Rayon X

Une des premières radiographies, prise par Wilhelm Röntgen.
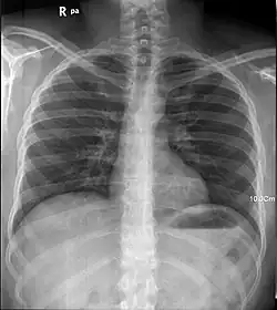
Rayon X des poumons humains
Rayon X sur poumons humains.
Divers systèmes utilisant les rayons X sont déjà utilisés pour la surveillance aux frontières et dans les aéroports, sur les objets et les véhicules. D'autres sont en test ou à l'étude concernant l'humain.

Les rayons X sont une forme de rayonnement électromagnétique à haute fréquence (d'environ 30 pétahertz à 30 exahertz, ce qui correspond à des longueurs d'onde allant de 10 nanomètres à 10 picomètres) constitué de photons dont l'énergie varie d'une centaine d'eV (électronvolt) à plusieurs MeV[1].

Ce rayonnement a été découvert en 1895 par le physicien allemand Wilhelm Röntgen, qui a reçu pour cela le premier prix Nobel de physique ; il lui donna le nom habituel de l'inconnue en mathématiques, X. Il est naturel (cosmologie, astronomie) ou artificiel (radiologie) et résulte alors du bombardement d'électrons sur une cible généralement en tungstène. La principale propriété des rayons X est de traverser la matière en étant partiellement absorbés en fonction de la densité de celle-ci et de l'énergie du rayonnement, ce qui permet d'avoir une information sur l'intérieur des objets qu'ils traversent.

Les rayons X sont une des modalités principales de l'imagerie médicale[2] et du contrôle non destructif. Ils sont également utilisés en cristallographie. En astrophysique contemporaine, on mesure les rayonnements X de l'espace pour l'étudier.

Histoire

A la fin du XIXe siècle, Wilhelm Röntgen, comme de nombreux physiciens de l'époque, se passionne pour les rayons cathodiques qui ont été découverts par Hittorf en 1869 ; ces nouveaux rayons avaient été étudiés par Crookes[3]. À cette époque, tous les physiciens savent reproduire l'expérience de Crookes mais personne n'a encore d'idée d'application de ces rayonnements.

En 1895, Wilhelm Conrad Röntgen reproduit l'expérience à de nombreuses reprises en modifiant ses paramètres expérimentaux (types de cibles, tensions différentes, etc.). Le , il parvient à rendre luminescent un écran de platinocyanure de baryum. Röntgen décide alors de faire l'expérience dans l'obscurité en plongeant son tube de Crookes dans un caisson opaque. Le résultat est identique à la situation normale. Röntgen place ensuite différents objets de différentes densités entre l'anode et l'écran fluorescent, et déduit de son expérience que le rayonnement traverse la matière d'autant plus facilement que celle-ci est peu dense et peu épaisse. Lorsqu'il place des objets métalliques entre le tube et une plaque photographique, il parvient à visualiser l'ombre de l'objet sur le négatif.

Röntgen en déduit que les rayons sont produits perpendiculairement à la direction d'émission des électrons du tube et que ce rayonnement est invisible et très pénétrant.

Leur origine étant alors encore inconnue, Röntgen les baptise « rayons X », nom qui leur est resté dans la plupart des langues (dans certaines langues, on leur donne un nom équivalent à « rayonnement de Röntgen » : Röntgenstrahlung en allemand, röntgenstraling en néerlandais, etc.). L'autre nom de la radiologie est encore aujourd'hui la röntgenologie.

Le premier cliché célèbre est celui de la main d'Anna Bertha Röntgen réalisé le [4] (pose de 25 minutes) ; il s'agit de la première radiographie. Un mois plus tard, Jean-Alban Bergonié reproduit à Bordeaux l'expérience de Röntgen, avant que ce dernier publie officiellement.[réf. nécessaire]

Le , Röntgen publie sa découverte dans un article intitulé « Über eine neue Art von Strahlen » (en français : « À propos d'une nouvelle sorte de rayons ») dans le bulletin de la Société physico-chimique de Wurtzbourg. C'est cette découverte qui lui vaudra le premier prix Nobel de physique en 1901.

