Lésion axonale diffuse
Les lésions axonales diffuses sont des cas de traumatisme crânien fréquents et de pronostic très défavorable. Elles se traduisent par des dommages sur une zone étendue du cerveau, dans la matière blanche, et sont une cause majeure de comas persistants et d'états végétatifs[1].
Les lésions axonales diffuses, phénomène présent dans 50 % des traumatismes crâniens graves, sont de divers degrés de sévérités (légères, modérées, graves)[2]. Les victimes des cas les plus légers peuvent espérer une rémission plus ou moins complète[3]. Mais dans les cas les plus sévères, si le décès reste relativement peu fréquent, 90 % des patients ne se réveillent pas[1], tandis que ceux qui émergent du coma souffrent de séquelles graves[4].

Mécanisme
Une lésion axonale diffuse résulte d'une accélération ou d'une décélération violente de la boîte crânienne, éventuellement amplifié par un mouvement rotatif[5],[6]. La cause en est généralement un accident d'automobile[7] et parfois une chute ou une agression[8], voire les cas de maltraitance infantile, notamment les cas de bébés secoués[6].
Les deux tiers des lésions surviennent dans les zones où se rejoignent la substance grise (les neurones) et la substance blanche (les axones, fibres nerveuses reliant les neurones aux synapses). L'accélération subie faisant bouger différemment les zones du cerveau selon leur densité (et selon la distance à l'axe de rotation lorsqu'il y en a une), il en résulte des mouvements de tissus les uns par rapport aux autres et des tensions sur les axones rompant ceux-ci, immédiatement ou après coup[6].
Les lésions sont d'une taille variant de 1 à 15 mm et leur distribution est caractéristique[1]. Les lobes les plus fréquemment touchés sont le lobe frontal et le lobe temporal[9].
Contrairement à ce qui a longtemps été imaginé, la principale cause des lésions aux axones n'est pas le trauma initial mais plutôt les conséquences de celui-ci, dans les heures ou les jours suivants[8],[10],[11]. L'étirement des axones ouvre les canaux sodium dans l'axolemme, ce qui entraîne ensuite l'ouverture des canaux calcium et la fuite d'ions Ca2+ dans les cellules[12]. La présence de Ca2+ dans les cellules endommage les mitochondries et le cytosquelette et active les caspases, provoquant alors le phénomène de "suicide cellulaire" : l'apoptose[8].
Diagnostic
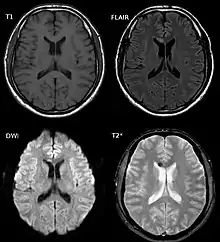
Imagerie médicale
L'imagerie par rayonnement X (Tomodensitométrie, dit scanner X) peut détecter certaines des petites hémorragies survenant simultanément à une LAD[3], mais la plupart seront invisibles et les cas de LAD non hémorragiques ne seront pas détectés. Finalement, cette technique se révèle peu sensible (de l'ordre de 25 % de cas détectés pour un échantillon riche en LAD graves)[13].
L'Imagerie par résonance magnétique (IRM) se révèle plus efficace[3],[13].
D'autres techniques pourraient s'avérer encore plus sensibles : PET, TEMP, imagerie par résonance magnétique fonctionnelle[9].
Évaluation de la gravité
Plusieurs échelles de gravité ont été proposées :
- La classification de Marshall[14], applicable pour les traumatismes crâniens sur la base de tomographie par rayons X.
| Catégories | Définition |
|---|---|
| Lésions diffuses type I | Pas de signes d’atteinte cérébrale, corrélée aux cas de séquelles les plus légères[13]. |
| Lésions diffuses type II | Citernes de la base présentes Déviation de la ligne médiane <5 mm Pas de lésion hyperdense ou en mosaïque >25ml |
| Lésions diffuses type III | Citernes comprimées ou absentes Déviation de la ligne médiane < 5 mm Pas de lésion hyperdense ou en mosaïque >25ml |
| Lésions diffuses type IV | Déviation de la ligne médiane > 5 mm Pas de lésion hyperdense ou en mosaïque >25ml |
| Lésions avec effet de masse opérées (Type V) | Toute lésion évacuée chirurgicalement |
| Lésions avec effet de masse non opérées (Type VI) | Lésion hyperdense ou en mosaïque >25ml non évacuées |
- L'échelle de gravité centripète d'Ommaya[13] ordonne la gravité des LAD en fonction des organes touchés, soit pour des cas de gravité croissante, des atteintes constatées au niveau de :
| Atteinte constatée | Gravité |
|---|---|
| substance blanche périphérique | Gravité minimale |
| centres semi-ovales | |
| corps calleux | Gravité moyenne |
| capsule interne | |
| mésencéphale | Gravité maximale |
Traitement
Le polyéthylène glycol pourrait permettre de sceller l'axolemme et prévenir le mécanisme de cascade menant à la libération de calcium intracellulaire. Des rats traités ainsi ont présenté une évolution positive à une semaine d'intervalle[15].
