une relation entre l'exposition à l'amiante et le développement d'un mésothéliome péritonéal[2],[3],[4].
Certains individus y ont été exposés sur leur lieu de travail, tandis que d’autres ont été exposés secondairement par des membres de la famille qui, à leur insu, ont ramené des fibres à la maison de leur travail dans leurs vêtements ou leurs cheveux ou sur leur peau.
Le mésothéliome est une maladie à déclaration obligatoire en France, les professionnels de santé doivent la signaler au médecin de l'Agence régionale de santé[5].
Mésothéliome pulmonaire
Définition
La survenue de cette maladie, parfois qualifiée de « cancer de l'amiante », cette fibre étant le principal facteur de risque reconnu pour ce type de cancer, n'est pas indicative d'un seuil minimal d'exposition et son traitement médical a un impact limité sur l'espérance de vie des malades.
Les premières manifestations retrouvées à l'examen clinique sont des douleurs thoraciques, souvent associées à un essoufflement et à un épanchement pleural récidivant, en général hémorragique. Le temps de latence entre la première exposition et le développement du mésothéliome est rarement inférieur à 20 ans, souvent de l'ordre de 30 à 40 ans, voire plus[6]. Il ne semble pas exister de valeur seuil d'exposition en rapport avec un risque d'apparition.
L'on a décrit des cas de mésothéliomes pleuraux survenant dans l'environnement familial proche des travailleurs exposés à l'amiante, les sujets étant exposés du fait de la contamination des locaux d'habitation ou lors de l'entretien de vêtements empoussiérés.
Le tabac ne semble pas augmenter le risque de survenue d'un mésothéliome alors qu'il est un facteur de risque supplémentaire pour le cancer broncho-pulmonaire (CBP)[7].
Signes et symptômes
Ils sont non spécifiques : douleur thoracique, essoufflement, fatigue, perte d'appétit, etc.
Examens complémentaires
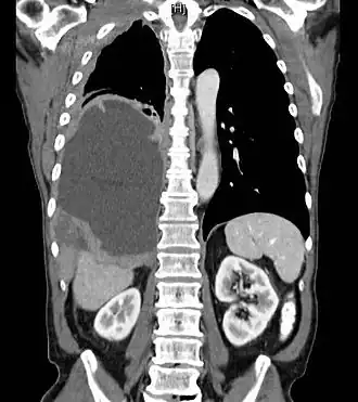
Même si le mésothéliome peut être dépisté par une simple radiographie du thorax, l'examen de référence est le scanner thoracique[8], l'IRM pouvant constituer une alternative[9]. La tomographie par émission de positons permet de faire le bilan d'extension[10].
Le diagnostic est fait par l'analyse anatomopatholique d'un échantillon de la tumeur prélevée par biopsie pleurale ou par chirurgie par thoracoscopie ou médiastinoscopie[11].
Le bilan d'extension permet une classification TNM[12] qui permet de décider d'une stratégie thérapeutique.
Le niveau d'ostéopontine dans le sérum peut être utile dans le dépistage du mésothéliome chez les personnes exposées. Le niveau de la protéine soluble liée à la mésothéline est élevée dans le sérum chez environ 75 % des patients dont le diagnostic a été confirmé et on a suggéré qu'il pouvait être utile pour le dépistage[13]. Le dosage de la mésothéline elle-même, dans le sang, serait spécifique mais peu sensible[14]. La fibuline-3 serait un marqueur prometteur, tant dans son dosage sanguin que dans celui de la plèvre[15].
Diagnostic
Il existe trois types histologiques[16] : la forme épithélioïde représente plus de la moitié des cas. La forme sarcomatoïde est de plus mauvais pronostic. Il existe également un type mosaïque combinant les deux[6].
| Positif | Négatif |
| EMA (epithelial membrane antigen = antigène épithélial membranaire) | CEA (antigène carcinoembryonnaire) |
| WT1 (tumeur de Wilms 1) | B72.3 |
| Calrétinine | MOC-3 1 |
| Mésothéline-1 | CD15 |
| Cytokératine 5/6 | Ber-EP4 |
| HBME-1 (human mesothelial cell 1 = cellule mésothéliale humaine 1) | TTF-1 |
Physiopathologie
Le mésothélium se compose d'une seule et mince couche de cellules cubiques formant un épithélium bordant les cavités séreuses du corps comprenant le péritoine, le péricarde et la plèvre pour former une cavité virtuelle. Le dépôt de fibres minérales dans le parenchyme pulmonaire peut avoir comme conséquence leur pénétration dans la plèvre viscérale d’où la fibre peut alors gagner la surface pleurale, et de ce fait conduire au développement des plaques mésothéliales malignes. Le processus menant au développement du mésothéliome péritonéal n'est pas encore connu. On a suggéré que des fibres d'amiante en provenance du poumon pourraient être transportées vers l'abdomen et les organes associés par l'intermédiaire du système lymphatique. En plus, les fibres minérales peuvent être déposées dans l'intestin après l'ingestion de crachats contaminés.
