Ponction pleurale
Une ponction pleurale ou thoracocentèse est un acte technique médical qui consiste à évacuer l'espace pleural d’un épanchement liquidien.
Il s'agit d'un acte simple généralement réalisé sous anesthésie locale pour le confort. Il peut être réalisé durant une hospitalisation, au lit du patient mais une hospitalisation n’est pas obligatoire. La ponction comme la biopsie pleurale peuvent parfaitement être réalisées lors d’une consultation médicale. Il n’est pas nécessaire d’être à jeun.
Indications et contre-indications
Elle peut être dans un but diagnostique (on parle alors de ponction exploratrice) où une analyse du liquide est effectuée par les laboratoires cytologiques, biochimiques et bactériologiques.
Elle peut aussi être thérapeutique (on parle de ponction évacuatrice) où le liquide pleural est évacué en cas de retentissement sur l'appareil respiratoire (dyspnée par exemple).
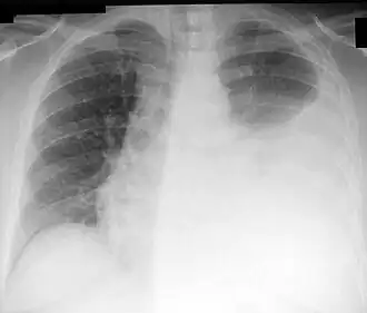
La ponction pleurale est généralement utile une fois le diagnostic d’épanchement pleural confirmé par la radiographie de thorax. De plus, l’analyse du liquide pleurale permet d’éliminer les étiologies nécessitant un drainage pleural urgent (par exemple lors d’une pleurésie purulente ou d’un hémothorax). C’est un acte peu invasif et les résultats de l’analyse du liquide pleural permettent une orientation étiologique dans 75 % des cas, ce qui implique un rapport bénéfices-risques assez élevé.
La ponction pleurale ne présente pas de contre-indications majeures, cependant elle est déconseillée en cas d’anticoagulation efficace, de faible quantité de liquide pleural d’infection cutanée au niveau de la zone de ponction, d’insuffisance respiratoire aigüe sauf si l’épanchement est la cause principale de celle-ci, de malformation des côtes ou d’allergie au produit d’anesthésie locale (le plus souvent de la lidocaïne à 1 %).
Chez les patients sous ventilation artificielle, les niveaux de pression utilisés peuvent faire craindre un risque plus important de pneumothorax. Ce risque reste toutefois faible[1].
Méthodes opératoires

Pour réaliser une ponction pleurale, un certain matériel est nécessaire, il varie en fonction de la nature exploratrice ou évacuatrice de la ponction. L'opération nécessite un désinfectant cutané, des compresses, un trocart et de la lidocaïne à 1 % en général pour l'anesthésie, une seringue (dont le volume est variable), un système d'aspiration et bocal de réception du liquide en cas de drainage et des tubes pour prélèvement en cas de ponction diagnostique). Le recueil du liquide s'effectue soit par aspiration par une sonde reliée à un vide mural, le liquide étant recueilli dans un bocal (à visée évacuatrice), soit par aspiration à la seringue (à visée exploratoire)
Une radiographie pulmonaire est réalisée avant l'opération; permettant de visualiser l'importance de l'épanchement et son côté. Comme avant la plupart des opérations, il est important de renseigner le patient sur les étapes de son déroulement. Une ponction pleurale se réalise sur un patient en position assise et en l'abordant par la partie postérieure de son thorax. Le niveau de la ponction est repéré par percussion de la paroi (matité). Après désinfection, l'anesthésie est effectuée. L'aiguille, munie d'une seringue, est insérée au niveau du site de la ponction, juste au-dessus de la côte inférieure, afin d'éviter nerfs et vaisseaux sanguins du paquet vasculo-nerveux qui se situe en dessous de la côte supérieure. Lorsque l'aiguille arrive au niveau de la plèvre (reflux de liquide) on effectue les prélèvements ou le drainage. L'aiguille est ensuite retirée d'un coup et un pansement est mis en place. Une échographie pleurale est parfois réalisée en même temps, ou peu avant pour guider plus facilement la ponction pleurale, permettant d'avoir un taux de complication moindre[2],[3]. Cette technique est particulièrement intéressante en cas d'un épanchement de petite taille ou cloisonné[4].
Après l'opération, il est important de surveiller les constantes du patient. Une radio pulmonaire de contrôle est réalisée pour contrôler le niveau de l'épanchement et l'absence de pneumothorax, mais son utilité dans les cas simples reste discutée[5].
