Tumeur de Pancoast-Tobias
| Symptômes | Syndrome de Pancoast-Tobias |
|---|
| Spécialité | Cancérologie thoracique |
|---|
| CIM-10 | C34.1 |
|---|---|
| CIM-9 | 162.3 |
| ICD-O | 8010/3 |
| DiseasesDB | 31266 |
| eMedicine | 284011 |
| MeSH | D010178 |
Mise en garde médicale
Une tumeur de Pancoast-Tobias, aussi appelée tumeur de l'apex pulmonaire, est une forme de présentation des cancers du poumon lorsque ceux-ci envahissent le sommet du thorax. Elle fut pour la première fois décrite en 1838 par Edward Hare.
Par la suite, le radiologue Henry Pancoast a précisément localisé cette tumeur et l'a reliée aux symptômes dits de Pancoast-Tobias. En effet, sa propagation peut se faire au niveau des côtes ou des vertèbres, et dans certains cas, la tumeur peut exercer une pression sur les nerfs du plexus brachial (nerfs menant aux bras) causant donc une douleur caractéristique au bras et à l'épaule. Une atrophie des muscles du bras et de la main peut aussi apparaître.
L'ensemble des symptômes cités ci-dessus caractérise le syndrome de Pancoast-Tobias[1].
Historique
La première description d'une tumeur de Pancoast-Tobias remonte à 1838, par le médecin anglais Edward Selleck Hare[2] présentant le cas d'un patient avec une masse de l'apex pulmonaire[3], des douleurs d'épaule, et des signes de neuropathie ulnaire[4],[5]. En 1924, le radiologue Henry Pancoast a publié une série de 7 patients présentant des signes cliniques similaires, avec des opacités apicales à la radiographie[6], qu'il attribuait à des sarcomes[7]. C'est en 1932 que l'argentin José W. Tobias[8] a reconnu l'origine bronchopulmonaire de ces lésions[5].
Jusqu'à la fin des années 1940, les tumeurs de l'apex pulmonaire étaient considérées comme incurables[5]. Cependant, à partir des années 1950, la radiothérapie a permis la première rémission à 3 ans et, en 1956, la première prise en charge multimodale combinant chirurgie et radiothérapie a été décrite, permettant plus de 5 ans de survie. Par la suite, la progression des techniques d'irradiation et des possibilités chirurgicales, accompagnées du développement des chimiothérapies, ont continué d'améliorer le pronostic de la maladie.
Définition
Terminologie
Dans la série initiale d'Henry Pancoast, tous les patients présentaient les mêmes signes cliniques et radiologiques. Cependant, l'évolution des traitements a amené à proposer des traitements similaires aux patients sans signes cliniques, mais avec des tumeurs de localisation similaire. En 2003, Franck Detterbeck a ainsi proposé une nouvelle définition, sous le nom de tumeur de l'apex pulmonaire, recouvrant les cancers du poumon développés à la partie supérieure de celui-ci et envahissant les structures avoisinnantes, indépendamment des signes cliniques[Note 1],[7],[9]. Cette définition a par la suite été adoptée par la plupart des sociétés savantes[7]. En conséquence, les termes « tumeur de l'apex pulmonaire », « tumeur de Pancoast-Tobias » et « tumeur de Pancoast » sont utilisés de manière interchangeable[7],[10].
Anatomie de l'apex thoracique
L'apex thoracique est une région anatomique mal définie, située à la confluence du thorax, du cou, et du membre supérieur[11]. Le défilé cervicothoracique en est la structure centrale.
Les structures susceptibles d'être envahies regroupent ainsi la plèvre pariétale, les côtes supérieures (en particulier la première), les corps vertébraux, et les éléments du défilé cervicothoracique : plexus brachial, artère et veine sous-clavières, et ganglion stellaire[7],[12].
Le défilé cervicothoracique est habituellement divisé en trois compartiments (antérieur, moyen et postérieur), qui peuvent chacun être envahis de manière isolée, et sont responsables de symptômes différents[11],[13]. Le compartiment antérieur va du sternum au muscle scalène antérieur, le compartiment moyen est compris entre les muscles scalènes antérieur et moyen, et le compartiment postérieur va du muscle scalène moyen au rachis.
