Mononucléose infectieuse
| Causes | Virus d'Epstein-Barr ou Human betaherpesvirus 5 (d) |
|---|---|
| Transmission | Transmission aéroportée (d), transmission de l'agent pathogène par contact hématologique (d) et transmission placentaire (d) |
| Incubation min | 4 j |
| Incubation max | 40 j |
| Symptômes | Fièvre, adénopathie, hépatomégalie, splénomégalie, angine, hyperleucocytose, Hyperlymphocytose, exanthème et gonflement des ganglions lymphatiques (d) |
| Traitement | Gargarisme, médicament antimicrobien (d), corticoïde et antihistaminique |
|---|---|
| Spécialité | Infectiologie |
| CISP-2 | A75 |
|---|---|
| CIM-10 | B27.0 |
| CIM-9 | 075 |
| DiseasesDB | 4387 |
| MedlinePlus | 000591 |
| eMedicine |
784513 med/1499ped/705 |
| MeSH | D007244 |
| Patient UK | Infectious-mononucleosis |
Mise en garde médicale
La mononucléose infectieuse (MNi) correspond à la primo-infection symptomatique, provoquée par le virus d'Epstein-Barr (couramment abrégé en EBV d'après la terminologie anglophone), qui appartient à la même famille que les virus de l’herpès et de la varicelle. Transmise préférentiellement par la salive, on l'appelle « maladie du baiser », mais il s'agit le plus souvent de gouttelettes, comme la plupart des virus et bactéries. Cette affection fréquente se caractérise par une lymphocytose lympho-plasmo-monocytaire (c'est-à-dire un excès de cellules sanguines mononucléaires, d'où le terme mononucléose) et une réaction sérologique de Paul-Bunnel-Davidsohn positive. On considère de plus en plus que le suivi des anticorps de l'EBV (IgM et IgG) permet de conclure à une MNI si les autres symptômes typiques sont associés chez une personne sans défaillance de son immunité.
Les différents synonymes pour cette maladie sont : adénolymphoïdite aiguë bénigne, angine monocytaire, lymphoblastose bénigne, monocytose aiguë.
Épidémiologie
Il s'agit d'une infection extrêmement fréquente, près de 95 % des adultes dans le monde possédant les stigmates biologiques d'une ancienne infection[1]. Près de la moitié des contaminations ont lieu avant l'âge de cinq ans[1], mais cette proportion a tendance à diminuer avec le temps dans les pays développés[2] compte tenu des conditions d'hygiène. Chez un sujet sur deux, la maladie passe inaperçue (ou faible asthénie) alors que les anticorps EBV témoignent d'une contamination ancienne.
Lorsqu'elle se développe, la maladie est plus marquée chez l'adulte que chez l'enfant.
Transmission
Elle se transmet par la salive, d’où son surnom de « maladie du baiser ». 20 % des enfants sont porteurs du virus dans leurs mains[réf. nécessaire]. Elle peut aussi se transmettre, exceptionnellement, par transfusion sanguine. En général, la contamination se produit dans l’enfance, au moment de l’adolescence ou chez les jeunes adultes (20-30 ans).
À 40 ans, on estime que 90 % des adultes sont porteurs du virus EBV[3] et que 20 à 30 % sont excréteurs asymptomatiques du virus.
La mononucléose peut se transmettre par des échanges de baisers, par des verres mal nettoyés, par des couverts contaminés, par des postillons salivaires, et par les jouets qui passent de bouche en bouche chez les enfants.
Des études ont montré qu’on peut retrouver des anticorps contre le virus d'Epstein-Barr, chez environ la moitié des enfants de 4 à 5 ans. Ces enfants ont donc bien été infectés mais sans symptômes remarquables et sont immunisés.
Le virus se reproduit dans les cellules de l'amygdale ainsi que dans les lymphocytes B où il reste quiescent. L'excrétion virale est variable dans le temps et peut persister à vie[1].