Complications
Les complications sont rares, elles dépendent de l’expérience du médecin, du matériel et de l’abondance du liquide :
- la plus fréquente est un pneumothorax, survenant dans environ 6 % des cas et nécessitant une évacuation dans un tiers des cas[6]. Il survient en cas de ponction accidentelle du poumon ou d’une entrée d’air au travers de l’aiguille. Il peut être détecté par une radiographie de thorax de contrôle post ponction, montrant typiquement un liseré horizontal. les formes modérées se résorbent le plus souvent par elles-mêmes. Les pneumothorax sont plus rares si le médecin est expérimenté ou si le geste est guidé par une échographie[6] ;
- une toux peut survenir dans 10 % des cas. Les douleurs sont fréquentes[7] ;
- un malaise vagal chez le patient stressé ;
- des saignements ou un hémothorax en cas de ponction de l’artère intercostale, du foie ou de la rate. La fréquence de ce type de complications est particulièrement bas, même en présence de troubles de la coagulation, si le geste est guidé par échographie[8] ;
- une infection secondaire du liquide pleural.
On évite de retirer plus d'un litre à la fois, afin d'éviter un « œdème de réexpansion pulmonaire », se traduisant dans un premier temps par une majoration de l’essoufflement après le geste. Cette complication reste cependant rare, même si la quantité de liquide retirée est plus importante[9].
Exceptionnellement, une ponction d'un épanchement d'origine cancéreuse peut entraîner des métastases sur le trajet de l'aiguille[10].
Chez l'enfant
La ponction pleurale chez l'enfant est relativement rare. En effet, les pleurésies chez l'enfant sont le plus souvent d'origines infectieuses ou virales, alors que chez l'adulte, elles peuvent être d'origines cancéreuses ou inflammatoires. Cependant, le mode opératoire est le même, on pourra administrer du protoxyde d'azote avant l'anesthésie locale pour détendre le patient.
Analyse du liquide pleural
Au niveau diagnostic, la ponction peut ramener un exsudat (causé par une inflammation, une infection, un cancer), un transsudat (causé par une insuffisance cardiaque, une cirrhose), plus rarement, un liquide hémorragique ou purulent qui va orienter sur la cause de l'épanchement.
Dans tous les cas, une analyse biochimique, cytobactériologique (avec mise en culture pour la recherche de germes) et anatomopathologique (pour la recherche de cellules anormales) doit être faite.
Le diagnostic d'exsudat est fait, en règle générale, lorsque le taux de protides dans le liquide pleural est élevé. La concentration en cholestérol dépasse 0,55 g·l-1[11] et celle du LDH est supérieure à 200 U/l[12].
Notes et références
- ↑ (en) McCartney JP, Adams JW II, Hazard PB, « Safety of thoracentesis in mechanically ventilated patients » Chest. 1993;103:1920-1.
- ↑ (en) Grogan DR, Irwin RS, Channick R et al. « Complications associated with thoracentesis » Arch Intern Med. 1990;150:873-7.
- ↑ (en) Mercaldi CJ, Lanes SF, « Ultrasound guidance decreases complications and improves the cost of care among patients undergoing thoracentesis and paracentesis » Chest. 2013;143:532-8.
- ↑ (en) Kohan JM, Poe RH, Israel RH et al. « Value of chest ultrasonography versus decubitus roentgenography for thoracentesis » Am Rev Respir Dis. 1986;133:1124-6.
- ↑ (en) Petersen WG, Zimmerman R, « Limited utility of chest radiograph after thoracentesis », Chest 2000;117:1038-42.
- 1 2 (en) Gordon CE, Feller-Kopman D, Balk EM, Smetana GW, « Pneumothorax following thoracentesis » Arch Intern Med. 2010;170:332-9.
- ↑ (en) Collins TR, Sahn SA, « Thoracocentesis: clinical value, complications, technical problems, and patient experience » Chest 1987;91:817-22.
- ↑ (en) Patel MD, Joshi SD, « Abnormal preprocedural international normalized ratio and platelet counts are not associated with increased bleeding complications after ultrasound-guided thoracentesis » AJR Am J Roentgenol. 2011;197:W164-W1688.
- ↑ (en) Feller-Kopman D, Berkowitz D, Boiselle P, Ernst A, « Large-volume thoracentesis and the risk of reexpansion pulmonary edema » Ann Thorac Surg. 2007;84:1656-61.
- ↑ (en) Stewart BN, Block AJ, « Subcutaneous implantation of cancer following thoracentesis » Chest 1974;66:456-7.
- ↑ (en) Gil Suay V, Martínez Moragón E, Cases Viedma E et al. « Pleural cholesterol in differentiating transudates and exudates » Respiration 1995;62:57-63.
- ↑ (en) Wilcox ME, Chong CA, Stanbrook MB et al. « Does this patient have an exudative pleural effusion? the rational clinical examination systematic review » JAMA 2014;311:2422-31.
Voir aussi
Liens externes
- Notices dans des dictionnaires ou encyclopédies généralistes :
- Ressources relatives à la santé :
- Portail de la médecine