On a montré que la contamination de la plèvre par l'amiante ou d'autres fibres minérales, peut induire la cancérogenèse. Les longues et minces fibres d'amiante (amiante bleu, amphiboles) sont des carcinogènes plus efficaces que « les fibres plumeuses » du chrysotile (ou amiante blanc). Chez les rats le développement d’un mésothéliome a été provoqué par l'inoculation intrapleurale de fibres phosphorylées de chrysotile. On a suggéré que chez l'homme, le transport des fibres jusqu’à la plèvre serait le stade critique dans la pathogénie du mésothéliome. Cette hypothèse est confortée par l’afflux observé d’un nombre significatif de macrophages et d'autres cellules du système immunitaire vers les lésions localisées provoquées par les fibres d'amiante accumulées dans les cavités pleurales et péritonéales des rats. Ces lésions continuent à attirer des macrophages en grand nombre pendant que la maladie progresse, et les changements cellulaires à l’intérieur de la lésion aboutissent à une tumeur dont la morphologie possède tous les caractères de malignité.
L'expérimentation suggère d’évidence que l'amiante agit en tant que carcinogène complet dans le développement du mésothéliome qui se produit par étapes séquentielles d’initiation et de promotion. Les mécanismes moléculaires sous-tendant la transformation maligne des cellules mésothéliales normales en présence de fibres d'amiante demeurent assez obscurs en dépit de la démonstration des possibilités oncogènes de la substance. Cependant, la transformation in vitro de cellules mésothéliales humaines normales en cellules de phénotype malin après exposition aux fibres d'amiante n'a pas été encore réalisée. Généralement on pense que les fibres d'amiante exercent leur effet cancérigène par l'intermédiaire d’interactions physiques directes avec les cellules du mésothélium en conjonction avec des effets indirects avec interaction avec des cellules inflammatoires telles que les macrophages. Les études comportant l'inoculation intrapleurale ou intrapéritonéale de différents types de fibre d'amiante chez les rats et les souris ont établi que les fibres longues et minces sont responsables d’une incidence plus élevée du mésothéliome que les fibres courtes et que les cellules phagocytent et stockent les fibres les plus longues plus efficacement que des fibres courtes. De même, l’incubation de cellules de hamster syrien avec de la fibre de verre dont la longueur moyenne était de 9,5 µm a provoqué des transformations cellulaires avec une rapidité identique à celle de la crocidolite. La réduction de la longueur de ces fibres pour obtenir une dimension approximative de 2,2 µm a réduit la capacité de transformation cellulaire d’un facteur 10 à 20 tandis qu’une réduction plus importante à moins d’1µm supprimait complètement la capacité de transformation cellulaire par les particules de fibre de verre.
L'analyse des interactions entre les fibres d'amiante et l'ADN a montré que les fibres phagocytées peuvent entrer en contact avec les chromosomes, les fibres adhérent souvent à la chromatine ou s’emmêlent dans le chromosome. Ce contact entre la fibre d'amiante et les protéines de structure de la double hélice du chromosome peut induire des anomalies complexes. L'anomalie la plus commune est la monosomie du chromosome 22. D'autres anomalies fréquentes comprennent le réarrangement de la structure des bras des 1res, 3e, 6e, et 9e paires de chromosomes.
Les anomalies génétiques les plus communes dans les lignées cellulaires de mésothéliome comprennent la délétion des gènes suppresseurs de tumeurs suivants :
- neurofibromatose type 2 à 22q12
- p16INK4A
- p14ARF (en)
On a également montré que l'amiante pouvait servir de médiateur pour l'entrée d’ADN étranger dans les cellules cible. L'incorporation de cet ADN étranger peut provoquer des mutations et aboutir à l'oncogenèse par plusieurs mécanismes possibles :
- inactivation des gènes suppresseurs de tumeur ;
- activation de gènes oncogènes ;
- activation de proto-oncogènes en raison de l'incorporation d'ADN étranger contenant un gène promoteur ;
- activation des enzymes de réparation d'ADN, qui peuvent être enclins à des erreurs ;
- activation de la télomérase ;
- prévention de l’apoptose.
