Syndrome de la veine cave supérieure
| Spécialité | Pneumologie |
|---|
| CIM-10 | I87.1 |
|---|---|
| CIM-9 | 459.2 |
| DiseasesDB | 12711 |
| MedlinePlus | 001097 |
| eMedicine | 760301 |
| MeSH | D013479 |
Mise en garde médicale
Le syndrome de la veine cave supérieure (SVC ou SCVCS), ou syndrome cave supérieur est la conséquence d'une obstruction au retour veineux de la veine cave supérieure. Un engorgement sanguin du territoire drainé par la veine cave supérieur s'installe alors, entraînant une symptomatologie d'intensité variable, tandis que des mécanismes de suppléance se mettent en place. La cause peut être une invasion tumorale directe, une compression externe ou une thrombose. Toute tumeur médiastinale est susceptible d'entraîner un syndrome cave supérieur, mais les cancers du poumon (surtout les cancers à petites cellules) et les lymphomes en sont les principaux responsables.
Anatomie de la veine cave supérieure

La veine cave supérieure est une veine courte du thorax (1 à 2 cm de long), mais large, qui draine le sang de la tête, des membres supérieurs et du haut du thorax vers le cœur. Elle naît de la rencontre des deux veines brachiocéphaliques au sommet du thorax, et la veine azygos la rejoint peu avant le cœur à sa face postérieur. Elle est située à la droite et à la partie antérieur du médiastin, au contact du poumon droit.
Définition et causes
Tout phénomène entraînant une diminution, voire une disparition, du flux sanguin dans la veine cave supérieure est susceptible d'entraîner un syndrome cave supérieur. Il s'agit le plus souvent d'une compression extrinsèque, mais une thrombose peut également apparaître sur une veine au calibre extérieur conservé.
Le syndrome cave supérieur est causé dans environ 90 % des cas par un cancer, tumeur médiastinale (thymome, lymphome, tumeur germinale) ou surtout cancer du poumon étendu au médiastin[1]. Parmi les cancers du poumon, les cancers à petites cellules sont davantage pourvoyeurs de syndromes caves que les cancers non à petites cellules (7 à 12 % des patients contre 3 %) en raison de la plus grande fréquence de l'envahissement médiastinal[2]. Il s'agit d'un marqueur de mauvais pronostic de ces cancers.
Dans environ la moitié des cas, le syndrome cave supérieur est l'élément menant au diagnostic de cancer. L'obstruction de la veine cave supérieure peut cependant avoir d'autres origines[1], comme sa thrombose sur un cathéter veineux central, ou une fibrose médiastinale.
Symptomatologie
Le retour veineux de l'extrémité supérieure du corps étant gêné, voire interrompu, divers signes cliniques apparaissent comme :
- un œdème dit « en pèlerine », intéressant le territoire cave supérieur, c'est-à-dire les bras, le cou, la face et le haut du thorax, avec comblement des creux sus-claviculaires. L'œdème est plus marqué le matin et en décubitus car on a une diminution du retour veineux ;
- une cyanose du territoire cave supérieur augmenté par la toux et l'effort ;
- une turgescence veineuse bilatérale non pulsatile des veines jugulaires, sublinguales, rétiniennes et des veines des fosses nasales car elles sont normalement drainées par la veine cave supérieure avec parfois une épistaxis et une hémoptysie ;
Ces éléments du trépied veineux s'intensifient en décubitus ou par inclinaison du tronc vers l'avant.
On peut aussi retrouver :
- un stridor, bruit aigu caractéristique lors de l'inspiration, causé par le gonflement du cou, compressant la trachée et le pharynx ;
- une toux ;
- une dyspnée ;
- des céphalées, voire troubles de la vigilance ;
- une somnolence et des céphalées de fin de nuit car la stase est plus importante la nuit ;
- Le lever de bras au dessus de la tête peut entraîner une congestion de la face (« Signe de Pemberton »)[3].
Lorsque le syndrome cave supérieur s'établit de manière progressive, une circulation collatérale pré-thoracique (souvent visible sous la peau) se met en place afin d'améliorer le retour veineux (plus tardif).
Diagnostic
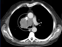
La technique d'imagerie la plus utile est la tomodensitométrie avec injection de produit de contraste iodé, qui permet de visualiser le réseau veineux et d'identifier la cause de la compression[2]. En cas de contre-indication au scanner, une IRM peut être réalisée[4].
On distingue quatre types de syndrome cave supérieur, selon le pourcentage d'obstruction de la veine cave et la perméabilité de la veine azygos, l'une de ses collatérales[2].
Traitement
La base du traitement est une anticoagulation efficace, au début à base d'héparine, destinée à éviter la thrombose de la veine, qui entraînerait une majoration des symptômes. L’élévation de la tête, l’administration d’oxygène et de diurétiques sont utiles pour réduire les symptômes. Une corticothérapie peut, en diminuant le volume tumoral, améliorer le syndrome cave. Dans certains cas, une pose de prothèse dans la veine cave supérieure, destinée à rétablir un calibre satisfaisant, peut être réalisée.
Selon la cause, une chimiothérapie, accompagnée d'une radiothérapie décompressive, peut être proposée.
Un syndrome cave supérieur à lui seul n'est pas une urgence thérapeutique, sauf lorsqu'un œdème cérébral ou un œdème laryngé existe[2]. La chirurgie, par remplacement prothétique de la veine cave supérieure, n'est recommandée que lorsque la résection complète de la tumeur est possible, ce qui est rare en présence d'un syndrome cave.
Voir aussi
Références
- 1 2 J. F. Héron, « Le syndrome cave supérieur », sur Oncoprof (consulté le )
- 1 2 3 4 A. Taytard, « Syndrome de la veine cave supérieure », sur Respir.com, (consulté le ).
- ↑ Abu-Shama Y, Cuny T, Pemberton’s sign in a patient with a goiter, N Engl J Med, 2018;378:e31
- ↑ Nadine Meyer et Vincent Gautier, « Syndrome Cave Supérieur - Prise en charge dans les 24 premières heures d’un patient atteint de cancer », sur AFSOS, (consulté le ).
- Portail de la médecine