- Tumeur du compartiment antérieur
TDM d'une tumeur de Pancoast gauche envahissant l'arc antérieur de la 1re et de la 2e côte (flèche jaune).
PET-scanner du même patient[14].
Les côtes sont envahies de manière isolée chez 65 % des patients[15] ; seulement 8 % présentent un envahissement en bloc des côtes et des vertèbres adjacentes[15].
Épidémiologie
Les tumeurs de l'apex pulmonaire sont une présentation rare des cancers du poumon, concernant moins de 5 % des patients[7].
Une étude épidémiologique slovène réalisée entre 1981 et 1994[15] a recueilli les données de 48 patients atteints de tumeur de l'apex, majoritairement des hommes (à 95 %), d'âge médian 60 ans. Dans cette série, 0,5 % des patients présentant un cancer du poumon ont une tumeur de l'apex pulmonaire[15].
Une étude de registre australienne de 1996 portant sur 4123 patients a cependant retrouvé une incidence de 3,2 %[16].
Manifestations cliniques
Au moment du diagnostic, les symptômes sont généralement présents depuis plusieurs mois (médiane de 5 mois[15]), et très peu de patients (1,5 à 5 %) n'en présentent aucun[7]. Les signes cliniques sont inconstants, et dépendent de la nature des structures envahies par la tumeur[11]. Ceci entraîne un délai parfois important entre le début des symptômes et l'établissement du diagnostic (jusqu'à 6 à 10 mois[17]).
Signes fonctionnels
Les signes fonctionnels respiratoires sont rares au moment du diagnostic[4],[7]. Ces signes regroupent la toux, l'hémoptysie et la dyspnée. En effet, la localisation périphérique de ces tumeurs les éloigne naturellement du hile pulmonaire et de ses grosses structures bronchiques et vasculaires[11],[18].
La douleur est le symptôme le plus fréquent ; elle est présente chez tous les patients, et peut se présenter comme une douleur thoracique ou une douleur d'épaule[15] selon la localisation précise de l'envahissement pariétal[7].
Syndrome de Pancoast-Tobias

Le syndrome de Pancoast-Tobias associe un syndrome de Claude-Bernard-Horner, une névralgie cervicobrachiale, et une opacité de l'apex pulmonaire à la radiographie thoracique[19].
Le syndrome de Claude-Bernard-Horner associe une chute de la paupière supérieure (ou ptosis), une constriction de la pupille (ou myosis), et un enfoncement de l'œil situé du même côté que la lésion pulmonaire (énophtalmie). L'atteinte sympathique peut également entraîner une tachycardie (accélération du rythme cardiaque), des troubles de la sudation (anhydrose) et des épisodes de rougissement de la face[18]. Il est causé par l'envahissement du ganglion stellaire. En raison de la localisation postérieure de celui-ci, on n'observe de syndrome de Claude-Bernard-Horner que lorsque le compartiment postérieur du défilé cervicothoracique est envahi[11].
La névralgie cervicobrachiale est une douleur neuropathique irradiant depuis l'épaule jusque dans le bras, l'avant-bras et la main, à cause de la compression ou de l'envahissement de racines nerveuses issues des métamères (ou « étages ») C8 et T1 de la moelle épinière au niveau du plexus brachial. L'atteinte des racines nerveuses peut être responsable d'une amyotrophie des muscles de la main, en particulier l'éminence thénar[12]. Ce signe clinique est observé dans les tumeurs envahissant le compartiment moyen du défilé cervicothoracique[11].
Selon les séries, 25 à 37 % des patients porteurs d'une tumeur de l'apex pulmonaire présentent un syndrome de Claude-Bernard-Horner[7],[15]. Parmi ceux-là, seule une partie (22 %) présente une amyotrophie ou une parésie du membre supérieur[15].
Autres signes d'envahissement local
En fonction de la nature des structures envahies, d'autres signes cliniques peuvent être présents[7].
En cas de compression de la veine cave supérieure par une tumeur développée à la partie antérieure du défilé cervicothoracique[11], qui gêne alors le retour veineux de la tête et des membres supérieurs, un syndrome cave supérieur peut apparaître. Il associe un œdème de la partie supérieure du corps, des maux de tête, et l'apparition d'une circulation veineuse collatérale. Dans ces cas-là, il est également possible d'observer une paralysie du nerf phrénique, qui chemine lui aussi à la partie antérieure du défilé cervicothoracique[18].