On a montré que les fibres d'amiante pouvaient changer la fonction et les propriétés sécrétoires des macrophages, créant finalement des conditions qui favorisent le développement du mésothéliome. Après avoir phagocyté les fibres d'amiante, les macrophages produisent des quantités accrues de radicaux hydroxyle qui sont les sous-produits normaux du métabolisme cellulaire anaérobie. Cependant, ces radicaux libres sont aussi connus comme clastogène et également agents ayant une action sur la membrane pour favoriser l’effet cancérigène de l'amiante. Ces oxydants peuvent participer au processus oncogène directement et indirectement en agissant sur l'ADN, en modifiant la membrane cellulaire par différents mécanismes, incluant l'activation d’oncogènes et la perturbation des défenses cellulaires antioxydantes.
L'amiante peut également avoir des propriétés immunosuppressives. Par exemple, on a montré que les fibres de chrysotile diminuent la prolifération in vitro des lymphocytes périphériques stimulés par les phytohémagglutinines, suppriment la lyse des cellules tueuses naturelles et réduisent de manière significative la viabilité et le renouvellement des cellules tueuses activées PAR les lymphokines (en). En outre, les changements génétiques des macrophages activés par l’amiante peuvent avoir comme conséquence la production de substances mitogènes efficaces sur les cellules mésothéliales comme le facteur de croissance plaquettaire (en) (PDGF (en)) et le facteur de croissance de transformation – le β (TGF-β (en)) qui à son tour, peut induire la stimulation chronique et la prolifération des cellules mésothéliales après des lésions provoquées par des fibres d'amiante.
Épidémiologie
Incidence
La mortalité due à cette maladie a commencé à diminuer, probablement du fait de l'élimination progressive de l'amiante[6]. Le mésothéliome reste un cancer relativement rare (environ un cas pour un million d’habitants ; par comparaison, les populations avec un niveau de tabagisme élevé peuvent atteindre l'incidence de plus de mille cancer du poumon par million d’habitants[17]).
L'incidence du mésothéliome malin atteint actuellement un niveau d’environ 7 à 40 cas par 1 000 000 habitants dans les nations occidentales industrialisées, suivant l’importance de l'exposition des populations à l'amiante pendant les décennies passées[18]. On a estimé que l'incidence aux États-Unis a pu atteindre un à 15 pour 1 000 000 habitants en 2004. On s'attend à ce que l'incidence continue à augmenter dans d'autres régions du monde. Le mésothéliome se produit plus souvent chez les hommes que chez les femmes et le risque augmente avec l'âge, mais cette maladie peut apparaître chez des hommes ou des femmes à n'importe quel âge. Approximativement un cinquième à un tiers de tous les mésothéliomes sont des tumeurs péritonéales.
En France, en 2014, un rapport du HCSP s'appuyant sur les données de l'InVS a estimé que sur 100 000 morts de l'amiante prévus de 2009 à 2050 (50 000 à 75 000 seront dus à un cancer du poumon et 18 000 à 25 000 à un mésothéliome[19]. Et selon l'InVS 61 000 à 118 000 décès, ont déjà été causés par l'amiante entre 1995 et 2009, dont 25 000 à 36 000 dus à un mésothéliome (pour 36 000 à 82 000 dus à cancer pulmonaire professionnel)[19]. L'Andeva (association nationale de défense des victimes de l'amiante) demande une réduction du seuil à 0,5 fibre par litre d'air au lieu du seuil de 5 fibres par litre d'air pour retirer ou confiner l'amiante contenue dans les bâtiments[19].
Facteurs de risque
L’exposition professionnelle à l’amiante est le facteur de risque principal pour le mésothéliome. Un passé d'exposition à l'amiante existe dans presque tous les cas répertoriés. Cependant, le mésothéliome a été rapporté dans quelques cas d’individus sans exposition connue à l'amiante.
L'amiante est le nom d'un groupe de minerais qui se présentent naturellement sous la forme d’un agglomérat de fibres dures et flexibles qui peuvent être séparées en fils minces et être tissées. L'amiante a été employé couramment dans beaucoup de produits industriels, y compris le ciment, des garnitures de frein, bardeaux de toit, revêtement de sol, des textiles, et des produits d’isolation. Si de minuscules particules d'amiante flottent dans l’air, particulièrement pendant le processus de fabrication, elles peuvent être inhalées ou avalées, et poser de sérieux problèmes de santé. En plus du mésothéliome, l'exposition à l'amiante augmente le risque de cancer bronchique, provoque l'asbestose, une fibrose pulmonaire (maladie chronique non cancéreuse), et d'autres cancers, comme les tumeurs du larynx et du rein. Pour une personne l’association du tabagisme et de l'exposition à l'amiante augmente de manière significative le risque de développer un cancer des voies aériennes supérieures ou un carcinome bronchique. La marque Kent a utilisé de l'amiante dans ses filtres pour cigarettes pendant quelques-unes de ses premières années de production dans les années 1950 et quelques cas de mésothéliome en ont résulté. En dehors de ce cas particulier, le tabagisme ne semble pas augmenter le risque de mésothéliome. Quelques études suggèrent que le virus simien 40 (SV40) pourrait agir comme cofacteur dans le développement du mésothéliome[20].
