Prééclampsie
| Spécialité | Obstétrique |
|---|
| CISP-2 | W81 |
|---|---|
| CIM-9 | 642.4 |
| OMIM | 609404, 609402, 189800 et 614592 609403, 609404, 609402, 189800 et 614592 |
| DiseasesDB | 10494 |
| MedlinePlus | 000898 |
| eMedicine | 1476919 |
| MeSH | D011225 |
Mise en garde médicale
La prééclampsie ou pré-éclampsie, également appelée toxémie gravidique, est une hypertension artérielle gravidique qui peut apparaître dans la deuxième moitié de la grossesse (après 20 semaines d'aménorrhée), associée à une protéinurie.
Le terme de prééclampsie fait référence au fait qu'il s'agit d'une condition clinique qui, lorsqu'elle n'est pas prise en charge, peut évoluer vers l'éclampsie, sorte de crise épileptique provoquant une crise convulsive généralisée qui constitue une situation d'urgence vitale.
Étymologie et histoire
Le terme est composé du suffixe pré (dans le sens d'antérieur, précédant une chose) lié au mot éclampsie venant du grec ancien ἒκλαμψις, eklampsis, « lumière éclatante », dans le sens d’« accès soudain » ; Ce terme d'éclampsie fut introduit au XVIIIe siècle par François Boissier de la Croix de Sauvages en référence à l'occurrence subite des convulsions chez les patientes.
Incidence
La prééclampsie affecte de 2 à 8 % des grossesses[1], selon les pays et l'ethnie. Il s'agit d'une cause majeure de mortalité maternelle dans les pays en voie de développement[2]. Son incidence tend à augmenter dans les pays développés[3], probablement en rapport avec les facteurs de risque (obésité et diabète entre autres).
Facteurs de risque
La prééclampsie lors d'une grossesse antérieure et l'hypertension artérielle préexistante sont des facteurs de risque.
D'autres facteurs de risques maternels existent :
- la primiparité (première grossesse : risque multiplié par 3[4]) ;
- un âge maternel supérieur à 40 ans ;
- une obésité (multiplie le risque par 1,5 environ[4]) ;
- un diabète préexistant (multiplie le risque par 3 environ) ;
- la présence d'anticorps antiphospholipides (multiplie le risque par 9 environ[4]) ;
- la notion d'une maladie thromboembolique, d'une maladie rénale, ainsi que la haute altitude[5].
Le risque est augmenté en cas de grossesse gémellaire (et plus) avec une multiplication du risque par 3 environ[4] et en cas de primiparité (première grossesse d'un couple donné). Cette primiparité fait évoquer un possible mécanisme de réaction au sperme, étayé par d'autres arguments[6].
La notion d'une hypertension artérielle gravidique dans la famille multiplie le risque de survenue par 3[4].
Chez les fumeuses, le monoxyde de carbone issu de la combustion semble réduire le risque de survenue d'une prééclampsie ou d'une hypertension artérielle gravidique[7]. Il est évidemment conseillé de ne pas fumer pendant la grossesse, le risque de prééclampsie étant bien moindre comparé à celui de développer une autre pathologie liée directement au tabac.
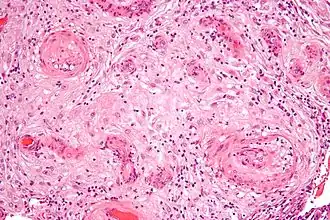
Physiopathologie de l'éclampsie et examen anatomopathologique du placenta
La pathologie fait suite à un défaut de placentation. Le fait de ne pas descendre suffisamment bas sur les artères spiralées de la muqueuse utérine, laisse à ces artères leurs cellules musculaires (parois vasculaires). Elles gardent des capacités de vasoconstriction qu'elles perdraient en temps normal quand le placenta s'insère en profondeur. Cette mauvaise vascularisation du placenta[8] par les artères spiralées induit une souffrance principalement hypoxique du placenta. Ce dernier réagit en libérant toute une série de substances toxiques pour l'organisme maternel. Ces substances sont au départ libérées pour compenser le défaut de vascularisation, provoquant notamment une hypertension artérielle et une réduction de la perfusion des autres organes. L'interaction placenta en souffrance-organisme maternel est différente pour chaque mère et les organes éventuellement défaillants varient d'une personne à l'autre.
Du fait de ce défaut de perfusion des chambres intervilleuses, le placenta est macroscopiquement hypotrophique. Histologiquement on peut observer des lésions d'infarctus, d'hypoxie-ischémie villositaire, et parfois même des lésions d'athérome et de villite chronique[9].
Dépistage précoce et prévention
Le dépistage de la prééclampsie est possible depuis environ 2010 via la mesure de différents facteurs biochimiques et obstétriques. La combinaison de ces informations permet l’évaluation d’un risque que la femme enceinte développe une prééclampsie au cours de la grossesse en cours, permettant ainsi au médecin ou à la sage-femme de prévenir le développement de la maladie [10].
