Odontologie conservatrice

L’odontologie conservatrice est la partie de la dentisterie qui s'occupe de soigner les dents, en éliminant le moins possible de matière dentaire saine (émail et dentine).

Description

La dent, une fois le tissu carié éliminé.
La dent reconstituée avec un composite dentaire.

Cela consiste essentiellement à éliminer les tissus cariés et à remplacer les tissus manquant par une obturation coronaire.

Le dentiste utilise généralement des instruments rotatifs pour procéder à l'éviction des tissus ramollis par la carie. Pour cela, il utilise des fraises dentaires, soit des fraises boules tournant à faible vitesse montées sur contre-angle, soit des fraises diamantées montées sur turbine (communément appelées « roulette »), tournant à vitesse élevée mais à pression faible, avec refroidissement permanent, cette technique traditionnelle fragilisant la dent.

Appareil de traitement des caries superficielles à l'ozone.

Le dentiste peut également utiliser un laser dentaire (sono-abrasion par ultra-sons) ou des instruments d'air abrasion par sablage (technique utilisée notamment pour traiter les lésions situées entre deux dents), si l'émail des dents à traiter n'est pas trop épais, si la carie est débutante[1], ainsi que des appareils à ozone dans le même cas de figure. L'intervention au laser est généralement plus coûteuse que l'intervention à la fraise.

Ensuite, il faut reconstituer la dent. Pour cela, on a le choix entre deux techniques : directe ou indirecte.

  • La technique directe, consiste à placer un matériau en phase plastique (c’est-à-dire mou) dans la cavité résiduelle et de l'y faire durcir. Les matériaux que l'on peut utiliser sont : les amalgames, les résines composites, les verres ionomères ainsi que de nombreux matériaux hybrides mélange des précédents. Cette technique a comme avantage d'être rapide, simple et peu onéreuse. En revanche, elle est peu pérenne du fait que l'interface entre le matériau et la dent (appelé le joint) est large.
  • La technique indirecte consiste à prendre l'empreinte de la cavité que l'on veut obturer, le prothésiste fabrique ensuite la pièce juste manquante. Les matériaux pouvant être utilisés sont : les métaux et alliages métalliques (or, nickel-chrome, chrome-cobalt), la résine cuite, la céramique (ou porcelaine). La pièce issue de cette technique s'appelle un inlay. Quand la cavité est très grosse et que des parties entières de dents sont à reconstruire, on les appelle onlay. Cette technique a comme avantage d'être très pérenne, très satisfaisante esthétiquement (sauf quand le matériau utilisé est métallique), mais extrêmement onéreuse (de 10 à 20 fois le prix d'une restauration par technique directe).

Les différents matériaux de restauration

En méthode directe (plombage)

Par méthode directe on entend que la cavité contenant l'amalgame est rétentive par opposition à la cavité dépouille (cavité à base élargie) qui est nécessaire à un inlay.

L'amalgame

L'amalgame ou « plombage ».
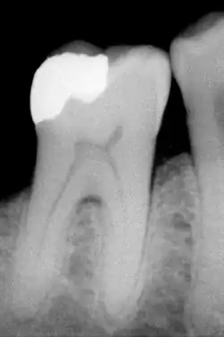
Radiographie d'une molaire obturée avec un amalgame.

C'est le matériau le plus ancien. Couramment appelé plombage, il ne contient pas de plomb. L'amalgame dentaire est constitué de mercure, d'argent, de cuivre, d'étain, de zinc… La proportion de ces métaux détermine le type d'amalgame. Les amalgames de dernière génération appelés « HCSC » (pour High copper single composition) sont à haute teneur en cuivre.

Avantages : Il est bon marché et facile d'emploi ; il est très résistant. Il a des propriétés cariostatiques car bactéricide.

Inconvénients : plus dur que la dent (d'où risque de fracture de la dent en cas de reconstitution de volume important). Non esthétique. Sa toxicité potentielle, principalement due à la présence de mercure, fait l'objet de nombreuses controverses. Sa pose est déconseillée chez les enfants, les femmes enceintes et les personnes porteuses d'atteintes rénales.

Alternative : Le collage des amalgames peut paraître assez insolite. Mais vu le contexte clinique de certaines situations, cette technique peut présenter une solution de compromis à moyen et long terme. En effet, pour des cavités mutilantes des structures dentaires sans rétention, surtout quand les artifices prothétiques ne sont pas indiqués dans l’immédiat, le collage des amalgames peut être une alternative intéressante[2].

Les composites

Ces matériaux sont beaucoup plus récents. Au départ, les composites dentaires étaient surtout utilisés pour des raisons esthétiques sur les dents antérieures. Mais des progrès importants permettent désormais une utilisation beaucoup plus large, complémentaire avec l'amalgame. Ils sont constitués de charges minérales de diamètre plus ou moins important noyées dans une matrice organique en proportion plus ou moins grande. Cette proportion ainsi que la taille des particules minérales déterminent le type de composite. Ils sont collés à la dent par le biais d'une préparation chimique des surfaces dentaires.

Avantages : Plus souple que l'amalgame (dureté très proche de celle de la dentine). Très esthétique.

