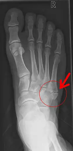
Pseudarthrose

Une pseudarthrose est une « fausse » articulation d'un os à l'endroit d'une fracture résultant de la cicatrisation indépendante des pièces de la fracture.
Une pseudarthrose peut également résulter d'un échec d'un développement.
On parle plus précisément de pseudarthrose en cas de persistance du trait de fracture plus de 6 mois après la lésion initiale.
Liens externes
- Ressources relatives à la santé :
- Ressource relative à la recherche :
- Notices dans des dictionnaires ou encyclopédies généralistes :
- Portail de la médecine