L'atteinte du nerf laryngé récurrent, nerf du larynx naissant dans le thorax, entraîne une dysphonie et parfois des troubles de la déglutition.
Imagerie
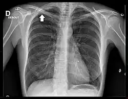
Radiographie thoracique

La radiographie thoracique est un examen de dépistage aisément accessible. Cependant, les tumeurs de l'apex de petite taille sont difficiles à visualiser en raison des superpositions osseuses de la clavicule et de la première côte[18].
Le cliché thoracique de face retrouve le plus souvent un simple épaississement de l'apex thoracique, ou bien une authentique masse pulmonaire englobant l'apex[20]. Une ostéolyse des côtes et du rachis est parfois visible[20].
Tomodensitométrie

Le scanner thoracique permet d'analyser avec précision la localisation de la tumeur, de mesurer sa taille, et de rechercher des adénopathies médiastinales[11]. Idéalement, il doit être injecté d'un produit de contraste iodé afin de préciser les rapports vasculaires[11].
Dans le cadre du bilan d'extension, le TEP scanner aide à rechercher les localisations secondaires métastatiques et à préciser l'envahissement ganglionnaire.
Imagerie par résonance magnétique
L'IRM thoracique permet d'analyser l'envahissement du plexus brachial et de la paroi thoracique osseuse, ainsi que du rachis avec plus de précision que la tomodensitométrie[11]. L'envahissement des trous de conjugaison à l'IRM est ainsi une contre-indication chirurgicale. Pour cette raison, il est recommandé de réaliser une IRM dans le cadre du bilan préopératoire.
Dans le cadre du bilan d'extension, une IRM cérébrale est systématiquement réalisée à la recherche de métastases.
Anatomie pathologique
Modalités diagnotiques

Si la clinique et l'imagerie permettent à elles seules de poser le diagnostic de tumeur de Pancoast-Tobias, ce n'est que l'analyse d'une biopsie tissulaire qui permettra d'identifier le type de tumeur, et ainsi de guider le traitement[11].
La méthode de diagnostic la plus précise est la ponction percutanée trans-thoracique par ponction à l’aiguille, sous contrôle scanner, qui présente un rendement de 95 %[11],[21]. En cas d'échec, il est possible de réaliser une biopsie chirurgicale par thoracoscopie ou thoracotomie[11].
La fibroscopie bronchique est souvent peu contributive ; la localisation très périphérique de la tumeur la rend en effet inaccessible techniquement. La fibroscopie ne permet ainsi de réaliser des biopsies de la tumeur que dans environ 20 % des cas[21],[11].
Histologie
La plupart des tumeurs de Pancoast-Tobias sont des tumeurs à non-petites cellules (90 à 95 % des cas[4],[12] ) et représentent 3 à 5 % de ce type de cancer[22]. La répartition des différentes histologies non à petites cellules est variable selon les séries[23]. Comme dans les autres localisations de carcinomes bronchiques non à petites cellules, la répartition entre les adénocarcinomes et les carcinomes épidermoïdes a évolué au cours du XXe siècle[7]. Si, dans les années 1970, les carcinomes épidermoïdes étaient largement dominants (75 % des patients), leur proportion a fortement diminué pour atteindre environ un tiers des patients dans les années 2010[7]. Parallèlement, les adénocarcinomes, qui constituaient environ 20 % des tumeurs de Pancoast en 1971, sont désormais responsables de deux tiers des maladies[7]. Cette évolution est attribuée à la modification de composition des cigarettes, qui contiennent moins de goudrons[24].
Il est beaucoup plus rare que les cancers bronchiques à petites cellules se présentent comme une tumeur de Pancoast[18].
Plus rarement, une tumeur de Pancoast peut être une métastase d'un autre cancer solide, voire une localisation d'un lymphome[11].
Stadification
Les tumeurs de Pancoast-Tobias sont, selon la classification TNM, depuis 1997, au minimum cotées T3N0M0, du fait de l’envahissement de la paroi thoracique et sont de ce fait directement au stade IIb[22]. L’envahissement du corps vertébral, ou des vaisseaux sous-claviers les fait classer en T4.
