Ostéo-intégration

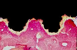
Exemple d'ostéointégration : coupe histologique microscopique d'un os intégré à la surface en titane d'un implant dentaire (en noir)

L'ostéo-intégration (ou ostéointégration) est la connexion structurelle et fonctionnelle directe entre l'os vivant et la surface d'un implant artificiel. Le terme provient du grec osteon (os) et du latin integrare (intégrer). L'Ostéo-intégration est aussi définie comme la formation d'un contact direct entre un implant et un os, sans utilisation de tissu mou [réf. nécessaire].

Appliqué à l'implantologie orale, on parle d'intégration de l'implant dentaire dans l'os sans tissu mou interposé. Aucun cartilage ou ligament n'est présent entre l'os et la surface de l'implant.

Histoire

Cette technique a été développée par le professeur Per-Ingvar Brånemark à Göteborg (Suède)[1] qui est considéré comme le père de l'implantologie[1],[2].

Procédures utilisant l'ostéointégration

  • Les implants dentaires ;
  • Genou et joint remplacement ;
  • La rétention d'une prothèse cranio-faciale comme une oreille artificielle (prothèse de l'oreille), la reconstruction maxillo-faciale (incluant des yeux (prothèse de l'orbite), ou le nez (prothèse de nez)) ;
  • Ancrage osseux pour prothèses de membres.

Références

  1. 1 2 « L’Ostéointégration : un nouveau concept chirurgical dans la réhabilitation des amputés », sur www.academie-chirurgie.fr (consulté le )
  2. Thiên-Ly Pham, « Le pionnier de l'ostéointégration reçoit le Prix de l'inventeur européen 2011 », sur www.bulletins-electroniques.com, (consulté le )
  • icône décorative Portail de la médecine