Papillome
Le papillome est une petite tumeur bénigne constituée d'axes conjonctifs bordés par des cellules épithéliales.
Types
- Papillome malpighien : composé d'axes conjonctifs bordés par des cellules malpighiennes, rappelant la structure des « papilles ». Ils peuvent former un relief à la surface ou s'invaginer dans la muqueuse (papillome inversé).
- Papillome urothélial : lésion urothéliale composée d'axes conjonctifs bordés par des cellules urothéliales, rappelant la structure des "papilles". Il peut être exophytique ou inversé, dans ce dernier cas les cellules épithéliales proliférantes s'invaginent dans le stroma sous-jacent[1].
Causes
De nombreux papillomes malpighiens sont associés aux papillomavirus.
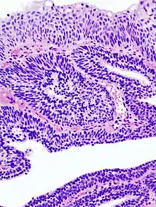
Image histologique de papillome urothélial.
Papillome urothélial inversé de la vessie. HE, x400.
Photomicrographie d'un papillome malpighien sur une langue. Coloration à l'hématoxyline et à l'éosine.
Notes et références
- François Maniez (ccord.). Dorland dictionnaire médical bilingue, Éditions Elsevier, 2008, (ISBN 978-2-84299-899-8), p. 666.
Liens externes
- Ressources relatives à la santé :
- Papillome urothélial dans le Dictionnaire médical de l'Académie de médecine (2023)
- Portail de la médecine
Cet article est issu de Wikipedia. Le texte est sous licence Creative Commons – Attribution – Partage à l’identique. Des conditions supplémentaires peuvent s’appliquer aux fichiers multimédias.