Syndrome de Peutz-Jeghers
| Spécialité | Génétique médicale |
|---|
| CISP-2 | A90 |
|---|---|
| CIM-10 | Q85.8 |
| CIM-9 | 759.6 |
| OMIM | 175200 |
| DiseasesDB | 9905 |
| MedlinePlus | 000244 |
| eMedicine |
182006 article/182006article/1664349 |
| MeSH | D010580 |
| GeneReviews | Peutz-Jeghers Syndrome |
Mise en garde médicale
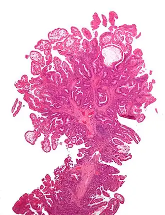
Le syndrome de Peutz-Jeghers (SPJ) est une maladie génétique rare caractérisée par le développement de polypes hamartomateux dans le tube digestif.
Cette maladie entraine l’apparition de taches bleu foncé à brunes, appelées macules, qui pigmentent les muqueuses (principalement sur les lèvres, les gencives, les narines, les mains et les pieds). Ces lésions cutanées, sauf pour la bouche, tendent à diminuer ou à disparaitre à la puberté.
Les personnes atteintes de Peutz-Jeghers développent des polypes localisés au niveau de l’intestin grêle (70-90 %), du côlon (50 %) et de l’estomac (25 %)[1] principalement, qui ont une tendance à la cancérisation. Ces personnes ont donc un risque accru de cancers gastro-intestinaux, tel que le cancer du pancréas, de l'estomac, de l'intestin grêle et du colon, mais ont aussi un risque majoré de cancers extra-digestifs tel que le cancer du sein, du poumon, de l'utérus, des ovaires et des testicules. Ces polypes, à la base bénins, peuvent entrainer des complications tels qu’un saignement de ces polypes (responsables d’anémie ferriprive lorsqu’ils sont chroniques), une occlusion intestinale, un prolapsus rectal, une hémorragie digestive sévère avec anémie secondaire, et une invagination.
Des moyens de surveillance et de dépistage de cancers sont donc mis en place dès l’enfance et comprennent coloscopie, endoscopie et vidéocapsule.
Histoire de la maladie
Décrite pour la première fois en 1921 par un médecin néerlandais nommé Jan Peutz. Cette maladie sera détaillée par un Américain, Harold Jeghers, 28 ans plus tard. Il mettra en avant le risque cumulé cancer au cours de la vie (jusqu’à 89% d’après les dernières données) lorsqu’un patient porte la mutation génétique.
La première observation de cas[2] de Peutz-Jeghers remonterait cependant à 1895, lorsque J.R.T Conner a reporté à la Société Esculape de Londres un cas de sœurs jumelles, âgées de 12 ans, présentant « d’uniques pigmentations noires des lèvres et de la bouche » et a noté « un teint foncé et une anémie » chez ses patientes. Cette étude attirera l’attention de l’éminent physicien Sir Jonathan Hutchinson, Touraine et Couder et enfin Peutz.
Étiologie
La maladie est causée par une mutation du gène STK11 /LKB1 (sérine/thréonine kinase 11) situé sur le bras court du chromosome 19[1]. Des mutations sont retrouvées dans ce gène suppresseur de tumeur chez plus de 80 % des familles affectées[3]. L’origine de cette mutation est encore inconnue à ce jour et il n'existe pas non plus de corrélation génotype-phénotype clairement établie.
Mode de transmission
Incidence et prévalence
On estime la fréquence de ce syndrome entre 1/100 000 à 1/200 000 naissances[1].
Description
Le Peutz-Jeghers est une maladie rare, peu connue des oncologues et professionnels de santé. Elle est souvent diagnostiquée à l’âge médian de 11 ans.

Comme mentionné, le Peutz-Jeghers possède des manifestations physiques externes (via les macules présentes sur les muqueuses) et internes (via les polypes hamartomateux et le risque accru de cancers invasifs dû à la délétion/mutation du gène suppresseur de tumeur).
Les lésions cutanées sont indolores. Tandis que le risque de développement de tumeur est à ce jour réduit grâce au protocole de surveillance médicale (voir la partie Traitement et prise en charge pour plus d’informations à ce sujet).
