Arthrose
| Symptômes | Arthrite |
|---|
| Traitement | Gene therapy for osteoarthritis (en) |
|---|---|
| Médicament | Ibuprofène, D-glucosamine, valdecoxib, flurbiprofène, (RS)-kétoprofène, oxaprozine, meloxicam, indométacine, diclofénac, (RS)-fénoprofène (en), sulindac, tolmetin (en), (RS)-etodolac, diflunisal, naproxène, piroxicam, célécoxib, nabumetone, rofécoxib, acide acétylsalicylique, tolmetin (en), (RS)-etodolac, tepoxalin (en), piroxicam, sulindac, (RS)-fénoprofène (en), (RS)-kétoprofène, nabumetone et flurbiprofène |
| Spécialité | Médecine générale, orthopédie et rhumatologie |
| CISP-2 | L91 |
|---|---|
| CIM-10 | M15-M19, M47 |
| CIM-9 | 715 |
| OMIM | 165720 |
| DiseasesDB | 9313 |
| MedlinePlus | 000423 |
| eMedicine |
330487 orthoped/427pmr/93radio/492 |
| MeSH | D010003 |
| Patient UK | Osteoarthritis-pro |
Mise en garde médicale
L'arthrose est une maladie qui touche les articulations, on l'appelle aussi arthropathie chronique dégénérative .
Elle est caractérisée par des douleurs mécaniques diurnes, ainsi que par la difficulté à effectuer des mouvements articulaires.
Au niveau de l'articulation, la surface du cartilage se fissure, s'effrite et finit par disparaître. S'ensuit, la formation d'excroissances osseuses qui nuisent aux mouvements.
L'arthrose traduit une dégénérescence du cartilage des articulations sans infection ni inflammation particulière. Cette dégénérescence conduit à une destruction plus ou moins rapide du cartilage qui enrobe l'extrémité des os. Anatomiquement, cette destruction s'accompagne d'une prolifération osseuse sous le cartilage.
C'est la maladie articulaire la plus fréquente et elle survient de plus en plus tôt dans la vie (peut-être en partie à cause d'une augmentation du poids moyen). Les premiers symptômes apparaissent généralement à partir de 40-50 ans, mais la maladie commence souvent bien plus tôt.
Il ne faut pas confondre avec l'arthrite (sans dégradation chronique de cartilage) ou la pseudarthrose, qui correspond à une fausse articulation entre les fragments osseux d'une fracture non consolidée.
Mécanismes
Le cartilage articulaire n'est pas un tissu inerte : il est le siège d'une intense activité où la production de chondrocytes (cellules du cartilage) s'oppose, au début du moins, à la destruction de ces mêmes cellules. Lorsque les phénomènes de destruction l'emportent sur la régénérescence cartilagineuse, l'épaisseur du cartilage diminue et l'articulation s'altère définitivement.
Cette intense activité de production de nouvelles cellules se manifeste, à la marge de l'articulation, par la production nouvelle d'excroissances osseuses : les ostéophytes ou ostéophytose.
Lors de la destruction cartilagineuse, de petits morceaux de cartilage peuvent se détacher et « flotter » dans la poche articulaire : ils y déclenchent alors des poussées inflammatoires mécaniques qui se traduisent par une hypersécrétion de liquide et par un gonflement de l'articulation.
L'arthrose se caractérise par trois lésions anatomiques :
- L'atteinte du cartilage articulaire qui se fissure et se creuse d'ulcérations appelées en médecine géodes (trous dans le cartilage) pouvant laisser l'os à nu ;
- L'atteinte de l'os lui-même qui se décalcifie par endroits (ostéoporose) et se condense en d'autres, notamment dans la partie près de l'articulation au niveau des zones de pression (ce sont les zones épiphysaires) : c'est l'ostéosclérose souschondrale ;
- La formation sur les bords de l'articulation de petites excroissances osseuses : les ostéophytes (parfois dénommés becs de perroquet en raison de leur forme radiologique).
Ces lésions peuvent s'accompagner d'une synovite, qui correspond à l'inflammation de l'enveloppe de l'articulation.
Épidémiologie
L'arthrose (plus particulièrement la gonarthrose) a des causes et/ou des facteurs aggravants à la fois génétiques et environnementaux (obésité notamment), elle peut être dans une certaine mesure prévenue par l'exercice physique et l'évitement de la surcharge pondérale.
