Hyperplasie adénomateuse atypique
L'hyperplasie adénomateuse atypique (HAA) est une lésion hyperplasique des pneumocytes bordant les alvéoles pulmonaires et présentant des anomalies cytonucléaires discrètes[1]. Ce terme est préconisé par l'Organisation mondiale de la santé dans sa classification des tumeurs de 2011, puis maintenu et précisé dans les versions de 2015 et 2021. Il caractérise une lésion glandulaire précurseur (précédemment dite lésion préinvasive) de très petite taille[2],[3].

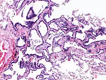
Image histologique de l'hyperplasie adénomateuse atypique.
Cette anomalie, de petite taille, inférieure ou égale à 5 mm[3], est une dysplasie, précancéreuse, précurseur de l'adénocarcinome pulmonaire in situ[4]. Le terme de carcinome bronchioloalvéolaire, autrefois employé pour décrire cette lésion est désormais abandonné[4].
Notes et références
- Michaël Duruisseaux, Signature moléculaire des adénocarcinomes pulmonaires de type lépidique prédominant et mucineux invasif et dérégulation. Biologie cellulaire (thèse de doctorat de Sciences du Vivant), Université Pierre et Marie Curie - Paris VI, (url=https://theses.hal.science/tel-01242978/document).
- (en) Organisation mondiale de la santé, Thoracic Tumours. WHO Classification of Tumours, vol. 5, Lyon: International Agency for Research on Cancer, 5, (ISBN 978-92-832-4506-3, lire en ligne).
- Joël Cucherousset et Nahla Cucherousset, « Nouvelle classification anatomopathologique des cancers pulmonaires. Une approche pluridisciplinaire : de la morphologie à la réponse thérapeutique… », Le nouveau Cancérologue, vol. 7, no 1, , p. 25-30 (lire en ligne).
- Damien Keller et al., « Nodules pulmonaires subsolides », Revue médicale suisse, no 539, (ISSN 1660-9379, lire en ligne).
Voir aussi
- Portail de la biologie
- Portail de la médecine
Cet article est issu de Wikipedia. Le texte est sous licence Creative Commons – Attribution – Partage à l’identique. Des conditions supplémentaires peuvent s’appliquer aux fichiers multimédias.