Il existe certains facteurs génétiques qui prédisposent au mésothéliome. C'est le cas d'un variant du gène BAP1[21]. D'autres mutations ont également été décrites[22].
Exposition à l'amiante
Les secteurs professionnels ayant conduit à des expositions à l'amiante concernaient les unités d'extraction, et les industries employant de l'amiante du fait de ses propriétés :
- unités d'extraction (mines et moulins, afin de préparer des fibres de calibre donné),
- fabrication de matériaux à base d'amiante : fabrication de fibrociment, de textile amiante[23], de matériaux de friction (freins, embrayages),
- isolation (dans le bâtiment, dans la confection de fours industriels, dans la fabrication de matériel thermique et frigorifique, dans les chantiers navals) et calorifugeage (le flocage avec des produits contenant de l'amiante est interdit en France depuis 1997),
- utilisation d'amiante comme protection contre la chaleur (gants, tabliers, cordons, couvertures…) dans diverses industries : chantiers navals, sidérurgie, fonderie, fabrication de verre, industrie du bâtiment…
Depuis l'interdiction de fabrication d'importation et de commercialisation de matériaux contenant de l'amiante en France (décret 96-1133 du 24/12/1996), c'est l'intervention sur des matériaux en place contenant de l'amiante qui constitue la préoccupation majeure, en particulier chez tous les professionnels du bâtiment (travaux de retrait d'amiante).
En 2011, six régions de France sont soumises à déclaration obligatoire des mésothéliomes, dans le cadre de la surveillance épidémiologique de l'InVS et du plan Cancer 2009-2013 Aquitaine, Auvergne, Île-de-France (Val-de-Marne et Seine-Saint-Denis), Lorraine, Midi-Pyrénées, Provence-Alpes-Côte d'Azur (Alpes-Maritimes, Bouches-du-Rhône, Var). 1 090 décès ont été estimés dus à un mésothéliome pleural malin en 2005. Pour 80 % l'exposition aux fibres d'amiante était retrouvée et près de 70 % étaient des hommes. L'amiante serait encore responsable de 10 à 20 % des cancers du poumon, et pourrait causer 100 000 décès d'ici 2025, selon des données de l’ex-Agence sanitaire environnement et travail (Afsset). Depuis 2002, le Fonds d'indemnisation des victimes de l'amiante (Fiva), a versé près de 2,4 milliards d'euros à quelque 52 000 victimes[24],[25].
Traitement
Le traitement du mésothéliome par des thérapies conventionnelles n’a pas prouvé son efficacité et les patients ont une durée médiane de survie de 6 à 12 mois après le diagnostic. Dans les meilleurs cas (ceux qui peuvent bénéficier d'une cure chirurgicale étendue), elle peut atteindre 20 mois[26]. Le degré de malignité de la tumeur dépend de plusieurs facteurs dont la surface mésothéliale totale de la cavité pleurale dont l’importance favorise les métastases locales par le biais des cellules exfoliées, ainsi que l'invasion des tissus sous-jacents et d'autres organes dans la cavité pleurale. Un autre facteur qui intervient est la période de latence extrêmement longue entre l'exposition à l'amiante et le développement de la maladie.
Chirurgie
Il existe deux types de chirurgie. La pleurectomie partielle plus légère et la pleurotectomie élargie qui consiste à retirer la plèvre et un bloc pulmonaire. Elle n'est jamais curative et son intérêt reste discuté[6].
Gestion de l'épanchement pleural
L'épanchement pleural est, en règle, récidivant, sauf si la chirurgie peut être curative. Il nécessite des ponctions itératives peu confortables. Plusieurs techniques permettent de réduire l'inconfort ou la fréquence des ponctions, comme l'injection de talc dans la cavité pleurale (talcage) ou la mise en place d'un cathéter intra-pleural (permettant de vider la plèvre à la demande, sans la ponctionner). Ces deux techniques ont leurs avantages et inconvénients : nécessité de plus de ponctions pour le talcage et plus de complications pour le cathéter[27].