Le dépistage de la prééclampsie se fait au premier trimestre[11], à au moins 11 semaines de grossesse et moins de 14 semaines. Il comprend une analyse de sang pouvant être réalisée en même temps que le dépistage de la trisomie 21 au 1er trimestre de la grossesse. Le dépistage consiste à mesurer la concentration plasmatique de deux biomarqueurs, les protéines PlGF[12] (Placental Growth Factor) et PAPP-A[12], et d’associer ces dosages à des données collectées par les gynécologues-obstétriciens ou sage-femme : doppler des artères utérines, mesure de la pression artérielle moyenne de la patiente, âge maternel, tabac, origine géographique, IMC, antécédents hypertensifs et parité.
L’association de tous ces paramètres permet d’établir un risque prédictif, comme cela est réalisé pour la trisomie 21, avec un taux de détection pouvant aller jusqu’à 96,3 %. Toutefois, il s’agit d’un dépistage et non pas d’un diagnostic. Il est donc important de garder en tête que cela comporte un taux de faux négatifs également, autrement dit des patientes qui ne seront pas détectées.
Des études réalisées en Europe en 2017[11] montrent la capacité de cette approche à réellement détecter les patientes avec un risque élevé de développer une prééclampsie, et surtout de pouvoir prévenir le développement de la maladie et mettant en place un traitement préventif à base d'aspirine. Chez les femmes à risque, une prise quotidienne d'aspirine (150 mg) au coucher, commencée suffisamment tôt dans la grossesse (avant la 16e semaine), permet de réduire de 62 % le nombre de prééclampsies[11].
Prévention
Chez la femme à risque, l'administration de petites doses d'aspirine pourrait diminuer le risque de survenue d'une prééclampsie[13],[14]. Pour que ce type de traitement soit efficace, il doit débuter avant 16 semaines de grossesse, d'où l'importance d'identifier les grossesses à risque suffisamment tôt. Les dernières études ont toutefois montré un gain significatif avec plus de 60 % de patientes affectées en moins lorsque le traitement est correctement suivi.
Les directives sur la prévention de la prééclampsie dans différents pays (ex. Australie, Canada, France, Allemagne, Italie, Royaume-Uni, États-Unis[15]) recommandent l'administration de faibles doses d'aspirine pour toutes les grossesses à risque, dès le premier trimestre, ou au moins avant la semaine 16. En outre, le calcium est recommandé pour les femmes qui suivent des régimes pauvres en calcium ou souffrant d’une carence en calcium, conformément aux directives locales en France, Australie et Nouvelle-Zélande et dans le cadre de la prévention de la prééclampsie. Une méta-analyse récente de plusieurs études démontre que la prise d'aspirine à faible dose, commencée au plus tard la 16e semaine de gestation, entraîne une réduction de 89 % des cas de prééclampsie pour les patientes ayant accouché avant 37 semaines de gestation.
Le calcium, donné par voie orale à la dose de 1 g par jour, permet de diminuer de près de moitié le risque de prééclampsie[16].
Diagnostic
Chez une femme enceinte, le diagnostic est donné par la présence d'une hypertension artérielle (systolique > 140 mmHg et/ou HTA diastolique > 90 mmHg) et d'une protéinurie (supérieure à 300 mg/24 heures) après la vingtième semaine d'aménorrhée (20SA)[17].
Elle doit être suspectée en cas de céphalées, vertiges, troubles de la vue ou lorsque le fœtus est trop petit par rapport à l'âge gestationnel[18].
Elle doit être distinguée de l'hypertension artérielle gravidique, sans protéinurie et d'une hypertension artérielle simple, préexistante à la grossesse.
Signes de gravité
Ils doivent alerter les patientes, surtout si elles présentent un des facteurs de risque.
- Oligurie
- Douleur de l'hypochondre droit
- Thrombopénie et anémie
- Hyperuricémie
- Œdèmes des membres inférieurs
- Réflexes ostéotendineux vifs
- Vomissements
Dans sa forme sévère, la patiente présente une hypertension artérielle sévère (systolique supérieure à 160 mmHg et/ou diastolique supérieure à 110 mmHg) avec des troubles neurosensoriels tels des céphalées, des troubles visuels jusqu'à l'éclampsie et des troubles rénaux telles l'anurie, la protéinurie sévère (supérieure à 3 g/24 h) et l'insuffisance rénale.
