Tendinite calcifiante

Tendinite calcifiante
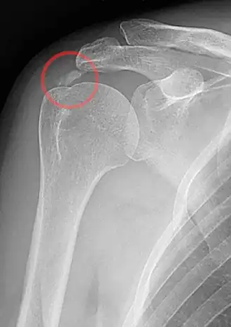
Description de cette image, également commentée ci-après
Tendinite calcifiante de la coiffe des rotateurs
Traitement
Spécialité Rhumatologie
Classification et ressources externes
CIM-10 M65.2, M75.3
CIM-9 727.82

Wikipédia ne donne pas de conseils médicaux Mise en garde médicale

La tendinite calcifiante, une forme de tendinite, est une maladie caractérisée par des dépôts d'hydroxyapatite sur un tendon, causant douleur et inflammation. Les plus touchés sont les tendons de la coiffe des rotateurs (épaule). Elle peut alors s'accompagner d'une capsulite rétractile.

Étiologie

Il existe trois grandes théories expliquant les mécanismes impliqués dans la calcification du tendon[1]. La première théorie est celle d'une calcification réactive, impliquant un processus actif à médiation cellulaire, suivi d'une résorption spontanée par des phagocytes multinucléés montrant un phénotype typique des ostéoclastes. La deuxième théorie suggère que les dépôts de calcium se forment par un processus similaire à celui de l'ossification endochondrale. Ce mécanisme implique une hypoxie locale, transformant les ténocytes en chondrocyte. La troisième théorie est celle de la métaplasie des cellules souches mésenchymateuses du tendon en cellules ostéogéniques, causant ainsi une formation d'os ectopique. Comme aucune de ces théories ne peut tout expliquer, la tendinite calcifiante est aujourd'hui considérée comme une pathologie multi-factorielle[1].

Présentation et diagnostic

La douleur est souvent aggravée par l'élévation de l'épaule, ou lorsque le patient est en décubitus latéral du côté touché. Elle peut réveiller le patient la nuit. D'autres symptômes sont la raideur, le claquage, ou la faiblesse de l'épaule.

Les dépôts de calcium sont visibles en radiographie formant une tache opaque au niveau de la localisation du tendon concerné. L'échographie peut également être utile et est fortement corrélée avec le stade de la maladie[1].

Traitement

Régime pauvre en calcium

Cette mesure est controversée. Elle peut être très efficace pour certains patients, allant jusqu'à la suppression totale de la douleur, selon certains cas publiés dans la littérature.

On pense que le corps utilise le calcium des dépôts pathologiques lorsque son apport est limité. Des études sont nécessaires dans ce domaine.

Thérapie par onde de choc

La thérapie par onde de choc, qui utilise des ondes sonores, peut être bénéfique dans le traitement de la tendinite calcifiante[2], malgré le fait qu'elle entraine une lésion du tendon et une cicatrice de celui-ci. Elle n'est pas utile dans les autres types de tendinite[2].

Médicaments

Les analgésiques et les anti-inflammatoires non stéroïdiens (AINS) sont utiles dans une certaine limite.

Physiothérapie

L'électroanalgésie, la thérapie par le froid ou le chaud peuvent soulager les symptômes. Le bénéfice des ultrasons est controversée ; la plupart des études n'en montrent pas mais une étude par Ebenbichler et al. (1999)[3] a montré la disparition des dépôts et une amélioration clinique. L'amélioration de la mobilisation de l'épaule conduit à une réduction de la tension des muscles impliqués, et donc à une diminution des symptômes. On pense qu'une amélioration de la mobilisation réduit la quantité de calficication, en particulier pour le supra-épineux, où elle peut être causée par des compressions répétées contre l'acromion.

Iontophorèse

Dans la littérature, la iontophorèse à l'acide acétique, combinée aux ultrasons n'a pas conduit à un meilleur résultat clinique ou une diminution des dépôts de calcium, comparés à l'absence de traitement.

Procédé effractif

Sous anesthésie locale, les dépôts de calcium peuvent être détruits mécaniquement en les piquant répétitivement avec une aiguille, puis en les aspirant avec du sérum physiologique. Environ 75 % des patients sont aidés par cette procédure. L'échographie peut être utilisée pour localiser le dépôt et visualiser l'aiguille qui le fracture en temps réel.

Infiltrations de corticoïdes

Elles peuvent être utiles lors de l'inflammation aiguë de l'épaule, mais sinon, elles n'ont pas d'autre intérêt que le soulagement temporaire de la douleur.

Chirurgie

Retirer les dépôts par une chirurgie invasive ou par arthroscopie est une intervention difficile, mais avec un taux de réussite important (environ 90 %). Environ 10 % des patients nécessitent une deuxième opération. Si le dépôt est important, alors une intervention réparatrice de la coiffe des tendons sera généralement nécessaire pour combler le "trou" laissé par le dépôt, ou ré-attacher le tendon à l'os si la calcification était au niveau de son insertion.

Voir aussi

Références

  1. 1 2 3 Arend CF.
  2. 1 2 RR Bannuru, NE Flavin, E Vaysbrot, W Harvey et T McAlindon, « High-energy extracorporeal shock-wave therapy for treating chronic calcific tendinitis of the shoulder: a systematic review. », Annals of internal medicine, vol. 160, no 8, , p. 542–9 (PMID 24733195, DOI 10.7326/m13-1982)
  3. Ebenbichler GR, Erdogmus CB, Resch KL, et al., « Ultrasound therapy for calcific tendinitis of the shoulder », N. Engl. J. Med., vol. 340, no 20, , p. 1533–8 (PMID 10332014, DOI 10.1056/NEJM199905203402002, lire en ligne)
  • icône décorative Portail de la médecine