Séquelles
Les conséquences d’une lésion axonale diffuse sont fréquemment lourdes[16]. Il peut s'ensuivre une dégénérescence des fibres nerveuses avec séquelles fonctionnelles importantes affectant des capacités motrices comme la marche, la parole, etc. Néanmoins, une récupération plus ou moins complète des lésions, est possible[3].
Aspects socioculturels
Cas célèbres
- Richard Hammond, animateur de télévision et de radio britannique a souffert de lésion axonale diffuse après un accident de jet car, lors d’un tournage de Top Gear[17].
- Jules Bianchi (au Grand Prix automobile du Japon 2014)[18], décédé à l'issue de 9 mois de coma[19].
Notes et références
- Jeffrey Wasserman, « Diffuse Axonal Injury Imaging »(Archive.org • Wikiwix • Archive.is • Google • Que faire ?), sur medscape, (consulté le ).
- Douglas H. Smith et David F. Meaney, « Penetrating Head Trauma », sur The Neuroscientist, (consulté le ).
- Charles Raybaud, « Les traumatismes craniens », sur Université de Rennes 1 - Faculté de Médecine (consulté le ).
- Federico Vinas, « Penetrating Head Trauma », sur medscape, (consulté le ).
- David W Crippen, « Head Trauma », sur medscape, (consulté le ).
- David E Smith, « Management and Staging of Traumatic Brain Injury », sur medscape, (consulté le ).
- Michael J Verive, « Pediatric Head Trauma », sur medscape, (consulté le ).
- John A. Wolf et Peter K. Stys, « Diffuse Axonal Injury Imaging », sur The Journal of Neuroscience, (consulté le ).
- Rosemary Boon et Gregory J. de Montfort, « Brain Injury », sur iprimus.com.au, (consulté le ).
- Mark Arundine, Michelle Aarts, Anthony Lau et Michael Tymianski, « Vulnerability of Central Neurons to Secondary Insults after In Vitro Mechanical Stretch », sur The Journal of Neuroscience, (consulté le ).
- Benoit Mouzon, Helena Chaytow, Gogce Crynen, Corbin Bachmeier, Janice et William Stewart, Michael Mullan, Janice Stewart et Fiona Crawford, « Repetitive Mild Traumatic Brain Injury in a Mouse Model Produces Learning and Memory Deficits Accompanied by Histological Changes », sur The Journal of Neuroscience, (consulté le ).
- Akira Iwata, Peter K. Stys et John A. Wolf, « Traumatic Axonal Injury Induces Proteolytic Cleavage of the Voltage-Gated Sodium Channels Modulated by Tetrodotoxin and Protease Inhibitors », sur The Journal of Neuroscience, (consulté le ).
- H. Fourati, E. Daoud, MA. Kamoun, C. Dabbeche, H. Feki, H. Chelly et H. et Z. Mnif, « Lésions axonales diffuses post-traumatiques », sur Société Française de Radiologie, (consulté le ).
- Lawrence F. Marshall, « A new classification of head injury based on computerized tomography », sur Journal of Neurosurgery, (consulté le ).
- P. Smucker, SK. Hekmatyar, N. Bansal, RB. Rodgers, SA. Shapiro et RB. Borgens, « Intravenous polyethylene glycol successfully treats severe acceleration-induced brain injury in rats as assessed by magnetic resonance imaging. », sur National Center for Biotechnology Information, (consulté le ).
- « Lésion axonale diffuse Jules Bianchi en souffre mais qu’est-ce ? », sur mehach-magazine.com via Internet Archive (consulté le ).
- (es) « DIRECTO : Sigue el estado de Jules Bianchi desde su accidente », sur SoyMotor.com (consulté le ).
- « Jules Bianchi victime d'un traumatisme cérébral sévère, selon sa famille », sur lepoint.fr, (consulté le ).
- « Mort de Jules Bianchi: Opérations, espoir et fatalité, les neuf mois d'épreuves qui ont suivi l'accident », sur 20minutes.fr, (consulté le ).
Lien externe
- « http://rad.usuhs.edu/medpix/medpix.html?mode=image_finder&action=search&srchstr=axonal%20injury&srch_type=all&details=-1#top Diffuse Axonal Injury »(Archive.org • Wikiwix • Archive.is • Google • Que faire ?) Images IRM et radiographiques
- Portail des neurosciences
- Portail de la médecine