Pour des raisons encore mal comprises :
- on observe en Europe depuis quelques décennies « un véritable rajeunissement de l'arthrose. Ceci est très inquiétant car la durée de vie des prothèses n'a pas augmenté. De plus, dans cette pathologie, on ne dispose pas encore de traitements susceptibles de ralentir le processus arthrosique (...) D’après les estimations de certains spécialistes, 5 % des 35 à 54 ans présentent des signes radiographiques d'arthrose »[1] ;
- le nombre de cas d'arthrose des genoux semble en forte augmentation dans certains pays, et en particulier aux États-Unis où sa prévalence a plus que doublé depuis le début de la Seconde Guerre mondiale (d'après l'étude de 2500 squelettes datés de plus de 6 000 ans à nos jours), ceci même après correction de facteurs de biais tels que l'augmentation de la durée de vie et de l'obésité. En 2017, près de 20 % des « plus de 45 ans » aux États-Unis souffrent d'arthrose du genou (avec décomposition du cartilage). Dans ces cas perdre du poids ne peut résoudre le problème[2]. D'après une étude de 2018, les cas d'arthrose aux États-Unis seraient sous estimés, particulièrement chez les moins de 65 ans : près de 37 % des adultes américains seraient touchés, et près de 31 % des 18-64 ans[3] ;
- en 2014, au cours d’une conférence organisée durant la Journée mondiale de l’arthrite au Liban, le chirurgien orthopédiste, Pierre Gemayel, dénonce que cette maladie touche 80 % des Libanais à partir de l’âge de 75 ans[4].
Il n'y a pas de lien prouvé entre augmentation des douleurs liées à l'arthrose et un climat plus humide[5].
Causes et facteurs de risque
Les facteurs de risque sont encore mal compris, toutefois deux grands types de causes semblent impliqués : physiques et hormono-métaboliques[6].
Causes physiques (mécaniques)
De petits traumatismes répétés ou un surpoids chronique peuvent contribuer à une fissuration de la surface vers la profondeur du tissu cartilagineux. Cette fissuration survient lors de phénomènes mécaniques (cas de la hanche et du genou), mais elle est également favorisée ou entretenue par des altérations biochimiques de la structure du cartilage.
Schématiquement, on peut considérer que ce type d'arthrose résulte d'abord :
- de contraintes physiques anormales sur un cartilage normal (on n'en est cependant pas certain) ;
- de contraintes physiques normales sur un cartilage anormal ;
- de la conjonction des deux situations précédentes.
Causes métaboliques ?
L'obésité (ou le simple surpoids) devrait logiquement favoriser le risque d'apparition de l'arthrose des hanches[7] et des genoux mais des éléments contradictoires existent concernant les relations de cause à effet :
- l'arthrose des genoux semble prédisposer à une arthrose des mains[8],[9],[10] ;
- l'articulation de la cheville, pourtant elle aussi soumise à rude épreuve, n'est presque jamais altérée chez les personnes souffrant d’obésité [réf. souhaitée] ;
- les personnes obèses développent souvent une arthrose des doigts de la main dont les articulations ne sont pourtant pas chez eux les plus sollicitées ; les adipokines pourraient être en cause[6].
On commence pour ces raisons à parler d'arthroses métaboliques « englobant le lien avec ľobésité mais également ľassociation de ľarthrose avec les autres composantes du syndrome métabolique (hypertension artérielle, diabète ou insulino-résistance et dyslipidémie) »[6].
Causes hormonales
Le fait qu'à partir de 50 ans, l'incidence de l'arthrose augmente fortement chez les femmes, bien plus que chez les hommes, suggère un lien avec les changements de certains taux d'hormones féminines lors de la ménopause.
Une étude ayant porté sur 606 femmes (sur un panel de 1 003 femmes de 45 à 64 ans en traitement hormonal de substitution) a montré que beaucoup des patientes en cours d'hormonothérapie de substitution ont vu après douze mois une amélioration relative (par rapport aux patientes non traitées) de leur arthrose radiologique du genou, ce qui suggère un effet protecteur de cette hormonothérapie, mais cet effet était plus faible pour les articulations de la main, et il n'est pas durable (il cesse avec la fin du traitement). Le mécanisme de la protection est encore incompris, mais pourrait avoir des implications en termes d'étiopathogenèse (c'est-à-dire de compréhension du mécanisme de la maladie)[11]. Selon une étude (review) de 2009, les preuves d'un effet protecteur significatif sont limitées ou à consolider, sauf pour la coxarthrose, mais les auteurs précisent que la diversité des hormones utilisées pour ces traitements rendent les analyses statistiques difficiles[12]. Il a aussi été constaté que le traitement hormonal de substitution à long terme augmente l'épaisseur de cartilage du genou[13].
Principaux facteurs de risque
Sont suspectés des facteurs :
- généraux : âge, surpoids, ménopause, autres rhumatismes (chondrocalcinose, hyperostose de Forestier…) ;
- génétiques : la notion d'arthrose familiale est bien démontrée pour les arthroses du genou[14], de la hanche et de la main. On parle alors de défauts ou de « vices architecturaux congénitaux »[15] : par exemple, le genu varum qui touche plus fréquemment les hommes (les jambes prennent la forme de parenthèses) et le genu valgum chez les femmes (c'est la déformation inverse des jambes). Certaines mutations sont associées avec un risque plus important de survenue d'arthrose. Elles concernent le gène GDF5 (growth/differentiation factor 5)[16], le gène MCF2L (guanine nucleotide exchange factor DBS)[17], un locus sur le chromosome 7q22[18]. D'autres mutations ont été identifiées mais semblent être faiblement impliquées[19] ;
- locaux :
- traumatismes importants ou faibles à répétition (travaux pénibles, sports violents, lésion du ménisque… notamment pour les footballeurs c'est l'arthrose du pied),
- anomalie de position de l'articulation (scoliose, malformation de la hanche…). Le dépistage des anomalies congénitales articulaires , suivi d'une correction dès l'enfance, est d'une importance capitale pour éviter l'apparition d'une arthrose douloureuse à l'âge adulte,
- autres maladies osseuses ou articulaires localisées (séquelles d'arthrite, séquelles de fractures, maladie osseuse de Paget et autres).
