Ascite
Une ascite, ou épanchement liquidien intraabdominal, est une accumulation de liquide dans l'abdomen, plus précisément dans la cavité péritonéale. Souvent causée par une cirrhose (une maladie sévère entraînée par une fibrose hépatique), elle peut survenir chez des patients souffrant d'insuffisance cardiaque ou de cancer. Environ 10 % des patients cirrhotiques ont une ascite. En 2013, l'échographie abdominale est la méthode de référence pour le diagnostic d'ascite[1]. Aujourd'hui (2022), « un examen plus poussé, impliquant un scanner abdominal (tomodensitométrie) peut aussi permettre de déterminer la cause de l’ascite »[2].
L'épanchement peut être de plusieurs types :
- séreux ;
- exsudatif, c’est-à-dire riche en protéines ;
- hémorragique ;
- infecté ;
- chyleux, c'est-à-dire riche en triglycérides.
Symptômes
Les patients peuvent se plaindre de prise de poids, de lourdeur abdominale (voire parfois de douleurs abdominales[2]) ou de dyspnée (difficulté à respirer) causée par une pression sur le diaphragme. Ceci peut parfois entraîner une perte d’appétit en plus d'une sensation d’essoufflement et de gêne[3].
Mais le symptôme le plus visible est souvent (mais pas toujours) un gonflement important de l'abdomen[3],[2] : la distension abdominale peut alors aplatir la cavité du nombril, voire le repousser vers l’extérieur[3]. Lorsque l'épanchement de liquide est faible, l'ascite peut rester asymptomatique un certain temps[2],[3]. Il est à noter que la prise de poids est parfois masquée ou compensée par l'amaigrissement[4].
D'autres symptômes fréquemment associés sont aussi des nausées et vomissements, un gonflement des jambes et des chevilles (œdème des membres inférieurs[4]), des indigestions et brûlures d'estomac[2]. L'ascite peut aussi être « parfois associée à un épanchement pleural (entre le poumon et la paroi thoracique), le plus souvent à droite »[4].
Signes physiques
Diagnostic positif : pour affirmer le diagnostic
Les signes dépendent de l'abondance de l'épanchement, ainsi on décrit l'épanchement de petite abondance qui est peu symptomatique, et les épanchements de moyenne et de grande abondance qui sont cliniquement symptomatiques.
- Signes généraux : il existe une prise de poids lors d'une ascite du fait de la rétention d'eau intraabdominale.
- Inspection : lorsque l'épanchement est très important, l'abdomen est distendu (peau lisse, tendue, sans relief) ; dans certains cas, on peut même observer l'extériorisation d'une hernie ombilicale.
- Percussion : lorsque l'épanchement est peu important, il est mobilisable, on observe une matité déclive caractérisée par une matité au niveau des flancs et un tympanisme au milieu de l'abdomen ; la matité varie avec la position du sujet.
- Palpation : elle permet parfois d'observer le signe du glaçon au niveau du foie et le signe du flot.
Étiologique : pour retrouver la cause
- fièvre en faveur d'une infection
- altération de l'état général avec fatigue chronique, perte de poids
- signes d'hypertension portale en faveur d'une cirrhose
- adénopathies en faveur d'une infection ou d'un cancer
- signes d'insuffisance cardiaque, dyspnée et intolérance à l'effort en faveur d'une cause cardiaque
- troubles psychiques en faveur d'une encéphalopathie hépatique ou d'une infection
- astérixis en faveur d'une encéphalopathie hépatique
Classification
Elle est peu utilisée. L'ascite est décrite en trois stades[5] :
- grade 1 : légère, visible uniquement à l'échographie ou au scanner
- grade 2 : détectable avec la distension abdominale et une matité déclive dont la localisation change au changement de la position du patient.
- grade 3 : directement visible, confirmée avec le signe du glaçon
Examens complémentaires
Pour confirmer son diagnostic

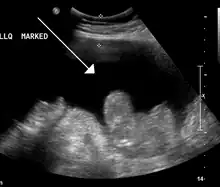
- Échographie abdominale : très sensible pour détecter les épanchements liquidiens, elle permet d'observer une lame d'ascite, notamment au niveau des flancs, de l'espace interhépatorénal (de Morison) et du cul-de-sac de Douglas.
Pour trouver la cause de l'ascite, comprendre le mécanisme
- Ponction : elle a pour but le diagnostic de la cause de l'ascite ainsi que son évacuation. Le prélèvement subit plusieurs analyses :
- Taux de protéines. Le gradient (différence) d'albumine entre le sérum et l'ascite (en anglais Serum-ascites albumin gradient, SAAG) permet probablement une meilleure analyse que les plus vieilles mesures (exsudat ou transudat) pour retrouver la cause d'une ascite[6]. Un gradient élevé (> 11 g/L) oriente vers une ascite causée par une hypertension portale. Un gradient bas (< 11 g/L) oriente vers une ascite qui n'est pas causée par une hypertension portale.
- Dosage de l'amylase pancréatique,
- Cytologie : présence de cellules, taux de globules blancs, recherches de cellules cancéreuses,
- Bactériologie : examen direct après coloration de Gram puis mise en culture.
- Laparoscopie ou cœlioscopie (rarement utile) : inspection complète par un chirurgien sous anesthésie générale de la cavité péritonéale pour chercher la cause de l'ascite.