Symptômes


La durée d'incubation est d'un à deux mois[1].
La maladie se caractérise par la grande variabilité des signes et de sa gravité. Elle est en général assez bénigne. Le début est souvent insidieux : les premiers jours, le sujet se plaint de malaises, d’anorexie, de légères céphalées, de frissons avec fébricules, un peu comme dans une infection de la maladie grippale.
Chez les adolescents et les jeunes adultes, l’infection par le virus Epstein-Barr s’accompagne d’une altération importante de l’état général : fièvre qui n’a rien de caractéristique, ni au point de vue de son élévation (38 à 40 °C), ni de son évolution pendant le jour (rémittente ou continue, elle finit par descendre), grande fatigue, perte d’appétit, ganglions gonflés au cou surtout, aux aisselles et à l’aine mais habituellement indolores (au départ), angine rouge, bilatérale classiquement (mais pas systématiquement), symétrique, non ulcéreuse et non hémorragique, difficultés à garder le sommeil plus de 2-3 h, douleurs musculaires, maux de tête, mal de gorge plus ou moins important, troubles respiratoires liés à l’hypertrophie de ganglions, et même augmentation de la taille de la rate (splénomégalie, parfois douloureuse) et jaunisse, des atteintes méningées, nerveuses ou cardiaques ou des réactions auto-immunes.
Il existe aussi parfois une éruption qui est localisée au tronc et à la racine des jambes et des bras. Cette éruption est parfois spontanée mais le plus souvent déclenchée par la prise d’amoxicilline[4] (antibiotique souvent prescrit en cas d’angine). Il ne s’agit pas d’une réelle allergie à cet antibiotique mais d’une réaction spécifique dans le cas de l’infection à EBV. Lors de la prise d'ampicilline, ce rash s'observe dans 80 % des cas, une fois la primo-infection déclarée. Parfois, la prise d'ampicilline a lieu un peu en amont de MNI, traitement d'un début d'angine par exemple, et ne conduit pas toujours à l'apparition du rash.
L'évolution se fait vers la guérison des symptômes en un mois environ (sauf complications). Les adénopathies et la fatigue peuvent persister plus longtemps mais, la plupart du temps, cèdent en 2 à 3 mois[1]. L'asthénie peut également perdurer au-delà de 3 mois, ce qui invalide parfois le malade dans les activités quotidiennes (cas des formes aiguës ou avec complications notamment chez l'adulte), l'hémogramme redevient normal entre 1 et 3 mois après la maladie.
Diagnostic
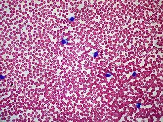
Le diagnostic est évoqué devant la présence de signes cliniques et devant une modification de l'hémogramme, montrant un syndrome mononucléosique ; le terme « inversion de la formule sanguine », plus imprécis, est parfois également rencontré. Le diagnostic est confirmé par la mise en évidence d'anticorps spécifiques contre le virus avec des tests sérologiques.
Le premier test réalisé est le « MNI test » qui est sensible et qui permet de détecter de façon large les personnes récemment contaminées (il est positif dans 80 % des cas en cas d’infection récente). Ce test produit dans 3 % des cas des faux positifs (test positif alors qu’il n’y a pas d’infection). Ce premier test doit être complété par un test de confirmation :
- recherche d’anticorps type IgM anti VCA en cas d’infection récente et le sujet est encore porteur de l’infection. Il y a alors une séro-conversion, avec une possible lymphopénie en tout début de maladie. Avec l'évolution de la maladie, on observe au bout des premières semaines, la classique « inversion de formule » sur l'hémogramme ;
- recherche d’anticorps IgG EBV-VCA et IgG EBNA en cas d’infection plus ancienne et le sujet est déjà immunisé. La présence d'IgM et d'IgG confirme le diagnostic d'une maladie en cours, lorsque les IgM ne sont plus présents, alors le sujet devient immunisé.
