Tumeur phyllode
Tumeur phyllode
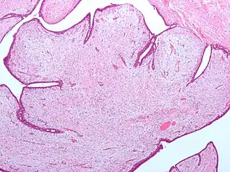
Coupe histologique colorée (H&E) d'une tumeur phyllode.
| CIM-10 | C50, D24, D48.6 |
|---|---|
| CIM-9 | 217 |
| ICD-O | M9020 |
| DiseasesDB | 3396 |
| eMedicine | 188728 |
| MeSH | D003557 |
Mise en garde médicale
La tumeur phyllode ou cystosarcoma phyllodes est un néoplasme à croissance rapide qui se forme à partir des cellules stromatiques périductales du sein.

La tumeur phyllode est rare et représente moins de 1 % des tumeurs du sein. Elle est généralement bénigne mais éventuellement maligne dans environ 10 % des cas. En raison du caractère récidivant de ce type de tumeur et du risque d'évolution métastasique dans 4 à 17 % des cas, l'enlèvement chirurgical est systématique[1].
Notes et références
- ↑ www.cancer-sein.net : Les tumeurs phyllodes
- Portail de la médecine