Complications
Devant toute ascite, le premier geste invasif à faire est la ponction du liquide d'ascite. On prélève le liquide pour réaliser une série d'examens et en particulier pour dépister une complication grave : l'infection du liquide d'ascite.
L'infection du liquide d'ascite (ILA) est définie par la présence de plus de 250 polynucléaires neutrophiles par mm³, qu'il y ait ou non un taux significatif de bactéries identifiées à l'examen bactériologique direct ou après culture. L'infection se traite par une antibiothérapie.
Une détresse respiratoire peut parfois révéler l'ascite ; cette difficulté à respirer est due à la compression du diaphragme par une ascite volumineuse. Elle nécessite une évacuation du liquide.
Une hernie ou éventration, extériorisation d'anses digestives le plus souvent par une zone de faiblesse de la paroi musculaire abdominale (ombilicale, inguinale), peut survenir.
Causes
95 % des ascites sont dues soit à une cirrhose hépatique, soit à une carcinose péritonéale, seules les ascites tertiaires sont dues à des infections digestives type péritonite, elles sont alors plus diffuses et masquent une perte de poids comme pour les péritonites.
Causes de gradient d'albumine entre le sérum et l'ascite élevé (> 11 g/L)
- Hypertension portale (la plus fréquente) : un obstacle sur la veine porte (qui draine le sang digestif au foie) entraîne une modification du flux sanguin et, par des mécanismes de variations de pressions (oncotique et interstitielle), l'ascite ; dans la cirrhose hépatique, le bloc portal induit une hyper pression veineuse des territoires splanchniques et de manière concomitante un excès de substances vasodilatatrices (NO notamment). Cet excès de substances vasodilatatrices va par la suite induire une diminution relative de la pression de perfusion rénale et donc une activation du système rénine angiotensine. Cette activation du SRA va entraîner une réabsorption accrue de sodium et donc d'eau pour entraîner l'état d'hyperhydratation extracellulaire de la cirrhose ascitique.
- Cirrhose alcoolique (albuminémie inférieure à 25 g/L) ;
- Thromboses vasculaires localisées aux veines sus-hépatiques (syndrome de Budd-Chiari) ;
- Causes cardiaques : insuffisance cardiaque droite, péricardite constrictive, sténose de l'artère pulmonaire ;
- Entéropathies exsudatives ou dénutrition (kwashiorkor).
Causes de gradient d'albumine entre le sérum et l'ascite bas (< 11 g/L)
- Hypoalbuminémies des syndromes néphrotiques ;
- Maladies péritonéales :
- Carcinose péritonéale : étiologie principale 1/2, qui en l'absence de cancer antérieur peut indiquer :
- Tuberculose péritonéale : étiologie principale 2/2 ;
- Mésothélium péritonéal : étiologie secondaire ;
- Cancer du pancréas ;
- Cancer de l'œsophage.
- Angio-œdème héréditaire[7].
Autres causes possibles rares
- Pancréatites chroniques (on retrouve un taux élevé d'amylase dans le liquide d'ascite) ;
- Syndrome d'hyperstimulation ovarienne et syndrome Demons-Meigs ;
- Vascularite ;
- Hypothyroïdie ;
- dialyse péritonéale ;
- stade évolutif sévère de maladies auto-immunes induisant des candémies systémiques[8] par neutropénie, l'ascite est le dernier stade avant le choc septique, alors l'infection est auto-générée par le système digestif et les candida en surnombre.
Notes et références
- Rev Prescrire 2014 ; 33 (366) : 290.
- Marion Spée, journaliste scientifique, « L'ascite : les causes et les traitements »
, sur Passeport santé.net, (consulté le ). - Danielle Tholey, du Sidney Kimmel Medical College à la Thomas Jefferson University, « Ascite »
, sur msdmanuals.com, (consulté le ). - Dr Rodolphe Sobesky, Hépatologue, « L'Ascite »
, sur centre-hepato-biliaire.org, (consulté le ). - (en) K.P. Moore, Wong, F.; Gines, P.; Bernardi, M.; Ochs, A.; Salerno, F.; Angeli, P.; Porayko, M.; Moreau, R.; Garcia-Tsao, G.; Jimenez, W.; Planas, R.; Arroyo, V, « The Management of Ascites in Cirrhosis: Report on the Consensus Conference of the International Ascites Club », Hepatology, vol. 2003, no 38, , p. 258–66 (PMID 12830009, DOI 10.1053/jhep.2003.50315)
- (en) Runyon BA, Montano AA, Akriviadis EA, Antillon MR, Irving MA, McHutchison JG, « The serum-ascites albumin gradient is superior to the exudate-transudate concept in the differential diagnosis of ascites », Ann. Intern. Med., vol. 117, no 3, , p. 215–20 (PMID 1616215)
- (en) Branco-Ferreira M, Pedro E, Barbosa MA, Carlos AG, « Ascites in hereditary angioedema », Allergy, vol. 53, no 5, , p. 543–5 (PMID 9636820, DOI 10.1111/j.1398-9995.1998.tb04098.x)
- (voir notamment le résumé introductif de l'article consacré à Candida albicans, qui est un champignon potentiellement pathogène présent à l'état naturel dans les muqueuses de l'être humain)
Bibliographie
- Marcel Orsini, Les Ascites d’aspect laiteux (Ascites adipeuses). Leur classification, leur pathogénie, Bordeaux, 1934 (thèse de médecine)
- Portail de la médecine