Les causes de l'arthrose ne sont pas encore pleinement élucidées, mais le caractère génétique de l'affection semble prédominant. Il existe des familles d'arthrosiques et parmi les professionnels (cf. travaux de force, ou microtraumatismes articulaires répétés) et certains sportifs sont plus exposées à l'arthrose que d’autres, tous ne feront pas d'arthrose (en partie en fonction de leur prédisposition génétique). Les femmes en sont plus souvent victimes que les hommes (phénomène qui pourrait aussi être lié au système hormonal).
Signes de la maladie
Les signes de la maladie arthrosique varient selon l'articulation concernée. Cependant, dans tous les cas, le motif principal de consultation est la douleur associée à une gêne fonctionnelle.
La douleur est, en principe, de type « mécanique », car elle présente les caractéristiques suivantes :
- elle est déclenchée et aggravée par le mouvement ;
- elle cesse ou s'atténue plus ou moins complètement lorsque l'articulation est au repos ;
- elle est moins importante le matin, puis elle augmente dans la journée et elle est maximale le soir ;
- elle gêne traditionnellement l'endormissement, mais peut également entraîner des réveils nocturnes (environ 50 % des patients arthrosiques sont réveillés la nuit par leur douleur) ;
- elle réapparaît chaque fois que l'articulation concernée est soumise à un effort : la marche pour l'arthrose de hanche, monter un escalier pour le genou, lever le bras pour l'épaule, etc.
La gêne fonctionnelle correspond à une limitation de la mobilité de l'articulation touchée par l'arthrose. Elle est variable selon l'activité du patient. Ainsi un joueur de golf sera beaucoup plus gêné par une arthrose du genou qu'un sujet ne pratiquant pas de sport. De même un pianiste sera très handicapé par une arthrose des doigts, même légère.
Les articulations arthrosiques ne sont, en principe, ni rouges, ni chaudes. Elles peuvent être gonflées lorsque s'installe un épanchement liquidien (épanchement de synovie), ce qui est particulièrement fréquent au niveau des genoux.
À la longue, les excroissances osseuses ostéophytes provoquent des déformations des articulations, surtout visibles au niveau des mains et des genoux.
L'état général du patient est toujours bon. Il n'y a ni fièvre ni amaigrissement.
Les lésions arthrosiques sont irréversibles et aboutissent, outre les déformations, à un raidissement articulaire pouvant évoluer vers une impotence partielle.
Consultation
Interrogatoire
C'est le temps principal de l'examen du malade. Lui seul est capable de définir les caractéristiques de la douleur ressentie et son « classement » en tant que douleur arthrosique mécanique ou non.
Examen physique
Il consiste en l'examen des articulations douloureuses. Il recherche :
- l'existence d'une douleur provoquée à la palpation ;
- les déformations articulaires ;
- l'amplitude des mouvements restant possibles ;
- la présence d'un épanchement liquidien (genoux).
Questionnaires d'auto-évaluation
Deux types de questionnaires types sont parfois utilisés pour apprécier l'importance de la douleur et du handicap :
- les EVA : l'utilisation d'une échelle visuelle analogique (EVA) permet au patient lui-même de chiffrer l'importance de sa douleur et de son handicap. Renouvelée tous les trois ou six mois, l'analyse de ces EVA permet de chiffrer l'amélioration obtenue par le traitement ou, au contraire, de constater l'aggravation de la symptomatologie ;
- les indices fonctionnels : il s'agit de questionnaires spécifiques pour le genou et la hanche (indice de Lequesne) et pour la main (indice de Dreisser). En ce qui concerne l'indice de Lequesne, il peut faciliter la prise de décision chirurgicale, mais évaluer également l'efficacité ou l'échec du traitement proposé.
Examens et analyses complémentaires
Prises de sang
L'arthrose ne perturbe pas les résultats biologiques. Vitesse de sédimentation, protéines de l'inflammation (CRP) sont normales. À la différence des arthrites, il n'y a pas de syndrome inflammatoire.
Il n'existe aucun marqueur biologique de l'arthrose. Son diagnostic ne peut être que clinique et radiologique.
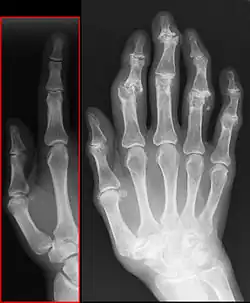
Radiologie

à gauche articulation sans arthrose
La radiographie standard, sans préparation, est suffisante au diagnostic de la maladie arthrosique.