Il tire quatre conclusions dans son article :

  1. « Les rayons X sont absorbés par la matière ; leur absorption est fonction de la masse atomique des atomes absorbants ;
  2. Les rayons X sont diffusés par la matière ; c'est le rayonnement de fluorescence ;
  3. Les rayons X impressionnent la plaque photographique ;
  4. Les rayons X déchargent les corps chargés électriquement. »

La recherche de Röntgen est rapidement développée en dentisterie, puisque deux semaines plus tard, le Dr Otto Walkhoff réalise à Brunswick la première radiographie dentaire. Il a fallu vingt-cinq minutes d'exposition[5]. Il a utilisé une plaque photographique en verre, recouverte de papier noir et d'une digue en caoutchouc. Six mois après paraît le premier livre consacré à ce qui va devenir la radiologie dont les applications se multiplient, dans le cadre de la physique médicale, pour le diagnostic des maladies puis leur traitement (radiothérapie qui donne une expansion extraordinaire à ce qui était jusque-là l'électrothérapie). Avant la fin de l'année 1896, Otto Walkhoff et Fritz Giesel ouvrent le premier laboratoire de radiologie dentaire.

Les temps d'exposition sont alors longs et les effets secondaires notables[6]. Les cas de brûlures sont nombreux. Certains praticiens, ne voyant pas le lien entre l'exposition aux rayons X et les brûlures, concluent qu'elles sont dues aux rayons ultraviolets. Certains hésitent toutefois à réaliser des clichés radiologiques sans nécessité. De plus, tous les praticiens ne relèvent pas les mêmes effets : le Dr Williams, en 1897, indique que sur 250 patients exposés aux rayons X, il n'a noté aucun effet secondaire indésirable[7]. Toutefois, il ne faudra pas longtemps pour qu'un lien causal soit établi entre l'exposition prolongée aux rayons X et les brûlures : en 1902, le Dr E. A. Codman, recensant les préjudices causés par les rayons X, note qu'ils ont pratiquement disparu[8].

Röntgen laissa son nom à la première unité de mesure utilisée en radiologie pour évaluer une exposition aux rayonnements. Le symbole des röntgens est R.

La découverte de Röntgen fit rapidement le tour de la Terre. Elle suscita des expériences y compris en dehors des cercles scientifiques[9] et marqua l'imaginaire de la culture populaire[10]. Des chercheurs tels que Thomas A. Edison, Nikola Tesla, A. A. Campbell-Swinton firent immédiatement des expériences avec les rayons Röntgen. En , un inventeur américain, le Dr Robert D'Unger, proposa un telephot aux rayons X, censé permettre de transmettre les images par fil télégraphique[11].

En 1897, Antoine Béclère, pédiatre et clinicien réputé, créa, à ses frais, le premier laboratoire hospitalier de radiologie[12].

Tout le monde voulait faire photographier son squelette. Mais pendant longtemps, les doses étaient trop fortes. Par exemple, Henri Simon, photographe amateur, a laissé sa vie au service de la radiologie. Chargé de prendre les radiographies, les symptômes dus aux radiations ionisantes apparurent après seulement deux ans de pratique. On lui amputa d'abord la main (qui était constamment en contact avec l'écran fluorescent), mais ensuite, un cancer généralisé se déclara.

Au début de la radiologie, les rayons X étaient utilisés à des fins multiples : dans les fêtes foraines où on exploitait le phénomène de fluorescence, dans les magasins où l'on étudiait l'adaptation d'une chaussure au pied des clients grâce au rayonnement, et pour la radiographie médicale. Encore là, on fit quelques erreurs, par exemple en radiographiant les femmes enceintes[13],[14].

Le premier « Congrès international de radiologie », qui réunit des scientifiques de la Grande-Bretagne, des États-Unis, de la France, de l’Allemagne, de l’Italie et de la Suède, émet en 1925 des recommandations portant sur les « rayonnements ionisants »[13],[15],[16],[14].

Un monument a été inauguré en 1936 au voisinage du pavillon Roentgen de l’hôpital St-Georg, à Hambourg, à l’initiative du professeur allemand Hans Meyer, « Aux radiologues de toutes les nations : […] qui ont fait don de leur vie dans la lutte contre les maladies de l’humanité… »[13],[14].