Chimiothérapie
L'association de pémétrexed et de cisplatine s'avère être supérieure au cisplatine seule[28], ce qui permet, en , l'approbation par la Food and Drug Administration de son utilisation. L'utilisation de cette drogue est autorisée en France depuis 2005. Le raltitrexed (en) semble avoir une efficacité comparable[29],[30]. Le bevacizumab[31] ou le pembrolizumab en association avec la chimiothérapie standard (pemetrexed + cisplatine) entraîne une amélioration de la survie. L'association nivolumab et ipilimumab[32] augmente la survie par rapport à l'association pémétrexed et cisplatine[33].
Immunothérapie
Les protocoles thérapeutiques comportant un traitement par immunothérapie ont donné des résultats variables. Par exemple, l'inoculation intrapleurale de bacille Calmette-Guérin (BCG) afin d'essayer d'amplifier la réaction immunitaire, s'est avérée n’apporter aucun bénéfice au patient (tandis qu'elle peut améliorer l’état des patients atteints de cancer de la vessie). Il a été prouvé in vitro que les cellules de mésothéliome étaient détruites par des cellules lymphocytaires après activation par l’interleukine-2 (IL-2), mais les patients subissant cette thérapie particulière ont ressenti des effets secondaires majeurs. En effet, cet essai thérapeutique a été interrompu en raison des niveaux intolérablement élevés de la toxicité de l’IL-2 et de la sévérité des effets secondaires tels que la fièvre et le cachexie. Néanmoins, d'autres essais utilisant l'interféron alpha se sont avérés encourageants avec 20 % de patients présentant une réduction supérieure à 50 % de la masse tumorale associée à des effets secondaires minimes.
Radiothérapie
Utilisée en complément des autres traitement, elle n'a cependant pas démontré d'intérêt[34].
Recherche
Historique
Un article publié par Wagner et al. en 1960 a établi pour la première fois que le mésothéliome était une maladie résultant de l'exposition à l'amiante sous forme de crocidolite[35]. L'article répertoriait plus de 30 cas de patients qui avaient présenté un mésothéliome en Afrique du Sud dont des expositions passagères et des cas concernant des mineurs.
En 1962, le Docteur McNulty a rapporté le premier cas de mésothéliome malin diagnostiqué en Australie chez un ouvrier exposé à l'amiante[36]. L'ouvrier avait travaillé dans le moulin à la mine d'amiante de Wittenoom de 1948 à 1950.
Dans la ville de Wittenoom, des déchets d’emballage d’amiante de la mine ont été recyclés pour le revêtement des cours de récréation et des aires de jeu.
En 1965, il a été écrit dans un article paru dans le journal britannique de médecine du travail que des personnes qui avaient vécu dans le voisinage des usines et des mines d'amiante sans y travailler, avaient contracté un mésothéliome.
En dépit de la preuve que la poussière associée à l'exploitation de la mine d’amiante et au broyage des fibres était bien la cause des maladies liées à l’amiante, l'extraction commencée à Wittenoom en 1943 a continué jusqu'en 1966.
Il est difficile de comprendre pourquoi on a permis à la mine et au moulin d’abord d'ouvrir puis de continuer à fonctionner sans mesures adaptées pour maîtriser le risque ; et pourquoi rien n'a été fait pour contraindre le propriétaire (CSR) à se mettre aux normes, à adopter des méthodes de travail plus sûres ou de mettre fin aux opérations.
En 1974, les premiers avertissements publics concernant les dangers de l'amiante bleu ont été publiés dans le bulletin d’un magazine australien sous forme d’un livre relié dont la couverture s’intitulait : « ce tueur est-il dans votre maison ? »
En 1978, le gouvernement de l'Australie-Occidentale a décidé de raser la ville de Wittenoom, après la publication d'un livret du service de santé, « le risque sanitaire à Wittenoom », contenant les résultats des prélèvements d'atmosphère et une évaluation des données médicales disponibles mondialement.
En 1979, les premières plaintes pour négligence à Wittenoom ont été lancées contre CSR et sa filiale ABA, et la société des maladies d'amiante a été constituée pour représenter les victimes de Wittenoom.
Mésothéliome péritonéal
Définition
Le mésothéliome péritonéal est une tumeur maligne primitive caractérisée par l'envahissement diffus des surfaces péritonéales[37][source insuffisante] (le péritoine possède deux feuillets, l'un viscéral tapissant l'extérieur des organes, l'autre pariétal tapissant la face interne des parois de l'abdomen).