La proportion de patients présentant un envahissement ganglionnaire médiastinal est comparable aux autres carcinomes bronchiques non à petites cellules de même stade T[13]. Il n'y a donc pas de profil biologique plus agressif des tumeurs de Pancoast[13],[7].
Stratégies thérapeutiques
Plusieurs types de traitements sont disponibles[4],[22]:
- La radiothérapie
- La radiothérapie couplée a la chirurgie
- La chimioradiothérapie d'induction couplée a la chirurgie
Arbre décisionnel

Une fois le diagnostic histologique obtenu, le traitement est guidé par un arbre décisionnel prenant en compte le bilan d'extension et l'état général du patient[25].
Lorsque la maladie est métastatique, un traitement par voie générale est indiqué[25]. S'il existe une addiction oncogénique, une thérapie ciblée peut être proposée. Sinon, le traitement de référence est une chimiothérapie associant deux molécules, dont un sel de platine.
Lorsque la maladie est localisée au thorax, la prise en charge dépend à la fois de l'extension ganglionnaire et de la résécabilité de la tumeur[25]. L'extension ganglionnaire est bilantée en premier lieu par le TEP scanner ; en cas de fixation suspecte sur les chaînes ganglionnaires médiastinales, celles-ci doivent être biopsiées. La biopsie peut être réalisée soit par échoendoscopie bronchique, soit par médiastinoscopie. Un envahissement confirmé doit mener à la réalisation d'une radiochimiothérapie concomitante. Lorsqu'il n'existe pas d'atteinte ganglionnaire, et si la tumeur est techniquement résécable, un traitement combiné associant chirurgie et radiochimiothérapie est proposé
Deux possibilités existent alors[25],[21]. Il est parfois possible de réaliser une chirurgie première, si la tumeur est résécable en l'état et si l'état général du patient le permet. Dans le cas contraire, il est possible de réaliser un traitement d'induction par radiochimiothérapie, au terme de laquelle est refait un bilan par scanner. En cas de bonne réponse au traitement, une chirurgie est proposée. Cependant, s'il existe une progression malgré le traitement, il convient de poursuivre la radiochimiothérapie.
Chirurgie
Les tumeurs de Pancoast peuvent être réséquées par deux voies d'abord principales : la voie postérieure (voie de Paulson) par une thoracotomie postéro-latérale, et la voie antérieure par cervico-sterno-thoracotomie.
Radiothérapie
Dans les maladies non métastatiques, la radiothérapie externe n'est généralement pas réalisée seule, mais associée de manière concomitante à une chimiothérapie, soit de manière exclusive, soit autour d'une chirurgie. On parle alors de traitement néoadjuvant, lorsqu'il se place avant la chirurgie dans la séquence thérapeutique, ou de traitement adjuvant, lorsqu'il se place après.
Lorsqu'une chirurgie est envisagée après une radiochimiothérapie néoadjuvante, une dose de 46 Gy est délivrée avant réévaluation[25]. La dose totale délivrée est de 66 Gy. Réaliser la chirurgie avant la délivrance de la dose totale diminue le risque de complications postopératoires.
Chimiothérapies
La chimiothérapie est réalisée en combinant deux molécules, dont un sel de platine[25].
Autres traitements
L'état général du patient doit également être pris en charge, en particulier au plan nutritionnel.
Pronostic et suivi
Facteurs pronostiques
Les facteurs de bon pronostic sont[26] une bonne fonction respiratoire avant traitement, en particulier des explorations fonctionnelles respiratoires normales, une tumeur de petite taille, et un stade précoce. Chez les patients opérés, la résection complète est également un critère pronostic majeur[27].
Surveillance après traitement
Comme dans les autres cancers du poumon non à petites cellules, la surveillance se fait pendant 5 ans.
Pronostic
Les chances de survie sont très fortement influencées par le stade du cancer. Les chances de survie à 5 ans sont de 46 % si le carcinome est de stade IIb mais passent à 13 % si le ce carcinome est de stade IIIb[28]. Les risques de récidives locales sont de 25 à 75 %[4].