Avec les années, en médecine pour la fluoroscopie ou radioscopie, on diminua la durée des examens et les quantités administrées. En 1948 notamment, par la découverte de la « crête de Tavernier » par le physicien belge Guy Tavernier qui correspond à un accroissement de la dose d'irradiation dans les tissus avant leur décroissance avec la profondeur, on réduisit la dose d'exposition de 1,2 à 0,3 röntgen par semaine au niveau international dès 1950. Cette valeur sera encore divisée par trois dès 1958 pour tenir compte des risques potentiels d'effets génétiques[12].

Cent ans après leur découverte, on se sert encore des rayons X en radiographie moderne. On les utilise aussi dans les scanners, pour effectuer des coupes du corps humain, et dans les densitomètres pour détecter ou suivre l'ostéoporose. Plusieurs autres techniques sont actuellement utilisées en imagerie médicale : l'échographie (qui utilise les ultrasons), l'imagerie par résonance magnétique nucléaire, la scintigraphie ou encore la tomographie par émission de positons.

Mais l'utilisation des rayons X ne se limite pas au seul domaine de la médecine : les services de sécurité les utilisent pour examiner le contenu des valises ou des conteneurs aériens et maritimes sur écran. Les policiers les exploitent afin d'analyser les fibres textiles et les peintures se trouvant sur le lieu d'un sinistre. L'industrie agroalimentaire les utilise pour détecter les corps étrangers dans les produits finis. En cristallographie, on peut identifier divers cristaux à l'aide de la diffraction des rayons X. Enfin, depuis peu, il est possible d'étudier des fossiles piégés à l'intérieur d'un matériau (type ambre) et d'en voir des coupes virtuelles[17].

Production

Production de rayons X par un tube à rayons X (ici à anode fixe).
Spectre produit avec un tube à rayons X. Le fond continu correspond à la Bremsstrahlung et les raies proviennent des transitions électroniques de l'anode.

Les rayons X sont un rayonnement électromagnétique comme les ondes radio, la lumière visible, ou les infrarouges. Cependant, ils peuvent être produits de deux manières très spécifiques :

  1. Par des changements d'orbite d'électrons provenant des couches électroniques ; les rayons X sont produits par des transitions électroniques faisant intervenir les couches internes, proches du noyau ; l'excitation donnant la transition peut être provoquée par des rayons X ou bien par un bombardement d'électrons, c'est notamment le principe de la spectrométrie de fluorescence des rayons X et de la microsonde de Castaing ;
  2. Par accélération d'électrons (accélération au sens large : freinage, changement de trajectoire) ; on utilise deux systèmes :
    • le freinage des électrons sur une cible dans un tube à rayons X : les électrons sont extraits par chauffage d'un filament métallique, la cathode, et accélérés par un champ électrique dans un tube sous vide. Ce faisceau est focalisé de manière à bombarder une cible métallique en tungstène ou en molybdène, appelée anode ou anti-cathode. Le ralentissement des électrons par les atomes de la cible provoque un rayonnement continu de freinage, dit « Bremsstrahlung » (nom commun féminin)[18] ;
    • la courbure de la trajectoire dans des accélérateurs de particules : c'est le rayonnement dit « synchrotron », qui est un cas particulier de Bremsstrahlung.

Lors de la production de rayons X avec un tube à rayons X, le spectre est composé d'un rayonnement continu (Bremsstrahlung) auquel se superposent des raies spécifiques à l'anode utilisée et qui sont dues au phénomène de fluorescence.

Anecdotiquement, des rayons X peuvent être produits par triboluminescence, décollement d'un ruban adhésif sous vide, et la quantité émise peut alors suffire pour faire une radiographie (de mauvaise qualité) d'un doigt[19].

Propriétés

Historiquement, les rayons X étaient connus pour faire briller certains cristaux (fluorescence), ioniser les gaz et impressionner les plaques photographiques.