Quatre signes radiologiques sont caractéristiques :
- le pincement de l'articulation par destruction du cartilage (diminution de l'épaisseur du cartilage) ;
- une condensation osseuse sous le cartilage ;
- la présence d'excroissances osseuses ou ostéophytes ;
- la présence de géodes (trous à l'emporte-pièce) dans l'os autour de l'articulation.
Il n'y a pas de parallélisme entre l'importance des signes radiographiques et les symptômes ressentis : une arthrose importante sur la radiographie peut rester asymptomatique. Inversement, une arthrose très douloureuse peut ne présenter que de modestes altérations radiologiques.
Ponction articulaire
Elle n'est pratiquée que s’il existe un épanchement liquidien important, notamment au genou.
La formule du liquide recueilli est de type « mécanique » (protéines < 30 g L−1, globules blancs < 1 000 /mm3, polynucléaires < 50 %).
Scintigraphie osseuse, imagerie par résonance magnétique, arthroscanner : tous ces examens sont inutiles pour poser le diagnostic d'arthrose. Ils ne sont utiles que pour des affections articulaires ou osseuses difficiles à voir sur la radiographie. Par exemple, une hanche ou un genou douloureux avec des clichés radiographiques quasi-normaux peut parfois justifier la pratique d'un ou plusieurs de ces examens.
Évolution de la maladie
Certaines arthroses sont très rapidement évolutives, alors que d'autres ne se développent que très lentement. L'évolutivité d'une arthrose se juge uniquement d'après la vitesse de diminution de l'interligne articulaire à la radiographie. Aucune analyse biologique ne permet de juger de l'évolution d'une arthrose.
L'évolution de la maladie arthrosique se fait vers l'aggravation progressive et le blocage articulaire. L'apparition de la limitation des mouvements (ankylose) et des déformations constitue l'élément majeur de la surveillance.
Les lésions arthrosiques sont irréversibles et aboutissent, outre les déformations, à un raidissement articulaire pouvant évoluer vers une impotence partielle.
Ne pas confondre avec…
Les diagnostics différentiels de l'arthrose sont toutes les autres affections articulaires chroniques : polyarthrite rhumatoïde, rhumatisme psoriasique, ostéonécrose, tuberculose osseuse, etc.
Mais il faut également éliminer un certain nombre d'affections en dehors de l'articulation : tendinites, algodystrophies, etc. En général l'aspect radiologique de l'articulation et la biologie font la différence.
Traitement
L'arthrose est traitée par des antalgiques et des anti-inflammatoires. On peut aussi prescrire de la thérapie de fond.
Les mesures hygiéno-diététiques
Comme chez l'animal (chien, chat, cheval…) la perte de poids (de masse graisseuse) augmente considérablement le confort des patients, surtout pour les arthroses de la hanche et du genou[20]. L'obésité ou le surpoids semblent être les rares facteurs modifiables de l'incidence ou de la progression de l'arthrose, car il est démontré que « plus l’obésité est précoce, plus le risque sera élevé »[21], et que l'amaigrissement des patients arthrosiques en surpoids retarde l'évolution de la maladie et soulage la douleur[22], pourtant en France en 2010, moins de 50 % des patients disent avoir reçu ce conseil par leur médecin[23].
La mise au repos de l'articulation concernée est indispensable pendant les périodes douloureuses.
L'appareillage (orthèse) permet d'éviter les déformations et de soutenir l'articulation pour prévenir la douleur. On l'utilise notamment pour la mise au repos de l'articulation dans la rhizarthrose (exemple : arthrose du pouce).
Il ne faut cependant pas que ce repos soit trop prolongé, car il est ensuite plus difficile de remobiliser l'articulation en cause.
En dehors des périodes très douloureuses, la pratique d'une activité physique adaptée modérée est recommandée : pour les arthroses de la hanche, la bicyclette est préférée à la marche, car elle entretient la musculature en usant moins le cartilage de la hanche qui est déchargée du poids du corps. Pour l'arthrose de la colonne lombaire, certains mouvements de gymnastique sont contre-indiqués.
Médicaments
Les médicaments les plus utilisés dans le traitement de l'arthrose sont :
- les antalgiques simples : le paracétamol, bien qu'encore souvent prescrit, serait inefficace ou peu efficace — quelle que soit la dose — pour la douleur arthritique. Il ne soulagerait qu'environ 4 % des patients. C'est la conclusion d'une méta-analyse récente qui a porté sur 74 essais contrôlés randomisés comparant l’efficacité du paracétamol et des AINS versus placebo dans la gestion de la douleur arthritique (58 556 participants, suivis en moyenne sur 12 semaines et jusqu’à un an)[24] ;
- les anti-inflammatoires non stéroïdiens (AINS) : aspirine, diclofénac, ténoxicam, etc. ; selon une métanalyse récente[25], le diclofénac (150 mg par jour) et/ou l'étoricoxib (30, 60 ou 90 mg par jour) seraient les produits les plus efficaces pour réduire la douleur arthritique (jusqu’à 95 % à 100 %) contre 20 % environ pour le paracétamol ; les AINS ont cependant des effets indésirables ;
- les anti-inflammatoires stéroïdiens (corticoïdes) : surtout utilisés en infiltrations intra-articulaires. Ils sont peu utilisés pour l'arthrose banale ;
- des médicaments chondroprotecteurs (protecteurs du cartilage) aussi dits « anti-arthrosiques symptomatiques d’action lente » (AASAL) (glucosamine, chondroïtine, diacérhéine). Ils ne font pas « repousser » le cartilage détruit, mais ralentiraient sa dégradation. La « chondroïtine sodique » par exemple est une molécule utilisée au long cours (traitement de six mois renouvelable), qui inhibe l'élastase (enzyme participant à la dégradation du cartilage). Les effets cliniques sont possibles au bout de quelques semaines de traitement, mais inconstants.