Diagnostic
Les patients présentant une pigmentation péri-orale ou buccale et/ou ≥ 2 polypes hamartomateux gastro-intestinaux ou des antécédents familiaux de syndrome de Peutz-Jeghers doivent être évalués à la recherche de ce syndrome qui comprend la recherche des mutations STK11[4].
Diagnostic prénatal
Un diagnostic prénatal est possible sur les grossesses à risque (lorsque la mutation a été identifiée au sein de la famille).
Traitement et prise en charge
Sa rareté et la variabilité des données disponibles rendent difficile l’évaluation fiable des risques tumoraux, et donc d’établir des recommandations pour le suivi des patients porteurs de la mutation du Peutz-Jeghers.
À ce jour, il n’existe aucun traitement, mais une surveillance est fortement conseillée et comprend la coloscopie, l'endoscopie haute et l'endoscopie par capsule vidéo dès l'âge de 8 ans. Ces tests s’effectuent sous anesthésie générale et leur fréquence varie en fonction des observations.
Le dépistage du cancer du sein, de l'ovaire, de l'endomètre et du col de l'utérus doit comprendre un examen pelvien annuel dès l'âge de 18 ans notamment, une échographie pelvienne ou transvaginale dès l’âge de 25 ans, et une mammographie. La surveillance du cancer du pancréas doit commencer à l'âge de 30 ans. La surveillance des testicules (à la recherche d'une tumeur de Sertoli sécrétant des œstrogènes responsables d’une féminisation) par examen testiculaire doit être effectuée annuellement de la naissance à l'adolescence. Bien que les patients qui ont un syndrome de Peutz-Jeghers présentent un risque accru de cancer du poumon, aucun dépistage spécifique n'est recommandé mais il doit être envisagé chez les fumeurs[4].
Conseil génétique
Ce syndrome se transmet selon un mode autosomique dominant comme mentionné. Donc les parents au premier degré doivent être évalués à la recherche de lésions cutanées du syndrome de Peutz-Jeghers. Il existe cependant des cas dits « de novo » liés à des mutations sporadiques. La cause ou la fréquence de ces cas n’est pas connue.
Le conseil génétique qui devrait être proposé aux personnes porteuses de la mutation est de les informer qu'il existe un risque de 50 % de transmettre la mutation à leur descendance[3].
Notes et références
- 1 2 3 Anthony Turpin, Stéphane Cattan, Julie Leclerc et Agnès Wacrenier, « Prédisposition héréditaire aux cancers digestifs, mammaires, gynécologiques et gonadiques : état des lieux du syndrome de Peutz-Jeghers », Bulletin du Cancer, vol. 101, no 9, , p. 813–822 (ISSN 0007-4551, DOI 10.1684/bdc.2014.1942, lire en ligne, consulté le ).
- ↑ (en) Thomas J. McGarrity, Howard E. Kulin et Richard J. Zaino, « Peutz-Jeghers syndrome », The American Journal of Gastroenterology, vol. 95, no 3, , p. 596–604 (ISSN 0002-9270 et 1572-0241, DOI 10.1111/j.1572-0241.2000.01831.x, lire en ligne, consulté le )
- 1 2 INSERM US14-- TOUS DROITS RESERVES, « Orphanet: Syndrome de Peutz Jeghers », sur www.orpha.net (consulté le )
- 1 2 « Syndrome de Peutz-Jeghers - Troubles gastro-intestinaux », sur Édition professionnelle du Manuel MSD (consulté le )
Liens externes
- (fr) De Leusse, A. (2012). Exploration de la lumière digestive par vidéocapsule endoscopique. Hegel, 4, 12-15. Consulté le 09/04/2023.
- (en) GeneTests: Medical Genetics Information Resource (database online). Copyright, University of Washington, Seattle. 1993-2005
- (en) Klimkowski, S., Ibrahim, M., Ibarra Rovira, J. J., Elshikh, M., Javadi, S., Klekers, A. R., Abusaif, A. A., Moawad, A. W., Ali, K., & Elsayes, K. M. (2021). Peutz-jeghers syndrome and the role of imaging : Pathophysiology, diagnosis, and associated cancers. Cancers, 13(20), 5121. Consulté le 17/04/2023
- (en) Online Mendelian Inheritance in Man, OMIM (TM). Johns Hopkins University, Baltimore, MD. MIM Number:175200
- Portail de la médecine