Les principales propriétés des rayons X sont les suivantes :

  • ils pénètrent facilement la « matière molle », c'est-à-dire la matière solide peu dense et constituée d'éléments légers comme le carbone, l'oxygène et l'azote, et sont facilement absorbés par la « matière dure » (matière solide dense constituée d'éléments lourds) ; c'est ce qui permet l'imagerie médicale (radiographie, scanner, densitométrie osseuse) : ils traversent la chair et sont arrêtés par les os ;
  • ils sont facilement absorbés par la couche d'air très épaisse que constitue l'atmosphère ; de fait, les télescopes à rayons X (qui détectent les rayons X émis par les étoiles) doivent être placés hors de l'atmosphère terrestre dans des satellites ;
  • l'ordre de grandeur de leur longueur d'onde étant celui des distances interatomiques dans les composés, la diffraction de rayons X sur les cristaux constituant les métaux ou roches est exploitée pour faire de l'analyse chimique (minéralogique) : c'est la technique appelée « radiocristallographie » ;
  • du fait de l'énergie importante des photons, ils provoquent des ionisations des atomes, ce sont des rayonnements dits « ionisants » ; ceci donne naissance au phénomène de fluorescence X, également utilisé en analyse chimique ; ces ionisations ont toutefois un effet délétère sur les cellules vivantes.

On distingue les rayons X durs et rayons X mous selon leur énergie, pour les premiers supérieure à environ 5 à 10 keV (longueur d'onde inférieure à 0,1–0,2 nm). À l'inverse des rayons X durs, les rayons X mous sont facilement absorbés par une épaisseur millimétrique de matière solide.

Effets sur la santé

Brûlure radiologique (radiome) illustrée par un modèle pédagogique médical en cire préparé par le Dr J.F. Wallis. Ce modèle présente une brûlure par rayons X du sein droit et de l'aisselle chez une femme ayant développé un carcinome du sein (Femme de couleur, âge de 35 ans), exposée à un essai de traitement par radiothérapie intense aux rayons X. Dans ce cas, une nécrose des tissus a produit une ulcération délitescence, dont le fond est constitué de la plèvre et du tissu pulmonaire. Source : Archives médicales militaires des États-Unis, Army Medical Museum[20].
Modèle de cire, pédagogique, montrant la restauration chirurgicale d'une partie d'un visage brûlé par des rayons X (Archives médicales militaires des États-Unis).

Les rayons X sont des radiations ionisantes. Une exposition prolongée aux rayons X, ou une exposition répétée avec des répits trop courts pour l'organisme peut provoquer des brûlures (radiomes) mais aussi des cancers et des anomalies chez le nourrisson et l'enfant de moins d'un an.

Les personnels travaillant avec des rayons X doivent suivre une formation spécifique, se protéger et être suivis médicalement (ces mesures peuvent être peu contraignantes si l'appareil est bien « étanche » aux rayons X).

Détection

Les rayons X sont invisibles à l'œil nu, mais ils impressionnent les pellicules photographiques. Si l'on place un film vierge protégé de la lumière (dans une chambre noire ou enveloppée dans un papier opaque), la figure révélée sur le film donne l'intensité des rayons X ayant frappé la pellicule à cet endroit. C'est ce qui a permis à Röntgen de découvrir ces rayons. Ce procédé est utilisé en radiographie médicale ainsi que dans certains diffractomètres (clichés de Laue, chambres de Debye-Scherrer). Il est aussi utilisé dans les systèmes de suivi des manipulateurs : ceux-ci doivent en permanence porter un badge, appelé « film dosimètre », enfermant une pellicule vierge ; ce badge est régulièrement changé et développé par des laboratoires spécialisés pour contrôler que le manipulateur n'a pas reçu de dose excessive de rayons X.

Comme tous les rayonnements ionisants, les rayons X sont détectés par les compteurs Geiger-Müller (ou compteur G-M). Si l'on diminue la tension de polarisation du compteur, on obtient un compteur dit « proportionnel » (encore appelé « compteur à gaz » ou « compteur à flux gazeux ») ; alors que le compteur G-M travaille à saturation, dans le compteur proportionnel, les impulsions électriques générées sont proportionnelles à l'énergie des photons X.

