Syndrome d'Eagle

Syndrome d'Eagle
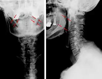
Description de cette image, également commentée ci-après
Radiographies du rachis cervical, face et profil. Aucune malposition ni aucun processus dégénératif n'est notable. Les corps vertébraux comme les structures annexes sont de structure normale. Cependant est notée une large calcification du ligament stylo-hyoïdien, à droite comme à gauche du cou. Les symptômes du patient pourraient être reliés au syndrome d'Eagle.
Symptômes Cervicalgie, otalgie et douleur de l'épaule (d)
Classification et ressources externes
CIM-10 M77.9
DiseasesDB 33542
eMedicine 1447247
MeSH C538010

Wikipédia ne donne pas de conseils médicaux Mise en garde médicale

Le syndrome d'Eagle, ou syndrome stylo-carotidien, ou syndrome du processus styloïde allongé ou syndrome de l'américain, est une cause rare de douleur latérocervicale irradiant à la face, due à une hypertrophie anormale de l'apophyse styloïde de l'os temporal ou à une ossification du ligament stylo-hyoïdien.

La douleur est vive, fulgurante, provoquée par la déglutition, la mobilisation de la mandibule ou lors des mouvements de rotation de la tête. Elle débute sous l'angle mandibulaire et irradie dans la fosse amygdalienne, l'articulation temporomandibulaire et la base de la langue. Elle est reproduite lors de la pression sur l'artère carotide interne et les structures voisines. Une zone gâchette dans la fosse amygdalienne peut être présente.

L'examen neurologique est normal. La radiologie et la tomodensitométrie de la région du cou retrouve un allongement de l'apophyse styloïde de l'os temporal. Il y a souvent association à une ossification du ligament stylo-hyoïdien.

Le diagnostic peut être confirmé par l'injection d'un anesthésique local au niveau de la fixation du ligament stylo-hyoïdien à l'apophyse styloïde : un soulagement de la douleur évoquant une origine locale, et non distale comme lors d'une névralgie du glossopharyngien ou d'une tumeur rétropharyngienne.

Diagnostic différentiel

Le syndrome d'Eagle doit rester un diagnostic d'exclusion. On doit notamment avoir éliminé :

  • Névralgie du glossopharyngien : douleur paroxystiques à type de choc, alors que dans le syndrome d'Eagle, les douleurs sont liées aux mouvements.
  • Des affections malignes telles qu'une tumeur du larynx, de l'hypopharynx ou du triangle cervical antérieur peuvent donner les mêmes symptômes.

Traitement

Une série d'injections d'un anesthésique local ou d'un corticostéroïde dans la région d'ancrage du ligament stylo-hyoïdien peut être efficace.

La kinésithérapie vise à réduire la douleur générale en relaxant les muscles autour du ligament styloïde calcifié. Les techniques peuvent inclure la thérapie manuelle, des exercices d'étirement et des mouvements spécifiques pour soulager la tension et améliorer la fonction musculaire. Des études ont montré qu'une physiothérapie régulière peut réduire significativement la douleur et améliorer la qualité de vie des patients atteints du syndrome d'Eagle[1].

La gabapentine peut également être utilisée per os, ainsi que la carbamazépine ou la phénytoïne.

Résection chirurgicale du ligament stylo-hyoïdien par abord intra-buccal ou externe.

Sources

  • Syndromes douloureux atypiques, Stephen D.Waldman, Elsevier, (ISBN 2-84299-760-3)

Liens externes

  • icône décorative Portail de la médecine