En France, leur vente a longtemps été retardée, à la suite de la falsification des premières études devant les faire approuver pour la vente[réf. nécessaire] ; - acide hyaluronique, comme agent de visco-supplémentation en injections intra-articulaires de produits à base d'acide hyaluronique, par exemple dans le genou[26],[27],[28],[29], dans le but de « lubrifier » l'articulation. Elle est considérée comme sûre si effectuée suivant la méthode autorisée aux États-Unis selon une étude de 2013[30] mais son efficacité reste cependant modérée et peut présenter des effets secondaires[31],[32]. Selon Conrozier & al (2013), elle n'est pas une alternative à la chirurgie dans la coxarthrose[33]. À l'inverse, de nombreuses méta-analyses considèrent les injections d'acide hyaluronique comme étant un traitement efficace, tant contre la douleur que pour améliorer la fonction de l'articulation[34],[35],[36]. Les injections d'acide hyaluronique ne sont plus remboursées en France depuis décembre 2017[37] ; le CNGE déconseille en septembre 2022[38] la visco-supplémentation dans l'arthrose la méta-analyse retrouvant outre un biais de publication, un surcroit d'EIAS graves voire mortels, pour un bénéfice clinique incertain, et faible au maximum.
- l'ozone (en injections intraarticulaires d'ozone). Il ouvre aussi des perspectives d'appoint intéressantes[39]. Toutefois, hormis dans quelques pays (dont l'Allemagne et l'Italie), son efficacité thérapeutique (et sa relative innocuité) ne sont pas encore officiellement reconnues par le corps médical ;
- les peptides : Peptinov, une startup basée à l'hôpital Cochin à Paris travaille sur un traitement à base de peptide pour neutraliser les effets de l’IL-6. Le traitement entre en phase clinique début 2019[40].
- les anti-NGF sous forme d'anticorps monoclonaux sont à l'étude
Thérapies non médicamenteuses
- La physiothérapie : elle est utile et souvent indispensable, car elle permet de retarder la survenue de l'ankylose articulaire grâce à la mobilisation de l'articulation. Il est également indispensable, pour soulager l'articulation arthrosique, de renforcer les muscles avoisinants.
- Pratiques de soin non conventionnelles : l'arthrose compte parmi les pathologies pour lesquelles les patients font le plus appel aux pratiques de soins dites complémentaires, douces, alternatives ou naturelles[41], non fondés sur les preuves : chiropratique, ostéopathie, kinésiologie, physiothérapie, massages, cures hydrominérales, acupuncture, électrothérapie[41].
Le choix de l'une ou de plusieurs de ces thérapies varie selon le contexte socioculturel et ethnique[42]. Utiles pour lutter contre la douleur, elles n’ont pas démontré leur efficacité sur l’évolution de la maladie.
- Chaleur : sous toutes ses formes (enveloppements, bains…), elle atténue sensiblement les douleurs.
- Compléments alimentaires : des études in vitro donnaient à penser en 2013 que certaines vitamines (A, C, D et E)[43] et peut-être le cuivre peuvent aider à limiter ou même à prévenir certaines douleurs. L'action du cuivre pourrait s'expliquer par l'effet de ce métal sur la superoxyde dismutase (enzyme inactivant les radicaux libres).
- Cures thermales : en 2009 une revue scientifique ne retrouve pas de preuve d'efficacité de la balnéothérapie. La collaboration Cochrane fait état d'éléments limités de faible qualité méthodologique dans l'arthrose en 2008[44].
- Ergothérapie : elle vise à assurer l'indépendance de la personne dans les activités de la vie de tous les jours, et ce, soit par une récupération des capacités perdues après l'opération, soit par la proposition d'aides techniques (siège de douche, de bain, brosse longue pour se laver les pieds, etc.).
Chirurgie
La chirurgie préventive permet de rétablir des conditions mécaniques correctes en cas d'anomalie de l'articulation : luxation congénitale de hanche, genu varum, scoliose…
La chirurgie conservatrice (ostéotomie, sections musculaires…) est parfois utile au niveau de la hanche et du genou.
Dans les cas évolués les plus invalidants, une résection articulaire, une arthrodèse (blocage définitif de l'articulation), une prothèse totale (hanche, genou, doigt) peuvent être proposées au malade.