Les rayons X provoquent aussi de la fluorescence lumineuse sur certains matériaux, comme l'iodure de sodium NaI. Ce principe est utilisé avec les « compteurs à scintillation » (ou « scintillateurs ») : on place un photodétecteur après un cristal de NaI ; les intensités des impulsions électriques récoltées par le photomultiplicateur sont elles aussi proportionnelles aux énergies des photons.

De même qu'ils peuvent ioniser un gaz dans un compteur G-M ou proportionnel, les rayons X peuvent aussi ioniser les atomes d'un cristal semi-conducteur et donc générer des paires électron-trou de charges. Si l'on soumet un semi-conducteur à une haute tension de prépolarisation, l'arrivée d'un photon X va libérer une charge électrique proportionnelle à l'énergie du photon. Ce principe est utilisé dans les détecteurs dits « solides », notamment pour l'analyse dispersive en énergie (EDX ou EDS). Pour avoir une résolution correcte, limitée par l'énergie de seuil nécessaire à la création de charges, les détecteurs solides doivent être refroidis, soit avec une platine Peltier, soit à l'azote liquide. Les semi-conducteurs utilisés sont en général du silicium dopé au lithium Si(Li), ou du germanium dopé au lithium Ge(Li). Il existe cependant des détecteurs à semi-conducteur non refroidis à base de silicium ou de tellurure de cadmium. L'utilisation de structures à diodes bloquantes permet en particulier de réduire le bruit associé au courant d'obscurité.

La faible température n'a pas d'effet direct sur la valeur de l'énergie de seuil, mais sur le bruit de fond. Il est possible en revanche d'utiliser des supraconducteurs maintenus à très basse température afin de faire usage d'énergie de seuil faible. Par exemple, l'énergie de seuil nécessaire à la création de charges « libres » dans le silicium est de l'ordre de 3 eV, alors que dans le tantale supraconducteur, au-dessous d'environ 1 kelvin, elle est de 1 meV, soit environ mille fois plus faible. La diminution de la valeur de seuil a pour effet d'augmenter le nombre de charges créées lors de la déposition d'énergie, ce qui permet d'atteindre une meilleure résolution. Cette dernière est en effet limitée par les fluctuations statistiques du nombre de charge créées. L'amplitude de ces fluctuations peut s'estimer avec la loi de Poisson. Des expériences récentes de détection d'un photon X à l'aide d'un calorimètre maintenu à très basse température (0,1 K) permettent d'obtenir une excellente résolution en énergie. Dans ce cas, l'énergie du photon absorbé permet de chauffer un absorbeur, la différence de température est mesurée à l'aide d'un thermomètre ultra sensible.

Afin de comparer les approches : les détecteurs basés sur le silicium permettent une précision de la mesure de l'ordre de 150 eV pour un photon de 6 000 eV. Un senseur supraconducteur au tantale permet d'approcher 20 eV, et un calorimètre maintenu à 0,1 K a récemment démontré une résolution d'environ 5 eV, soit un pouvoir de résolution de l'ordre de 0,1 %. Il est utile de mentionner que les méthodes de détection cryogéniques ne permettent pas encore de fabriquer des capteurs possédant un grand nombre d'éléments d'images (pixel), alors que les capteurs basés sur les semi-conducteurs offrent des « caméras » à rayons X avec plusieurs milliers d'éléments. De plus, les taux de comptage obtenus par les senseurs cryogéniques sont limités, 1 000 à 10 000 cps/px.

En cristallographie

L'analyse des cristaux par diffraction de rayons X est aussi appelée « radiocristallographie ». Ceci permet soit de caractériser des cristaux et de connaître leur structure (on travaille alors en général avec des monocristaux), soit de reconnaître des cristaux déjà caractérisés (on travaille en général avec des poudres polycristallines).

Diffractomètre à monocristal.