Notes et références
Notes
- ↑ (en) « lung cancer arising in the apex of the lung that involves structures of the apical chest wall »
Références
- ↑ « Tumeur de Pancoast | Fondation contre le Cancer », sur www.cancer.be (consulté le )
- ↑ (en) « Edward Selleck Hare », sur Whonamedit? (consulté le )
- ↑ (en) « Pancoast's syndrome », sur Whonamedit? (consulté le )
- 1 2 3 4 5 « Formes cliniques des cancers thoraciques - Traitements des tumeurs de Pancoast-Tobias - EM|consulte », sur www.em-consulte.com (consulté le )
- 1 2 3 (en) Kacy Philips et Garrett L. Walsh, Pearson's Thoracic and Esophageal Surgery, vol. 1, Philadelphie, Churchill Livingstone Elsevier, , 3e éd. (1re éd. 1995), 1834 p. (ISBN 978-0-443-06861-4), chap. 76 (« Posterior approach to superior sulcus tumors »), p. 923-932
- ↑ (en) « Henry Khunrath Pancoast », sur Whonamedit? (consulté le )
- 1 2 3 4 5 6 7 8 9 10 11 12 13 14 15 (en) Johannes R. Kratz, Gavitt Woodard et David M. Jablons, « Management of Lung Cancer Invading the Superior Sulcus », Thoracic Surgery Clinics, vol. 27, no 2, , p. 149–157 (DOI 10.1016/j.thorsurg.2017.01.008, lire en ligne, consulté le )
- ↑ (en) « José W. Tobías », sur Whonamedit? (consulté le )
- ↑ (en) Frank C Detterbeck, « Changes in the treatment of Pancoast tumors », The Annals of Thoracic Surgery, vol. 75, no 6, , p. 1990–1997 (DOI 10.1016/S0003-4975(03)00134-6, lire en ligne, consulté le )
- ↑ « Tumeur de Pancoast », sur Fondation contre le Cancer (consulté le )
- 1 2 3 4 5 6 7 8 9 10 11 12 13 14 15 (en) Nikolaos Panagopoulos, Vasilios Leivaditis, Efstratios Koletsis et Christos Prokakis, « Pancoast tumors: characteristics and preoperative assessment », Journal of Thoracic Disease, vol. 6, no 1, , S108–S115 (ISSN 2077-6624, PMID 24672686, PMCID PMC3966151, DOI 10.3978/j.issn.2072-1439.2013.12.29, lire en ligne, consulté le )
- 1 2 3 (en) V. D. Palumbo, S. Fazzotta et F. Fatica, « Pancoast tumour: current therapeutic options », La Clinica Terapeutica, no 4, , p. 291–294 (ISSN 1972-6007, DOI 10.7417/CT.2019.2150, lire en ligne, consulté le )
- 1 2 3 Giuseppe Marulli, Lucia Battistella, Marco Mammana et Francesca Calabrese, « Superior sulcus tumors (Pancoast tumors) », Annals of Translational Medicine, vol. 4, no 12, , p. 239–239 (PMID 27429965, PMCID PMC4930518, DOI 10.21037/atm.2016.06.16, lire en ligne, consulté le )
- ↑ (en) Soichi Oka, Kenji Ono, Kenta Kajiyam et Katsuma Yoshimatsu, « A minimally invasive and safe surgical approach to resect anterior superior sulcus tumors », International Journal of Surgery Case Reports, vol. 68, , p. 148–150 (PMID 32145568, PMCID PMC7058854, DOI 10.1016/j.ijscr.2020.02.047, lire en ligne, consulté le )
- 1 2 3 4 5 6 7 8 (en) Primož Strojan, Miha Debevec et Viljem Kovač, « Superior sulcus tumor (SST): management at the Institute of Oncology in Ljubljana, Slovenia, 1981–1994 », Lung Cancer, vol. 17, nos 2-3, , p. 249–259 (DOI 10.1016/S0169-5002(97)00659-4, lire en ligne, consulté le )
- ↑ (en) Jeremy Millar, David Ball, Valentina Worotniuk et Jennifer Smith, « Radiation treatment of superior sulcus lung carcinoma », Australasian Radiology, vol. 40, no 1, , p. 55–60 (ISSN 0004-8461 et 1440-1673, DOI 10.1111/j.1440-1673.1996.tb00346.x, lire en ligne, consulté le )