Un guide de pratique clinique publié par le British Medical Journal en 2017 déconseillent fortement une intervention de type arthroscopique chez presque tous les patients atteints de maladie dégénérative du genou[45].
Recherches en cours
Il est également possible de tenter de faire repousser le cartilage. Cette option est réalisée avec du derme humain par le docteur Joe de Beer en Afrique du Sud en 2006[46], et avec du derme de porc par le docteur Philippe Collin en France en 2011[47].
Une série d'études cliniques — menées en Inde au travers des départements de physiologie et de biochimie de l'université de Calcutta à Kolkata — semblerait au demeurant laisser entrevoir quelques pistes thérapeutiques prometteuses. Leur nature recourrait à une synergie médicamenteuse novatrice basée sur des nanoparticules d'or combinées à une protéine extraite du venin purifié d'un serpent appelé Naja kaouthia. Cependant, d'autres expérimentations connexes doivent encore préalablement voir le jour avant d'envisager la création d'une version pharmaceutique standardisée dont les champs d'applications pluriels — propriétés anti-inflammatoires et protectrices, outre des vertus apparemment régénératrices du cartilage vs les dégénérescences de type ostéoarthritique — permettraient de se conjoindre à l'émergence d'un futur présomptif relativement proche[48].
Une étude clinique randomisée, en double aveugle et contrôlée par placebo a révélé que la prise orale de 2,5 mL d'huile de nigelle toutes les 8 heures est sans danger et réduit les symptômes et la dose d'analgésiques (de 3 à 1 comprimé de 500 mg d'acétaminophène par jour) chez les patients atteints d'arthrose du genou[49].
Notes et références
- ↑ Source : Professeur Francis Berenbaum, (hôpital Saint-Antoine, Paris) au congrès l’European League Against Rheumatism (Eular)], qui a réuni plus de 14 000 personnes de 117 pays à Paris en 200[Quand ?], cité in Les oubliés de l’ostéoporose et de l’arthrose, Décembre 2013, consulté 2013-12-11.
- ↑ Leslie M (2017), Knee arthritis in Americans has doubled since 1940 ; 14 aout.
- ↑ S. Reza Jafarzadeh et David T. Felson, « Updated Estimates Suggest a Much Higher Prevalence of Arthritis in United States Adults Than Previous Ones », Arthritis & Rheumatology (Hoboken, N.J.), vol. 70, no 2, , p. 185–192 (ISSN 2326-5205, PMID 29178176, PMCID PMC5788727, DOI 10.1002/art.40355, lire en ligne, consulté le ).
- ↑ L’arthrose au Liban : 80 % des personnes âgées sont concernées, publié le par Nada Jureidini, sur le site magazine.com.lb (consulté le 27 juillet 2019).
- ↑ (en-US) Anna L. Beukenhorst, David M. Schultz, John McBeth et Jamie C. Sergeant, « Are weather conditions associated with chronic musculoskeletal pain? Review of results and methodologies », PAIN, vol. 161, no 4, , p. 668 (ISSN 0304-3959, DOI 10.1097/j.pain.0000000000001776, lire en ligne, consulté le )
- 1 2 3 Courties A & Sellam J (2015) Obésité et arthrose, du lien mécanique au lien métabolique, Revue Obésité ; Décembre 2015, Volume 10, Issue 4, pp 277-282, mis en ligne 20 août 2014 (résumé).
- ↑ Lievense AM, Bierma-Zeinstra SM, Verhagen AP, van Baar ME, Verhaar JA, Koes BW (2002) Influence of obesity on the development of osteoarthritis of the hip: a systematic review. Rheumatology (Oxford) , 41:1155-1162 (résumé)
- ↑ Cicuttini, F. M., Baker, J. R., & Spector, T. D. (1996). The association of obesity with osteoarthritis of the hand and knee in women: a twin study. J Rheumatol, 23(7), 1221-1226.
- ↑ Grotle, M., Hagen, K. B., Natvig, B., Dahl, F. A., & Kvien, T. K. (2008). Obesity and osteoarthritis in knee, hip and/or hand: an epidemiological study in the general population with 10 years follow-up. BMC musculoskeletal disorders, 9(1), 132.
- ↑ Oliveria SA, Felson DT, Cirillo PA, Reed JI, Walker (1999) AM: Body weight, body mass index, and incident symptomatic osteoarthritis of the hand, hip, and knee. Epidemiology ; 10:161-166.
- ↑ Spector, T. D., Nandra, D., Hart, D. J., & Doyle, D. V. (1997). Is hormone replacement therapy protective for hand and knee osteoarthritis in women?: The Chingford Study. Annals of the rheumatic diseases, 56(7), 432-434 (résumé).
- ↑ Limited evidence for a protective effect of unopposed oestrogen therapy for osteoarthritis of the hip: a systematic review ; Rheumatology (Oxford) 2009;48:2 104-112 (http://rheumatology.oxfordjournals.org/content/48/2/104.abstract résumé])
- ↑ A E Wluka, S R Davis, M Bailey, S L Stuckey & F M Cicuttin (2001) Users of oestrogen replacement therapy have more knee cartilage than non-users ; Ann Rheum Dis ;60:332-336 doi:10.1136/ard.60.4.332 (résumé).
