Polype (médecine)
| CIM-10 | K62.1 - K63.5 - N84 |
|---|---|
| DiseasesDB | 000266 |
| MedlinePlus | 000266 |
| eMedicine | 172674 |
| MeSH | D011127 |
Mise en garde médicale
En médecine, un polype est une croissance anormale de tissus en saillie (adénome), ou tumeur bénigne, se développant sur les muqueuses. Certains sont plats (polypes sessiles), d'autres possèdent un pied plus ou moins long (polypes pédiculés).
Les polypes se retrouvent plus fréquemment sur les muqueuses du côlon, du rectum, de l'utérus, de l'estomac, du nez, des sinus et de la vessie. Ils peuvent également se former ailleurs dans le corps, sur d'autres muqueuses, comme le col de l'utérus et l'intestin grêle. La présence de nombreux polypes sur une même muqueuse est appelée polypose.
Polype colorectal

Les polypes du côlon forment un groupe très hétérogène de tumeurs bénignes du tube digestif, le terme de « polype » ne désignant qu'une élevure, une saillie visible à l’œil nu sur la muqueuse colorectale.
Les polypes colorectaux ne sont pas couramment associés à des symptômes. De temps en temps des saignements rectaux, rarement douloureux, une diarrhée ou la constipation peuvent survenir en raison de polypes du côlon. Parfois, si un polype est assez grand pour causer une occlusion intestinale, il provoque des nausées, des vomissements et une constipation sévère[1],[2].
La plupart des polypes du côlon sont sporadiques. Les polypes du côlon ne doivent pas être négligés en raison du risque de développer un cancer du côlon et le risque que les polypes bénins du côlon se transforment au fil du temps en forme maligne[3]. Comme la plupart des polypes sont asymptomatiques, ils sont généralement découverts pendant un dépistage du cancer du côlon. Les méthodes de dépistage les plus courantes sont le toucher rectal, la sigmoïdoscopie (sigmoïdoscopie habituellement flexibles, à l'aide d'un endoscope flexible, mais plus rarement avec un endoscope rigide), l'endoscopie par capsule, le lavement baryté, la coloscopie et la coloscopie virtuelle[1]. Les polypes sont systématiquement supprimés au moment de la coloscopie soit avec une polypectomie[4], soit avec une pince à biopsie. Si un polype adénomateux est repéré avec la sigmoïdoscopie ou si un polype est trouvé avec toutes autres modalités de diagnostic, le patient doit subir une coloscopie pour l'ablation du polype. Même s'il n'y a généralement pas de risque de cancer du côlon dans les polypes de taille inférieure à 2,5 cm, tous les polypes découverts sont supprimés pour réduire la probabilité de développer un cancer du côlon. Lorsque les polypes adénomateux sont retirés, une nouvelle coloscopie est habituellement effectuée tous les trois à cinq ans[5].

Polype adénomateux colorectal
Les polypes adénomateux colorectaux (ou adénomes colorectaux) sont des polypes qui se développent sur la muqueuse du côlon et qui comportent un risque élevé de cancer. Le polype adénomateux est considéré comme pré-malin, c'est-à-dire susceptible de se transformer en cancer du côlon. Les autres types de polypes qui peuvent apparaître dans le côlon sont les polypes hyperplasiques et inflammatoires. Ils sont peu susceptibles de se développer en cancer colorectal.
Environ 50 % des personnes âgées de 60 ans auront au moins un polype adénomateux de 1 cm de diamètre ou plus. Les polypes adénomateux sont souvent issus d'une polypose familiale ou d'une polypose adénomateuse familiale, un facteur qui entraîne un risque très élevé de cancer du côlon. Les adénomes représentent environ 10 % des polypes. La plupart des polypes (environ 90 %) sont de petite taille, généralement inférieure à 1 cm de diamètre, et ont un faible potentiel de malignité. Les 10 % restants sont des adénomes de plus de 1 cm qui ont 10 % de chances de contenir un cancer invasif.
En outre, la forme des polypes est liée au risque de progression vers un carcinome. Les polypes pédiculés sont généralement moins dangereux que les polypes sessiles. Les polypes sessiles ont une plus courte voie pour la migration des cellules invasives de la tumeur dans la muqueuse, et ils sont aussi plus difficiles à éliminer et à dépister. Les polypes sessiles de plus de 2 cm contiennent généralement des caractéristiques villeux, ils ont un potentiel plus élevé de malignité, et ont tendance à réapparaître après une polypectomie coloscopique.
Polyposes digestives
Syndromes de polyposes familiales

Syndromes de polyposes non-héritées
- Syndrome Cronkhite-Canada (en:Cronkhite–Canada syndrome)
- Eversmeyerous polypius
Types de polypes du côlon
Polype endométrial
Un polype endométrial, ou polype utérin, est un polype ou une lésion de la muqueuse de l'utérus. C'est un polype commun qui atteint jusqu'à 10 % des femmes. Ils peuvent avoir une base large et plate (sessile) ou être attachés à l'utérus par un pédicule allongées (pédiculé). Ces derniers sont plus fréquents que ceux sessiles. Ils varient en taille de quelques millimètres à plusieurs centimètres. S'il est pédiculé, le polype peut faire une saillie à travers le col de l'utérus. Le polype, en particulier s'il est de grande taille, peut contenir de petits vaisseaux sanguins.
Polype nasosinusien