Inconvénients : Nécessite d'être parfaitement au sec lors de la mise en place (sinon le collage ne peut pas se faire). Nécessite une meilleure hygiène de la part du patient (sinon le risque de reprise de carie est plus élevé). Risque d'intolérance, d'allergie, de relargage de résidus toxiques s'ils sont mal utilisés.

Les verres ionomères

Ce sont des verres, c’est-à-dire des particules minérales noyées dans une matrice de silice. Ils sont chargés avec des ions fluor et se comportent comme une pile à fluor : les apports fluorés (sel, eau de boisson, dentifrice, etc.) s'accumulent dans le matériau et sont relargués tout au long de la journée. Ils sont en revanche très peu résistants et ne doivent être utilisés comme obturation définitive que dans des cavités de petit volume ne se trouvant pas sur la face « active » des dents (qui mâche). Ils sont fréquemment utilisés en obturation temporaire transitoire, ou chez les enfants. Ils sont naturellement adhérents à la dent.

Avantages : ils ont les mêmes propriétés physiques que la dentine (ils se contractent et se dilatent de la même façon en fonction de la chaleur), sont esthétiquement acceptables (mais moins que les composites), et sont cariostatiques (en raison de leur faculté à relarguer du fluor).

Inconvénients : ils sont tendres, ils se polissent mal et ne peuvent pas être utilisés dans les secteurs antérieurs.

La fabrication d'inlay.

En méthode indirecte par inlay ou onlay

Les méthodes indirectes d’inlay (« incrustation ») ou d’onlay (« recouvrement ») se distinguent des techniques à l'amalgame (nécessitant une cavité en contre-dépouille pour être rétentive) par la cavité de dépouille[3] (cavité permettant l'insertion d'une pièce unique et solide, donc ayant une ouverture plus large que sa base) qui leur est nécessaire. De ce fait, l’inlay ou l’onlay nécessite un collage, au même titre que les composites. Dans le cas d'une dépose de plombage et de son remplacement par un inlay, il est nécessaire de retailler au moyen d'une fraise dentaire la cavité de la dent où se trouvait la carie. Cette opération se fait sous anesthésie locale préalable. L’inlay adhère toujours à l'émail de la dent.

Les métaux (pour la technique indirecte)

Inlay en or de type MO.

On peut utiliser des métaux précieux (or, or palladié, or platiné) ou non précieux (nickel-chrome, chrome-cobalt principalement). Ils ont comme principal avantage d'être très solides et précis. En effet, le joint d'une obturation par technique indirecte en métal est très fin, cela en fait les restaurations les plus pérennes, en particulier celles en or. Ils sont scellés à la dent.

Les céramiques

Elles sont très dures, très esthétiques et très pérennes. La réalisation d'un inlay/onlay en céramique peut depuis les années 1990 être réalisée dans un cabinet dentaire en quelques minutes par le dentiste lui-même grâce à une machine appropriée qui taille automatiquement un bloc de céramique au moyen d'une empreinte numérique de la dent et un traitement d'image au préalable par le dentiste. Si le dentiste ne dispose pas d'une telle installation, il doit pratiquer une empreinte de la dent et l'envoyer à un laboratoire qui lui livrera l’inlay, il faut alors compter deux séances. Il sera alors collé à la dent (meilleur que le scellement) par le moyen d'une résine-ciment[4]. Celle-ci peut être photosensible et prend alors sa consistance définitive à l'aide d'une lampe spéciale introduite dans la bouche. Préalablement à cette opération, le dentiste vaporise de l'hydroxyde de calcium dans la bouche afin d'en corriger le potentiel hydrogène (pH). Par la suite, l’inlay est peaufiné par ponçage en testant son empreinte au moyen d'un mouvement de mâchoire sur un papier spécial.

La résine cuite

Il s'agit d'un composite très fortement chargé qui est durci sous pression et à forte température. Il en résulte une pièce très solide et esthétique. La réalisation d'un inlay/onlay en composite n'est pas très difficile. L'inlay en composite se colle de préférence[5]. C'est peut-être à l'heure actuelle la technique de soins conservateurs qui présente les meilleures propriétés.

Notes et références

  1. Sabine de La Brosse, « Caries débutantes. Des techniques mini-invasives et conservatrices », sur parismatch.com,
  2. Les amalgames collés, Le courrier du dentiste, 15 juillet 2000.
  3. La dépouille est une notion qui vient des techniques de moulage. Son contraire est la contre-dépouille. Dans notre cas, si le trou dans la dent permet d'y mouler un matériau pâteux que l'on pourrait retirer librement, on dit que le trou est en dépouille Au contraire, si après remplissage, on ne peut pas enlever le matériau, c'est que le trou est en contre-dépouille. C'est la forme du trou qui fait la différence. Pour le dire plus simplement, si le bas du trou est plus petit que son entrée, le trou est en dépouille. À titre d'exemple, l'intérieur d'un bol est en dépouille, alors que celui d'une bouteille est en contre-dépouille.
  4. (en) « Influence of resin cement viscosity on microleakage of ceramic inlays », Dental Materials, vol. 17, no 3, , p. 191–196 (ISSN 0109-5641, DOI 10.1016/S0109-5641(00)00067-1, lire en ligne, consulté le ).
  5. Inlay-onlay en composite, Le Courrier du dentiste, 7 novembre 2012.

Voir aussi

Articles connexes

Liens externes

  • icône décorative Portail de la médecine