Épidémiologie
L'incidence des mésothéliomes péritonéaux a universellement augmenté depuis 1970. Dans les pays industrialisés, son incidence est estimée aujourd'hui[Quand ?] de 0,5 à 3 cas par million d'habitants chez l'homme et de 0,2 à 2 cas par million chez la femme[38]. Le mésothéliome péritonéal représente 1/5 à 1/4 de toutes les formes cliniques de mésothéliome[39].
Étiologie
Des études récentes semblent établir le lien chez l'homme sur la relation entre l'exposition à l'asbestose et le développement d'un mésothéliome péritonéal[38],[40]. Depuis le premier cas de mésothéliome pleural en relation avec une asbestose, plusieurs autres agents carcinogènes ont été identifiés[35]. Ont été évoqués : le virus-40[41], la radiothérapie abdominale[42], les péritonites chroniques[43], l'exposition au mica[44] et l'administration de dioxyde de thorium[45]. Une susceptibilité génétique possible, à transmission autosomique dominante, après exposition à l'érionite, un autre agent carcinogène incriminé a également été rapportée par Roushdy-Hammady et al. dans le Cappadociène, une région de Turquie[46].
Diagnostic et clinique
La découverte est souvent liée à une augmentation du volume de l'abdomen secondaire à une production d'ascite ou à une formation tumorale ainsi qu'à des douleurs abdominales non spécifiques. Dans 10 % des cas est rapportée la formation d'une hernie symptomatique. Il s'agit du mode de découverte le plus fréquent chez l'homme. Chez la femme, la découverte fortuite au cours d'une laparoscopie est la plus fréquente.
Le scanner thoraco-abdomino-pelvien est aujourd'hui[Quand ?] l'examen morphologique de référence pour le diagnostic, le bilan d'extension et la surveillance du mésothéliome péritonéal. Il ne permet cependant que de dépister les lésions de plus de 5 mm et il sous-estime largement l'extension intrapéritonéale de la maladie[47].
Traitement
Pendant très longtemps, le traitement des mésothéliomes péritonéaux a été palliatif. Il associait une chirurgie palliative symptomatique et une chimiothérapie systémique. Aujourd'hui[Quand ?], un traitement plus agressif mis en place depuis une vingtaine d'années[Quand ?] a considérablement modifié le pronostic de la pathologie. Cette technique consiste à associer des gestes de chirurgie de cytoréduction pour le traitement de la maladie macroscopique avec une chimiothérapie intrapéritonéale périopératoire : chimiothérapie post-opératoire immédiate et/ou chimiohyperthermie intrapéritonéale (CHIP) pour le traitement de la maladie microscopique.
Notes et références
- ↑ (en) [Nature Reviews Cancer, vol. 7, 2, p. 147-154 (2007)].
- ↑ (en) Asbestos and peritoneal mesothelioma among college-educated men. Welch LS1, Acherman YI, Haile E, Sokas RK, Sugarbaker PH. Int J Occup Environ Health (en). 2005 Jul-Sep;11(3):254-8. https://www.ncbi.nlm.nih.gov/pubmed/16130966
- ↑ (en) Nature Reviews Cancer, vol. 7, 2, p. 147-154 (2007), Welch LS, Acherman YI, Haile E, Sokas RK, Sugarbaker PH. Asbestos and peritoneal mesothelioma among college-educated men. Int J Occup Environ Health (en) 2005; 11:254-8.
- ↑ (en) Domestic Asbestos Exposure: A Review of Epidemiologic and Exposure Data Goswami E1, Craven V, Dahlstrom DL, Alexander D, Mowat F. Int J Environ Res Public Health. 2013 Oct 31;10(11):5629-70. DOI 10.3390/ijerph10115629. https://www.ncbi.nlm.nih.gov/pmc/articles/PMC3863863/
- ↑ Le mésothéliome devient la 31e maladie à déclaration obligatoire (MDO) en France, communiqué de presse du de l'Institut de veille sanitaire.
- 1 2 3 4 Janes SM, Alrifai D, Fennell DA, Perspectives on the treatment of malignant pleural mesothelioma, N Engl J Med, 2021;385:1207-1218
- ↑ Camille Larue et Marie Carrière, Les nanoparticules dans l’écosystème sol[PDF], à , CEA/ADEME, IRAMIS/SIS2M/LSDRM, Gif-sur-Yvette (voir le chapitre intitulé Phénomènes précoces dans la cancérogenèse du mésothéliome).
