Tératome

Tératome
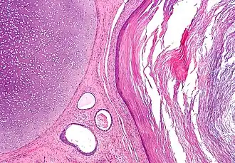
Description de cette image, également commentée ci-après
Micrographie d'un tératome montrant des tissus issus de trois couches germinales : mésoderme (immature cartilage - coin gauche supérieur de l'image), endoderme (glandes gastro-intestinales - Centre-bas de l'image) et ectoderme (épiderme - à droite sur l'image).
Coloration à l'hématoxyline et à l'éosine
Traitement
Spécialité Oncologie
Classification et ressources externes
CISP-2 Y78
CIM-10 C62.9 (ILDS C62.930)
ICD-O 9080
DiseasesDB 3604 12952 12966
eMedicine 427395
MeSH D013724

Wikipédia ne donne pas de conseils médicaux Mise en garde médicale

Un tératome est un type de tumeur (tumeur germinale) formée par des cellules pluripotentes. Les tératomes sont des tumeurs complexes possédant certaines composantes cellulaires apparentées à l’activité normale de plus d’un feuillet embryonnaire. Ce type de tumeurs contient souvent des cellules bien différenciées qui produisent un ou des tissus mûrs mais à des endroits inappropriés et souvent différents des tissus environnants.

Tératome mûr du médiastin. Une coupe horizontale de la tumeur réséquée montre un tissu fibreux, des zones calcifiées, et quelques espaces kystiques bordées de membrane lisse et contenant un cheveu.
Une petite (4 cm) tumeur (kyste) dermoïde de l'ovaire, avec cheveux et/ou poils bien visibles
Tératome de l'ovaire ; formation de tissus gras au bord lisse, avec une partie dense (qui pourrait être une dent).
Tissu avec des dents, de la peau et des cheveux provenant d'un tératome de l'ovaire.
Tératome de l'ovaire avec cheveux et dents.

Étymologie

Du grec ancien τέρας, τέρατος (téras, tératos), « monstre », avec le suffixe -ωμα (-ôma) désignant une tumeur.

Histoire

Les tératomes sont connus depuis l'Antiquité[1], mais ont tenu la médecine en échec jusqu'à il y a peu concernant leur origine, leur explication et parfois leur traitement.

Certains nouveau-nés naissent avec des tératomes, parfois de grande taille attachés à eux (évoquant un jumeau conjoint). On a donc naturellement cru qu'il pourrait s'agir des restes de jumeaux qui ne s'étaient jamais complètement ou correctement développé.
Suivant cette hypothèse, les tératomes internes étaient supposés être des restes d'anciens jumeaux qui auraient été absorbés dans le corps du fœtus et bébé survivant durant la grossesse[2].

Les progrès de l'imagerie médicale et du diagnostic prénatal, permettent parfois de les repérer in utero[3].

Évolution

Les tératomes débutent habituellement par la transformation de cellules présentes dans les testicules chez l’homme, dans les ovaires chez la femme et dans le sacrum chez l’enfant.

Ce n'est parfois que chez l'adulte qu'on découvre le tératome. Ainsi, en 2009, un Anglais, Gavin Hyatt, a « donné naissance » à un « jumeau identique sous-développé » trouvé dans une petite excroissance qui avait grandi hors de son abdomen[2]. Et en 2015, des médecins de Hong Kong ont découvert deux fœtus partiellement développés dans l'abdomen d'un nouveau-né[2]. Plusieurs cas, rares, de tératomes sous dural[4], de l'orbite[5],[6], du médiastin[7], de la région intrapéricardiaque[8], du péritoine[9], de l'estomac[10], du pharynx[11], de la thyroïde[12],[13],[14], de la région sacro-coccygienne[15] ou encore intracérébral sont connus[2]

Exceptionnellement, plusieurs tératomes peuvent apparaitre de manière synchrone[16].

Certains tératomes sécrètent la gonadotrophine chorionique (hCG), une hormone normalement produite durant la grossesse et dont la chaîne bêta est mesurée lors des tests de grossesse. Cette dernière est utile pour le suivi du traitement et des récidives de tératomes, mais ne devrait pas être utilisée comme marqueur diagnostique. D’autres types de tératomes sécrètent de la thyroxine, parfois à un degré tel qu’une hyperthyroïdie clinique devient présente.

Exemples

Classification

Les tératomes peuvent se diviser en trois catégories :

  1. Mûr (bénigne)
  2. Immature (maligne)
  3. Monodermique ou spécialisé

On parle de tératome géant pour les tératomes de grande taille, qui peuvent aussi apparaitre chez l'adulte[19].

Leur développement peut être parfois à la fois interne et externe, y compris en région craniofaciale[20].