Complications
Les complications possibles sont nombreuses et graves :
- éclampsie, consistant en une crise musculaire tonico-clonique semblable à l'épilepsie ;
- hématome rétroplacentaire ;
- HELLP syndrome, consistant en une hémolyse, une forte diminution du taux des plaquettes sanguines (thrombopénie) avec une défaillance hépatique. Ce syndrome complique 10 à 20 % des prééclampsies sévères et survient dans les deux tiers des cas avant l'accouchement[19] ;
- CIVD (coagulation intravasculaire disséminée) ;
- insuffisance rénale aiguë avec dans les cas extrêmes une nécrose corticale ;
- stéatose hépatique aiguë gravidique, hématome sous capsulaire du foie ;
- tableau d'ischémie cérébrale : cécité corticale ;
- décollement rétinien exsudatif ;
- retard de croissance in utero, augmentation faible du risque de survenue de cardiopathies congénitales de type défects[20] ;
- mort fœtale in utero.
Même si l'évolution immédiate est satisfaisante, il existe un risque majoré, à long terme (plusieurs décennies) de survenue d'une microalbuminurie[21] et même d'une insuffisance rénale nécessitant une dialyse[22]. Le risque de développer une hypertension artérielle[23] ou un diabète[24] est multiplié par 3, avec les complications cardiovasculaires qui en découlent. Il semble exister une légère élévation du risque de développer une hypothyroïdie[25]. Chez l'enfant, né après prééclampsie, les chiffres tensionnels ainsi que le poids sont plus élevés[26], avec un risque augmenté de survenue d'accidents vasculaires cérébraux à l'âge adulte[27]. La prééclampsie pourrait intervenir dans l'apparition de retard de développement et d'autisme chez l'enfant[28].
Traitement
La prise en charge de la prééclampsie se fait en milieu hospitalier avec une surveillance maternelle et fœtale rapprochée.
Seule la naissance de l’enfant permet d'arrêter la sécrétion du placenta et l'évolution de la prééclampsie vers ses complications neurologiques, hépatiques et rénales. Les complications peuvent toutefois survenir dans les 48 heures du post-partum, et nécessitent une surveillance adaptée. Le terme doit être discuté suivant l'état maternel : un terme précoce est bénéfique pour la mère mais comporte des risques pour l'enfant[29].
Avant 34 semaines d’aménorrhée, il est souhaitable de réaliser une maturation pulmonaire fœtale par corticoïdes. En cas de complications graves, une extraction fœtale en urgence peut être indiquée pour sauvetage maternel.
En attendant un terme d'accouchement compatible entre la vie de l'enfant et la sauvegarde de celle de la mère, celle-ci peut recevoir des médicaments antihypertenseurs sous surveillance médicale en milieu hospitalier.
Le sulfate de magnésium en intraveineux permet de limiter l'apparition de l'éclampsie[30].
Notes et références
- ↑ (en) Abalos E, Cuesta C, Grosso AL, Chou D, Say L, « Global and regional estimates of pre-eclampsia and eclampsia: a systematic review » Eur J Obstet Gynecol Reprod Biol. 2013;170:1-7
- ↑ (en) Khan KS, Wojdyla D, Say L et al. « WHO analysis of causes of maternal death: a systematic review » Lancet 2006;367:1066–74.
- ↑ (en) Wallis AB, Saftlas AF, Hsia J, Atrash HK. « Secular trends in the rates of preeclampsia, eclampsia, and gestational hypertension, United States, 1987–2004 » Am J Hypertens. 2008;21:521–6.
- 1 2 3 4 5 (en) Milne F, Redman C, Walker J et al. « The pre-eclampsia community guideline (PRECOG): how to screen for and detect onset of pre-eclampsia in the community » BMJ 2005;330:576–80.
- ↑ (en) Palmer SK, Moore LG, Young D, Cregger B, Berman JC, Zamudio S. « Altered blood pressure course during normal pregnancy and increased preeclampsia at high altitude (3100 meters) in Colorado » Am J Obstet Gynecol. 1999;180(5):1161-8.
- ↑ (en) Koelman CA, Coumans AB, Nijman HW, Doxiadis II, Dekker GA, Claas FH. « Correlation between oral sex and a low incidence of preeclampsia: a role for soluble HLA in seminal fluid? » J Reprod Immunol. 2000;46(2):155-66.
- ↑ (en) Karumanchi SA, Levine RJ, « How does smoking reduce the risk of pre-eclampsia? » Hypertension 2010;55:1100-1101
- ↑ (en) Pijnenborg R, Vercruysse L, Hanssens M. « The uterine spiral arteries in human pregnancy: facts and controversies » Placenta 2006;27:939–58.
- ↑ Catherine Nessmann, Jeanne-Claudie Laroche. Atlas de pathologie placentaire, Masson. 2001.