Ces tests sont essentiellement indiqués pour la surveillance d'une réactivation du virus chez des sujets aux défenses immunitaires affaiblies ou pour diagnostiquer un début de MNI lorsque les symptômes ne sont pas nets.
Diagnostic différentiel
- Un syndrome mononucléosique peut se révéler être secondaire à une autre infection virale, notamment par le Cytomégalovirus, l'HHV 6 (herpesvirus humain de type 6), la toxoplasmose, le VIH et l'adénovirus[5]. Seule la sérologie permet alors d'établir le diagnostic différentiel entre les deux infections virales.
- Une adénopathie isolée peut être secondaire à la maladie des griffes du chat (ou lymphoréticulose bénigne d’inoculation). Celle-ci peut donner un tableau clinique mimant une mononucléose mais sans l'angine.
Complications
Les principaux organes qui peuvent être touchés par le virus Epstein-Barr sont : le cerveau (encéphalite, méningite), cœur (myocardite), poumon (pneumonie), rein (néphrite), foie (hépatomégalie, lyse cellulaire, hépatite virale), etc. Lorsqu’elles sont prises en charge correctement, ces complications sont de bon pronostic et régressent en quelques jours. Dans certains cas (plutôt rares et associés à d’autres facteurs génétiques ou environnementaux par exemple), ce virus peut être cancérigène. Ce qui est vrai pour des patients immuno-déprimés notamment et ne se voit que très exceptionnellement chez les adolescents ou les jeunes adultes (25-30 ans).
En phase aiguë de l’infection, la rupture de la rate est également une complication rare mais très classique de cette maladie. C'est pourquoi il faut veiller à ne pas porter de charge lourde lorsque l'on est atteint par la mononucléose.
La mononucléose infectieuse est parfois responsable de complications sanguines : anémie (rare) par destruction accélérée des globules rouges (on parle d’anémie hémolytique), purpura thrombocytopénique (diminution du nombre de plaquettes responsable d’une anomalie de coagulation du sang et de petites taches rouges ou violacées sur le corps), cryoglobulinémie.
Très rarement, le virus d’Epstein-Barr peut être responsable d’un syndrome d’activation des macrophages : certaines cellules (macrophages) détruisent en partie les cellules de la moelle osseuse et sont responsables de la baisse de toutes les lignées de cellules sanguines (globules rouges, blancs et plaquettes, appelé « pancytopénie »).

La mononucléose infectieuse peut également évoluer de façon chronique (syndrome de fatigue chronique). Outre cette fatigue constamment présente, on peut noter des douleurs (maux de tête, douleurs de gorge, douleurs musculaires ou articulaires), des troubles neurologiques et psychologiques (troubles visuels, troubles de la mémoire, irritabilité excessive, troubles de concentration, dépression), une fièvre prolongée à 37,5 – 38,5 °C, un amaigrissement modéré, des ganglions douloureux ou sensibles au toucher (même si ce n'est pas toujours le cas au cours de la maladie).
Le virus EBV est également associé à un risque plus élevé d’apparition de certains cancers : cancers du nasopharynx et lymphomes (lymphome de Burkitt ou à cellules B). Ces cancers sont très rares dans la population, mais sont plus souvent retrouvés chez les personnes porteuses du virus EBV que chez les autres. La maladie de Hodgkin (LH) voit également un virus EBV présent dans 40 % des cas, mais avec des taux d'anticorps Anti VCA très au-delà des valeurs conventionnellement observées, les patients ayant souvent contracté un EBV dans les mois qui ont précédé la découverte du LH. En outre, les symptômes associés sont différents de ceux observés lors de la MNI.
Le fait de contracter la maladie durant l'adolescence ou chez l'adulte jeune doublerait le risque de survenue ultérieure de sclérose en plaques[6].
En cas de complications des examens supplémentaires sont indispensables : test sanguins (test de Coombs pour rechercher une destruction des globules rouges, tests hépatiques pour apprécier la fonction du foie), myélogramme pour l’étude des cellules de la moelle osseuse, biopsie d’un ganglion en cas de doute sur le diagnostic (rare).