Les tératomes de l'ovaire

Les tératomes immatures de l’ovaire, souvent détectés à l'échographie, TDM ou IRM[21] sont potentiellement malins tout comme les tératomes testiculaires, qui sont généralement moins bien différenciés (donc avec un pronostic plus sombre). Des effets hormonaux, systémiques ou éloignés (ex. : encéphalite limbique paranéoplasique, encéphalite paranéoplasique anti-NMDAr)[22] sont possibles. Les métastases sont rares mais possibles (ex. : métastases neuroïdes matures d’un tératome ovarien[23]). Après ablation, des récidives sont possibles[24].

Tératome et cancer du testicule

Le cancer du testicule ou tumeur germinale du testicule possède souvent plusieurs contingents cellulaires de nature différente dont le tératome. Ce contingent est souvent associé à un contingent de carcinome embryonnaire ou, plus rarement, d'un contingent de tumeur du sac vitellin. Moins de 3 % des cancers du testicule sont des tératomes purs. La présence d'un contingent de tératomes dans un cancer du testicule a des implications pratiques :

  • ce sont des lésions qui produisent peu de métastases ;
  • elles sont par contre peu sensibles à la chimiothérapie ;
  • elles ont un risque de récidive très tardif qui impose une surveillance prolongée.

Références

  1. Charlier, P., Huynh-Charlier, I., Brun, L., Devisme, L., & Catalano, P. (2009, February). Un tératome mature médiastinal vieux de 1800 ans. In Annales de pathologie (Vol. 29, No. 1, pp. 67-69). Elsevier Masson.
  2. 1 2 3 4 5 Michael E. Miller (2015) article intitulé Morning Mix Woman’s brain tumor turns out to be ‘evil twin’ complete with bone, hair and teeth, publié par le Washington Post, le 23 avril 2015
  3. Heloury, Y., Vergnes, P., Classe, J. M., Nomballais, M. F., Jehannin, B., Weil, D., & Lopes, P. (1990). Les tératomes sacro-coccygiens de diagnostic anté-natal. Chirurgie pédiatrique, 31(4-5), 202-206.
  4. Puusepp, M. (1934). Variété rare de tératome, sous-dural de la région cervicale (intestinome): Quadriplégie, extirpation, guérison complète. Rev. Neurol. (Paris), 2, 879-886.
  5. Braun-Vallon, S., Joseph, R., Nezelof, C., Ribierre, M., & Lagraulet, J. (1958). Un cas de tératome de l'orbite. Bull Soc Ophtalmol Fr, 12, 805-809.
  6. Ardouin, M., Leplat, G., Boulanger, P., & Lenoir, A. (1958). Teratome orbitaire vrai. Bull Mem Soc Franc Ophtalmol, 71, 359-388.
  7. Chetaille, B., Massard, G., & Falcoz, P. E. (2010). Les tumeurs germinales du médiastin: anatomopathologie, classification, tératomes et tumeurs malignes. Revue de Pneumologie clinique, 66(1), 63-70.
  8. Pernot, C., Frisch, R., Mathieu, P., Olive, D., & Vidailhet, M. (1968). Les tératomes intrapéricardiques du nourrisson. À propos de deux observations avec succès chirurgical. Archives des Maladies du Cœur et des Vaisseaux I, 6, 546.
  9. Augé, B., Satgé, D., Sauvage, P., Lutz, P., Chenard, M. P., & Lévy, J. M. (1993). Les tératomes rétropéritonéaux de la période périnatale: revue de la littérature à propos d'un tératome néonatal immature agressif. In Annales de pédiatrie (Vol. 40, No. 10, pp. 613-621). Expansion scientifique publications.
  10. Aubrespy, P., & Derlon, S. (1970). Tératome gastrique chez un nouveau-né. Mem Acad Chir, 96, 528.
  11. Crimail, P., Hainaut, F., & Legris, M. (1988). Tératome pharyngé épignathe : étude échographique et pronostic. Journal de gynécologie obstétrique et biologie de la reproduction, 17(8), 1069-1074.
  12. Goeau-Brissonniere, O., TAKAKOLI, R., Franc, B., GOUPIL, A., RENIER, J., & PATEL, J. (1989). Les tératomes malins primitifs de la thyroïde de l'adulte. Rapport d'un cas et revue de la littérature. Journal de chirurgie, 126(1), 1-4.
  13. Lecomte-Houcke, M., Parent, M., Carnaille, B., BARANZELLI, M., Chauvet-Hogedez, G., Proye, C., & DUPONT, A. (1992). Tératomes malins primitifs de la thyroïde. Deux observations avec études immunohistochimique et ultrastructurale. In Annales de pathologie (Vol. 12, No. 1, pp. 12-19). Masson.
  14. Trotoux, J., Hugon, G., & Vilde, F. (1979). Tératome malin primitif de la thyroide. Ann. Oto-Laryngol, 96, 519-529.
  15. Laurent, M., Rousseau, M. F., & Nezelof, C. (1968). Étude caryotypique d'un tératome sacro-coccygien. Ann Anat Path, 73, 413
  16. Driss, M., Limaiem, F., Mrad, K., Charfi, L., Abbes, I., Sassi, S., ... & Romdhane, K. B. (2009). Association synchrone d’un tératome de l’ovaire cancérisé associé à un tératome du médiastin. À propos d’un cas. La Revue de médecine interne, 30(4), 369-371 (résumé).
  17. Kunstmann L & Fénichel P (2007) Goitre ovarien: une forme particulière de tératome de l'ovaire. Gynécologie obstétrique & fertilité, 35(1), 49-54.
  18. Krabbe, K. H. (1944). Un cas de tératome dans la glande pinéale, guéri par intervention opératoire. Acta Psychiatrica Scandinavica, 19(1‐2), 233-245 (résumé).
  19. Harbon, S., & Pheline, Y. (1989). Tératome sacro-coccygien géant de l'adulte. In Annales de chirurgie plastique et esthétique (Vol. 34, No. 2, pp. 153-159). Elsevier Masson.
  20. Montaya, P., Fuentes, J. M., Montaya, F., & Evrard, O. (1980). Tératome crâniofacial à développement mixte intra et extra-crânien. Rev Stomatol Chir Maxillofac, 81, 52-57.
  21. Damarey B, Farine M-O, Vinatier D, Collinet P, Lucot J-P, Kerdraon O. & Poncelet E. « Tératomes ovariens matures et immatures : caractéristiques en échographie, TDM et IRM » Journal de radiologie 2010;91(1):27-36.
  22. Henry C, Husson H. & de Broucker T. « Encéphalite limbique auto-immune avec anticorps antirécepteur NMDA associée à un tératome de l’ovaire : une forme curable d’encéphalite limbique paranéoplasique » Revue Neurologique 2009;165(1);70-5.
  23. Kourie M. et Roujeau J. « Métastases neuroïdes matures d’un tératome ovarien » Arch Anat Pathol. 1966;14:22-3. (résumé).
  24. Trabelsi A, Conan-Charlet V, Lhomme C, Morice P, Duvillard P. et Sabourin J-C. « Glioblastome péritonéal: récidive d'un tératome immature de l'ovaire (à propos d'un cas) » Annales de pathologie 2002;22(2):130-3.