- ↑ Woolhouse I, Bishop L, Darlison L et al. British Thoracic Society guideline for the investigation and management of malignant pleural mesothelioma, Thorax, 2018;73:Suppl 1:i1-i30
- ↑ Bibby AC, Tsim S, Kanellakis N, et al. Malignant pleural mesothelioma: an update on investigation, diagnosis and treatment, Eur Respir Rev, 2016;25:472-486
- ↑ Basu S, Saboury B, Torigian DA, Alavi A, Current evidence base of FDG-PET/CT imaging in the clinical management of malignant pleural mesothelioma: emerging significance of image segmentation and global disease assessment, Mol Imaging Biol, 2011;13:801-811
- ↑ Wald O, Groth SS, Burt BM, Sugarbaker DJ, Role of thoracoscopy, mediastinoscopy and laparoscopy in the diagnosis and staging of malignant pleural mesothelioma, J Vis Surg, 2016;2:129-129
- ↑ Rusch VW, Chansky K, Kindler HL et al. The IASLC Mesothelioma Staging Project: proposals for the M descriptors and for revision of the TNM stage groupings in the forthcoming (eighth) edition of the TNM classification for mesothelioma, J Thorac Oncol, 2016;11:2112-2119
- ↑ (en) Pass HI, Lott D, Lonardo F et al. Asbestos exposure, pleural mesothelioma, and serum osteopontin levels, N Engl J Med, 2005;353:1564-1573.
- ↑ (en) Hollevoet K, Reitsma JB, Creaney J et al. Serum mesothelin for diagnosing malignant pleural mesothelioma: an individual patient data meta-analysis, J Clin Oncol, 2012;30:1541-1549.
- ↑ (en) Pass HI, Levin SM, Harbut MR et al. Fibulin-3 as a blood and effusion biomarker for pleural mesothelioma, N Engl J Med, 2012;367:1417-1427.
- ↑ Blum Y, Meiller C, Quetel L et al. Dissecting heterogeneity in malignant pleural mesothelioma through histo-molecular gradients for clinical applications, Nat Commun, 2019;10:1333-1333
- ↑ Le cancer inconnu du grand public : Mésothéliome (mesothelioma).
- ↑ (en)General Review Article. "Advances in Malignant Mesothelioma", Bruce W. S. Robinson et Richard A. Lake in The New England Journal of Medicine (2005) volume 353 pages 1591-1603.
- 1 2 3 BatiActu et AFP (2014), brève intitulée L'amiante, un fléau qui pourrait causer 100.000 morts d'ici à 2050, avec AFP (, (consulté le ).
- ↑ (en)"SV40 in human tumors: new documents shed light on the apparent controversy", D. S. MacLachlan in Anticancer Res (2002) volume 22, pages 3495-3499.
- ↑ Testa JR, Cheung M, Pei J et al. Germline BAP1 mutations predispose to malignant mesothelioma, Nat Genet, 2011;43:1022-1025
- ↑ Panou V, Røe OD, Inherited genetic mutations and polymorphisms in malignant mesothelioma: a comprehensive review, Int J Mol Sci, 2020;21:4327-4327
- ↑ Igor Martinache, « Intoxications élémentaires », Alternatives économiques, (lire en ligne, consulté le ).
- ↑ Communiqué InVS, Déclaration obligatoire des mésothéliomes : démarrage le de la phase pilote dans six régions ; .
- ↑ Sabine Casalonga Mésothéliomes : la déclaration obligatoire a débuté, Journal de l'environnement, .
- ↑ (en) Flores RM, Zakowski M, Venkatraman E et al. Prognostic factors in the treatment of malignant pleural mesothelioma at a large tertiary referral center, J Thorac Oncol (en), 2007;2:957-965.
- ↑ Davies HE, Mishra EK, Kahan BC et al. Effect of an indwelling pleural catheter vs chest tube and talc pleurodesis for relieving dyspnea in patients with malignant pleural effusion: the TIME2 randomized controlled trial, JAMA 2012;307:2383-2389
- ↑ (en) Vogelzang NJ, Rusthoven JJ, Symanowski J et al. Phase III study of pemetrexed in combination with cisplatin versus cisplatin alone in patients with malignant pleural mesothelioma, J Clin Oncol, 2003;21:2636-2644.
- ↑ (en) van Meerbeeck JP, Gaafar R, Manegold C et al. Randomized phase III study of cisplatin with or without raltitrexed in patients with malignant pleural mesothelioma: an intergroup study of the European Organisation for Research and Treatment of Cancer Lung Cancer Group and the National Cancer Institute of Canada, J Clin Oncol, 2005;23:6881-6889.