Traitement et convalescence
La mononucléose infectieuse est une maladie bénigne, mais elle nécessite souvent une longue convalescence du fait de la fatigue (asthénie) qui persiste de plusieurs semaines à plusieurs mois. Aucun antibiotique n’influence le cours de la maladie. L'intérêt d'un traitement antiviral n'est pas démontré.
Il n’existe pas de traitement spécifique, mais on peut prendre des antalgiques mis à part l’aspirine (déconseillée dans le cas d’infections virales pour les enfants de moins de 16 ans car elle peut provoquer le syndrome de Reye, affection rare mais souvent mortelle). Pour contrôler la fièvre, qui peut dépasser les 39 °C, et soulager les douleurs, le repos s’impose, mais s’il y a un risque de complications (fièvre persistante, atteinte hépatique) une hospitalisation peut être envisagée.
En cas de surinfection de l’angine par un streptocoque, le recours aux antibiotiques sera nécessaire, mais en évitant les dérivés de la pénicilline (ampicilline), car ceux-ci peuvent provoquer une éruption cutanée et peuvent accentuer les symptômes de la maladie (dans 80 % des cas environ, on n'observe pas toujours de rash).
Si la symptomatologie est agressive, on peut faire régresser les manifestations (haute température, hépatite, ictère hémolytique ou complications nerveuses) par un bref traitement à la prednisone (5 à 10 jours) et doit nécessiter la recherche parallèle d'une hépatite réactionnelle due à l'infection par EBV, obligeant à stopper l'administration des corticoïdes. L'intérêt de l'utilisation des corticoïdes dans les formes bénignes n'est pas établi[7].
Les premiers essais vaccinaux montrent qu'il n'y a pas de protection contre la contamination mais qu'il existe une diminution des symptômes[8].
Voir aussi
Articles connexes
Liens externes
- Ressources relatives à la santé :
- Ressource relative à la recherche :
- Notices dans des dictionnaires ou encyclopédies généralistes :
- Dossier ECN 2004-9
Notes et références
- 1 2 3 4 5 (en) Luzuriaga K, Sullivan JL, « Infectious mononucleosis » N Eng J Med. 2010;362:1993-2000
- ↑ (en) Takeuchi K, Tanaka-Taya K, Kazuyama Y et al. « Prevalence of Epstein-Barr virus in Japan: trends and future prediction » Pathol Int. 2006;56:112-6.
- ↑ Passeport santé, mononucléose http://www.passeportsante.net/fr/Maux/Problemes/Fiche.aspx?doc=mononucleose_pm
- ↑ Nedelec Adrien - Biologiste, « EBV : clinique », sur www.memobio.fr (consulté le )
- ↑ Hurt C, Tammaro D, Diagnostic evaluation of mononucleosis-like illnesses, Am J Med, 2007;120:911 e1-8
- ↑ (en) Evan L. Thacker, SM ; Fariba Mirzaei, MD, MPH ; Alberto Ascherio MD, DrPH, « Infectious mononucleosis and risk for multiple sclerosis: a meta-analysis », Annals of Neurology (en), American Neurological Association, vol. 59, no 3, , pp. 499-503 (PMID 16502434, DOI 10.1002/ana.20820, résumé).
- ↑ (en) Candy B, Hotopf M. « Steroids for symptom control in infectious mononucleosis » Cochrane Database Syst Rev. 2006;3:CD004402-CD004402.
- ↑ (en) Sokal EM, Hoppenbrouwers K, Vandermeulen C et al. « Recombinant gp350 vaccine for infectious mononucleosis: a phase 2, randomized, double-blind, placebo-controlled trial to evaluate the safety, immunogenicity, and efficacy of an Epstein-Barr virus vaccine in healthy young adults » J Infect Dis. 2007;196:1749-53.
- Portail de la virologie
- Portail des maladies infectieuses
- Portail de l’hématologie