Faisceau cortico-bulbaire
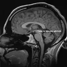
Le faisceau cortico-bulbaire (ancien faisceau cortico-nucléaire ou faisceau géniculé ou faisceau cortico-géniculé) est une portion de la voie pyramidale, formée d’axones de neurones moteurs centraux, qui innerve les noyaux moteurs des nerfs crâniens.


Anatomie
Le faisceau cortico-bulbaire relie le cortex moteur aux noyaux, origines des nerfs crâniens, dans le tronc cérébral. Dans son chemin, il traverse le genou de la capsule interne, ce qui lui vaut le qualificatif de « géniculé ».
En fait, le faisceau cortico-bulbaire comporte deux contingents de fibres :
- le contingent oculo-céphalogyre qui se termine dans les noyaux des nerfs oculomoteur (III), trochléaire (IV), abducens (VI) et accessoire (XIm) ;
- le reste des fibres se terminent dans les noyaux moteurs des nerfs d'origine branchiale trijumeau (V), nerf facial (VII) , ambigu (IX, X, XIb) et le noyau du nerf hypoglosse (XII).
Il descend dans le tiers interne du mésencéphale et abandonne ses fibres aux noyaux moteurs des nerfs crâniens. Il distribue ses fibres de manière bilatérale pour l'ensemble des nerfs crâniens à l'exception du noyau du nerf VII inférieur pour lequel les fibres sont distribuées de manière controlatérale seulement[1]. Ce qui explique qu'une lésion centrale (cortex) unilatérale s'exprime cliniquement en cas d'atteinte du VII inférieur par une faiblesse des muscles de la partie inférieure du visage (sous les yeux) controlatérale à la lésion. Par exemple, une atteinte de la partie moteur du cortex frontal gauche entraîne l'affaissement de la commissure labiale droite.
Le nerf hypoglosse (XII) bien qu'innervé bilatéralement par le cortex, la projection des fibres nerveuses provenant du faisceau cortico-bulbaire sont essentiellement controlatérales[1]. Donc, une atteinte centrale unilatérale se traduira par une faiblesse des muscles controlatéraux de la langue puisque les fibres nerveuses provenant du cortex ipsilatéral sont insuffisantes en quantité pour maintenir l'activité musculaire. Par exemple, une masse au cerveau comprimant la partie moteur du cortex frontal droit aura comme répercussion une faiblesse des muscles de la langue à gauche.
Pour le nerf optique, la distribution est plus complexe car elle se fait au niveau des champs visuels.[pas clair]
Notes et références
- David L. Felten, Ralph Jozefowicz, Atlas de neurosciences humaines de Netter, 2006 p. 243 (ISBN 978-2294017612) résumé en ligne.
Voir aussi
- Portail des neurosciences
- Portail de la médecine
- Portail de l’anatomie