Pour travailler avec un monocristal, on utilise l'appareil ci-contre :

  • Les rayons X sortent par le tube vertical en haut ;
  • le cristal au centre de la photo est trop petit pour être vu ; il est fixé à l'extrémité d'une fine aiguille de verre manipulée par la tête goniométrique sur la droite (qui ressemble au mandrin d'une perceuse) et permet selon trois axes successifs (un vertical, un à 45° et un horizontal) de tourner le cristal dans toutes les orientations tout en le maintenant dans le faisceau de rayons X ;
  • une caméra vidéo (en noir en haut à gauche) permet de contrôler que le cristal est bien centré ;
  • un puits en bas au milieu est tenu par une lame : le puits sert à arrêter les rayons X directs qui n'ont pas interagi avec le cristal ;
  • un système de refroidissement (à gauche, tube avec des lettres en rouge) permet de refroidir le cristal ;
  • n'est pas visible sur la photo le détecteur de rayons X qui est depuis quelques années une caméra CCD permettant de remplacer à la fois les plaques photos et les compteurs ;
  • n'est pas visible aussi la source de rayons X et son monochromateur focaliseur qui est composé d'une multicouche miroir à rayons X ;
  • n'est pas visible l'informatique d'acquisition des données expérimentales.

Utilisé en géologie et en métallurgie, c'est aussi un outil de biophysique, très utilisé en biologie pour déterminer la structure des molécules du vivant, notamment en cristallogenèse (art de fabriquer des monocristaux avec une molécule pure) ; dans ce cadre, un monocristal de la molécule est mis dans un faisceau de rayons X monochromatiques et la diffraction observée pour différentes positions du cristal dans le faisceau de rayons X (manipulé par un goniomètre) permet de déterminer non seulement la structure du cristal, mais aussi et surtout la structure de la molécule. C'est notamment par radiocristallographie que Rosalind Franklin, puis James Watson, Francis Crick, Maurice Wilkins et leurs collaborateurs ont pu déterminer la structure hélicoïdale de l'ADN en 1953[21].

Réglementation

Dans l'Union européenne, l'utilisation des rayons X est soumise aux normes Euratom 96/29 et 97/43. La directive 97/43/ Euratom du aurait dû être transposée en Droit interne français au plus tard le .

En France, il faut se référer :

  • au code de la santé publique[22] et notamment à son article R.1333-19[23] ;
  • au code du travail[24] ;
  • aux normes NFC 74-100 (conception des générateurs), NFC 15-160 (conceptions des blindages), NFC 15-164 (installation) ;
  • à l'arrêté du [25] relatif aux informations dosimétriques (PDS ou Produit Dose × Surface exprimé en Gy.cm2 ou en µGy.m2) qui doivent figurer dans tout compte rendu d'acte médical utilisant les rayonnements ionisants.

L'organisme chargé du contrôle est l'Autorité de sûreté nucléaire (ASN), créée par la loi no 2006-686 du relative à la transparence et à la sécurité en matière nucléaire (loi TSN)[26]. L'ASN a remplacé la DGSNR, la Direction générale de la sûreté nucléaire et de la radioprotection, créée par le décret no 2002-255 du [27], modifiant le décret no 93-1272 du , qui avait elle-même remplacé la DSIN (Direction de la sûreté des installations nucléaires).

Autre acception

« X-ray » est aussi l'appellation de la lettre X dans l'alphabet radio international.

Héritage

En 2003, le magazine Life a inclus la radiographie de la main de l’épouse de Röntgen parmi les « 100 photographies qui ont changé le monde »[28].