Voir aussi

Bibliographie

  • Augé, B., Satgé, D., Sauvage, P., Lutz, P., Chenard, M. P., & Lévy, J. M. (1993). Les tératomes rétropéritonéaux de la période périnatale: revue de la littérature à propos d'un tératome néonatal immature agressif. In Annales de pédiatrie (Vol. 40, No. 10, pp. 613-621). Expansion scientifique publications (résumé).
  • Benouaiche, L., Couly, G., Michel, B., & Devauchelle, B. (2007, April). Diagnostic et prise en charge des tératomes cervicofaciaux congénitaux: à propos de quatre cas, revue de la littérature et mise au point. In Annales de chirurgie plastique esthétique (Vol. 52, No. 2, pp. 114-123). Ed : Elsevier Masson(résumé).
  • Crouet, H., De Ranieri, E., & De Ranieri, J. (1986). Cancérisation secondaire des tératomes matures kystiques bénins de l'ovaire (kystes dermoïdes): revue de la littérature à propos d'un nouveau cas. Journal de gynécologie obstétrique et biologie de la reproduction, 15(8), 1055-1066.
  • Laurent, M., Rousseau, M. F., & Nezelof, C. (1968) Étude caryotypique d'un tératome sacro-coccygien. Ann Anat Path, 73, 413.
  • Locoge, M. (1958). Considérations sur la pathogénie des épidermodermoides et tératomes du système nerveux. Acta neurol. belg, 58, 753.
  • Mawas, C., Buffe, D., Lemerle, J., Schweisguth, O., & Burtin, P. (1969). Recherche immunologique de l'alpha 1-feto-protéine ou fétuine dans les tumeurs primitives du foie et les tératomes malins de l'enfant. À propos de, 18 .
  • Pelissou-Guyotat, I., Sindou, M., Pialat, J., & Goutelle, A. (1988). Tératome mature intramédullaire associé à une moelle attachée et à un lipome intradural: à propos d'un cas opéré. Revue de la littérature. Neuro-chirurgie, 34(3), 205-209.

Articles connexes

Liens externes

  • icône décorative Portail de la biologie
  • icône décorative Portail de la médecine