Neurofibromatose de type II
Cet article porte sur la neurofibromatose de type II qui n'a aucun rapport clinique et génétique avec la neurofibromatose de type I

| Neurofibromatose de type II | |
| Référence MIM | 101000 |
|---|---|
| Transmission | Dominante |
| Chromosome | 22q12.2 |
| Gène | NF2 |
| Empreinte parentale | Non |
| Mutation | Voir article |
| Mutation de novo | 50 % |
| Anticipation | Non |
| Porteur sain | sans objet |
| Incidence | 1/25 000 |
| Prévalence | 1/100 000 |
| Pénétrance | 100 % |
| Maladie génétiquement liée | Aucune |
| Diagnostic prénatal | Possible |
| Liste des maladies génétiques à gène identifié | |

La neurofibromatose de type II est une maladie génétique se caractérisant par le développement de tumeurs bénignes : schwannomes vestibulaires bilatéraux.
La neurofibromatose de type II est une phacomatose dont le mécanisme est un problème de différenciation du tissu ectodermique chez l'embryon.
Historique
La maladie a été décrite la première fois en 1822[1]. Son caractère héréditaire est noté en 1920[2]. Son gène a été identifié en 1993[3].
Génétique
Le gène NF2 est le seul gène connu responsable de neurofibromatose de type II. Plusieurs mécanismes sont responsables de son dysfonctionnement :
- délétion de grande taille, ou ponctuelle ;
- chromosome 22 en anneau ;
- translocation impliquant le chromosome 22.
Ce gène code une protéine, appelée merlin ou schwannomine, inhibant la croissance de certaines tumeurs et composée de 595 acides aminés.
La maladie est de transmission autosomique dominante, avec une pénétrance de près de 100 % après l'âge de 60 ans[4].
Comme toute maladie génétique, elle peut être transmise aux descendants ou apparaître de novo par mutation. Si cette mutation a lieu lors de l'embryogenèse, seule une partie de l'individu est alors porteuse de celle-ci. On parle alors de mosaïque, donnant des formes partielles de la maladie. Cela serait le cas de près d'un tiers des malades sans antécédent familial, cette proportion pouvant doubler en cas de forme unilatérale de schwannome[5].
La mutation responsable peut être détectée chez l'individu asymptomatique (ne présentant aucun signe), en particulier chez les descendants d'un sujet atteint.
Épidémiologie
Elle concerne 1 naissance sur 25 000[4].
La prévalence, initialement estimée à 1/200.000 tend à augmenter pour atteindre 1/60.000[6], probablement du fait d'un meilleur dépistage.
Description
Atteinte neurologique

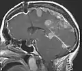
L'âge moyen d'apparition de la maladie est comprise entre 18 et 24 ans. Presque toutes les personnes atteintes développeront un schwannome vestibulaire devenant bilatéral avant l'âge de 30 ans. Les autres nerfs périphériques peuvent être atteints de schwannome ou de méningiome et rarement d'astrocytome ou épendymome. Une atteinte unique d'un nerf dans l'enfance responsable d'une paralysie faciale, d'un strabisme ou d'un pied et/ou d'une main ballante est un signe clinique de plus en plus fréquent vu dans l'enfance.
Le schwannome vestibulaire a pour conséquence une baisse de l'acuité auditive, qui est le premier symptôme, mais qui est retardé par rapport à l'apparition de la tumeur[7]. Elle peut être peu ressentie par le malade si l'atteinte est unilatérale, et devient très vite gênante si elle est bilatérale. L'évolutivité est cependant variable selon les individus et la taille de la tumeur n'est pas toujours correlée à l'importance de la gêne[8]. Le schwannome peut atteindre également d'autres nerfs crâniens, ainsi que la moëlle épinière.
Un méningiome, tumeur bénigne des méninges, est présent dans environ la moitié des cas en intracrânien et au niveau de la moelle épinière dans un cinquième des cas[4]. Ils sont souvent multiples. Leurs manifestations dépendent de leurs tailles et de leurs localisations. Ils sont détectés par un scanner crânien ou une IRM. La présence de cette tumeur est corrélée avec un plus mauvais pronostic[9].
L'épendymome,tumeur bénigne se développant au sein d'une des tuniques recouvrant la moëlle épinière, se voit également lors de cette maladie.
Il peut y avoir également atteinte nerveuse (neuropathie) sans objectivation d'une tumeur sur le nerf[10].
Atteinte oculaire
Une cataracte juvénile bien avant l'âge habituel de ce trouble de la vision, elle est présente chez près de deux tiers des sujets atteints de NF-2[11] et peut nécessiter une intervention chirurgicale.
Des hamartomes de la rétine sont décelés dans un cinquième des cas[12]. Des membranes, dites épirétiniennes, sont également fréquemment détectées[13].
Atteinte cutanée
Il existe fréquemment des tumeurs cutanées, souvent multiples, le plus souvent de type schwannome, parfois douloureuses ou sensibles au toucher[14]. Des plaques de petites tailles, dépigmentées et glabres, ou au contraire hyperpigmentées et pileuses, se voient régulièrement dans cette maladie[4].
Critères diagnostiques
Les critères diagnostics suivant, appelés « critères de Manchester » sont nécessaires pour établir précocement le diagnostic[15] :
- Schwannomes vestibulaires bilatéraux
- Un parent au premier degré atteint ET schwannome vestibulaire unilatéral OU deux anomalies suivantes : méningiome, schwannome, neurofibrome, gliome, cataracte
- Schwannome vestibulaire unilatéral ET deux anomalies suivantes : méningiome, schwannome, neurofibrome, gliome, cataracte
- Multiples meningiomes ET schwannome vestibulaire unilatéral OU deux anomalies suivantes : schwannome, neurofibrome, gliome, cataracte
Gravité

