Succion du pouce
.jpg)


La succion du pouce est un comportement qui se rencontre chez les humains, les chimpanzés, les lémurs catta captifs[1] et d'autres primates[2]. Cela consiste généralement à placer le pouce dans la bouche et à en répéter la succion de façon périodique et prolongée. La succion peut aussi être effectuée sur n'importe quelle partie du corps qui peut être atteinte, comme le gros orteil, ou sur un objet comme une tétine. Elle est considérée comme apaisante pour le sujet. Au fur et à mesure que l'enfant développe cette habitude, il finit généralement par choisir un « doigt préféré » pour la succion.
Chronologie
À la naissance, le bébé suce de façon réflexe n’importe quel objet placé dans sa bouche ; il s'agit d'un réflexe archaïque permettant notamment l'allaitement. D'autre part, des échographies ont révélé que la succion du pouce peut démarrer avant la naissance, dès la 15e semaine de grossesse, sans que l'on sache pour l'instant si le comportement est volontaire ou dû à des mouvements aléatoires du fœtus. Certains auteurs considèrent qu'il s'agit, avec la déglutition du liquide amniotique, de la mise en place du programme de succion-déglutition qui doit être opérationnel à la naissance[3].
Dès le début de son alimentation, les enfants apprennent que cette habitude n'est pas seulement un moyen d'obtenir de la nourriture mais qu'elle apporte aussi du plaisir, du confort et de la chaleur. Que ce soit avec sa mère, une bouteille ou une tétine, la succion est progressivement associée à une forte sensation d'auto-apaisement et de plaisir. Quand l'enfant devient plus grand et est finalement sevré de la nutrition par succion, il peut développer d'autres moyens pour recevoir les mêmes sensations physiques et émotionnelles, ou bien il peut continuer à s'apaiser en suçant ses doigts[4]. Ce réflexe disparaît généralement à l'âge d'environ 4 mois, mais la succion n'étant pas un comportement purement instinctif, elle peut durer plus longtemps[5].
La succion disparaît généralement à l'âge de 5 ans. Certains enfants plus âgés conservent néanmoins cette habitude et développent des problèmes dentaires[6]. Bien que les dentistes recommandent de faire cesser la succion du pouce le plus tôt possible, il a été montré que tant que l'habitude cesse avant l'apparition des dents définitives, vers l'âge de 5 ans, les dommages sont réversibles[7]. La succion du pouce est parfois conservée jusqu’à l'âge adulte ce qui peut être dû à un trouble du mouvement stéréotypé (en), une autre maladie psychiatrique ou tout simplement à la force de l'habitude.
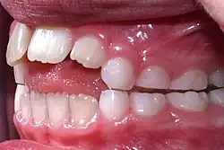
Problèmes dentaires et prévention

|
Pourcentage d'enfants suçant leur pouce (données établies par deux chercheurs)
|
La succion du pouce peut provoquer différents problèmes comme le prognathisme.
La plupart des enfants arrêtent d'eux-mêmes de sucer leur pouce, une tétine ou d'autres objets entre l'âge de deux ans et de quatre ans. Leur dentition et leur mâchoire n'en sont pas affectées tant que les dents permanentes n'ont pas commencé à pousser. Les soucis surviennent entre les âges de 6 et 8 ans ; à ces âges, la succion peut altérer la forme de la cavité orale et la dentition[6],[9].
Notes et références
- (en) Cet article est partiellement ou en totalité issu de l’article de Wikipédia en anglais intitulé « Thumb sucking » (voir la liste des auteurs).
- ↑ (en) A. Jolly, Lemur Behavior, Chicago, University of Chicago Press, (ISBN 978-0-226-40552-0), p. 65
- ↑ Benjamin, Lorna S.: "The Beginning of Thumbsucking." Child Development, Vol. 38, No. 4 (Dec., 1967), pp. 1065–1078.
- ↑ (en) Patrick Fellus, Orthodontie précoce en denture temporaire, Wolters Kluwer France, , 9 p. (ISBN 978-2-84361-059-2, lire en ligne)
- ↑ « About Thumb Sucking - Stop Thumb Sucking with TGuard », sur tguard.com (consulté le )
- 1 2 A. Kantorowicz: "Die Bedeutung des Lutschens für die Entstehung erworbener Fehlbildungen." In: Fortschritte der Kieferorthopädie. Bd. 16, Nr. 2, 1955, S. 109–121.
- 1 2 Anahad O'Connor, « The Claim: Thumb Sucking Can Lead to Buck Teeth », The New York Times, (lire en ligne, consulté le )
- ↑ “Influence of thumb sucking on peer social acceptance in first-grade children” In: Pediatrics. April, 1994
- ↑ Erwin Reichenbach, Hans Brückl: Kieferorthopädische Klinik und Therapie. J. A. Barth, Leipzig 1962
- ↑ (en) « ADA : American Dental Association », sur ada.org via Wikiwix (consulté le ).
Voir aussi
Articles connexes
Liens externes
- American Dental Association: patient advice
- JADA study: Duration of pacifier use, thumb sucking may affect dental arches
- « Canadian Dental Association », sur cda-adc.ca (consulté le )
- http://www.blurb.com/bookstore/detail/2268598 : "Latchment Before Attachment, The First Stage of Emotional Development, Oral Tactile Imprinting" Author Elsie Mobbs, GT.Crarf Publisher, Westmead, 2011.
- « Thumbsucking Adults », sur thumbsuckingadults.com (consulté le )
- Wellness Coalition America: A Simple Solution for Thumb Sucking
- Portail de l'enfance