- ↑ « Arthrose du Genou : Causes et Traitement - KickMed », KickMed, (lire en ligne, consulté le ).
- ↑ Lequesne, M., & Morvan, G. (2002). Description des possibilités d’un arthromètre pour radiographies standard et réduites appliqué à la mesure des angles et segments de la hanche, du genou, du pied et des interlignes articulaires. Revue du rhumatisme, 69(5), 506-517.
- ↑ (en) Valdes AM, Evangelou E, Kerkhof HJ et al. « The GDF5 rs143383 polymorphism is associated with osteoarthritis of the knee with genome-wide statistical significance » Ann Rheum Dis. 2011;70:873–875.
- ↑ (en) Day-Williams AG, Southam L, Panoutsopoulou K et al. « A variant in MCF2L is associated with osteoarthritis » Am J Hum Genet. 2011;89:446–450.
- ↑ (en) Evangelou E, Valdes AM, Kerkhof HJ et al. « Meta-analysis of genome-wide association studies confirms a susceptibility locus for knee osteoarthritis on chromosome 7q22 » Ann Rheum Dis. 2011;70:349–355
- ↑ (en) arcOGEN Consortium and arcOGEN Collaborators, « Identification of new susceptibility loci for osteoarthritis (arcOGEN): a genome-wide association study » Lancet, 2012;380:815-823.
- ↑ Lecerf J.M (2006). Relations surpoids, obésité et arthrose: importance de la perte de poids. Revue du rhumatisme, 73, 2-4.
- ↑ Rat A.C (2016) Obésité et arthrose: données épidémiologiques. Revue du Rhumatisme Monographies. (résumé).
- ↑ Ravaud P (2002) Traitements non pharmacologiques de l'arthrose. La Presse médicale, 31(39), 50-52.
- ↑ Coudeyre, E., Claus, D., & Ristori, J. M. (2010). Éducation thérapeutique et arthrose. La Presse Médicale, 39(11), 1195-1200.
- ↑ RTHROSE: L’inefficacité du paracétamol à nouveau démontrée, brève de Santé log.
- ↑ https://www.thelancet.com/journals/lancet/article/PIIS0140-6736(17)31744-0/fulltext.
- ↑ Rutjes AW, Jüni P, da Costa BR, Trelle S, Nüesch E, Reichenbach S. Viscosupplementation for osteoarthritis of the knee: a systematic review and meta-analysis. Ann Intern Med. 2012 Aug 7;157(3):180-91.
- ↑ Mar J, Romero Jurado M, Arrospide A, Enrique Fidalgo A, Soler López B. (2013) Cost-analysis of viscosupplementation treatment with hyaluronic acid in candidate knee replacement patients with osteoarhritis. Rev Esp Cir Ortop Traumatol. Jan-Feb;57(1):6-14.
- ↑ Ray TR. Using viscosupplementation to treat knee osteoarthritis. Phys Sportsmed. 2013 Nov;41(4):16-24. doi: 10.3810/psm.2013.11.2032.
- ↑ Bannuru RR, Vaysbrot EE, Sullivan MC, McAlindon TE (2013). Relative efficacy of hyaluronic acid in comparison with NSAIDs for knee osteoarthritis: A systematic review and meta-analysis. Semin Arthritis Rheum. 2013 Oct 2014.
- ↑ Miller LE, Block JE (2013). US-Approved Intra-Articular Hyaluronic Acid Injections are Safe and Effective in Patients with Knee Osteoarthritis: Systematic Review and Meta-Analysis of Randomized, Saline-Controlled Trials. Clin Med Insights Arthritis Musculoskelet Disord. 1er septembre 2013 1;6:57-63.
- ↑ « Arthrose du genou : éviter l'acide hyaluronique intra-articulaire » Prescrire, 1er juillet 2013.
- ↑ (en) Anne W.S. Rutjes, Peter Jüni, Bruno R. da Costa et Sven Trelle, « Viscosupplementation for Osteoarthritis of the Knee: A Systematic Review and Meta-analysis », Annals of Internal Medicine, vol. 157, no 3, , p. 180 (ISSN 0003-4819, DOI 10.7326/0003-4819-157-3-201208070-00473, lire en ligne, consulté le )
- ↑ T. Conrozier, M. Bossert, A. Lohse-Walliser , J.-C. Balblanc. La viscosupplémentation de la hanche n’est pas une alternative à la chirurgie dans la coxarthrose : résultats d’un suivi standardisé chez 137 patients. CHR de Belfort. Présentation orale. 26e Congrès national SFR Paris – décembre 2013. Rev Rhum 2013; 80 (Suppl): A61 1-
- ↑ (en) Wei-wei He, Ming-jie Kuang, Jie Zhao et Lei Sun, « Efficacy and safety of intraarticular hyaluronic acid and corticosteroid for knee osteoarthritis: A meta-analysis », International Journal of Surgery, vol. 39, , p. 95–103 (DOI 10.1016/j.ijsu.2017.01.087, lire en ligne, consulté le )
- ↑ (en) Fang Wang et Xijing He, « Intra-articular hyaluronic acid and corticosteroids in the treatment of knee osteoarthritis: A meta-analysis », Experimental and Therapeutic Medicine, vol. 9, no 2, , p. 493–500 (ISSN 1792-0981 et 1792-1015, PMID 25574222, PMCID PMC4280939, DOI 10.3892/etm.2014.2131, lire en ligne, consulté le )
- ↑ (en) Ke-Vin Chang, Ming-Yen Hsiao, Wen-Shiang Chen et Tyng-Guey Wang, « Effectiveness of Intra-Articular Hyaluronic Acid for Ankle Osteoarthritis Treatment: A Systematic Review and Meta-Analysis », Archives of Physical Medicine and Rehabilitation, vol. 94, no 5, , p. 951–960 (DOI 10.1016/j.apmr.2012.10.030, lire en ligne, consulté le )
- ↑ « Arthrose du genou - Hyalgan déremboursé en décembre », sur www.lequotidiendupharmacien.fr (consulté le ).