- ↑ « Dépistage », sur Prenatal (consulté le )
- 1 2 3 D. L. Rolnik, D. Wright, L. C. Y. Poon et A. Syngelaki, « ASPRE trial: performance of screening for preterm pre-eclampsia », Ultrasound in Obstetrics & Gynecology: The Official Journal of the International Society of Ultrasound in Obstetrics and Gynecology, vol. 50, no 4, , p. 492–495 (ISSN 1469-0705, PMID 28741785, DOI 10.1002/uog.18816, lire en ligne, consulté le )
- 1 2 « La pré-éclampsie », sur biomarqueursinfos.fr, (consulté le )
- ↑ (en) Askie LM, Duley L, Henderson-Smart DJ et al. « Antiplatelet agents for prevention of pre-eclampsia: a meta-analysis of individual patient data » Lancet 2007;369:1791–8.
- ↑ (en) Emmanuel Bujold, « Low-dose aspirin reduces morbidity and mortality in pregnant women at high-risk for preeclampsia », Evid Based Nurs, vol. 18, no 3, , p. 71. (PMID 25743941, DOI 10.1136/ebnurs-2014-101915)
- ↑ Hypertension in pregnancy: report of the American College of Obstetricians and Gynecologists’ Task Force on Hypertension in Pregnancy, Obstet Gynecol, 2013;122:1122-1131
- ↑ Hofmeyr GJ, Lawrie TA, Atallah AN, Torloni MR, Calcium supplementation during pregnancy for preventing hypertensive disorders and related problems, Cochrane Database Syst Rev, 2018;10CD001059
- ↑ (en) « Hypertension in pregnancy. Report of the American College of Obstetricians and Gynecologists’ Task Force on Hypertension in Pregnancy » Obstet Gynecol. 2013;122:1122-1131
- ↑ (en) Milne F, Redman C, Walker J et al. « Assessing the onset of pre-eclampsia in the hospital day unit: summary of the pre-eclampsia guideline (PRECOG II) » BMJ 2009;339:626–8.
- ↑ (en) Haram K, Svendsen E, Abildgaard U, « The HELLP syndrome: clinical issues and management. A Review » BMC Pregnancy Childbirth 2009;9:8
- ↑ Auger N, Fraser WD, Healy-Profitós J, Arbour L, Association between preeclampsia and congenital heart defects, JAMA, 2015;314:1588-1598
- ↑ (en) McDonald SD, Han Z, Walsh MW, Gerstein HC, Devereaux PJ, « Kidney disease after preeclampsia: a systematic review and meta-analysis » Am J Kidney Dis. 2010;55:1026-1039
- ↑ (en) Vikse BE, Irgens LM, Leivestad T, Skjaerven R, Iversen BM, « Preeclampsia and the risk of end-stage renal disease » N Engl J Med. 2008;359:800-809
- ↑ (en) Bellamy L, Casas JP, Hingorani AD, Williams DJ, « Pre-eclampsia and risk of cardiovascular disease and cancer in later life: systematic review and meta-analysis » BMJ 2007;335:974
- ↑ (en) Lykke JA, Langhoff-Roos J, Sibai BM, Funai EF, Triche EW, Paidas MJ, « Hypertensive pregnancy disorders and subsequent cardiovascular morbidity and type 2 diabetes mellitus in the mother » Hypertension 2009;53:944-951
- ↑ (en) Mannisto T, Karumanchi SA, Pouta A. et al. « Pre-eclampsia, gestational hypertension and subsequent hypothyroidism » Pregnancy Hypertens. 2013;3:21-27
- ↑ (en) Davis EF, Lazdam M, Lewandowski AJ. et al. « Cardiovascular risk factors in children and young adults born to preeclamptic pregnancies: a systematic review » Pediatrics 2012;129: e1552–e1561
- ↑ (en) Kajantie E, Eriksson JG, Osmond C, Thornburg K, Barker DJ, « Pre-eclampsia is associated with increased risk of stroke in the adult offspring: the Helsinki birth cohort study » Stroke 2009;40:1176–1180
- ↑ Cheryl K. Walker, Paula Krakowiak, Alice Baker, Robin L. Hansen, Sally Ozonoff et Irva Hertz-Picciotto, Preeclampsia, Placental Insufficiency, and Autism Spectrum Disorder or Developmental Delay JAMA Pediatr. Published online December 08, 2014. doi:10.1001/jamapediatrics.2014.2645 lire en ligne
- ↑ Chappell LC, Cluver CA, Kingdom J, Tong S, Pre-eclampsia, Lancet, 2021;398:341-354
- ↑ (en) The Magpie Trial Collaboration Group. « Do women with pre-eclampsia, and their babies, benefit from magnesium sulphate? The Magpie Trial: a randomised placebo-controlled trial » Lancet 2002;359:1877–90.
Voir aussi
Articles connexes
Liens externes
- Ressources relatives à la santé :
- Ressource relative à la recherche :
- Notices dans des dictionnaires ou encyclopédies généralistes :
- Portail de la médecine