- ↑ (en) Santoro A, O'Brien ME, Stahel RA et al. Pemetrexed plus cisplatin or pemetrexed plus carboplatin for chemonaive patients with malignant pleural mesothelioma: results of the International Expanded Access Program, J Thorac Oncol (en), 2008;3:756-763.
- ↑ (en) Zalcman, « Bevacizumab for newly diagnosed pleural mesothelioma in the Mesothelioma Avastin Cisplatin Pemetrexed Study (MAPS): a randomised, controlled, open-label, phase 3 trial », The Lancet, (lire en ligne).
- ↑ Chu Q, Perrone F, Greillier L et al. Pembrolizumab plus chemotherapy versus chemotherapy in untreated advanced pleural mesothelioma in Canada, Italy, and France: a phase 3, open-label, randomised controlled trial, Lancet; 2023;402:2295-2306
- ↑ Baas P, Scherpereel A, Nowak AK et al. First-line nivolumab plus ipilimumab in unresectable malignant pleural mesothelioma (CheckMate 743): a multicentre, randomised, open-label, phase 3 trial, Lancet, 2021;397:375-386
- ↑ Stahel RA, Riesterer O, Xyrafas A et al. Neoadjuvant chemotherapy and extrapleural pneumonectomy of malignant pleural mesothelioma with or without hemithoracic radiotherapy (SAKK 17/04): a randomised, international, multicentre phase 2 trial, Lancet Oncol, 2015;16:1651-1658
- 1 2 (en)"Diffuse pleural mesothelioma and asbestos exposure in the North Western Cape Province", J. C. Wagner, C. A. Sleggs et P. Marchand in Br J Ind Med. (1960) volume 17, pages 260-271 PubMed 13782506.
- ↑ (en)« Malignant pleural mesothelioma in an asbestos worker », J. C. McNulty in Med J Aust (1962) volume 49, pages 953-954.
- ↑ Professeur Olivier Glehen, docteur Eddy Cotte, association AMARAPE.
- 1 2 (en) Boffetta P. Epidemiology of peritoneal mesothelioma: a review. Ann Oncol (en) 2006.
- ↑ (en) Sugarbaker PH, Yan TD, Stuart OA, Yoo D. Comprehensive management of diffuse malignant peritoneal mesothelioma. Eur J Surg Oncol (de) 2006; 32:686-91.
- ↑ (en) Welch LS, Acherman YI, Haile E, Sokas RK, Sugarbaker PH. Asbestos and peritoneal mesothelioma among college-educated men. Int J Occup Environ Health (en) 2005; 11:254-8.
- ↑ (en) Bocchetta M, Di Resta I, Powers A, Fresco R, Tosolini A, Testa JR et al. Human mesothelial cells are unusually susceptible to simian virus 40-mediated transformation and asbestos cocarcinogenicity. Proc Natl Acad Sci U S A 2000; 97:10214-9.
- ↑ (en) Gilks B, Hegedus C, Freeman H, Fratkin L, Churg A. Malignant peritoneal mesothelioma after remote abdominal radiation. Cancer 1988; 61:2019-21.
- ↑ (en) Peterson JT, Jr., Greenberg SD, Buffler PA. Non-asbestos-related malignant mesothelioma. A review. Cancer 1984; 54:951-60.
- ↑ (en) Chahinian AP, Pajak TF, Holland JF, Norton L, Ambinder RM, Mandel EM. Diffuse malignant mesothelioma. Prospective evaluation of 69 patients. Ann Intern Med 1982; 96:746-55.
- ↑ (en) Maurer R, Egloff B. Malignant peritoneal mesothelioma after cholangiography with thorotrast. Cancer 1975; 36:1381-5.
- ↑ (en) Roushdy-Hammady I. Contested etiology: cancer risk among two Anatolian populations in Turkey and Europe. Cult Med Psychiatry (en) 2004; 28:315-39.
- ↑ (en) Glehen O MF, Gilly FN. Peritoneal carcinomatosis from digestive tract cancer: new management by cytoreductive surgery and intraperitoneal chemohyperthermia. Lancet Oncol. 2004; 5:219-28.
Voir aussi
Articles connexes
- Henri Pézerat
- Les Sentinelles, documentaire réalisé par le fils d'Henri Pérezat : Pierre Pézerat, retrace les travaux et le combat du chercheur avec les témoignages d'Annie Thébaud-Mony et des nombreuses personnes victimes de maladies professionnelles.
Liens externes
- (fr) Intergroupe francophone de cancérologie thoracique (IFCT) : Essais cliniques
- (fr) Association contre les maladies rares du péritoine
- Réseau national de prise en charge des tumeurs rares du péritoine (RENAPE)
- Portail de la médecine