Notes et références

  1. (en) « X-ray absorption Spectroscopy », sur kent.ac.uk.
  2. (en) Keith L. Moore et Arthur F. Dalley, Anatomie médicale: aspect fondamentaux et applications cliniques, De Boeck, (ISBN 978-2-8041-5309-0).
  3. Le tube de Crookes fut le premier tube à rayon X.
  4. « 1895 : découverte des rayons X par Röntgen et début de la radiographie », sur Futura Sciences.
  5. Walkhoff, qui réalise cette radiographie sur lui-même, écrit que ces 25 min ont été pour lui une torture, sans préciser en quel sens (Louis I. Grossman, « A brief history of endodontics », Journal of endodontics, vol. 8, , S36–S40 (DOI 10.1016/S0099-2399(82)80304-X), cité par (en) K Sansare, V Khanna et F Karjodkar, « Early victims of X-rays: a tribute and current perception », Dentomaxillofacial Radiology, vol. 40, no 2, , p. 123–125 (ISSN 0250-832X et 1476-542X, PMID 21239576, PMCID 3520298, DOI 10.1259/dmfr/73488299, lire en ligne, consulté le )).
  6. Walkhoff remarque, en 1896, chez certains de ses patients irradiés pendant trente minutes, une perte de cheveux du côté de la tête exposé aux radiations. Comme aucune cloque n'est mentionnée par Walkhoff, la dose reçue est probablement inférieure à 300 rads.
  7. (en) K Sansare, V Khanna et F Karjodkar, « Early victims of X-rays: a tribute and current perception », Dentomaxillofacial Radiology, vol. 40, no 2, , p. 123–125 (ISSN 0250-832X et 1476-542X, PMID 21239576, PMCID 3520298, DOI 10.1259/dmfr/73488299, lire en ligne, consulté le ).
  8. De 55 en 1896, ils passent à 12 en 1897, 6 en 1898, 9 en 1899, 3 en 1900, 1 en 1901. Ce déclin peut cependant être dû au fait que les incidents causés par l'exposition aux rayons X intéressent de moins en moins les journaux.
  9. (en) Matthew Lavine, « 'Something about X-rays for everyone:' emerging technologies and open communities », History and Technology, vol. 31, no 1, , p. 37–54 (DOI 10.1080/07341512.2015.1063815).
  10. (en) Uwe Busch, The Story of Radiology, vol. 1, European Society of Radiology, (lire en ligne), « A Funfair for Science : Popularising X-Ray, from 1896 to Present », p. 6-23.
  11. « L'étrange cas du Dr Robert d'Unger, journaliste, témoin des ivresses d'Edgar A. Poe, médecin, charlatan, investisseur en téléphonie et inventeur d'un telephot aux rayons X », sur Histoire de la télévision (consulté le ).
  12. 1 2 Georges Chicotot, « Premiers essais du traitement du cancer par les rayons X », sur L'histoire par l'image (consulté le ).
  13. 1 2 3 Gérard Borvon, « Les Rayons X et les rayonnements radioactifs, quand on ne parlait pas encore de principe de précaution. », sur seaus.free.fr, .
  14. 1 2 3 Gérard Borvon, Histoire de l'électricité: de l'ambre à l'électron, Vuibert, coll. « Va savoir », (ISBN 978-2-7117-2492-5).
  15. La Nature, Revue des sciences et de leurs applications aux arts et à l’industrie.
  16. Guy Pallardy, Marie-José Pallardy et Auguste Wackenheim, Histoire illustrée de la radiologie, R. Dacosta, (ISBN 978-2-85128-074-9).
  17. Exemple (voir image no 4), sur popsci.com.
  18. Terme allemand adopté internationalement.
  19. (en) Camara CG, Escobar JV, Hird JR, Putterma SJ, « Correlation between nanosecond X-ray flashes and stick–slip friction in peeling tape », Nature, 2008, 455:1089-1092.
  20. (en) Ref Otis Historical Archives of National Museum of Health & Medicine, OTIS Archive 1, Reeve 36721, modèle no 92.
  21. Prix Nobel de médecine et physiologie 1962 : Fondation Nobel.
  22. Articles L.1333-1 à L.1333-20 (nouvelle partie législative), articles R.1333-17 à R.1333-93 (nouvelle partie réglementaire) Code de la santé publique.
  23. Article R.1333-19 du Code de la santé publique (nouvelle partie réglementaire).
  24. Articles R.231-73 à R.231-116 (partie réglementaire — décrets en Conseil d'État) Code du travail.
  25. Arrêté du 22 septembre 2006 relatif au PDS (cf. article 3 de l'Arrêté).
  26. Loi n° 2006-686 du 13 juin 2006 relative à la transparence et à la sécurité en matière nucléaire .
  27. Décret n° 2002-255 du 22 février 2002 créant la DGSNR.
  28. (en) Robert Sullivan (dir.), 100 Photographs that Changed the World, New York, Life, , 176 p. (ISBN 1-931933-84-7, lire en ligne), « Pigeon House and Barn 1827 », p. 13 (reproduction dans The Digital Journalist (en), septembre 2003, no 71).

Voir aussi

Articles connexes

Liens externes

  • icône décorative Portail de la médecine
  • icône décorative Portail de la physique