Muscle papillaire
Les muscles papillaires sont des cônes musculaires de la paroi ventriculaire du cœur, saillants à la surface de la paroi des ventricules cardiaques. Ils sont le lieu d'insertion des cordages des valves atrio-ventriculaires.

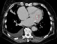
Coupe scanographique axiale montrant des calcifications aux extrémités des muscles papillaires de la valve mitrale du cœur (cercle rouge).
Il existe 3 formes de muscles papillaires:
- Dits de 1er ordre : muscles en forme de cônes servant à l'insertion des cordages
- Dits de 2e ordre : ponts musculaires entre deux parois d'un même ventricule
- Dits de 3e ordre : simples épaississements de la paroi ventriculaire
Il existe aussi trois types de cordages reliant les muscles papillaires de premier ordre aux valves atrio-ventriculaires :
- Cordages dits de premier ordre: Ils ont leur fixation terminale à la base des valves
- Cordages de deuxième ordre : ont leur terminaison sur la face pariétale (milieu) des valves
- Cordages de troisième ordre: s'insèrent au bord libre de la cuspide
Les muscles papillaires, par l'insertion des cordages de premier ordre, sont donc essentiels au rythme cardiaque et au bon fonctionnement des valves atrio-ventriculaires, notamment lors de la diastole.
Ces muscles sont facilement observables en imagerie médicale par l'échographie.
- Portail de la médecine
- Portail de l’anatomie
Cet article est issu de Wikipedia. Le texte est sous licence Creative Commons – Attribution – Partage à l’identique. Des conditions supplémentaires peuvent s’appliquer aux fichiers multimédias.