- ↑ (en) Maggi G, Casadio C, Pischedda F, Giobbe R, Cianci R, Ruffini E, Molinatti M, Mancuso M, Combined radiosurgical treatment of pancoast tumour
- 1 2 3 4 5 (en) Selim M. Arcasoy et James R. Jett, « Superior Pulmonary Sulcus Tumors and Pancoast's Syndrome », New England Journal of Medicine, vol. 337, no 19, , p. 1370–1376 (ISSN 0028-4793 et 1533-4406, DOI 10.1056/NEJM199711063371907, lire en ligne, consulté le )
- ↑ B. El Bied et al, « Syndrome de Pancoast-Tobias », sur www.em-consulte.com, Revue des maladies respiratoires, (DOI 10.1016/s0761-8425(07)72594-9, consulté le )
- 1 2 (en) Robert S. O'Connell, Theresa C. McLoud et Earle W. Wilkins, « Superior sulcus tumor: radiographic diagnosis and workup », American Journal of Roentgenology, vol. 140, no 1, , p. 25–30 (ISSN 0361-803X et 1546-3141, DOI 10.2214/ajr.140.1.25, lire en ligne, consulté le )
- 1 2 3 (en) Victor C. Archie et Charles R. Thomas, « Superior Sulcus Tumors: A Mini‐Review », The Oncologist, vol. 9, no 5, , p. 550–555 (ISSN 1083-7159 et 1549-490X, DOI 10.1634/theoncologist.9-5-550, lire en ligne, consulté le )
- 1 2 3 « Tumeurs de Pancoast-Tobias- Tel Archives ouvertes -Hal »
- ↑ (en) Konstantinos Zarogoulidis, Konstantinos Porpodis, Kelly Domvri et Ellada Eleftheriadou, « Diagnosing and treating pancoast tumors », Expert Review of Respiratory Medicine, vol. 10, no 12, , p. 1255–1258 (ISSN 1747-6348 et 1747-6356, DOI 10.1080/17476348.2017.1246964, lire en ligne, consulté le )
- ↑ (en) Charles S. Dela Cruz, Lynn T. Tanoue et Richard A. Matthay, « Lung Cancer: Epidemiology, Etiology, and Prevention », Clinics in Chest Medicine, vol. 32, no 4, , p. 605–644 (PMID 22054876, PMCID PMC3864624, DOI 10.1016/j.ccm.2011.09.001, lire en ligne, consulté le )
- 1 2 3 4 5 6 7 « Cancer bronchique non à petites cellules - Référentiel national de RCP », sur Institut National du Cancer, (ISBN 978-2-37219-080-0, consulté le )
- ↑ (en) Yoshihisa Shimada, Yujin Kudo, Sachio Maehara et Masaru Hagiwara, « Significant prognostic determinants in lung cancers of the superior sulcus: comparable analysis of resected and unresected cases », General Thoracic and Cardiovascular Surgery, (ISSN 1863-6705 et 1863-6713, DOI 10.1007/s11748-020-01322-5, lire en ligne, consulté le )
- ↑ (en) A. Sakurada, F. Hoshi, H. Oishi et Y. Okada, « P3.17-15 Therapeutic Outcome of Surgery for Superior Sulcus Tumor », Journal of Thoracic Oncology, vol. 13, no 10, , S1026 (DOI 10.1016/j.jtho.2018.08.1971, lire en ligne, consulté le )
- ↑ (en) Rusch VW, Parekh KR, Leon L, Venkatraman E, Bains MS, Downey RJ, Boland P, Bilsky M, Ginsberg RJ, Factors determining outcome after surgical resection of T3 and T4 lung cancers of the superior sulcus.
Annexes
Bibliographie
Articles connexes
Symptômes
- Syndrome de Pancoast-Tobias
- Syndrome de Claude-Bernard-Horner
- Douleur thoracique et névralgie cervicobrachiale
Examens complémentaires
Traitements
Liens externes
- Cancer bronchique non à petites cellules — Référentiel national de RCP sur Institut national du cancer.
- Portail de la médecine