Les polypes nasaux sont des masses polypoïdales issues principalement de la muqueuse du nez et des sinus paranasaux. Ces excroissances accompagnent souvent la rhinite allergique.
Polype cervical
Un polype du col utérin est un polype bénin à la surface du canal endocervical[6]. Il peut causer des saignements menstruels irréguliers ou une augmentation de la douleur, mais souvent il ne présente aucun symptôme[7]. Le traitement consiste en l'ablation simple du polype. Environ 1 % des polypes cervicaux montre un changement néoplasique qui peut mener au cancer[8]. Ils sont plus fréquents chez les femmes pré-ménopausées qui ont donné naissance[9].
Classification
| Type de polype | Apparence histologique | Risque de malignité | Coupe histologique | Syndromes | |
|---|---|---|---|---|---|
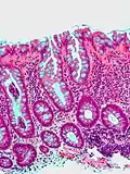
| Hyperplasique | Cryptes dentées non-ramifiées | Non | ![]() |
Hyperplasique polypose syndrome | |
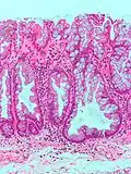
| Adénome dentelé sessile | Semblable à hyperplasique avec hyperserration, bases des cryptes dilatées/ramifiées, des cellules de mucine apparents à la base des cryptes | Oui | ![]() |
||
| Inflammatoire | Muqueuse/sous-muqueuse élevées avec inflammation | Si développement d'une dysplasie | Maladies inflammatoires chroniques intestinales, ulcères, infections, prolapsus muqueux | ||
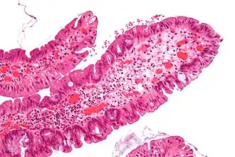
| Adénome tubulaire (villositaire, tubulovilleux) | Glandes tubulaires avec des noyaux allongés (au moins à faible teneur atypie) | Oui | ![]() |
||
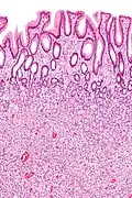
| Adénome dentelé traditionnel | Cryptes dentelées, souvent une structure villeuse, avec atypie cytologique, des cellules éosinophiles | Oui | ![]() |
||
| Polype de Peutz-Jeghers | Faisceaux musculaires lisses entre l'épithélium non-néoplasique, apparence d'« arbre de Noël » | Non | ![]() |
Syndrome de Peutz-Jeghers | |
| Polype juvénile | Glandes kystiques dilatées avec la lamina propria élargie | Non intrinsèquement, peut développer une dysplasie | ![]() |
Syndrome de polypose juvénile, polypes identiques que dans le syndrome de Cronkhite-Canada | |
| Polype hamartomateux | Variable ; polype classique légèrement fibreux avec la muqueuse désorganisée et écartement des muscularis mucosae ; aussi inflammatoire, juvénile, lipome, ganglioneurome, lymphoïde | Non | Maladie de Cowden | ||
| Polype fibroïde inflammatoire | Cellules en fuseau avec des amas concentriques de cellules fusiformes autour des vaisseaux sanguins et l'inflammation riche en éosinophiles | Non | ![]() |
||
Annexes
Articles connexes
Liens externes
- (fr) Anne Couvelard, « Polypes juvéniles et autres polypes hamartomateux » [PDF], JFPD,
- Ressources relatives à la santé :
- Ressource relative à la recherche :
- Notices dans des dictionnaires ou encyclopédies généralistes :
Notes et références
- (en) Cet article est partiellement ou en totalité issu de l’article de Wikipédia en anglais intitulé « Polyp (medicine) » (voir la liste des auteurs).
- 1 2 (en)« Colon polyps », Mayo Clinic, (consulté le )
- ↑ (en)Jenifer K. Lehrer, « Colorectal polyps », MedlinePlus, (consulté le )
- ↑ (en) Michael Santero et Lee Dennis, « Colon polyp symptoms, diagnosis and treatment », MedicineNet.com, (consulté le )
- ↑ (en) P. Deyhle, « Results of endoscopic polypectomy in the gastrointestinal tract », Endoscopie, no Suppl, , p. 35–46 (PMID 7408789)
- ↑ (en)Dr. Brian Saunders, « How I Do It : Removing large or sessile colonic polyps » [PDF], St. Mark’s Academic Institute; Harrow, Middlesex, UK (consulté le )
- ↑ (en) Mathilde E. Boon et Albert J. H. Suurmeijer, The Pap Smear, Taylor & Francis, , 384 p. (ISBN 3-7186-5857-7, lire en ligne), p. 87
- ↑ (en) Jane Bates, Practical Gynaecological Ultrasound, Cambridge University Press, , 191 p. (ISBN 1-900151-51-0, lire en ligne), p. 77
- ↑ (en) Elizabeth Tillman, « Short Instructor Materials » [PDF], Centers for Disease Control and Prevention (consulté le )
- ↑ (en) Peter Bosze et David M. Luesley, Eagc Course Book on Colposcopy, Informa Health Care, , 224 p. (ISBN 963-00-7356-0, lire en ligne), p. 66
- ↑ (en) Fletcher's Diagnostic Histopathology of Tumors, Third Edition.
- ↑ (en) Sternberg's Diagnostic Surgical Pathology, Fifth Edition.
- Portail de la médecine