Ce qui caractérise essentiellement la NF-2, c'est le développement de neurinomes bilatéraux (schwannomes) de la VIIIe paire de nerfs crâniens (retrouvés dans plus de 90 % des cas).
Révélés vers l'âge de 20-30 ans, ils constituent le problème majeur de la NF-2 par le retentissement sur l'ouïe, l'équilibre et aussi si leur développement comprime d'autres structures cérébrales.
La durée moyenne de vie est diminuée à environ 60 ans[4] Toutefois, la majorité des études sur l'espérance de vie datant des années 1970-1980, il est possible que l'amélioration du suivi et des traitements ait eu un impact positif sur la longévité des personnes atteintes de neurofibromatose de type II.
Traitement
Il n'existe actuellement aucun traitement spécifique.
Le traitement du schwannome vestibulaire est l'ablation complète de la ou des tumeurs. Parfois l'ablation est partielle, et associée à de la radiothérapie et de la radio chirurgie, mais le risque de récidive est alors plus important.
L'intervention est souvent complexe car la tumeur est assez adhérente aux tissus voisins et englobe parfois de nombreux faisceaux nerveux[16]. Les résultats sont parfois incomplets quant à la récupération de l'acuité auditive[17].
La mise en place d'un implant cochléaire peut être proposée si la cochlée est intacte, avec son nerf[18].
Les méningiomes sont, par contre, bien séparés des structures voisines et leur ablation chirurgicale ne pose pas de gros problèmes, sauf s'ils sont très proches de certaines structures cérébrales délicates d'accès ou fragiles (base du crâne en particulier, localisation qui correspond à l'émergence des nerfs crâniens[19]).
Sources
Notes et références
- (en) Wishart JH « Case of tumours in the skull, dura mater and brain » Edinburgh Med Surg J. 1822;18:393-397
- (en) Feiling A, Ward E. « A familial form of acoustic tumour » BMJ 1920;10:496-497
- (en) Rouleau GA, Merel P, Lutchman M et al. « Alteration in a new gene encoding a putative membrane-organizing protein causes neuro-fibromatosis type 2 » Nature 1993;363: 515-521
- (en) Asthagiri AR, Parry DM, Butman JA et al. « Neurofibromatosis type 2 » Lancet 2009;373:1974-1986
- (en) Evans DGR, Ramsden RT, Shenton A et al. « Mosaicism in neurofibromatosis type 2: an update of risk based on uni/bilaterality of vestibular schwannoma at presentation and sensitive mutation analysis including multiple ligation-dependent probe amplification » J Med Genet. 2007;44:424-428
- D Gareth R Evans, « Neurofibromatosis type 2 (NF2): A clinical and molecular review », Orphanet Journal of Rare Diseases, vol. 4, , p. 16 (ISSN 1750-1172, PMID 19545378, PMCID PMC2708144, DOI 10.1186/1750-1172-4-16, lire en ligne, consulté le )
- (en) Masuda A, Fisher LM, Oppenheimer ML, Iqbal Z, Slattery WH, « Hearing changes after diagnosis in neurofibromatosis type 2 » Otol Neurotol. 2004;25:150-154
- (en) Baser ME, Mautner VF, Parry DM, Evans DGR, « Methodological issues in longitudinal studies: vestibular schwannoma growth rates in neurofibromatosis 2 » J Med Genet. 2005;42:903-906
- (en) Baser ME, Friedman JM, Aeschliman D et al. « Predictors of the risk of mortality in neurofibromatosis 2 » Am J Hum Genet. 2002;71:715-723
- (en) Sperfeld AD, Hein C, Schroder JM, Ludolph AC, Hanemann CO. « Occurrence and characterization of peripheral nerve involvement in neurofibromatosis type 2 » Brain 2002;125:996-1004
- (en) Bosch MM, Boltshauser E, Harpes P, Landau K. « Ophthalmologic findings and long-term course in patients with neurofibromatosis type 2 » Am J Ophthalmol. 2006;141:1068-1077
- (en) Ragge NK, Baser ME, Klein J et al. « Ocular abnormalities in neurofibromatosis 2 » Am J Ophthalmol. 1995;120:634-641
- (en) Kaye LD, Rothner AD, Beauchamp GR, Meyers SM, Estes ML. « Ocular findings associated with neurofibromatosis type II » Ophthalmology 1992;99:1424-1429
- (en) Mautner VF, Lindenau M, Baser ME, Kluwe L, Gottschalk J. « Skin abnormalities in neurofibromatosis 2 » Arch Dermatol. 1997;133:1539-1543
- (en) Evans DGR, Baser ME, O'Reilly B et al. « Management of the patient and family with neurofibromatosis 2: a consensus conference statement » Br J Neurosurg. 2005;19:5-12
- (en) Jaaskelainen J, Paetau A, Pyykko I, Blomstedt G, Palva T, Troupp H. « Interface between the facial nerve and large acoustic neurinomas. Immunohistochemical study of the cleavage plane in NF2 and non-NF2 cases » J Neurosurg. 1994;80:541-547
- (en) Brackmann DE, Fayad JN, Slattery Iii WH et al. « Early proactive management of vestibular schwannomas in neurofibromatosis type 2 » Neurosurgery 2001;49:274-283
- (en) Hoffman RA, Kohan D, Cohen NL. « Cochlear implants in the management of bilateral acoustic neuromas » Am J Otol. 1992;13:525-528
- (en) Larson JJ, Van Loveren HR, Balko MG, Tew JM, « Evidence of meningioma infiltration into cranial nerves: clinical implications for cavernous sinus meningiomas » J Neurosurg. 1995;83:596-599
Liens externes
- Association française Neurofibromatose et Recklinghausen
- Association de la neurofibromatose du Québec
- Portail de la médecine