Spongiose

Sppngiotic dermattis

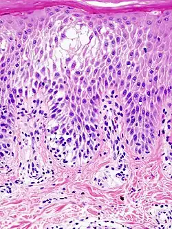
La spongiose résulte d'un mécanisme entraînant la dissociation des cellules de l'épiderme, et s'accompagnant d'une production de liquide, qui forme des vésicules et qui s'écoule en dehors après rupture de celles-ci. La spongiose est un signe caractéristique de l'eczéma et des dermatites spongiformes (pityriasis rosé de Gibert, parapsoriasis en petites plaques etc.).

Bibliographie

  • Dermatologie et infections sexuellement transmissibles, Elsevier Masson, (ISBN 978-2-294-74649-9)

Notes et références

    Voir aussi

    • icône décorative Portail de la médecine