- ↑ « Eviter la visco-supplémentation dans la gonarthrose », sur www.cnge.fr (consulté le )
- ↑ (en) Ahmed A. Al-Jaziri, Seyed M. Mahmoodi, « Painkilling effect of ozone-oxygen injection on spine and joint osteoarthritis », Saudi Medical Journal, vol. 29, no 4, (lire en ligne).
- ↑ www.site5.com, « Pipeline R&D », sur Peptinov (consulté le ).
- 1 2 Flipo, R. M., & Conrozier, T. (2003). La prise en charge thérapeutique de l'arthrose en ce début de 3e millénaire. Seconde partie: les traitements non médicamenteux. La Revue de médecine interne, 24(4), 243-252.
- ↑ Dente, J. M., Herman, C. J., Allen, P., & Hunt, W. C. (2006). Différences ethniques dans l’utilisation de thérapies complémentaires et alternatives chez les adultes atteints d’arthrose. Différences, 3(3), 05_0231_fr.
- ↑ Pillon, F., & Allaert, F. A. (2013). Arthrose, le rôle des compléments alimentaires dans la prévention et la diminution de la douleur. Actualités pharmaceutiques, 52(526), 41-43.
- ↑ : Arthrose 2008 : Preuves limitées, de niveau « argent », (www.cochranemsk.org) des effets bénéfiques des bains d’eau minérale par rapport à l’absence de traitement. Pour tous les autres traitements de balnéothérapie, aucun effet évident n’a été trouvé. Cependant, les preuves scientifiques sont faibles, attendu la faible qualité méthodologique et l’absence d’une analyse statistique et d’une présentation des données adaptées.
- ↑ (en) Reed A. C. Siemieniuk, Ian A. Harris, Thomas Agoritsas et Rudolf W. Poolman, « Arthroscopic surgery for degenerative knee arthritis and meniscal tears: a clinical practice guideline », BMJ, vol. 357, , j1982 (ISSN 1756-1833, PMID 28490431, DOI 10.1136/bmj.j1982, lire en ligne, consulté le ).
- ↑ (en) Bhatia, Deepak N, Van Rooyen, Karin S, Du Toit, Donald F, De Beer, Joe F, « Arthroscopic Technique of Interposition Arthroplasty of the Glenohumeral Joint », Arthroscopy: The Journal of Arthroscopic and Related Surgery, vol. 22, no 5, , p. 570.e1-570.e5 (ISSN 0749-8063, PMID 16651174, DOI 10.1016/j.arthro.2006.03.003, lire en ligne, consulté le )
- ↑ Arthrose : une piste prometteuse , Sciences Ouest, octobre 2011
- ↑ (en) Antony Gomes, Partha Pratim Saha, Tanmoy Bhowmik, Anjan Kumar Dasgupta et Subir Chandra Dasgupta, « Protection against osteoarthritis in experimental animals by nanogold conjugated snake venom protein toxin gold nanoparticle-Naja kaouthia cytotoxin https://www.flexguard.fr », IJMR Indian Journal of Medical Research (en), US National Library of Medicine, National Institutes of Health, NCBI, vol. 144, no 6, , pp. 910–917 (PMID 28474628, DOI 10.4103/ijmr.IJMR_1078_14, lire en ligne [PDF]).
- ↑ Hasan Fallah Huseini, Reza Mohtashami, Elaheh Sadeghzadeh et Soraya Shadmanfar, « Efficacy and safety of oral Nigella sativa oil for symptomatic treatment of knee osteoarthritis: A double-blind, randomized, placebo-controlled clinical trial », Complementary Therapies in Clinical Practice, vol. 49, , p. 101666 (ISSN 1873-6947, PMID 36150238, DOI 10.1016/j.ctcp.2022.101666, lire en ligne, consulté le )
Voir aussi
Articles connexes
Liens externes
Bibliographie
- (2012), Lettre de l'observatoire du mouvement, mars 2012, hors série no 11 Arthrose de la cheville et du pied
- Portail de la médecine